Endodontologie 05.06.2023

Desinfektionslösungen in der endodontischen Praxis

Desinfektionslösungen in der endodontischen Praxis

Foto: Dr. Andreas Rückschloß

Die Desinfektion von Wurzelkanälen ist einer der wichtigsten Schritte im Rahmen einer Wurzelkanalbehandlung. Nur ein sauberer und von Bakterien befreiter Kanal kann aufbereitet und wieder befüllt werden. Auf dem Markt stehen dem Zahnarzt verschiedene Spüllösungen auf verschiedenen Basen zur Verfügung. Im folgenden Fachbeitrag werden die Grundlagen des Einsatzes von Desinfektionslösungen in der Endodontie dargestellt sowie auf die verschiedenen Wirkstoffe eingegangen.

Das Wurzelkanalsystem ist hochkomplex. Mikro- und Makroanatomie sollten bei der chemomechanischen Aufbereitung ausreichend berücksichtigt werden. Bei einer rein mechanischen Präparation kann ein Drittel bis 80 Prozent der Oberfläche des Wurzelkanals, je nach dessen geometrischer Beschaffenheit, nicht bearbeitet werden.1 Ein tragender Pfeiler ist die ausreichende Desinfektion, abhängig vom Ausgangsbefund und dem Umfang der vermuteten bakteriellen Penetration.2 Die bei der Präparation entstehende Schmierschicht besteht aus organischen und anorganischen Komponenten und wird durch den instrumentellen Kontakt mit den Wänden des Wurzelkanals verursacht.2 Die Schmierschicht besteht aus einer oberflächlichen Schicht auf der Wurzelkanalwand mit einer Dicke von etwa 1–2 μm und Anteilen, die tief (bis etwa 40 μm) in die Dentinkanälchen eindringen können.1, 2 Die meisten Infektionen des Endodonts werden polymikrobiell durch Bakterien verursacht, grampositive und fakultativ anaerobe Bakterien sind besonders prävalent.3, 4

Desinfektionslösungen

Eine rein maschinelle und mechanische Bearbeitung des Wurzelkanals kann nur zu einer Reduzierung der Keimzahl um den Faktor 100 bis 1.000 führen, was als nicht ausreichend angesehen wird.1 Um eine ausreichende Desinfektion des Wurzelkanals zu erzielen, werden verschiedene Desinfektionslösungen verwendet. Diese sollen einige Eigenschaften besitzen, um als ideale Lösungen für die Präparation des Wurzelkanals gelten zu können. Vor allem müssen sie eine genügende antimikrobielle Wirkung nachweisen, kompatibel mit Dentin sein und eine ausreichende Gewebeauslösung verursachen, damit vitales, nekrotisches Gewebe und die Schmierschicht entfernt werden können.2 Weiterhin sollen sie gewebeverträglich sein, keine zytotoxischen oder mutagenen Wirkungen mit sich bringen, keine Zahnverfärbungen verursachen und eine einfache Applizierung und Entfernbarkeit haben.1, 2 Ferner spielen einige ökonomische Aspekte bei der Wahl einer geeigneten Desinfektionslösung eine wichtige Rolle. Sie sollen eine lange Haltbarkeit haben, günstig und korrosionsfrei gegenüber Instrumenten sein.2

Natriumhypochlorit

Natriumhypochlorit (NaOCl) ist eine der am häufigsten verwendeten Desinfektionslösungen in der Endodontie und wird seit dem Jahr 1920 eingesetzt.5 NaOCl besitzt eine sehr effektive antimikrobielle Wirkung, was durch freie Chlorionen verursacht wird.2, 6 Diese antimikrobielle Wirkung kann durch eine längere Einwirkzeit von etwa 30 Minuten verstärkt werden.4 Weiterhin zeigt NaOCl eine gute Wirkung gegen den Biofilm, der durch virulente Pathogene gebildet wird.3 Es ist relativ preisgünstig, löst vitale und nekrotische organische Bestandteile der Pulpa auf und hat eine lange Haltbarkeit.2, 5, 6 Trotzdem hat NaOCl einige Nachteile. Es besitzt keine ausreichende Fähigkeit, die Schmierschicht zu entfernen, ist korrosiv gegenüber Instrumenten und besitzt eine hohe Gewebetoxizität.2, 5, 6 NaOCl ist in Konzentrationen zwischen 0,5 und 6 % im Markt verfügbar. Obwohl eine höhere Konzentration eine bessere Wirkung bezüglich Gewebeauflösung zeigt, wurde eine optimale Konzentration noch nicht festgestellt.1, 2, 7 Eine große Anzahl an Studien konnte belegen, dass eine niedrige Konzentration von etwa einem Prozent eine gute antimikrobielle Wirkung entfaltet und keine Unterlegenheit gegenüber höheren Konzentrationen wie fünf Prozent zeigt.8, 9

