Endodontologie 14.08.2013
Zahnfarbene Füllungen im Seitenzahnbereich
Patienten verlangen heutzutage im
sichtbaren Seitenzahnbereich überwiegend aus Gründen der Ästhetik
amalgamfreie Versorgungen. Als zahnfarbene Füllungsmaterialien in
dieser Region haben sich deshalb vorwiegend Komposite und keramische
Einlagefüllungen etabliert. Doch nicht alle Patienten sind bereit
oder in der Lage, die Mehrkosten, die eine ästhetische Seitenzahnfüllung in dieser Form aufgrund ihrer zeit- und
arbeitsintensiveren Technik mit sich bringt, zu tragen. Eine einfache
und wirtschaftliche, aber dennoch zahnfarbene Alternative zu den
aufwendigen Kompositrestaurationen könnte innerhalb seines
Indikationsraumes ein glasionomerbasiertes Füllungsmaterial sein,
wie die Autoren des folgenden Beitrages ausführen.
Sie belegen dies u.a. an den Ergebnissen einer Studie aus der Universität Greifswald, die mit
niedergelassenen Kollegen als Studienärzte ein innovatives
Studiendesign aufweist. Ein klinisches Fallbeispiel rundet die
Erläuterungen mit der Beschreibung der Materialanwendung Schritt
für Schritt ab.
Standard im Seitenzahnbereich:
Überwiegend Komposite und Keramik 
Zahnfarbene Füllungsmaterialien
im sichtbaren Seitenzahnbereich können als Standard in der
konservierenden Zahnheilkunde bezeichnet werden. Dazu stehen
vorwiegend Komposite oder auch keramische Einlagefüllungen als
Werkstoffe zur Verfügung. Die Indikation geht von der
klein(st)flächigen Füllung bis hin zu den mehrflächigen,
kaukraftbelasteten Füllungen im Seitenzahnbereich. Die
Verarbeitung jener Kompositfüllungs- und keramischer
Füllungswerkstoffe erfordert eine aufwendige Adhäsivtechnik, die
es überhaupt ermöglicht, einen Verbund zu den biologischen
Strukturen und chemischen Bestandteilen des Dentins und des
Schmelzes zu gestatten, auch in der Bearbeitung sind diese
Materialien deutlich komplexer: Es bedarf eines schichtweisen Aufbaus sowie je nach
Füllungsgröße mehrerer Zwischenpolymerisationsschritte, um
Polymerisationsschrumpfung abzubauen und einen an der
Übergangsfläche spannungsfreien, unbelasteten Verbund zu ermöglichen. Die notwendigen Kosten für die aufwendigere
(Füllungs-)Technik werden nur teilweise von den gesetzlichen
Krankenkassen übernommen, der Patient trägt die Differenz.
Nicht immer aber ist der Patient in der
Lage, die Differenz für die mit mehr Zeit- und Arbeitsaufwand
verbundene Adhäsiv- und Mehrschichttechnik zu übernehmen. Bleibt
ihm aus diesem Grund als alleiniges Füllungsmaterial nur das
Amalgam, das als dauerhaftes Füllungsmaterial von der gesetzlichen
Krankenkasse übernommen wird? Die Antwort muss verneint werden, da
heutzutage neue zugelassene Werkstoffe im bestimmten Indikationsbereich zur Verfügung stehen oder bekannte Werkstoffe modifiziert
wurden und in der zahnärztlichen Praxis schon seit längerer Zeit
Verwendung finden.
Alternative zum Standard: Modifiziertes
GIZ 
Zu den Werkstoffen, die als alternatives Füllungsmaterial
eingesetzt werden können, gehören auch jene Füllungswerkstoffe auf Basis des Glasionomers. Als Befestigungsmaterialien und Füllungsmaterial wurde der
Werkstoff seit den 70er-Jahren des letzten Jahrhunderts eingesetzt
und von der WHO 1994 als Material der „ART-Technik“ empfohlen.
Bei der ART-Technik wird Karies mithilfe von Handinstrumenten
entfernt und anschließend die Kavität mit einem Glasionomerzement
gefüllt. In der Regel ist die Behandlungsprozedur nicht
schmerzhaft, da auf schnelllaufende Schleifer und Bohrer verzichtet
wird. Diese Art der Behandlung ist für ländliche Gebiete, aber auch
in Entwicklungsländern ent- wickelt worden, in denen kein elektrischer Strom zum Betrieb zahnärztlicher Instrumente zur Verfügung
steht. Ansatzpunkt der WHO ist, dass der Bevölkerung mit dieser
einfachen Behandlung zumindest ein Mindestmaß an zahnmedizinischer
Versorgung zur Verfügung steht. In den Ergebnissen einer
chinesischen Studie (Hu et al.) aus dem Jahr 2004 zeigt sich, dass
kleine, einflächige ART-Füllungen nach sechs Jahren noch zu 75
Prozent und große einflächige noch zu 61 Prozent vorhanden waren.
Veränderungen und Modifikationen in
den vergangenen Jahrzehnten modifizierten den Werkstoff
kontinuierlich, sodass er nicht nur als provisorisches
Material und als Aufbaumaterial stark zerstörter Zähne in der
Zahnheilkunde Anwendung findet. Die zahnärztliche Praxis griff auch
immer wieder auf dieses Material zurück, wenn es darum ging,
