Cosmetic Dentistry 28.08.2013
Die kieferorthopädische Behandlung erwachsener Patienten
share
Teil 2: Kieferorthopädie und Kieferchirurgie
Einleitung
Okklusion, Funktion und Ästhetik werden in der modernen Kieferorthopädie und hier speziell in der kombiniert kieferorthopädisch-kieferchirurgischen Behandlung als gleichwertige Parameter betrachtet. Die Ziele einer kieferorthopädischen bzw. kombiniert kieferorthopädisch-kieferchirurgischen Behandlung sind:
- Herstellung einer neutralen, stabilen und funktionellen Okklusion bei physiologischer Kondylenposition
- Optimierung der Gesichtsästhetik
- Optimierung der dentalen Ästhetik unter Berücksichtigung der Parodontalverhältnisse
- Sicherung der Stabilität des erreichten Ergebnisses
- Erfüllung der Erwartungen bzw. Zufriedenheit des Patienten.
Hinsichtlich der Beurteilung der Erfolgsaussichten einer kieferorthopädischen Therapie sind folgende Faktoren in Betracht zu ziehen:
- Ausprägungsgrad der vorliegenden Dysgnathie
- Wachstumskonfiguration und Wachstumspotenzial
- individuelle Reaktion der parodontalen und skelettalen Strukturen
- Allgemeinzustand des Gebisses
- Alter des Patienten
- Patientenmitarbeit (Compliance)
- Wünsche und Erwartungen des Patienten
- Qualifikation des Behandlers.
Bei dentoalveolären Behandlungsmaßnahmen können die Behandlungsziele, die als das individuell funktionelle und ästhetische Optimum für den zu behandelnden Patienten zu sehen sind, mit den heutigen modernen Behandlungsmethoden vielfach erreicht werden. Während Dysgnathien geringen Umfangs durch rein dentoalveoläre Maßnahmen ausgeglichen werden können, stellt sich vor allem bei ausgeprägten sagittalen Diskrepanzen, wie z.B. bei Klasse II-Dysgnathien, die Frage, mithilfe welcher Ansätze diese erfolgreich behandelt werden können. Ist die Kieferrelation korrekt und handelt es sich um eine rein dentoalveoläre Dysgnathie, kann diese durch dentale Bewegungen korrigiert werden. Allerdings sind diese dentalen Bewegungen nur bis zu einem bestimmten Grad möglich und somit limitiert. Eine Korrektur bzw. stabile dentale Kompensation einer skelettalen Dysgnathie (z.B. Beseitigung des frontalen Kreuzbisses bei einer Klasse III, Beseitigung einer extrem vergrößerten sagittalen Frontzahnstufe bei einer Klasse II) sind bei manchen Fällen fraglich und stellen in aller Regel einen Kompromiss in ästhetischer und/oder funktioneller Hinsicht dar.
Indikation für die kombinierte kieferorthopädisch-kieferchirurgische Behandlung
Zur Abklärung der Frage, welche Möglichkeiten zur Therapie der Klasse II-Dysgnathie infrage kommen, muss das verbliebene Wachstum des Patienten bestimmt werden.8 Eine Therapieform, die beim Heranwachsenden als kausale Therapie erachtet wird, ist die funktionskieferorthopädische Behandlung, mit der das Wachstum beeinflusst werden kann.2,5,12,13,16–20,22 Ist kein Wachstum therapeutisch verfügbar, verbleibt als kausale Therapieform die orthognathe Chirurgie, mit der die Lagendiskrepanz zwischen den beiden Kiefern korrigiert werden kann. Mit der Korrektur der Lagediskrepanz ändert sich das äußere Erscheinungsbild. Eine Prämisse zur erfolgreichen Durchführung einer kombinierten Therapie ist, dass weniger invasive Behandlungsmöglichkeiten (z.B. die erwähnte Wachstumsbeeinflussung) nicht mehr angewandt werden können bzw. nicht zum Erreichen der aufgestellten Behandlungsziele führen oder sogar den Zustand verschlechtern (z.B. Extraktion bei einem flachen Mundprofil oder Distalisation bei einem knappen Überbiss). Kombiniert kieferorthopädisch-kieferchirurgische Eingriffe sind häufig Wahleingriffe und unterliegen trotz des weit entwickelten Behandlungsablaufes und der geringen Risikogefahr einer sehr strengen infunktionellen Störung
- deutlich beeinträchtigte dento-faziale Ästhetik
- Kiefergelenkprobleme
- parodontale Destruktionen
- prothetische Versorgung nicht adäquat möglich
- totale Rehabilitation, wie z.B. bei Lippen-Kiefer-Gaumen-Spalt-Patienten.
