Cosmetic Dentistry 14.08.2020

Die Rot-Weiß-Ästhetik – der Rahmen eines perfekten Lächelns



Die Rot-Weiß-Ästhetik – der Rahmen eines perfekten Lächelns

Als Zahnarzt wird man schnell dazu verleitet, sich ausschließlich auf den Zahn zu fokussieren. Aber sind Form und Farbe die einzigen Merkmale, die unser Lächeln beeinflussen? Jede ästhetische Sanierung beginnt mit der Analyse des Gesichts. Das heißt, unser Auge sollte sich nicht direkt auf den Zahn richten, sondern den Patienten von außen nach innen betrachten und analysieren. Nach dem Gesicht werden die Lippen und zuletzt die Zähne untersucht. Diese Reihenfolge ist wichtig, damit keine Asymmetrien übersehen werden, die später das Gesamtbild der Rekonstruktion unästhetisch wirken lassen.

Für eine dentale Sanierung, mit dem Ziel einer optimalen Rot-Weiß-Ästhetik, haben die Autoren ein Drei-Stufen-Konzept entwickelt, das Schritt für Schritt abgearbeitet werden sollte. Die Vorgehensweise wird nachfolgend erläutert.

1. Gesichtsanalyse

Entscheidend bei der Betrachtung des Gesichts unseres Patienten sind vor allem zwei Hilfslinien: zum einen die Mittellinie und zum anderen die Bipupillarlinie. Diese beiden Parallelen sind bei Abweichungen nicht immer mit dem bloßen Auge zu erkennen. Das A und O bei der Kontrolle ist deshalb ein Fotostatus. Nur so kann man beurteilen, ob die spätere Position der Frontzähne und die Kauebene ästhetisch wirken. Eine minimale Abweichung der Mittellinienposition hat bereits starke Konsequenzen für die Ästhetik, da sie der erste Fixpunkt ist, der jedem Betrachter sofort ins Auge fällt. Die Mittellinie des Gesichts muss durch die Glabella, die Nasenspitze und beiden Frontzähne verlaufen, um ein harmonisches Gesamtbild zu schaffen. Die Kauebene muss parallel zur Bipupillarlinie gestaltet werden, um ein symmetrisches und harmonisches Lächeln zu erzeugen.1

2. Lippenanalyse

Bei der Lippenanalyse gibt es ebenfalls zwei Kriterien, die beachtet werden müssen.

2.1 Lippen in Ruhe

Allgemein bekannt ist, dass die Sichtbarkeit der Oberkieferfrontzähne alle zehn Jahre um 1 mm abnimmt. Das bedeutet, dass eine erhöhte Sichtbarkeit ein Merkmal der Jugend ist, das als ästhetisch empfunden wird. Die Richtlinie besagt, dass bei Männern im Durchschnitt 1,91 mm und bei Frauen 3,40 mm der Zähne in der Ruheschwebelage zu sehen sind. Da diese Proportionen als schön empfunden werden, gilt es, diese nachzubilden.1,2

2.2 Lippen in Aktion (lächelnd)

Die Lachkurve beschreibt den Verlauf der Lippe in Aktion, die in der Regel konvex gewölbt ist. Bei einem harmonischen Lächeln folgen somit die Inzisalkanten der Oberkieferfrontzähne der Unterlippe, die idealerweise ebenfalls eine konvexe Wölbung aufweist. Bei der Entstehung des Lächelns bildet sich eine Schattenzone zwischen den Bukkalflächen der Oberkieferzähne und Mundwinkel, der sogenannte Bukkalkorridor (Lombardi 1973).1 Das Ausmaß hängt zum Großteil von der Weite des Oberkieferzahnbogens, der Gesichtsmuskulatur und Breite des Lächelns ab. Ist der Zahnbogen zu breit und der Bukkalkorridor folglich zu gering, erscheint ein Lächeln als sehr streng und unfreundlich. Wenn der Zahnbogen hingegen zu schmal ist, wird ein zu breiter Bukkalkorridor sichtbar, der die Zähne als zu klein erscheinen lässt. Beim Lächeln ist vor allem die Position der Oberkieferfrontzähne wichtig. Das hat nicht nur einen ästhetischen, sondern auch einen phonetischen Grund. Die richtige Stellung der Frontzähne unterstützt zum einen die Unterlippe, da diese sonst eingefallen wirken würde und bildet zum anderen verschiedene Lippenlaute. Die F-, W- und V-Lautbildung erfolgt über die Oberkieferfrontzähne sowie die Unterlippe. Nur wenn die Oberkieferfrontzähne bei der Aussprache den Übergang zwischen dem feuchten und trockenen Teil der Unterlippe leicht berühren, ist eine einwandfreie Phonetik möglich.