Chlorhexidin

Chlorhexidin (CHX) ist ein kationisches Bisbiguanid und wird in der Endodontie seltener als NaOCl als Desinfektionslösung bei der Präparation des Wurzelkanals verwendet. CHX hat in geringeren Konzentrationen eine bakteriostatische Wirkung und in höheren Konzentrationen eine bakterizide.10 CHX ist vor allem in einer Konzentration von zwei Prozent als Lösung oder Gel verfügbar.10 CHX besitzt eine geringere Toxizität und eine sehr gute antimikrobielle Aktivität, vor allem gegen grampositive Bakterienspezies wie Enterococcus faecalis.1, 2, 11 Plutzer et al. (2018) zeigten, dass CHX nach einer Einwirkzeit von 24 bis 48 Stunden etwa 97 Prozent der Bakterien eliminiert.4 Ferner haben Studien gezeigt, dass postinterventionelle Schmerzen bei der Anwendung von CHX nicht stärker als bei der Anwendung von NaOCl sind.12, 13 Im Vergleich zu NaOCl zeigt CHX eine längere Substantivität von etwa zwei bis drei Monaten.1 Ein weiterer Vorteil ist die hohe Permeabilität in die Tubuli nach Entfernung der Schmierschicht. CHX besitzt einige Nachteile. Im Vergleich zu NaOCl besitzt CHX keine Fähigkeit zur Gewebeauflösung.2, 14 Ferner kann CHX bakterielle Endotoxine nicht inaktivieren, die Schmierschicht nicht entfernen und versteift und verfestigt Biofilme, zumindest in geringeren Konzentrationen.1, 10 Ein weiterer Nachteil von CHX ist die irreversible rotbraune Verfärbung der Zähne,1 wenn es in direkten Kontakt mit NaOCl kommt.

Chelatoren

Chelatoren sind „Komplexbildner, die Kalziumionen binden und dadurch den anorganischen Bestandteil der Schmierschicht auflösen können“.1 Chelatoren legen Dentintubili frei und erhöhen die Dentinpermeabilität, wodurch die Wirkung von Desinfektionslösungen wie NaOCl und CHX verstärkt und verbessert werden kann.1, 6, 15 Die Wirkungsstärke von Chelatoren hängt vor allem von der Einwirkzeit ab.16 Wegen der fehlenden antimikrobiellen und gewebeauflösenden Wirkung dürfen Chelatoren Desinfektionslösungen wie NaOCl und CHX nicht ersetzen.16 Als Chelator wird Ethylendiamintetraessigsäure (EDTA) am häufigsten verwendet.1 EDTA ist als Lösung oder als Gel in einer Konzentration von etwa 17 Prozent verfügbar und hat eine vorgeschlagene Einwirkzeit von etwa ein bis fünf Minuten.2, 16 Wegen der schmierschichtauflösenden Wirkung wird EDTA nach Abschluss der Präparation eingesetzt.1 Ein weiteres Beispiel für einen Chelator ist Zitronensäure (CA), die in Konzentrationen von 10 bis 20 Prozent verfügbar ist.1 CA kann als Alternative zu EDTA trotz der geringeren Fähigkeit zur Entfernung der Schmierschicht verwendet werden.1 Ein Nachteil von CA ist die Begünstigung von Dentinerosionen.1

Kombination verschiedener Lösungen

Einige Studien haben die Kombination von NaOCl und CHX vorgeschlagen.6, 17 Davon ist ohne eine Zwischenspülung dringend abzuraten, weil die Lösungen präzipitieren, ihre Wirkungen nicht entfalten und potenziell toxische Substanzen (Parachloranilin) erzeugen können.11, 18 Da NaOCl die Schmierschicht nicht entfernen kann, wird es häufig mit EDTA oder CA kombiniert. Trotz der besseren Wirkung bezüglich der Schmierschicht verliert NaOCl einen Teil der antimikrobiellen Wirkung wegen der Verringerung des aktiven Chlors.6, 18, 19 Um diese Einschränkungen zu überwinden, kann NaOCl mit Etidronsäure kombiniert werden, womit die Schmierschicht mit der gleichen Stärke wie mit EDTA und CA entfernt werden kann, ohne die antimikorbielle Wirkung von NaOCl zu reduzieren.6, 15, 20 Ähnlich wie NaOCl wird CHX häufig mit anderen Lösungen kombiniert. Die Kombination von CHX mit EDTA ergibt eine Präzipitation und die Degradation von CHX.18 Daher wird die Kombination von CHX und CA vorgeschlagen, weil CA die Schmierschicht in diesem Fall besser entfernen kann und keine Reaktion mit CHX verursacht.18

