Endodontologie 16.05.2013

Extraktionsindikationen nach Zahntrauma



Extraktionsindikationen nach Zahntrauma

Die Zahnerhaltung ist in der heutigen Zeit auf einem sehr guten Stand. Dennoch kann nach einem Trauma nicht jeder Zahn erhalten werden. Welche Zähne müssen also extrahiert werden und in welcher Situation?

Das Verständnis von Zahntraumata und ihrer Heilung hat – vornehmlich dank der unermüdlichen Arbeit von Jens O. Andreasen –  in den letzten drei Jahrzehnten einen deutlichen Ruck in Richtung Zahnerhaltung ­gemacht, sodass heute an die 90 Prozent aller traumatisierten Zähne auf Dauer erhalten werden können. Somit stellt sich die Frage: Welche Zähne müssen nach einem Trauma immer noch raus und warum? Gehen wir zuerst zu den Extraktionsindikationen, die heute nicht mehr gelten: Fraktur und Lockerung. Beides sind behebbare Zustände. Spätestens, seitdem bekannt ist, dass avulsierte Zähne replantierbar sind, ist eine Extraktion, nur weil der Zahn leicht extrahierbar erscheint, nicht mehr indiziert. Speziell Wurzelfrakturen im mittleren und zervikalen Drittel werden immer noch voreilig der Zange anvertraut, weil übersehen wird, dass einerseits Wurzelfrakturen spontan heilen können (> 70 Prozent) und andererseits ein simpler, palatinal fixierter Retainer für eine vorläufige Kautüchtigkeit sorgen kann, bis diese Heilung eingetreten ist (Abb. 1a und b).

Kronen-Wurzel-Fraktur

Eine weitere, heute ungültige Extraktionsindikation ist die Kronen-Wurzel-Fraktur, nachdem es mehrere Techniken gibt, den bis in die Alveole hinein defekten Wurzelanteil zu extrudieren und damit einer Restauration zugänglich zu machen. Einschränkend muss jedoch bemerkt werden, dass Spezialisten, die solche Extrusionen durchführen können, deutlich rarer sind als Implantologen. Vielerorts wird daher der Erhalt eines Kronen-Wurzel-frakturierten Zahnes an der Verfügbarkeit eines Trauma­spezialisten scheitern. Ob allerdings nach der Extraktion die Alveole noch für eine sofortige Implantation geeignet sein wird, hängt von der angewandten Extraktionstechnik ab. Soll­te die Wurzel sich relativ leicht ­lösen, muss weiterhin daran erinnert werden, dass sie auch um 180 Grad gedreht und in weiter koronaler Po­si­tion ­fixiert werden kann (intra­al­ve­oläre Transplantation), also nicht ­endgül­tig entfernt werden muss. Wann also sind traumatisierte Zähne extraktionspflichtig? Eindeutige Antwort: Wenn sie den Körper schädigen, anstatt ihm zu nützen. Das trifft auf alle Zähne zu, die ein nicht behebbares infektiöses Depot in sich tragen wie etwa bei Längsfrakturen oder bei bis in das Oralmilieu verzweigten Querfrakturen. Auch Wurzelreste, die nicht für eine Restauration genutzt werden können, sollten  entfernt werden wie auch (in seltenen Fällen) Zähne mit unbehebbaren endodontischen Problemen. Weiterhin können sich vorbestehende parodontologische Schäden im Rahmen eines Traumas derart ausweiten, dass eine Extraktionsindikation aus parodontologischer Sicht gegeben ist. Es sollte jedoch erwähnt ­werden, dass solche Zähne bei sofortiger Reinigung
der Wurzeloberfläche und Desinfektion der Taschen keinesfalls eine schlechtere Prognose haben als ihre untraumatisierten, parodontal ebenfalls erkrankten Nachbarzähne.

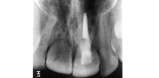
Wurzelresorption

Weitere Indikationen zur Extraktion resultieren aus   Wurzelresorptionen (Abb. 2). Während die endo­dontisch bedingte Wurzel­resorption nach Desinfektion des Wurzelkanales zum Stillstand kommt, ist die sogenannte Ersatzresorption therapeutisch nicht beeinflussbar: An Orten, wo die ­Parodontalfibroblasten fehlen und der Alveolarknochen direkt Kontakt mit dem ­Zement hat, wird die Wurzel allmählich zu Knochen umgebaut und verschwindet mit der Zeit ganz. Die sogenannte zervikale Resorption beruht auf einer Infektion der Dentinkanälchen im schwer zugänglichen zervikalen Bereich der Wurzel. Sie kann durch eine dichte Füllung zum Stillstand ­gebracht werden, was jedoch nicht immer gelingt. Traumatisierte Zähne können auch auf Basis eines kieferorthopädischen Planes extrahiert werden. Sieht dieser unvermeidbare Extraktionen vor, so bietet sich an, schwer geschädigte Frontzähne zu entfernen und die gesunden Prämolaren in diesem Quadranten zu behalten. Unter Umständen kann eine solche Extraktion mit der Transplantation eines Prämolaren einhergehen. Schließlich kann es auch vorkommen, dass der finanzielle Spielraum für eine umfangreichere Behandlung fehlt. In diesem Fall ist zu entscheiden, ob man die Situation für eine spätere Sanierung „einfrieren“ kann (z.B. Wurzel endodontisch ­sichern, mittels Komposit überziehen und die Krone an einer Prothese ergänzen) oder ob es besser für den Patienten ist, zu extrahieren. Erfahrungsgemäß sind nur wenige Patienten von einer solchen Entscheidung betroffen.
 

Schlussfolgerung

In jedem Fall ist anzumerken, dass absehbare Zahnverluste aufgeklärt werden müssen und man nicht warten sollte, bis eine akute Behandlungsnotwendigkeit auftritt, sondern der geplanten Entfernung mit anschließendem Ersatz der Vorzug gegeben werden sollte. Für interessierte Zahnärzte bietet sich die Gelegenheit zu weiterer Information über diese Thematik bei der 9. Österreichischen Fachtagung für Zahntrauma, die am 14. und 15. Juni 2013 als Ge­meinschaftstagung mit der ARGE für Orale Chirurgie, Medizin und ­Radiologie im Hörsaalzentrum der ­Medizinischen Universität Graz statt­finden wird.

Weitere Informationen unter: user.medunigraz.at/kurt.ebeleseder und www.ocmr.at

Forschungsförderung in der Endodontie

Forschungsförderung in der Endodontie

27.03.2013
Die DGET hat zur Förderung von Nachwuchswissenschaftlern 2013 mehrere Preise ausgelobt. Im Rahmen ihrer Jahrestagung in Marburg vergibt sie zudem einen... Die DGET hat zur Förderung von Nachwuchswissenschaftlern 2013 mehrere Preise ausgelobt. Im...
Neue App zum dentalen Trauma

Neue App zum dentalen Trauma

22.03.2013
Die DGET hat in Zusammenarbeit mit dem Zahnunfallzentrum der Universität Basel die App „AcciDent" zum dentalen Trauma entwickelt. Obwohl Zahnunfälle... Die DGET hat in Zusammenarbeit mit dem Zahnunfallzentrum der Universität Basel die App „AcciDent"...
Mehr News Mehr Fachartikel aus Endodontologie

ePaper