amalgamfreie Füllungen bei Allergiepatienten zu legen. Seit 1999
steht der zahnärztlichen Praxis ein Füllungsmaterial auf Basis
des Glasionomers zur Verfügung (damals noch als Fuji IX GP EXTRA
bzw. Lack G-Coat Plus), das eine Kombination aus einem Basismaterial
mit einer speziell entwickelten Glasphase (EQUIA Fil) und einem
nanogefüllten, lichthärtenden Coating
(EQUIA Coat) darstellt (Anm. der Red.: EQUIA wurde zur IDS 2011 als
Nachfolgeprodukt eingeführt).
Standard und Alternative: Materialien
gehören nur in ihren speziellen Indikationsbereich 
Im Fokus von
internationaler Wissenschaft musste sich das Material seither immer
wieder gegen die Kompositwerkstoffe behaupten. Es wird hierbei aber
übersehen, dass jedes Füllungsmaterial nur in einem speziellen
Indikationsbereich Anwendung finden sollte.
So hat sich EQUIA als Füllungsmaterial
durch die einfache und schnelle Verarbeitung nicht nur in der
Kinder- oder Alterszahnheilkunde bewährt, sondern auch in der
Grundversorgung für Füllungen im speziellen Indikationsbereich:
Den unbelasteten, ein- und den kleinen zweiflächigen Füllungen,
sowie den kaukraftbelasteten Klasse II-Restaurationen, sofern der
Isthmus weniger als die Hälfte des Interkuspidalraumes beträgt
(Abb. 1). Mit dem Material sollte kein Höckeraufbau durchgeführt
und im approximalen Kasten sollte die Größe nicht über den
Kuspidalabstand extendiert werden. Die Füllungen innerhalb des
Indikationrahmens können als langlebig und dauerhaft bezeichnet
werden. Die derzeit verfügbaren wissenschaftlichen Daten über die
Langlebigkeit des Materials werden durch laufende Studien ergänzt.
So dokumentiert eine klinische Untersuchung mit insgesamt 245
Patienten über einen Zwei-Jahres-Zeitraum, dass die
Füllungskombination EQUIA eine verlässliche Wahl für
Langzeitversorgungen darstellt, sogar bei kaubelasteten
Zahnoberflächen (Basso et al., 2011). In einer weiteren,
retrospektiven Kohortenstudie (Friedl K. et al., 2011) wurde die
Eignung von EQUIA als permanentes Restaurationsmaterial in
posterioren Kavitäten untersucht: Zur Bewertung kamen 26 Klasse I-
und 125 Klasse II- Füllungen mit einer mittleren Liegezeit von 24
Monaten bei insgesamt 43 Patienten in sechs Zahnarztpraxen. Als
Kriterien fanden die international anerkannten modifizierten
USPHS-Kriterien (United States Public Health Service) Anwendung.
Gemäß den Ergebnissen von Friedl et al. können die mit EQUIA
gelegten Füllungen als permanente Restaurationen im Seitenzahnbereich dienen.
GIZ-Weiterentwicklung bringt
verbesserte Materialeigenschaften 
Die niedrige Abrasionsfestigkeit
und die verminderten Bruchfestigkeiten der GIZ-Werkstoffe der ersten
Generation wurden durch eine neue Kombination mittels zweistufigen
Füllungskonzepts reduziert. Einerseits konnten durch die Veränderung
der Glasphase die Abrasionswerte und die Bruchfestigkeit gesteigert werden, die Farbe der Füllungen zudem transluzenter
gestaltet werden. Andererseits konnte durch die Verwendung eines
neuen nanogefüllten, lichthärtenden Komposit-Coatings, das eine
Diffusion in die Oberfläche ermöglicht, die Oberflächengüte,
die Bruch- und Abrasionsfestigkeit weiter verbessert werden
(Lohbauer et al., 2011). Durch die vereinfachte Anwendung als
Kapselmaterial (Anmischzeit 10 Sek.), das als Bulk-Fill-Technik in
die Kavität appliziert wird und dort in ca. 1,5
Min.	aushärtet,	bis	die	Oberfläche mit rotierenden Instrumenten
konturiert und adaptiert werden kann, ist es ein Material, das eine
zügige Versorgung ermöglicht.
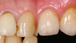
Die Abbildungen 2 bis 17 (Bildmaterial:
Dr. Klinke, Greifswald) zeigen die Einfachheit der Anwendung und
erläutern anhand eines klinischen Fallbeispiels das praktische
Vorgehen Schritt für Schritt bei der Versorgung einer Kavität mit
dem Füllungsmaterial EQUIA.
Neue Studie zur klinischen Anwendung
Besonderes Design der Studie 
Um das Material auf klinische Anwendung zu prüfen, wurde eine klinische Studie im Feld unter
international anerkannten Standards durchgeführt. Im Unterschied
zu dem üblichen konventionellen, klinischen Studiendesign beschritt die Studie innovative Wege, indem niedergelassene Kollegen
als Studienärzte gewonnen wurden. So wurden insgesamt 3.194
Zahnärztinnen und Zahnärzte in randomisiert ausgewählten Städten
Deutschlands eingeladen, um unter der Leitung der Universitätsmedizin Greifswald an einer prospektiven, randomisierten,
epidemiologischen Anwendungsstudie mit einer Laufzeit von fünf
