Endodontologie 13.04.2018
Bioceramics in der Endodontie
share
Die Geschichte der Wurzelkanalbehandlung geht bis ins 18. Jahrhundert zurück. Seitdem beschäftigt sich die Forschung mit dem „Inneren“ des Zahnes, der Endodontologie. Im Laufe der Zeit wurden die drei Bereiche Aufbereitung, Desinfektion und Obturation zum Fokus der Wissenschaft. In den letzten beiden Jahrzehnten wurden bei Aufbereitung und Desinfektion enorme Fortschritte erzielt, wobei sich die Sealer zur Obturation nur unwesentlich verändert haben. Biokeramische Materialien sind in der Wurzelkanalbehandlung schon seit den 1990er-Jahren im Einsatz, konnten sich aber aufgrund des schwierigen Handlings nicht als Obturationsmaterial durchsetzen. Der folgende Beitrag soll die Weiterentwicklung dieser vielversprechenden Materialien und ihre Einsatzmöglichkeiten in der modernen Endodontie anhand von wissenschaftlichen Studien und klinischen Beispielen aufzeigen.
Das Ziel der wissenschaftlichen Forschung der letzten Jahrzehnte und der Wunsch der Praktiker war es, einen Werkstoff zu entwickeln, der die Limitationen der herkömmlichen Wurzelkanalfüllungsmaterialien überwinden kann. Er sollte feuchtigkeitsverträglich, antibakteriell, aber gleichzeitig biokompatibel sein und zusätzlich noch keine oder eine möglichst kleine Schrumpfung aufweisen. Diese Eigenschaften konnte das Anfang der 1990er-Jahre entwickelte Mineral Trioxid Aggregat (MTA) erfüllen, wobei dieses hauptsächlich zur direkten Überkappung, bei der Apexifikation, in der apikalen Chirurgie als retrogrades Füllungsmaterial und zur Perforationsdeckung eingesetzt wurde. Als Sealer konnte es aber wegen seiner schwierigen Verarbeitungseigenschaften nicht eingesetzt werden. Die in den letzten Jahren entwickelten biokeramischen Wurzelkanalfüllmaterialien vereinen nun die oben genannten Eigenschaften mit einer deutlichen Verbesserung der Verarbeitung und könnten damit in Zukunft eine breitere Anwendung bei der Obturation finden.
Mineral Trioxid Aggregat (MTA)
MTA ist ein modifizierter hochreiner Portlandzement, der im Gegensatz zum Portlandzement frei von Schwermetallen und Arsen ist.1 1993 wurde seine Anwendung in der Zahnheilkunde, insbesondere in der Endodontie, von einer Forschungsgruppe an der Universität von Loma Linda unter der Leitung von Mahmoud Torabinejad erstmals publiziert.2,3 Die Hauptbestandteile von MTA sind Kalziumsilikat, Trikalziumaluminat und Kalziumsulfat. Zur Erhöhung der Röntgenopazität wird Bismutoxid hinzugefügt. 1998 wurde ProRoot MTA (Dentsply Sirona, USA) als erstes Produkt auf dem amerikanischen Markt für dentale Zwecke zugelassen. Dieses MTA war grau (GMTA) und enthielt noch zusätzlich Tetrakalziumaluminatferrit. Seit 2002 gibt es MTA in der von Eisenoxid bereinigten Form als weißes MTA (WMTA). Das Eisenoxid war verantwortlich für die manchmal ästhetisch ungünstigen Verfärbungen.4
MTA wird als Pulver mit sterilem, destilliertem Wasser angemischt, es entsteht zunächst ein kolloidartiges Gel, das dann innerhalb von mehreren Stunden aushärtet.1 2007 wurde der erste vorgemischte und gebrauchsfertige Sealer (iRoot® SP) von der kanadischen Firma Innovative BioCeramics, Inc (IBC) entwickelt. 2008 kam ein in der Zusammensetzung sehr ähnliches Produkt auf den Markt, welches von der US-amerikanischen Firma Brasseler USA (BUSA) unter den Produktnamen EndoSequence und TotalFill® vertrieben wird. Seit 2013 sind diese beiden Produkte als TotalFill® BC Sealer™ (FKG, American Dental Systems) und EndoSequence Biokeramik (Henry Schein) auch in Deutschland erhältlich.