3. Dentalanalyse

Endlich bei der Dentalanalyse angelangt, stellt sich die Frage, wie ein idealer Zahn eigentlich aussieht.

3.1 Höhen-Breiten-Verhältnis

Die idealen Proportionen sind maßgeblich für eine ästhetische Rekonstruktion. Als besonders attraktiv werden Längen-Breiten-Verhältnisse mittlerer Schneidezähne von 75 bis 85  Prozent angesehen.2 Sollten diese Werte nicht eingehalten werden, wirkt der Zahn für Außenstehende entweder zu klein und klobig oder zu lang und schmal.

3.2 Zahn-zu-Zahn-Proportionen

Bereits vor über 2.000 Jahren haben berühmte Künstler versucht, Proportionen zu definieren, die besonders ästhetisch wirken. Am besten bekannt ist der goldene Schnitt (Euklid, 325–270 v. Chr.), der durch das Maßverhältnis von 0,6180 definiert ist. Abgeleitet davon müssen also die Zahn-zu-Zahn-Proportionen von 1,6 zu 1 zu 0,6 (Abb. 2a und b) für eine optimale Wirkung eingehalten werden, wobei kleinere Abweichungen erwünscht sind.3

3.3 AchsenausrichtungDie Neigung der Zahnachsen nimmt von den mittleren Schneidezähnen zu den Eckzähnen zu4:

  • 1er senkrecht
  • 2er senkrecht bis mesial
  • 3er mesial

3.4 Gingivaverlauf

Ein unharmonischer Zahnfleischverlauf hat direkten Einfluss auf die Optik der Zähne, da eine Asymmetrie ein gestörtes Höhen-Breiten-Verhältnis nach sich zieht. Der marginale Gingivsaum folgt der Schmelz-Zement-Grenze, woraus sich ein girlandenförmiger Verlauf ergibt.5 Der apikalste Punkt des Gingivalsaums soll idealerweise etwas distal der Zahnmitte liegen. Der typisch girlandenförmige Saum der Gingiva entsteht vor allem durch den Verlauf der Papillen im Interdentalraum. Die Spitze der Papille liegt im Verlauf vom Eckzahn zu den mittleren Schneidezähnen hin weiter koronal.1

Patientenfall

Nach dieser Fülle an Informationen, die wir uns ab sofort bei jeder Behandlung vor unserem geistigen Auge vergegenwärtigen sollten, arbeiten wir unsere Checkliste an einem besonderen Fall ab.

Unsere Patientin hat sich 2015 in unserer Praxis vorgestellt. Sie störten vor allem ihre ungleichen Frontzähne. Bei einem intensiven Aufklärungsgespräch erklärten wir der Patientin, dass ihr Problem nicht alleine die Zähne 11 und 21 betreffen. Danach sahen wir sie eine lange Zeit nicht wieder. In der Zwischenzeit war sie bei einem Kollegen, der ihrem Wunsch der Einzelzahnrestauration nachgekommen ist. Jetzt, kurz vor ihrer Hochzeit, wollte die Patientin endlich ihr langersehntes perfektes Lächeln.

Ausgangssituation

Im direkten Vergleich der beiden Bilder lässt sich nicht unbedingt eine ästhetische Optimierung feststellen (Abb. 3a und b). Bei Betrachtung fällt auf, dass Zahn 11 und 21 jeweils mit Kronen versorgt wurden, die jedoch weder eine Harmonie der Rot-Weiß-Ästhetik aufweisen, noch im Höhen-Breiten-Verhältnis übereinstimmen. Das hat zur Folge, dass das Lächeln unserer Patientin immer noch unharmonisch wirkt. Wie bereits erwähnt, liegt die Problematik nicht nur bei den Frontzähnen. Wir müssen uns also die Frage stellen, was uns für ein perfektes Lächeln fehlt.

Mit einigen Hilfslinien lässt sich diese Frage schnell beantworten, und es wird deutlich, dass mehr als nur die Restauration von zwei Zähnen nötig ist (Abb. 4). Um ein ideales Lächeln herzustellen, müssen wir eine minimale Mittellinienverschiebung nach links vornehmen, die horizontale Asymmetrie muss begradigt und der Bukkalkorridor geweitet werden. Als wichtigster und letzter Punkt ist zu erwähnen, dass durch das minimale Gummy Smile der Patientin ein besonderes Augenmerk auf der gingivalen Symmetrie liegen sollte. Nach der ausführlichen Analyse kann mit der Planung begonnen werden. Wie ist dabei vorzugehen?

