Branchenmeldungen 25.11.2020

Webinar „Chromoadaptive Kompositmaterialien“

Morgen ab 17 Uhr auf www.dtstudyclub.de einschalten – Webinar zum effizienten Einsatz chromoadaptiver Komposite im Praxisalltag

In dem Bestreben, die Schichttechnik vor allem im Seitenzahnbereich zu vereinfachen, haben Hersteller von Kompositen in den letzten Jahren die verschiedensten Wege eingeschlagen. Im Webinar am 26. November zeigt Wolfgang-M. Boer die Möglichkeiten chromoadaptiver Komposite im Seitenzahnbereich auf.

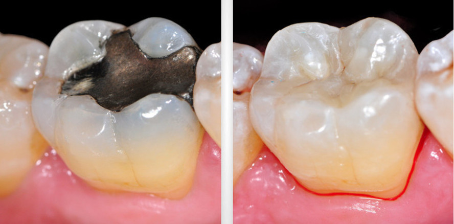
Ein Lösungsansatz für ästhetische Versorgungen ist beispielsweise die Reduktion des Angebots auf die häufigsten Farben oder die Einstellung der Transluzenz des Materials auf eine mittlere Stufe, um die Schichtung von separaten Schmelz- und Dentinmassen zu umgehen. Bulk-Fill-Komposite in den verschiedensten Darreichungsformen als Dentinersatz gehören heute zum Standard. Neu ist dagegen die Eigenschaft, dass das Material durch die Polymerisation opaker wird. Besonders japanische Hersteller setzen auf die Vereinfachung der okklusalen Gestaltung durch standfeste Flow-Konsistenzen, bei gleichzeitig gewohnt gutem Anfließverhalten an den Kavitätenwänden.

Einen radikal neuen Ansatz bieten laut Boer chromoadaptive Komposite. „Durch spezielle Füller nehmen sie die Farbe der Umgebung auf und reflektieren diese. Sie enthalten also nicht, wie sonst üblich, Farbpigmente, sondern adaptieren die Farbe des natürlichen Zahns,“ erklärte der Zahnarzt, der seit über 26 Jahren eine eigene Praxis führt.

Der erste Vertreter in der Gruppe chromoadaptiver Komposite war OMNICHROMA der Firma Tokuyama, welches seit Anfang 2019 auf dem Markt verfügbar ist. Seit September hat Kulzer Dental mit Venus Diamond ONE und Venus Pearl ONE nachgezogen. Unterschiede bestehen vor allem in der Modellierbarkeit der Materialien. Das faszinierende an chromoadaptiven Kompositen ist neben der reduzierten Lagerhaltung (eine Masse für alle Farben) die Einfachheit der Anwendung ohne vorherige Farbauswahl. Dabei ist Venus ONE nicht etwas völlig Neues, sondern ein ausgereiftes, verlässliches und lange erprobtes Material.

Das Webinar „Chromoadaptive Kompositmaterialien – Effizienter Einsatz im Praxisalltag“, wird am 26. November ab 17 Uhr live im Internet übertragen. Alle Teilnehmenden haben die Möglichkeit, während der Übertragung per Chat Fragen an den Referenten zu stellen. Registrieren Sie sich jetzt kostenfrei für das Webinar auf der Seite des DT Study Club.

Quelle: Dental Tribune International

Foto Teaserbild: Wolfgang-M. Boer

Dieser Beitrag stammt von dem Anbieter und spiegelt nicht die Meinung der Redaktion wider.
Mehr News aus Branchenmeldungen

ePaper