Studienlage
Über MTA wurden bislang ca. 2.300 Studien veröffentlicht, bei den gebrauchsfertigen, vorgemischten biokeramischen Materialien beschränkt es sich bis jetzt auf ca. 70 Studien. Hierbei werden hauptsächlich die wichtigsten Eigenschaften Bioaktivität, Biokompatibilität und Zytotoxizität, pH-Wert und antibakterieller Effekt, Dichtigkeit und Revisionsverhalten untersucht. MTA ist weitgehend feuchtigkeitsunempfindlich. In Penetrationstests konnte eine gute Randdichtigkeit, welche im Vergleich zu alternativen Materialien mindestens gleichwertig war, festgestellt werden.4 Verschiedene Studien finden sogar für MTA überlegene Werte.5 Die Biokompatibilität von MTA ist sehr gut, es induziert eine Wurzelzementneubildung an der Oberfläche zum Parodont und ist damit in seiner Produktklasse einzigartig.1
In zahlreichen Studien zeigt sich die Bioaktivität der biokeramischen Materialien. Das bedeutet, dass eine positive Wirkung auf zelluläre Interaktionen eintritt.7 Es kommt zur Präzipitation von Hydroxylapatit-Strukturen, die sich mit der Zeit vermehren.8 Auf der Oberfläche der biokeramischen Sealer zeigen humane Pulpazellen eine optimale Proliferation und Mineralisation.9 Eine Studie von 2001 bescheinigt MTA und Kalziumphosphat-Zementen eine gute Biokompatibilität und bezeichnet sie als die zukünftige Alternative.10 Eine Anlagerung von für die Wundheilung notwendigen Zellen wird gefördert. Außerdem konnte eine geringere Toxizität als bei herkömmlichen Sealern festgestellt werden. AH Plus war signifikant höher toxisch als BC Sealer™ und MTA.11 In der apikalen Chirurgie erfreuen sich Silberamalgam und SuperEBA ungebrochen hoher Beliebtheit, obwohl die Überlegenheit des MTA hinsichtlich Biokompatibilität, geringerer inflammatorischer Reaktion und Dichtigkeit hinreichend belegt ist.12 Im direkten Vergleich für die Indikation als retrogrades Füllmaterial zeigten MTA und BC Sealer ähnlich gute Eigenschaften.13

Biokeramische Materialien haben während des Abbindens einen hohen pH-Wert und damit eine gute antibakterielle Wirkung.14 Der pH-Wert ist außerdem signifikant höher als bei AH Plus und bleibt auch über einen längeren Zeitraum im alkalischen Bereich, was wiederum die Elimination von Bakterien wie E. faecalis fördert.14–16 Die Schrumpfung des Sealers war schon immer ein wichtiger Faktor in Bezug auf die Dichtigkeit einer Wurzelfüllung. Daraus resultierte die Entwicklung verschiedener Wurzelfülltechniken (laterale Kondensation und thermoplastische Techniken), um diesen Effekt zu kompensieren.
BC Sealer™ hingegen weist keine Volumenschrumpfung in der Abbindephase auf. In einigen Untersuchungen konnte kein signifikanter Unterschied im Vergleich biokeramischer Sealer mit einer Einstifttechnik vs. AH Plus mit thermoplastischer Fülltechnik festgestellt werden.17 Die neuen biokeramischen Sealer versiegeln den Wurzelkanal zwar besser als herkömmliche, können Undichtigkeiten aber nicht vollständig eliminieren.18
Das Revisionsverhalten ist eine häufig untersuchte Eigenschaft von Sealern. BC Sealer™ kann bei der endodontischen Revision nicht immer vollständig entfernt werden, in 20 Prozent der Fälle konnte keine apikale Durchgängigkeit (patency) erreicht werden.19 Bis dato ist kein Lösungsmittel für BC bekannt. Handfeilen und rotierende Revisionsfeilen können biokeramische Sealer nicht immer vollständig entfernen, dies gilt aber auch für andere herkömmliche Sealer.20 Tabelle 1 zeigt Zwei-Komponenten-Produkte (Pulver–Flüssigkeit), Tabelle 2 vorgemischte, gebrauchsfertige Produkte.