Über die Behandlungsmotivation kieferorthopädischer Patienten wurden unzählige Befragungen durchgeführt, wobei das Alter, das Geschlecht oder der Bildungsstand Variablen der Bewertung waren. Die Untersuchungen von Flanary7, Jacobson9 und Kiyak10 bezüglich Motiv, Erwartung und Zufriedenheit wiesen darauf hin, dass sich 79% bis 89% der Patienten,13 die sich einer kombinierten kieferorthopädisch-kieferchirurgischen Behandlung unterziehen, dies nicht nur aus funktionellen, sondern vor allem aus ästhetischen Gründen tun, wobei die Gewichtung für den einzelnen z.B. in Abhängigkeit der extraoralen Ausprägung der Dysgnathie unterschiedlich ausfällt. Zusätzlich hat Kijak10 bei seinen Untersuchungen festgestellt, dass mehr Frauen als Männer ihren Wunsch zur Verbesserung der fazialen Ästhetik geäußert haben. Scott et al.15 haben in ihrer Studie/Befragung nach Behandlungsmotiven und -erwartungen prä- und postoperativ – festgestellt, dass Patienten postoperativ über Behandlungsmotive berichteten, die präoperativ nicht als wichtig eingestuft bzw. gar nicht erwähnt wurden und vorwiegend aus dem Bereich der Ästhetik kamen.4,6,11,18,20,21
Entsprechend muss sich der Kieferorthopäde an einem Behandlungsziel orientieren, das sowohl ästhetische als auch funktionelle Belange für den Einzelnen maximal erfüllt, da z.B. eine rein okklusionsorientierte Therapie nicht unbedingt mit einem fazialästhetisch befriedigenden Ergebnis verbunden sein muss.
In diesem Artikel wird die Möglichkeit der kausalen Therapie einer skelettalen Dysgnathie durch eine kombiniert kieferorthopädisch-kieferchirurgische Korrektur abgehandelt.
Klinische Darstellungen und Behandlungssystematik
Patientengeschichte und Anamnese
Die Patientin stellte sich im Alter von 29 Jahren zu einer kieferorthopädischen Behandlung vor. Ihre Kaufunktion war deutlich eingeschränkt. Die Patientin störte vor allem die Disharmonie in der Gesichtsästhetik. Sie fühlte sich durch die Eng- und Drehstände der Ober- und Unterkieferfrontzähne und ihre Physiognomie ästhetisch beeinträchtigt. Bei der Patientin lag keine Erkrankung vor.
Diagnose
Die Fotostataufnahmen zeigen den erschwerten Mund- und Lippenschluss in der zentrischen Relation. Im Gesicht ist die Unterkieferabweichung nach links zu sehen (Abb. 1a und b). Das Fotostat von lateral zeigt ein Rückgesicht schräg nach vorne und im Vergleich zum Mittelgesicht ein langes Untergesicht – 55% statt 50% (Abb. 1c, d, Tabelle 1). Die Fotostatanalyse in der Transversalen zeigt eine Disharmonie zwischen Nasen- und Mundbreite sowie Augenabstand (Abb. 1e). Die Patientin hatte eine Klasse III-Dysgnathie mit mandibulärer Mittellinienverschiebung nach links, einen zirkulären Kreuzbiss (Abb. 2a–e). Im Oberkieferzahnbogen bestand ein Engstand von ca. 4,5 mm hauptsächlich im Eckzahnbereich. Der Engstand im Unterkiefer betrug ca. 4mm. Die vorliegende skelettale Dysgnathie ist teilweise dentoalveolär kompensiert.
Das OPG (Abb. 3) zeigt, dass alle Zähne einschließlich alle 8er vorhanden sind, die vor der Operation entfernt wurden, weil sie im Operationsfeld standen.