Jahren teilzunehmen. Die Studie wurde vor Studienstart ethisch
geprüft und im internationalen klinischen Studienregister der WHO
unter DRKS00004220 registriert. Alle 144 teilnehmenden Kolleginnen
und Kollegen wurden gebeten, für die Studie acht Füllungen bei
acht randomisiert ausgewählten Patienten aus den
Studienmaterialien zu legen. Als Voraussetzung musste einerseits
die Indikation zur Füllungstherapie im Seitenzahnbereich im
entsprechenden Indikationsbereich bestehen (s.o.) und andererseits das Einverständnis der
Patienten zur Studienteilnahme vorliegen. Im jährlichen Recall
wurden und werden die verschiedenen Studienfüllungen von einem
externen (verblindeten) Zahnarzt der Ernst-Moritz-Arndt Universität
Greifswald evaluiert. Der Fokus der Studie richtet sich auf die
Überlebensdauer und die Abrasionscharakteristik einflächiger und
kleiner zweiflächiger Füllungen im Seitenzahnbereich, die unter
Einhaltung der Indikationsempfehlungen des Herstellers nach einer
einheitlichen Methode gelegt wurden. Alle Kolleginnen und Kollegen
waren in der Herstellungsmethodik unterwiesen: Nach Entfernung der
Karies wurde die Kavität gereinigt und konditioniert (Cavity
Conditioner), das Füllungsmaterial (EQUIA Fil) angemischt und
direkt in die Kavität appliziert. Noch in der ersten Aushärtungsphase, in der das Material leicht glänzt und modellierbar ist, wurde
die Füllung mit Modellierinstrumenten konturiert. Nach 2,5 Minuten
ab Mischbeginn erreichte das Füllungsmaterial seine Härte, die eine
Bearbeitung mit rotierenden Instrumenten ermöglicht. War die
Füllung adjustiert, konnte die Oberfläche mit einem lichthärtenden
Coating (EQUIA Coat) versiegelt werden.
Nach einem Jahr wurde der Patient
erneut in die Praxis zum Follow-up gebeten, um die Füllung(en) von
einem externen, universitären Kollegen begutachten zu lassen.
Hierzu wurden die Parameter zur Beurteilung von plastischen
Füllungen von Hickel, R. et al. (2010) verwendet. Die Füllungen
wurden auf Risse, Abplatzungen oder Frakturen und marginale
Adaptation, Oberflächenglanz, okklusale Kontur und Abstützung,
approximale anatomische Form, postoperative Sensibilität und
Vitalität u.a. geprüft. Eine Abformung der Oberfläche und ein
Foto beendeten die Nachuntersuchung.
Ergebnisse: Schnelle und einfache
Verarbeitung 
Die Ergebnisse in den niedergelassenen, zahnärztlichen
Praxen zeigen, dass das Füllungsmaterial einfach und schnell zu
verarbeiten ist. Gerade Patienten mit enormer Zahnarztphobie sind
schnell und gut versorgt. Die Befragung der Patienten ergab, dass sie mit der Füllungslegung und der Verarbeitungsprozedur sehr zufrieden waren. Die
initiale Härtungsphase, in der das Material noch modellierbar ist,
ermöglicht eine gute Adaptation und (Vor-)Konturierung der
Füllung. Die Wartezeit bis zur primär ausgehärteten Füllung ist
mit 2,5 Minuten kurz, Füllungsmaterialien der ersten GIZ-Generation
erforderten eine Wartezeit bis 20 Minuten, später reduzierte sie
sich auf 5 Minuten. Im Anschluss an die primäre Aushärtung kann die
Oberfläche gut ausgearbeitet und adaptiert werden.
Das Coating versiegelt das Füllungsmaterial und ermöglicht eine ungehinderte Aushärtung ohne Verlust
von Feuchtigkeit oder das Eindringen von Speichel. Studien an der
Universität Erlangen von Lohbauer (Lohbauer, 2010) zeigten, dass
das Coating in die oberflächigen Schichten eindringt und
eventuelle Risse und Porositäten innerhalb der Oberfläche
versiegelt und verringert.
Fazit
Mit EQUIA Fil ist dem Praktiker ein
Material an die Hand gegeben, das für einflächige Füllungen und
kleine zweiflächige Füllungen, die innerhalb des
Indikationsraumes liegen, eine gute Alternative zu den aufwendigen
Kompositrestaurationen darstellt.
Hier gibt's die Literaturliste zum Download.
Autoren: OA Dr. Thomas Klinke, Dr. Ulrich Keck
 
                             
                                                                     
                 
                 
                 
                 
                 
                 
                 
                 
                 
                 
                 
                 
                 
                 
                 
                 
                 
                                 
                                 
                         
                         
                         
                         
                        