Klinische Fälle
Abschließend werden zwei klinische Fälle aufgeführt, bei denen ein biokeramisches Material als Sealer (TotalFill® BC Sealer™), zur Perforationsdeckung (TotalFill® BC RRM) und zum retrograden Verschluss (TotalFill® BC Putty) verwendet wurde. Beim ersten Fall wurde der 19-jährige Patient zur Weiterführung der endodontischen Behandlung an den Zähnen 31 und 32 überwiesen. In Abbildung 1 sieht man Zahn 31 mit einer apikalen Läsion und Zahn 32 mit einem frakturierten Instrument. Auf dem angefertigten DVT zeigt sich noch zusätzlich eine Perforation nach bukkal an Zahn 32 (Abb. 2) und bei Zahn 31 ein Wurzelkanalverlauf Typ III nach der Klassifikation von Vertucci (Abb. 3). Das heißt, ein Wurzelkanal, der sich teilt, aber wieder in einem Foramen endet (1-2-1).
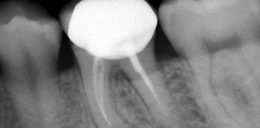
Zuerst wurde das Fragment mit Ultraschall entfernt und die Perforationsdeckung mit TotalFill® BC RRM durchgeführt. Nach Erstellung eines manuellen Gleitpfades mit Handfeilen ISO 008 und 010 sowie elektronischer Längenmessung (Root ZX, J. Morita, Japan) wurde ergänzend ein maschineller Gleitpfad (PathFiles®, Dentsply Maillefer) instrumentiert. Danach erfolgte die weitere mechanische und chemische Desinfektion beider Zähne unter Verwendung von Handinstrumenten und maschineller Aufbereitung mit einem flexiblen NiTi-System (XP-endo® Shaper, FKG, Schweiz) und ultraschallaktivierter Desinfektion mit 5,25%igem NaOCl unter dem Operationsmikroskop (OPMI PROergo®, Zeiss, Oberkochen). Abbildung 4 zeigt das Abschlussbild nach Wurzelkanalfüllung mit TotalFill® BC Sealer™. Auf den Recall-Bildern nach sechs Monaten und 1,5 Jahren ist der Verlauf mit vollständiger Ausheilung der apikalen Läsion ersichtlich (Abb. 5 und 6).
Im zweiten Fall kam die 35-jährige Patientin mit akuten Beschwerden auf Empfehlung in unsere Praxis, nachdem ihr geraten wurde, den Zahn extrahieren zu lassen. Abbildung 7 zeigt den Zahn 36 mit insuffizienter Wurzelfüllung, frakturiertem Instrument in der mesiolingualen Wurzel und apikaler Läsion. Es wurde eine Revisionsbehandlung an Zahn 36 eingeleitet, bei der es nicht gelang, das im unteren Wurzeldrittel lokalisierte Fragment zu entfernen. Die weitere Behandlung verlief wie im ersten Fall beschrieben, wobei die mesiale Wurzel nur bis zum Fragment aufbereitet und abgefüllt werden konnte. Abbildung 8 zeigt das Abschlussbild nach Beendigung der Revisionsbehandlung. Aufgrund persistierender Beschwerden erfolgte eine zeitnahe mikrochirurgische Wurzelspitzenresektion an der mesialen Wurzel mit retrogradem Verschluss mit TotalFill® BC Putty (Abb. 9). Bei der Verlaufskontrolle nach ein, zwei und vier Jahren kann man sehr gut die knöcherne Ausheilung der Resektionshöhle und die Ausbildung eines parodontalen Ligaments von normalem Durchmesser beobachten (Abb. 10–12).
Fazit
Mit den neuen biokeramischen Wurzelfüllmaterialien, welche nun auch seit einiger Zeit in vorgemischter gebrauchsfertiger Form erhältlich sind, werden die von der Wissenschaft geforderten Kriterien erfüllt. Durch die Verbesserung im Handling gegenüber MTA können sie auch bei der Obturation eingesetzt werden und damit ihren Stellenwert in der Endodontie in den nächsten Jahren weiter ausbauen. Natürlich bedarf es dazu noch weiterer wissenschaftlicher Studien, um die momentanen Erkenntnisse zu bestätigen. Eine optimale Wurzelkanalbehandlung setzt sich aus vielen Teilbereichen zusammen, wobei Aufbereitung und Desinfektion eine sehr wichtige Rolle spielen und auch die postendodontische Versorgung für einen langfristigen Erfolg wichtig ist. Dabei darf aber wiederum die Bedeutung der Obturationsmaterialien nicht vernachlässigt werden.
Eine ausführliche Literaturliste steht hier zum Download bereit.
Dieser Beitrag ist im Endodontie Journal 1/2018 erschienen.