Endodontologie 20.02.2019
Therapie einer lateralen Dislokationsverletzung
share
Sportunfälle mit Zahnverletzungen treten im Kindes- und Jugendalter vermehrt auf. Sowohl Zahnfrakturen als auch Dislokationsverletzungen bedürfen einer genauen Befunderhebung, Diagnostik und Therapieplanung, um Spätfolgen zu vermeiden und rechtzeitig notwendige Therapieschritte einzuleiten. Regelmäßige Nachkontrollen und die Mitarbeit von jungen Patienten und Eltern spielen dabei eine entscheidende Rolle.
Der vorliegende Patientenfall beschreibt die Therapie und Nachsorge einer lateralen Dislokation infolge eines Sportunfalls. Eine 18-jährige Patientin stellte sich erstmals im Februar 2018 gemeinsam mit ihrem Vater im zahnärztlichen Notdienst des Universitätsklinikums Erlangen vor. Die Patientin hatte beim Gewichtheben das Gleichgewicht verloren und war mit dem Gewicht auf den Schultern frontal gegen eine Wand geprallt. Im sorgfältigen Anamnesegespräch konnten Bewusstlosigkeit, Schwindel, Erbrechen oder retrograde Amnesie sicher ausgeschlossen werden. Eine Multibandapparatur war in situ, die kieferorthopädische Behandlung stand kurz vor dem Therapieende.
Klinischer und röntgenologischer Befund
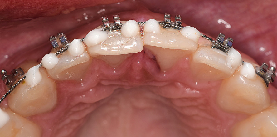
Im Rahmen der Erstvorstellung wurde eine Weichteilverletzung im Bereich der Oberlippe festgestellt, welche durch den diensthabenden Chirurgen versorgt wurde (Abb. 1a–d). Bei genauer Inspektion der Zähne war eine Dislokation der Zähne 12 und 11 um circa 1–2 mm nach palatinal erkennbar. Darüber hinaus war eine deutliche Blutung aus dem Sulkus beider Zähne zu erkennen, die Zähne 12 und 11 waren trotz der Multibandstabilisation gelockert (Lockerungsgrad I). Beide Zähne waren am Unfallabend stark perkussionsempfindlich und reagierten nicht auf einen Sensibilitätstest.
Nach der Anfertigung einer Einzelzahnaufnahme Regio 13–11 am Unfallabend (Abb. 2a) wurden die Zähne im Bereich des Drahtes der Multibandapparatur zusätzlich mittels Säure-Ätz-Technik geschient und die Patientin antibiotisch mittels Doxycyclin zur Resorptionsprophylaxe abgeschirmt (100 mg, 1–0–1 für zehn Tage). Besonders nach schwerwiegenden Dislokationsverletzungen kommt der systemischen antiresorptiven Wirkung von Doxycyclin eine entscheidende Bedeutung zu.1 Mögliche Risiken und Spätfolgen des Frontzahntraumas wurden Vater und Tochter erläutert, zur Nachsorge stellte sich die Patientin am nächsten Tag erneut vor.
Einen Tag nach dem Unfall wurden zusätzliche Röntgenbilder angefertigt (Abb. 2b und c) und die suffiziente Schienung und Repositionierung der Zähne 12 und 11 dokumentiert. Die Zähne waren so weit beschwerdefrei, die durch die Dislokation geschädigten Zähne 12 und 11 reagierten nicht auf den Sensibilitätstest mit CO2-Schnee.
Weitere Therapie
Nach weiteren fünf Tagen stellte sich die Patientin erneut vor. Die Schienung bzw. Multibandapparatur war zwischenzeitlich vom Kieferorthopäden entfernt worden. Die Zähne 12 und 11 reagierten nicht auf den Sensibilitätstest. Zusätzlich war nun an Zahn 12 eine deutliche Graufärbung zu erkennen, ein eindeutiges Zeichen für eine Pulpanekrose und zerfallene Blutbestandteile, welche sich in die Dentinkanälchen einlagern (Abb. 3a und b). Somit war eine endodontische Therapie des Zahns 12 dringend indiziert.
