Implantologie 27.06.2016

Monolithische Vollkeramikrestaurationen im Seitenzahnbereich



Monolithische Vollkeramikrestaurationen im Seitenzahnbereich

Foto: © Autor

Monolithische Vollkeramikrestaurationen im Seitenzahnbereich können sowohl aus hochfesten Glaskeramiken als auch aus transluzenten Zirkonoxidkeramiken hergestellt werden. Beide Materialgruppen sind für die Herstellung von Einzelkronen geeignet, sofern die materialspezifischen Aspekte der Zementierung und Oberflächenbearbeitung (Politur) und die Mindestmaterialstärken beachtet werden. Während für zahn- und implantatgetragene Einzelzahnversorgungen indikationsbezogen zwischen den beiden Materialgruppen gewählt werden kann, sind für monolithische Brückenversorgungen im Seitenzahnbereich Zirkonoxidkeramiken aufgrund ihrer größeren Indikationsbreite und der reduzierten Materialstärke, insbesondere im Konnektorenbereich, als besonders geeignet zu werten.

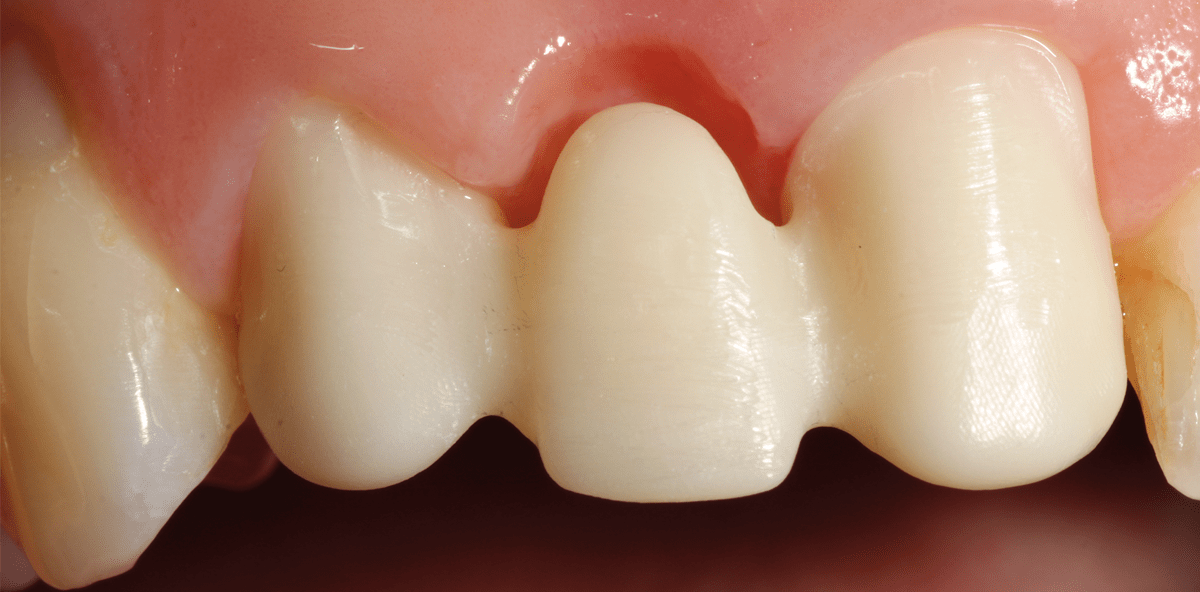
Vollkeramische Restaurationen sind heute ein integraler Bestandteil eines restaurativen Behandlungskonzeptes. Vollkeramische Veneers, Kronen und auch Brücken zeigen im Frontzahnbereich bei deutlich erhöhtem ästhetischen Potenzial eine klinische Bewährung, die mit der metallkeramischer Restaurationen vergleichbar ist (Abb. 1a–c).1, 2

Bei vollkeramischen Kronen und Brücken im Seitenzahnbereich zeigten sich zwar auch Überlebensraten, die mit denen konventioneller metallkeramischer Versorgungen vergleichbar sind, doch es konnte auch eine Häufung technischer Komplikationen in Form von Verblendkeramikfrakturen festgestellt werden.1, 2

Verblendkeramikfrakturen, die bevorzugt im Molarenbereich auftreten, erfordern zwar nicht immer eine Erneuerung der Restauration, in vielen Fällen ist zum Funktionserhalt der Restauration jedoch zumindest eine Intervention (Politur, Reparatur) erforderlich.3 Das Risiko technischer Komplikationen lässt sich durch eine ausgeprägte anatomische Gerüstmodellation und eine Langzeitabkühlung beim Verblendprozess signifikant reduzierten, sodass eine Komplikationsrate erreicht werden kann, die mit der einer klassischen Metallkeramik vergleichbar ist.4 Jedoch zeigte sich in den klinischen Untersuchungen auch, dass unabhängig vom Material (Metallkeramik oder Zirkonoxidkeramiken) insbesondere an endständigen Kronen oder Brückenpfeilern ein erhöhtes Risiko für Verblendkeramikfrakturen besteht.