Präparation inkl. chirurgischer Kronenverlängerung und Gingivektomie

Wir müssen uns klarmachen, dass aufgrund der Sichtbarkeit des Zahnfleisches unserer Patientin jegliche Harmonie vom Zahnfleischverlauf abhängt. Das heißt, dass wir in diesem Fall den Gingivaverlauf insgesamt harmonisieren müssen. Anhand unserer Hilfslinien wird deutlich, dass die Kauebene des 2. Quadranten nach oben verlagert werden muss, was für uns bedeutet, dass im 1. Quadranten eine Gingivektomie zur Zahnfleischkorrektur genügt, im 2. Quadranten hingegen eine chirurgische Kronenverlängerung (Abb. 5) nötig wird, um die biologische Breite einhalten zu können. Die Ausheilung bei solch einem Eingriff sollte ungefähr acht Wochen betragen, um ein stabiles Ergebnis zu erhalten und gegebenenfalls eine Nachkorrektur durchführen zu können. Um unseren operativen Eingriff zu stützen, wird bereits in derselben Sitzung die Präparation der Zähne vorgenommen. Auch hier ist darauf zu achten, dass man sich an seine Planung hält. Der 2. Quadrant muss in der Höhe deutlich reduziert werden, wohingegen im 1. Quadranten nur eine minimale Präparation nötig ist, um die horizontalen Diskrepanzen auszugleichen. Das idealisierte Provisorium (Abb. 6) wird auf die präparierten Zähne geklebt, was zum einen den Vorteil hat, dass eine Kontrolle unserer Behandlung gewährleistet wird und zum anderen die Patientin unsere Praxis bereits mit einem deutlich schöneren Lächeln verlassen kann, während das Zahnfleisch in Ruhe abheilt.

Provisorium

Nach der Abheilung (Abb. 7) hat der Patient die Möglichkeit, Anregungen zur Optimierung zu äußern. Schönheit liegt im Auge des Betrachters und um jeden Patienten glücklich zu machen, sollte man auf dessen Vorstellungen und Wünsche eingehen. Es wird ein neues idealisiertes Provisorium angefertigt, das perfekt auf den Patienten angepasst wird. Ganz wichtig bei diesem Schritt ist es, dem Techniker diese Informationen eins-zu-eins zu übermitteln. Aufgrund dessen sollten ein Fotostatus und ein Überabdruck angefertigt werden, denn nur so ist ein optimaler Informationsfluss möglich.

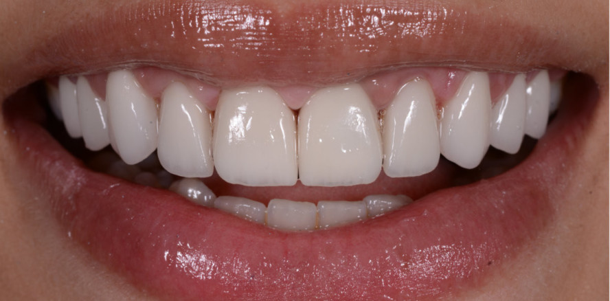
Abgabe

Durch das Provisorium hatte die Patientin zwar bereits eine ungefähre Vorstellung, wie ihr neues Lächeln in Zukunft aussehen wird, der Tag der Eingliederung ist jedoch für jeden Patienten etwas ganz Besonderes. Sobald das Provisorium abgenommen wird und die einzelnen Kronen und Veneers eingesetzt werden, realisieren die Patienten, dass ihr langersehntes Lächeln in diesem Moment Realität wird. Wenn wir das Lächeln unserer Patientin nun betrachten, lässt sich zusammenfassend sagen, dass viele Parameter die Ästhetik beeinflussen und diese bei Vernachlässigung nur eines Punkts drastisch gestört wird. Durch die Zahnfleischkorrektur wird unserem Lächeln ein wunderschöner Rahmen verliehen, der für das Gesamtbild eine entscheidende Rolle spielt.

Die vollständige Literaturliste gibt es hier.

Dieser Beitrag ist in der Cosmetic Dentistry erschienen.

Foto: Dr. Yasin Aktas/Dr. Jessica Mertens

Mehr Fachartikel aus Cosmetic Dentistry

ePaper