Cosmetic Dentistry 27.07.2011

Minimal- und No Prep- Veneers bei Amelogenesis imperfecta



Minimal- und No Prep- Veneers bei Amelogenesis imperfecta

Entgegen der landläufigen Meinung eignen sich Minimal- und No Prep-Veneers nicht nur zur Verbesserung der ästhetischen Situation, sondern stellen inzwischen eine hervorragende Möglichkeit dar, auch medizinische Probleme hoch ästhetisch unter maximaler Substanzschonung zu lösen. Dass diese Technik selbst bei klinisch sehr ungewöhnlichen, in der täglichen Praxis extrem seltenen Krankheitsbildern eine hervorragende Therapiemöglichkeit darstellt, zeigt der folgende Fall:

Die 13-jährige Patientin stellte sich in unserer Praxis mit dem Wunsch nach einer ästhetischen Verbesserung ihrer Situation vor. Sie gab an, in der Schule wegen Ihrer „braunen“ Zähne massiv gehänselt zu werden. Klinisch bot sich das Bild einer generalisierten Amelogenesis imperfecta (Abb. 1 und 2). Die Erkrankung scheint autosomal dominant vererbt worden zu sein, da neben dem Vater auch alle weiteren Geschwister betroffen sind. Die massive Ausprägung der Erkrankung macht insbesondere Abbildung 2 deutlich. Wie in der Literatur beschrieben fanden sich erhebliche Abrasionen zum Beispiel in der Unterkieferfront (Abb. 3). Insbesondere beim hypomaturischen Typ (Amelogenesis imperfecta Typ 2) wird bei ausgeprägten Formen ein häufiger Verlust der vertikalen Dimension beschrieben (Rateischak, 2000). Da eine Versorgung mit indirekten Restaurationen zwingend erforderlich war, mussten die Vor- und Nachteile konventionell zu zementierender Gold- oder VMK-Kronen sowie ädhäsiv zu befestigender Komposit- oder Keramikrestaurationen gegeneinander abgewogen werden. Bei einer Amelogenesis imperfecta muss sicherlich mit einer Beeinträchtigung des Ätzmusters gerechnet werden (Schmidlin, 2005). Die von Seow und Amaratunge 1998 beschriebenen möglichen Varianten des Ätzmusters erlauben oft dennoch ein adäquates Bonding (Gwinnett und Matsui 1967). Da der Haftverbund bei den vom Vorbehandler durchgeführten Kompositversorgungen in der Oberkieferfront ausreichend war, entschied sich der Autor für eine adhäsiv zu befestigende, langzeitprovisorische Versorgung mit Minimal- bzw. No Prep-Kompositkronen und Veneers.

Nach funktioneller Vorbehandlung erfolgte das Mock-up, um die ästhetische und funktionelle Planung zu überprüfen. Nachdem der Silikonwall im Sinne eines Korrekturabdruckes erstellt wurde, wird er mit Luxatemp Star befüllt (Abb. 5) und für drei Minuten im Mund des Patienten belassen. Luxatemp Star eignet sich perfekt, da es aufgrund seiner hohen Biegebruchfestigkeit von 121 MPa nach 24 Stunden (geschichtete Feldspatkeramik weist hier nur Werte bis zu 100 MPa auf) dem Behandler die Möglichkeit gibt, dieses Mock-up für einen Zeit­raum von bis zu zwölf Wochen im Mund des Patienten zu testen. Die Ausarbeitung des Mock-up’s erfolgt im Mund des Patienten, da bei intraoraler Ausarbeitung die zur Verfügung stehende mechanische Retention maximal ausgenutzt werden kann und ein punktuelles Ätzen und Bonden nicht notwendig ist. Wenn das Mock-up länger als zwei Wochen getragen werden soll, ist es empfehlenswert, vor dem Einbringen des Silikonwalls mit Luxatemp Star eine dünne Schicht Optibond FL 2 (Kerr) auf die zu versorgenden Zähne aufzutragen, um Undichtigkeiten zu vermeiden. Abbildung 6 zeigt die Situation direkt nach Entnahme des Silikonwalls. Es wird deutlich, dass der zervikale Rand des Mock-up’s nur noch minimal ausgearbeitet werden muss. Dies erfolgt am einfachsten mit dem sogenannten „Moskito“-Bur (Frank Dental). Besonderes Augenmerk muss auf die Papille gelegt werden. Hier ist es zwingend notwendig, die Papille, wie in Abbildung 11 ersichtlich, sorgfältig freizulegen, da diese Technik die Papille verdrängt und sonst nach der Entfernung des Mock-up’s ein schwarzes Dreieck sichtbar wäre. Abschließend wird Luxatemp Glaze & Bond aufgetragen (Abb. 8), um eine hoch ästhetische, verfärbungsunempfindliche Oberfläche zu erzielen. Zwar scheint aufgrund der zum Teil extrem geringen Schichtstärke des Mock-up’s an einigen Stellen die bräunliche Unterstruktur durch (Abb. 9), dennoch ist die ästhetische Verbesserung beeindruckend.

Bereits in der ersten Woche nach Erstellung des Mock-up’s erhielt die Mutter der Patientin einen Anruf der Klassenlehrerin. Diese gab an, dass sich die Patientin plötzlich am Unterricht beteilige und viel selbstbewusster auftreten würde. Hier wird deutlich, wie sehr gerade Jugendliche unter einer derart massiven Verfärbung der Zähne leiden können und in welchem Umfang sich dies auch auf die schulische Perspektive auswirken kann. Nach Ende der funktionellen und ästhetischen Testphase wurde das Mock-up zunächst im 2. und 3. Quadranten entfernt und in diesem Bereich eine Verschlüsselung mit Luxabite vorgenommen. Dadurch konnte sowohl die zentrische Position als auch die vertikale Dimension exakt übertragen werden. Soweit möglich wurde auf eine konventionelle Präparation vollständig verzichtet. Es erfolgte im Approximalbereich lediglich eine geringfügige Präparation, um die Kontaktpunkte aufzulösen und dadurch die vorhandene Zahnsubstanz vollständig fassen zu können. Zusätzlich musste vereinzelt die obere, extrem angegriffene Schmelzschicht entfernt werden.

Abbildung 10 zeigt die laborgefertigten Langzeitprovisorien auf dem Modell. Die aufwendige Schichtung erfolgte mit dem Kunststoff New Outline (anaxdent) in Dentin A1, Schneide High Value & Clear, die Individualisierung erfolgte mit Acryline Acryl Marker (anaxdent) white und yellow. Nachdem das Mock-up entfernt wurde, erfolgte ­zunächst das Try-in. Es wurden verschiedene Try-in Farben (Vitique, DMG) verwendet, um das beste ­ästhetische Ergebnis zu erzielen. Anschließend wurden die Zähne mit Ätzgel angeätzt (Abb.11) und ­anschließend mit Prime & Bond NT (Dentsply) sowie Vitique (DMG) in der zuvor ausgewählten Farbe A1 eingesetzt (Abb. 12).

Fazit

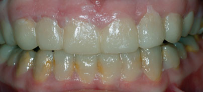
Minimalinvasive Verfahren stellen eine hervorragende Möglichkeit zur substanzschonenden Versorgung auch schwierigster Fälle dar. Das ästhetische Ergebnis ist mehr als zufriedenstellend (Abb. 13). Nach Abschluss der Wachstumsphase kann die endgültige Versorgung mit einer vollkeramischen Restauration erfolgen.

Mehr Fachartikel aus Cosmetic Dentistry

ePaper