Eine Möglichkeit zur Vermeidung von Verblendkeramikfrakturen in diesen Hoch­risikoindikationen besteht in der An­fertigung monolithischer Versorgungen. Dabei können sowohl hochfeste Glaskeramiken mit einer Festigkeit von 350 MPa als auch transluzente Zirkonoxidkeramiken eingesetzt werden.

Hochfeste Glaskeramiken

Im Bereich der Glaskeramiken konnten bislang nur Lithiumdisilikatkeramiken eine Festigkeit von mehr als 350 MPa erreichen. Für diese Werkstoffgruppe liegen mittlerweile ausreichende Daten aus klinischen Langzeitbeobachtungen vor, die den Einsatz bei zahngetragenen monolithischen Kronen und Teilkronen rechtfertigen.5, 6

Für monolithische 3-gliedrige Brücken aus Lithiumdisilikatkeramik existieren zudem 10-Jahres-Daten, die eine Über­lebensrate von 87,9 % zeigen. Dabei ist jedoch zu berücksichtigen, dass bei diesen Restaurationen eine okklusale Mindeststärke von 1,5 mm eingehalten wurde und dass der minimale Konnektorenquerschnitt 16 mm² betrug. Die Einhaltung dieser Designparameter scheint essenziell für die klinische Langzeitbewährung von monolithischen e.max-Brücken zu sein.7

Neben zahngetragenen Lithiumdisilikat­restaurationen sind auch implantatgetragene Einzelzahnrestaurationen aus diesem Material mittlerweile in klinischen Studien mit Beobachtungszeiten von bis zu drei Jahren nachuntersucht worden. Sie zeigten jeweils Überlebensraten von 100 %, sodass der Einsatz dieser Werkstoffgruppe auch in dieser Indikation gerechtfertigt erscheint.8, 9

Zusammenfassend kann man feststellen, dass bislang sowohl für zahngetragene als auch für implantatgetragene ­monolithische Einzelkronen aus Glas­keramiken mit einer Festigkeit von > 350 MPa ausreichende klinische Daten vorliegen, die den klinischen Einsatz rechtfertigen. Monolithische Brücken aus dieser Werkstoffgruppe sind allerdings nur bei strikter Einhaltung der Mindestmaterialstärken zu empfehlen, sodass vor der klinischen Anwendung sicherzustellen ist, ob diese Werte (Mindestwandstärke und Konnektorenquerschnitt) auch realisiert werden können.

Eine relativ neue Materialgruppe innerhalb der hochfesten Glaskeramiken stellen die sogenannten zirkonoxidverstärkten Lithiumsilikatkeramiken (ZLS) dar (Celtra Duo, Dentsply Sirona Restorative, Konstanz; VITA Suprinity, Vita Zahnfabrik, Bad Säckingen). In In-­vitro-Studien zeigen sie eine vergleichbare ­Festigkeit (370–420 MPa) wie die ­bereits mehrere Jahre beobachteten Lithiumdi­silikatkeramiken.10 Bei diesen Materialien wird die Verstärkung der Glasmatrix durch den Zusatz von 8–10 wt % Zirkonoxid ­erreicht. Nach der Kristallisation bewirkt das Zirkonoxid eine homogene Struktur mit einer mittleren Körnungsgröße von ca. 0,5 bis 0,7 µm. Die ausgebildeten Kristalle sind 4- bis 8-mal kleiner als Lithium­disilikatkristalle. Daher bestehen ZLS-Keramiken aus einer dualen Mikrostruktur. Die erste Komponente ist sehr feines Lithiummetasilikat mit Lithiumdisilikatkristallen (durchschnittliche Größe: 0,5–0,7 µm). Hierin besteht der Hauptunterschied zu LS2-­Keramiken, die nur Lithiumdisilikatkristalle enthalten. Die zweite Komponente ist die Glasmatrix, die 10 % Zirkon­oxid in Lösung enthält. Das Ergebnis ist eine sehr feine Mikrostruktur, die einerseits eine hohe Biegefestigkeit erlaubt und andererseits einen hohen Prozentsatz der Glasmatrix ermöglicht, was bei gutem Schleif- und Polierverhalten zu guten optischen Ergebnissen führt.11