Die FRS-Aufnahme zeigt deutlich die Dysgnathie in der Sagittalen und Vertikalen sowohl im Weichteilprofil als auch im skelettalen Bereich: mesiobasale Kieferrelation und strukturell neutrales abgelaufenes Wachstumsmuster. Die vertikale Einteilung des Weichteilprofils zeigte eine Disharmonie zwischen dem Ober- und dem Untergesicht (G’-Sn : Sn-Me’; 45% : 55%). Diese äußerte sich ebenso in den knöchernen Strukturen (N-Sna : Sna-Me; 41% : 59%). Im Bereich des Untergesichtes bestand eine harmonische Relation (Sn-Stms : Stms-Me’; 33% : 67%) (Abbildung 4, Tabelle 1). Die dentale Analyse zeigt eine dentoalveolare Kompensation der skelettalen Dysgnathie; nahezu achsengerecht stehende Oberkieferfront, während die Unterkieferfront nach lingual gekippt steht (Tabelle 1).
Therapieziele und Therapieplanung
Die angestrebten Ziele dieser kieferorthopädischen bzw. kombiniert kieferorthopädisch-kieferchirurgischen Behandlung sind:
- Herstellung einer neutralen, stabilen und funktionellen Okklusion bei physiologischer Kondylenposition
- Optimierung der Gesichtsästhetik
- Gewährleistung des Mund- bzw. Lippenschlusses
- Optimierung der dentalen Ästhetik unter Berücksichtigung der Parodontalverhältnisse
- Sicherung der Stabilität des erreichten Ergebnisses
- Erfüllung der Erwartungen bzw. Zufriedenheit des Patienten.
Als besonderes Behandlungsziel ist die Verbesserung der Gesichtsästhetik nicht nur in der Sagittalen im Bereich des Untergesichtes (Unterkieferregion), sondern auch im Bereich des Mittelgesichtes (Hypoplasie) sowie in der Transversalen zu nennen. Die Veränderung im Bereich des Mittelgesichtes sollte sich auf der Oberlippe und Oberlippenrot, der Nase sowie der Mundform bzw. -breite niederschlagen. Diese Behandlungsziele sollten durch zwei Maßnahmen erreicht werden:
- Eine Oberkieferimpaktion (Verlagerung nach kranial) und gleichzeitig eine Verlagerung nach anterior. Dies führt zu einer Korrektur der vertikalen Disharmonie und zur Harmonisierung des Mittelgesichtes.
- Eine Verlagerung des Unterkiefers nach dorsal mit Seitenschwenkung nach rechts für die Korrektur der sagittalen und transversalen Unstimmigkeiten sowohl in der Okklusion als auch im Weichteilprofil.
Die Verbesserung der Gesichtsästhetik in der Vertikalen sollte durch eine relative Verkürzung des Untergesichtes erfolgen. Eine Verkürzung des Untergesichtes als kausale Therapie mit entsprechendem Effekt auf die faziale Ästhetik und Lippenfunktion konnte bei dieser Patientin nur durch eine kombiniert kieferorthopädisch-kieferchirurgische Behandlung erreicht werden. Mit alleinigen orthodontischen Maßnahmen wären die angestrebten Ziele hinsichtlich der Ästhetik und Funktion nicht zu erreichen gewesen. Die Dysgnathie war zu gravierend für einen alleinigen dentoalveolären Ausgleich. Als Operation wurde eine bimaxilläre Osteotomie geplant. Zur Verbesserung der Vertikalen war eine Oberkieferimpaktion notwendig, die im dorsalen Bereich stärker als im ventralen Bereich durchgeführt werden sollte. Als Folge der Impaktion sollte der Unterkiefer mit den Kondylen als „Rotationszentrum“ in der Sagittalen und Vertikalen autorotieren; dabei war eine Verlagerung des Pogonion nach ventral und gleichzeitig nach kranial zu erwarten (Abb. 5). Zur vollständigen Korrektur der sagittalen Dysgnathie war zusätzlich eine Unterkieferrückverlagerung geplant.
Therapeutisches Vorgehen
Die Korrektur der angesprochenen Dysgnathie erfolgte in 6 Phasen:
- „Schienentherapie“: Zur Ermittlung der physiologischen Kondylenposition bzw. Zentrik vor der endgültigen Behandlungsplanung wurde für sechs Wochen eine plane Aufbissschiene im Unterkiefer eingesetzt. Dadurch konnte ein möglicher Zwangsbiss in seinem ganzen Ausmaß dargestellt werden.
