Branchenmeldungen 09.12.2013

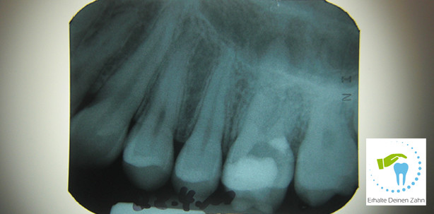
Muss ein Zahn nach einer Perforation gezogen werden?

Muss ein Zahn nach einer Perforation gezogen werden?

Foto: © DGET

Wurzelkanalbehandlungen sind schwierige zahnärztliche Behandlungen, bei denen Perforationen (unbeabsichtigte Verletzung der Zahnwurzel während der Behandlung) der Wurzelkanalwand, der Zahnkrone oder des Pulpakammerbodens auftreten können. Eine Perforation bildet eine Verbindung zur Mundhöhle, durch die Bakterien und Speichel in den Zahn eindringen können. Liegt die Perforation tiefer in der Wurzel, tritt eine Verbindung zum Kieferknochen auf und die Desinfektion des Wurzelkanals wird schwierig.

Oft wird durch eine Perforation des Zahnes die Prognose der Wurzelkanalbehandlung reduziert, jedoch ist es in vielen Fällen nicht notwendig, den Zahn zu ziehen. Die Deutsche Gesellschaft für Endodontologie und zahnärztliche Traumatologie e.V. (DGET) weist darauf hin, dass eine Perforation bei der Wurzelkanalbehandlung in vielen Fällen kein unlösbares Problem ist.

Die Wurzelkanalbehandlung ist für viele Zähne die letzte Möglichkeit, diese zu erhalten. Bei einer lange bestehenden Karies bildet der Zahn zum Schutz vermehrt Dentin (Zahnhartsubstanz). Wird aufgrund einer Pulpitis (Entzündung des Zahnnervens) oder einer Pulpanekrose (Absterben des Zahnnervens) eine Wurzelkanalbehandlung notwendig, kann es durch die vermehrte Bildung von Dentin schwierig sein, den Wurzelkanal aufzufinden. Dabei besteht immer die Gefahr, den Wurzelkanal zu perforieren. Durch genaues Befunden des Röntgenbildes vor Beginn der Wurzelkanalbehandlung und Verwendung von Vergrößerungshilfen wie Operationsmikroskop oder Lupenbrille, kann eine Perforation oft vermieden werden. Eine andere Ursache für Perforation eines Zahnes kann die Präparation des Wurzelkanals, vor allem gekrümmter Wurzelkanäle, mit Metallfeilen sein. Wird der Wurzelkanal zu groß präpariert oder kann die Krümmung nicht eingehalten werden, treten sogenannte Strip Perforationen oder eine Via falsa auf.

Eine Perforation kann an der Zahnkrone oberhalb des Knochens sowie im oberen, mittleren und unteren Wurzelkanaldrittel auftreten. Ebenfalls ist es möglich, den Bereich zwischen den Wurzeln zu perforieren. Je nach Lokalisation, Größe und Alter der Perforation ist die Therapie und auch die Prognose für den Zahn unterschiedlich. Liegt eine Perforation an der Zahnkrone, kann diese oft durch eine Kunststofffüllung verschlossen werden. Liegt die Perforation in der Wurzel, gibt es die Möglichkeit, diese mithilfe eines Zementes, MTA, zu verschließen. Dies funktioniert in vielen Fällen sehr gut, allerdings bedarf die Handhabung ausreichend Erfahrung.

Bei der Wurzelkanalbehandlung sollten Perforationen möglichst vermieden werden. Sollte es trotzdem dazu kommen, kann in vielen Fällen nach Verschluss der Perforation die Wurzelkanalbehandlung weiter fortgeführt werden. Somit ist die Prognose der Zähne in vielen Fällen gut.

Je schneller die Perforation verschlossen und eine Desinfektion des Wurzelkanalsystems mit anschließender Wurzelkanalfülllung durchgeführt wird, desto größer sind die Chancen auf eine erfolgreiche Wurzelkanalbehandlung.

Weiterführende Informationen: www.ErhalteDeinenZahn.de

Quelle: DGET

Mehr News aus Branchenmeldungen

ePaper