Die derzeit auf dem Markt verfügbaren ZLS-Keramiken Vita Suprinity (Vita Zahnfabrik) und Celtra Duo (Dentsply Sirona Restorative) werden derzeit ausschließlich für CAD/CAM-gefertigte Restaurationen verwendet. Bei der zirkonoxidverstärkten Silikatkeramik Vita Suprinity handelt es sich um eine präkristallisierte Keramik. Die CAM-Verarbeitung ist mit der einer Lithiumdisilikatkeramik vergleichbar (Kristallisationsbrand nach dem Schleifen, um die finale Dichte zu erhalten). Bei der ZLS-Variante Celtra Duo handelt es sich um eine final kristallisierte Keramik.

In-vitro-Studien zeigten eine Bruchfestigkeit und Randdichte, die mit den klinisch gut dokumentierten und bewährten Lithiumdisilikat(LS2-)Glaskeramiken vergleichbar ist.12 Darüber hinaus zeigte sich unter In-vitro-Bedingungen, dass der Abrieb und der Volumenverlust der glasierten ZLS-Keramiken sich nicht signifikant von den Werten des natürlichen Zahnschmelzes unterscheiden.13 Erste In vitro-Studien, die die Transluzenz verschiedener Keramiken vergleichen, zeigten im polierten Zustand im Vergleich zu IPS e.maxCAD eine höhere Transluzenz für Celtra Duo (38 % vs. 34 %).14 Die ausgeprägte Transluzenz des Materials verstärkt den sog. Chamäleon-Effekt und verbessert die Farbanpassung. Die In-vitro-­Untersuchung der Bonding-Eigenschaften zeigte vielversprechende Ergebnisse für die ZLS-Kronen, wenn sie entsprechend den Anweisungen des Herstellers vorbehandelt waren (Ätzen mit Flusssäure). Auf diese Weise hergestellte Restaurationen zeigten sich den intraoralen Kaukräften gewachsen.15

Derzeit liegen für diese Materialgruppe klinische Daten aus Studien mit einer mittleren Beobachtungsdauer von einem Jahr vor. Die ermittelten Erfolgsraten liegen bei > 98 % und bestätigen somit die Ergebnisse der In-vitro-Untersuchungen. Dennoch gilt es, für eine definitive Absicherung der klinischen Bewährung die Ergebnisse längerer Beobachtungszeiträume abzuwarten.16

Transluzente Zirkonoxidkeramiken

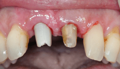
Als ein wesentlicher Vorteil vollanatomischer Kronen und Brücken aus transluzenten Zirkonoxidkeramikvarianten wird ­insbesondere das Eliminieren des Chip­pingrisikos herausgestellt. Unter klinischen Gesichtspunkten sind jedoch der im Vergleich zu verblendeten Restaurationen eingeschränkte Platzbedarf und die damit verbundene Reduktion der Präparationstiefen bedeutsam. Im Vergleich zu verblendeten Restaurationen können nach Herstellerangaben bei vollanatomischen Restaurationen aus Zirkonoxidkeramik die erforder­lichen Substanzabträge im okklusalen Bereich auf 0,6–0,8 mm und im Bereich der Präparationsgrenze auf 0,5–0,7 mm ­reduziert werden (Abb. 3a und b).

Monolithische Zirkonoxidrestaurationen bieten die folgenden klinisch relevanten Vorteile: 19

  • Eliminierung des Risikos der Verblendkeramikfraktur.
  • Reduzierte Mindestwandstärken und somit auch reduzierte Präparationstiefen (verbesserte Retention, Verringerung des Risikos biologischer Kompli­kationen).
  • Konventionelle Zementierung und die Möglichkeit der provisorischen Befestigung.
  • Breites Indikationsspektrum (Einzelkrone/Brücke).

Mittlerweile ist durch die Verfügbarkeit von bereits industriell in den 16 Vita-Farben ­eingefärbten Zirkonoxidmaterialien (z. B. Cercon ht True Color Technology, Dentsply Sirona Prosthetics) eine vereinfachte farb­liche Individualisierung unter Verzicht auf eine manuelle Einfärbung der Gerüste im vorgesinterten Zustand möglich.