Nach Anlegen von Kofferdam, Trepanation und ausführlicher chemomechanischer Reinigung erfolgte eine medikamentöse Einlage mit Ledermix als antiresorptive Maßnahme mit anschließendem adhäsiven Verschluss (Abb. 4a–d). Der Zahn 11 reagierte bei diesem Termin (mittlerweile acht Tage nach dem Unfall) erstmals wieder positiv auf den Sensibilitätstest mit CO2-Schnee. Der Zahn war nur noch leicht perkussionsempfindlich und nicht verfärbt. Somit entschied man sich weiter für ein abwartendes Verhalten. Nach einer weiteren Woche wurde die medikamentöse Einlage an Zahn 12 gegen Calciumhydroxid ausgewechselt, der Zahn 11 reagierte eindeutig positiv auf den Sensibilitätstest und war nur noch leicht perkussionsempfindlich.
Auch nach weiteren zwei Wochen reagierte der Zahn 11 positiv. Zahn 12 war beschwerdefrei und die definitive Wurzelkanalfüllung wurde durchgeführt. Nach gründlicher Entfernung des Calciumhydroxid-Präparats AH Temp mittels schallaktivierter Spülung (EDDY, VDW) erfolgte die Wurzelkanalfüllung mit anschließender röntgenologischer Kontrolle (Abb. 5a). Diese Röntgenaufnahme ermöglichte ebenso eine Kontrolle des Zahns 11, welcher sich im Röntgenbild apikal unauffällig zeigte. Es waren weder Resorptionen noch Aufhellungen im Bereich des angrenzenden Knochens zu erkennen, der Parodontalspalt war im Bereich aller Zähne durchgängig erkennbar, die Wurzeln zeigten keine Hinweise auf Resorptionen. Nach Abschluss der Behandlung (Abb. 5b) wurden Vater und Tochter ausführlich über die Bedeutung regelmäßiger klinischer und röntgenologischer Nachkontrollen aufgeklärt, um mögliche Traumafolgen wie apikale Entzündungen, Resorptionen oder Ankylose rechtzeitig zu bemerken und ggf. zu therapieren (Abb. 6).
Kritische Betrachtung
Zur primären Therapie nach einer lateralen Dislokation gehört stets die schonende Reposition des Zahns in seine Ausgangsposition mit flexibler Schienung und optimaler Plaquekontrolle. Anschließende Kontrollen müssen zeigen, ob eine endodontische Therapie notwendig wird. Neben klinischen Kontrollen sind spätestens zwölf Wochen sowie sechs bzw. zwölf Monaten nach dem Trauma zusätzliche Röntgenkontrollen indiziert. Sensibilitätstests am Unfalltag können nicht als aussagekräftig betrachtet werden und müssen stets im Rahmen der Nachsorge wiederholt und sorgfältig dokumentiert werden. Aufgrund der erhöhten Sensitivität und Spezifität der Tests mit CO2-Schnee sollte dieser dem weit verbreiteten Eisspray vorgezogen werden. Bei Unsicherheiten kann darüber hinaus die elektrische Pulpatestung zum Einsatz kommen.
Im Falle einer eintretenden Pulpanekrose sollte die endodontische Therapie zeitnah begonnen werden, um Wurzelresorptionen zu vermeiden.2 Die Gefahr einer Pulpanekrose liegt bei Zähnen mit abgeschlossenem Wurzelwachstum nach lateraler Dislokation (unter 2 mm) bei 65 Prozent, falls die Dislokation in Kombination mit einer Kronenfraktur auftritt sogar bei 93 Prozent. Das Risiko einer Pulpanekrose nach Dislokation ist bei Zähnen mit unvollständigem Wurzelwachstum deutlich geringer.3 Tabelle 1 bietet Hilfe für eine Entscheidungsfindung bei einer posttraumatischen fehlenden Reaktion auf den Sensibilitätstest.

Generell wird die Entscheidung für den Beginn einer endodontischen Therapie immer ein Zusammenspiel aus mehreren klinischen und röntgenologischen Faktoren sein und sollte stets nach sorgfältiger Aufklärung des Patienten (und ggf. der Eltern) erfolgen.
Die vollständige Literaturliste gibt es hier.
Der Beitrag ist im Endodontie Journal erschienen.