- Orthodontie: Orthodontie zur Ausformung und Abstimmung der Zahnbögen aufeinander und Dekompensation der skelettalen Dysgnathie. Entscheidend bei der Vorbereitung waren die Protrusion und das Torque der Oberkieferfront nicht nur zur Auflösung des Engstandes, sondern auch hinsichtlich der durchzuführenden Operation, bei der die Maxilla impaktiert und nach posterior rotiert wird. Zur orthodontischen Behandlung wurde eine Multiband-Apparatur (22er Slot-Brackets) verwendet (Abb. 6a–e).
- 4–6 Wochen vor dem operativen Eingriff bis zum operativen Eingriff „Schienentherapie“ zur Ermittlung der Kondylenzentrik. Ziel ist die Registrierung des Kiefergelenks in physiologischer Position (Zentrik).
- Kieferchirurgie zur Korrektur der skelettalen Dysgnathie. Nach Modelloperation, Festlegung der Verlagerungsstrecke und Herstellung der Splinte, wurde am Oberkiefer eine Le Fort I-Osteotomie durchgeführt, bei der die Maxilla im dorsalen Bereich um 4,5mm und im ventralen Bereich um 2,5mm nach kranial impaktiert und 5mm nach ventral verlagert wurde, sodass eine posteriore Rotation der gesamten Maxilla eintrat. Durch die Autorotation des Unterkiefers wurde die mesiale Okklusion verrstärkt. Der Rest der Korrektur der Klasse III-Okklusion erfolgte durch die operative Unterkieferrückverlagerung. Die operative Rückverlagerungsstrecke betrug rechts 5mm und links 7,5mm mit einem Seitenschwenk von 2,5mm nach links.
- Orthodontie zur Feineinstellung der Okklusion. Während der Ruhestellung der Unterkiefersegmente (sieben Tage postoperativ) wurden im Bereich der Okklusionsinterferenzen, insbesondere in der Vertikalen, Up-and-down-Gummizüge eingesetzt. Nach Entfernung der maxillomandibulären Fixation erfolgte die Feineinstellung der Okklusion. Diese Phase dauerte ca.fünf Monate.
- Retention: Im Unterkiefer wurde ein 3-3 Retainer geklebt. Als Retentionsgerät wurden Unter- und Oberkieferplatten eingesetzt.
Ergebnisse und Diskussion
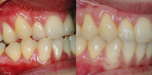
Die intraoralen Bilder zeigen die Situation nach der Behandlung (Abb. 7a–e). Es wurden neutrale Okklusionsverhältnisse auf beiden Seiten und harmonische Zahnbögen hergestellt. Die extraoralen Aufnahmen lassen eine harmonische Gesichtsdrittelung in der Vertikalen, die durch die operative Verkürzung des Untergesichtes erreicht wurde, und ein harmonisches Profil in der Sagittalen erkennen. Das Mundprofil ist harmonisch bei entspanntem Lippenschluss (Abb. 8a–d). Funktionell lagen keine Einschränkungen bei den Unterkieferbewegungen. Die FRS-Aufnahme zeigt die Änderungen der Parameter (Abb. 9, Tabelle 1). Aufgrund der operativen Impaktion und der leichten Rotation der Maxilla hat sich die Neigung der Oberkieferbasis minimal verändert. Impaktion und Autorotation führten zu einer Verkleinerung der anterioren Gesichtshöhe, sodass es zu einer leichten Vergrößerung und somit zu einer Harmonisierung des Verhältnisses kam. Bei der vertikalen Einteilung des knöchernen und Weichteilprofils zeigt sich eine Harmonisierung. Die Relation zwischen dem knöchernen Ober- und Untergesicht blieb unverändert. Das OPG (Abb. 10) zeigt die Situation nach Ende der Behandlung und vor der Entfernung des Osteosynthesematerials.
Autoren: Priv.-Doz. Dr. med. dent. N. Watted, Priv.-Doz. Dr. med. Dr. med. dent. J. Bill, Dr. med. dent. S. Kleimann, Dr. med. dent. B. Shlomi, Dr. med. dent. V. Reiser