Als potenzielles Risiko der klinischen Anwendung monolithischer Zirkonoxidrestaurationen wurde eine erhöhte Antagonistenabrasion gesehen. Mittlerweile konnte jedoch in mehreren In-vitro-­Untersuchungen gezeigt werden, dass polierte und auch glasierte Zirkonoxid­keramikoberflächen eine geringere Antagonisten­abrasion aufweisen als klassische Verblendkeramiken.17ff. Klinische Studien konnten mittlerweile diese Ergebnisse bestätigen.20–23 Mundhe et al. (2015) untersuchten in einer vergleichenden prospektiven Studie das Abra­sionsverhalten polierter monolithischer ­Zirkonoxidkronen und konventionell verblendeter Metallkeramikkronen. Nach einer einjährigen Funktionsperiode zeigte sich bei den metallkeramischen Kronen ein signifikant erhöhter Antagonistenverschleiß im Vergleich zu monolithischen Kronen.21

In zwei weiteren retrospektiven Studien mit Beobachtungszeiten zwischen 3 und 7 Jahren wurden für zahn- und implantatgetragene monolithische und vestibulär verblendete Zirkonoxidkronen und -brücken eine technische Komplikationsrate von 0 % ermittelt.22f.

Ein kürzlich erschienener systematischer Review konnte zudem 8 Studien und ­Falldarstellungen mit 141 monolithischen implantatgestützten kompletten Brückenversorgungen im zahnlosen Kiefer identifizieren.24 Insgesamt berichten die Studien über hohe Erfolgsraten (kumulierte Überlebensrate: 96,8  %) und gute ästhetische ­Behandlungsergebnisse für ausgedehnte implantatgestützte monolithische Zirkon­oxidbrücken. Für die klinische Bewertung ist jedoch zu berücksichtigen, dass die Studien nur geringe Fallzahlen und vergleichsweise kurze ­Beobachtungszeiten von 1 bis 5 Jahren einschließen. Entsprechend ist die Indikation in diesem Bereich bis zum Vor­liegen weiterer Daten noch zurück­haltend zu stellen. Fasst man also die derzeit zur Verfügung stehenden wissenschaftlichen Erkenntnisse zusammen, ist bei der ­klinischen Anwendung polierter vollanatomischer Zirkonoxidrestaurationen nicht von einem erhöhten Risiko einer Antagonistenabrasion auszugehen. Zudem belegen die vorliegenden klinischen Studien eine sehr geringe technische Komplikationsquote.

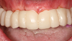
Als Indikationen für monolithische Zirkonoxidrestaurationen scheinen neben zahn- und implantatgestützten Einzel­kronen insbesondere Seitenzahnbrücken geeignet zu sein (Abb. 4a–d, Abb. 5a–d).

Schlussfolgerung

Die vorliegenden klinischen Daten belegen, dass monolithische Restaurationen aus hochfesten Glaskeramiken oder Zirkon­oxidkeramiken im Seitenzahnbereich bei korrekter Indikationsstellung und Verarbeitung im Vergleich zu verblendeten ­Restaurationen eine geringere technische Komplikationsrate aufweisen.

Für die Herstellung von Kronen können beide Materialien als gleichwertig hinsichtlich der klinischen Erfolgssicherheit bewertet werden. Bei der Indikationsstellung ist zu berücksichtigen, dass hochfeste Glaskeramiken aufgrund ihrer ­hervorragenden Transluzenz ein ausgezeichnetes ästhetisches Potenzial aufweisen und somit bei Teilkronen den monolithischen Zirkon­oxidkeramiken überlegen sind. Aufgrund ihrer deutlich verkürzten Prozesszeiten sind sie zudem besonders für die Her­stellung chairside gefertigter CAD/CAM-­Restaurationen geeignet. Die nochmals erhöhte Transluzenz der ZLS-Keramiken und ihre verbesserte Polierbarkeit im Vergleich zu Lithiumdisilikatkeramiken bieten unter klinischen Aspekten Vorteile. Für alle hochfesten Glaskeramiken sind nach derzeitigen Erkenntnissen eine okklusale Mindestmaterialstärke von 1 mm sowie eine adhäsive Befestigung zur Sicherung des klinischen Langzeiterfolges zu fordern.

Monolithische Zirkonoxidkronen erreichen zwar nicht die optischen Eigenschaften hochfester Glaskeramiken, sie bieten jedoch den Vorteil reduzierter Präparationstiefen und eines breiteren Indikationsspektrums. Zudem ist bei Zirkon­oxidkeramiken eine konventionelle und/oder provisorische Befestigung möglich, was insbesondere für implantatgestützte Versorgungen interessant sein kann.

Die vollständige Literaturliste gibt es hier.

Mehr Fachartikel aus Implantologie

ePaper