Branchenmeldungen 09.04.2024

Neue Technologien für optimale Farbanpassung von Komposits

Neue Technologien für optimale Farbanpassung von Komposits

Foto: Dr. Rafael Beolchi

Ein bedeutender Faktor für den Erfolg direkter ästhetischer Restaurationen ist das Wissen, welche Kompositklasse in den einzelnen klinischen Situationen verwendet werden sollte. Die jüngste Weiterentwicklung der Komposittechnologie führte zur Entstehung einer Klasse von Materialien, welche hinlänglich als Universalkomposits mit Farbanpassung bekannt sind. Das Konzept basiert auf der ausgeprägten Verschmelzung bzw. Anpassung an die umgebende Zahnfarbe. Die Ausrichtung an der umgebenden natürlichen Zahnstruktur bedingt eine bessere Farbanpassung zwischen Zahn und Restauration. Der folgende Beitrag beleuchtet das Thema genauer.

Universalkomposits bieten einen zentralen Vorteil: Sie vereinfachen die Farbanpassung für den Behandler und dezimieren damit die klinische Herausforderung. Darüber hinaus kann die Bandbreite verschiedener Komposits und Farben, welche für die Herstellung der täg­lichen Restaurationen benötigt wird, reduziert werden. Entscheidend ist dabei, dass der Anwender die klinischen Anforderungen genau kennt und sich darüber bewusst ist, in welchem Fall der Einsatz dieser neuen Technologie am besten geeignet ist. Im Wesentlichen sollte eine Farbe eine Anpassung von Opazität und Transluzenz zwischen Schmelz- und Dentinfarben herstellen, da die meisten Zähne im Farbbereich A2 liegen.

Materialeinsatz nach Indikation bestimmen

Einige Materialien sind insofern unzulänglich, da sie in gewissen klinischen Situationen die Anwendung eines Blockers erfordern, insbesondere bei ­tieferen Restaurationen im Seitenzahnbereich und bei einzelnen Restaurationen im Frontzahnbereich, z. B. Klasse III und IV. Für eine einfache Anwendung hat Ultradent Products ein neues Material namens Transcend™ vorgestellt. Transcend bietet nicht nur eine gute Farb­anpassung, sondern verspricht auch eine bessere Kontrolle hinsichtlich der Balance von Opazität und Transluzenz. Demnach handelt es sich um ein Universalkomposit mit Farbanpassung, welches bei tieferen Restauratio­-nen ohne Opaker auskommt und zudem eine breitere Farbpalette bietet.

Universalkomposit mit optimaler Farbanpassung

Transcend basiert auf der sogenannten Resin Particle Match™ Technologie. Das Universalkomposit enthält Monomere und Füllkörper mit ähnlichen Brechungsindizes. Die passend aufeinander abgestimmten Monomere und Füllkörper führen zu einem idealen Gleichgewicht von Opazität und Transluzenz und letztlich zu einem besseren Ausdruck der Farbpigmente innerhalb des Komposits. Der Brechungsindex beschreibt, wie stark das Licht beim Eintritt in bzw. beim Austritt aus einem Material gebeugt oder gebrochen wird. Mit Transcend kann die Lichtbrechung des Zahns besser nachgeahmt und an das Komposit angepasst werden. Zu beachten ist dabei, dass bestimmte anspruchsvollere klinische Situationen weiterhin eine traditionelle Schichttechnik erforderlich machen. Dies betrifft beispielsweise die Rekonstruktion von Frontzähnen mit deutlichen Farbunterschieden ­zwischen zervikalen und inzisalen Bereichen (opake und transluzente Be­reiche) sowie Fälle der Klassen III und IV mit fehlender Zahnstruktur. Für derartige Herausforderungen bietet Transcend hinsichtlich der Farbanpassung spezielle Dentin- und Schmelzfarben. Außerdem sorgt Transcend für eine verbesserte optische Integration zwischen Komposit und Zähnen.

Versorgung kurzgefasst:

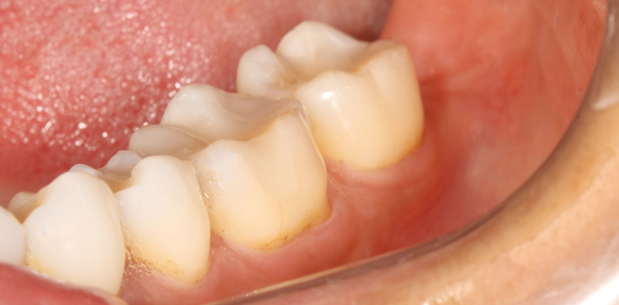
Bei einer Patientin von etwa 46 Jahren mussten zwei Seitenzahnrestaurationen ersetzt werden: eine tiefere Klasse II (MODB) am ersten unteren Molaren links sowie eine ein­fachere, flachere Klasse I am zweiten unteren Molaren rechts. Beide Restaurationen waren ca. 20 Jahre alt. Es lagen weder Empfindlichkeiten noch Sekundärkaries vor. Die Patientin wies eine ausgezeichnete Mund­hygiene auf und hatte keine sonstigen oralen Probleme.

Weitere Informationen zu Transcend auf www.ultradentproducts.com.

Dieser Beitrag ist in der ZWP Zahnarzt Wirtschaft Praxis erschienen.

Autor: Dr. Rafael Beolchi

Die Beiträge in dieser Rubrik stammen von den Anbietern und spiegeln nicht die Meinung der Redaktion wider.

Dieser Beitrag stammt von dem Anbieter und spiegelt nicht die Meinung der Redaktion wider.
Produkte
Mehr News aus Branchenmeldungen

ePaper