defaultContestImage

Leider kein Gewinn!

Suchen Sie weiter, die nächste Flasche könnte ein Gewinner sein.

rivetContestImage
Branchenmeldungen 02.09.2015

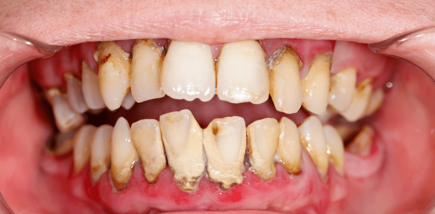
Ekel-Zähne als Beweismittel vor Gericht



Ekel-Zähne als Beweismittel vor Gericht

Foto: © Sandor Kacso – Fotolia

Mit seiner Eule Argus wurde Jens R. einst als „Vogelflüsterer“ berühmt. Jetzt muss er wohl selbst gerettet werden, denn der bekannte Tiertrainer steht derzeit vor Gericht. Um mehr als 10.000 Euro soll er ein ihm wohlgesonnenes Ehepaar aus Leipzig geprellt haben. Als wichtiges Beweismittel im Betrugsprozess führte er nun den katastrophalen Zustand seines Gebisses an.

Dass er über keinen Taler mehr verfüge, will der bekannte Tiertrainer Jens R. dem Gericht anhand des schlechten Zustandes seines Gebisses beweisen. Schwerer Betrug wird dem Tiernarr vorgeworfen. Laut Medienberichten habe er knapp 11.000 Euro unterschlagen. Ursprünglich als Kredit für eine Tierauffangstation auf dem Hexentanzplatz von einem Leipziger Ehepaar geliehen, sackte er das Geld ein und ward nicht mehr gesehen, von der Tierauffangstation ganz zu schweigen. Er habe das Geld nicht für sich behalten, beteuerte er immer wieder vor dem Richter, sonst hätte er sich, laut eigener Aussage, das Gebiss sanieren lassen. Günstige Behandlungen seien ihm oft von bekannten Zahnärzten angeboten worden, trotzdem habe er abgelehnt. Als bizarres Beweismittel für diesen Aspekt führte er sein schlechtes Gebiss vor und dieses offenbarte fehlende Beißer und Gammel-Paro – für diesen Prozess brauchen wohl alle Beteiligten einen langen Atem und vor allem eines: gute Nerven.

Quelle: Bild.de

Mehr News aus Branchenmeldungen

ePaper