Aktivierung der Desinfektionslösung

Während oder nach der Applikation der Desinfektionslösungen werden sie aktiviert, um ihre Wirkung zu verstärken.1 Eine Aktivierung verursacht u. a. eine verbesserte Entfernung der Schmierschicht und eine verbesserte Lieferung der Lösung in den Wurzelkanal.8, 20, 21 Die Aktivierung der Lösungen kann manuell mit Handinstrumenten oder mit Schallenergie, Ultraschallenergie oder Laserenergie erfolgen.1, 2 Studien zeigten, dass ultraschallgestützte Aktivierung eine bessere Wirkung entfaltet als die manuelle Aktivierung von Desinfektionslösungen.22

Desinfektionsprotokolle

Obwohl in der aktuellen Praxis mehrere Desinfektionsprotokolle verwendet werden, wurde von Rödig et al. (2022) die folgende Vorgehensweise zur Desinfektion des Wurzelkanals empfohlen.1 Bei einem nicht infizierten Endodont sollte nach Trepanation und Darstellung der Wurzelkanaleingänge das Kavum mit NaOCl geflutet werden. Anschließend sollte bei der Präparation pro Instrument 5 ml NaOCl pro Kanal verwendet werden. Die durchschnittliche Verweilzeit der Spüllösung sollten nicht unter 15 min/Kanal liegen. Bei der Abschlussspülung sollten 1,5 ml EDTA und 2,5 ml NaOCl aufeinander folgend verwendet werden. Im Falle eines infizierten Endodonts sollten das Volumen und die Einwirkzeit von NaOCl erhöht werden. Anschließend wird nach einer aktivierten Zwischenspülung mit Kochsalz, CHX 2 % für eine Einwirkzeit von drei Minuten eingebracht, bevor mit dem regulären Wurzelfüllungsprotokoll fortgefahren wird.

Patientenfall

Anamnese

Im April 2019 wurde der heute 64-jährige Patient für die Weiterbehandlung des Zahnes 46 zu uns überwiesen. Die Hauszahnärztin stellte die Diagnose einer apikalen Parodontitis basierend auf den Symptomen einer erhöhten Aufbissempfindlichkeit und eines vestibulären Pusaustritts. Sie leitete daraufhin die erste Schmerztherapie mittels Trepanation und initialer Instrumentierung und Spülung der Wurzelkanäle ein. Die Brücke wurde nach Aussagen des Patienten im Dezember 2018 eingegliedert.

Klinischer Befund

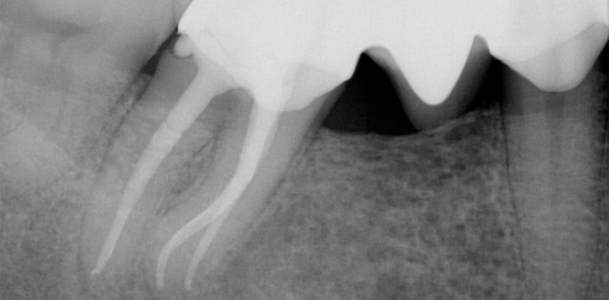
Der extraorale Befund war unauffällig. Intraoral imponierte eine vestibuläre Fistel, die bei aktiver Manipulation zum Pusaustritt führte. Die Brücke wirkte bei der klinischen Sondierung suffizient. Die Trepanationsöffnung war mit einem provisorischen Material verschlossen. Die ursprüngliche Schmerzsymptomatik war vollständig rückläufig. Die Sondierungstiefen überschritten 4 mm nicht. Röntgenologisch zeigte sich in der Eingangsaufnahme (Abb. 1) eine ausgedehnte apikale Osteolyse, die mesial die Form eines J-Schattens einnahm und sich distal auf den apikalen Bereich begrenzte. Ein frakturiertes Instrument konnte im mittleren Wurzeldrittel der mesialen Wurzel lokalisiert werden. Distal zeigte sich eine unvollständig in den Kronenrand einbezogene präprothetische Aufbaufüllung. Gemäß den Richtlinien der AAA wurden folgende Diagnosen gestellt: asymptomatische apikale Parodontitis und nach initialer Wurzelkanalbehandlung, chronischem Abszess und Instrumentenfragment 46. Differenzialdiagnostisch empfiehlt es sich gerade bei J-förmiger Struktur, bei der Aufhellung sehr akribisch und ggf. unter lokaler Anästhesie eine forcierte engmaschige Sondierung des Sulkus vorzunehmen. Häufig ist diese Form der Aufhellung mit vertikalen Wurzelfrakturen assoziiert, die klinisch durch solitäre Knochentaschen imponieren.

Therapie

Die Therapie erfolgte in zwei Sitzungen. Zur Vorbereitung des Kofferdams wurde vor der geplanten Einzelzahnisolation der Bereich des Brückengliedes mit OraSeal (Ultradent Products) unterspritzt. Die aufquellenden Eigenschaften des Materials nach Aufnahme von Feuchtigkeit kann man sich für die optimale Adaptation des Spanngummis zunutze machen. Nach Anlage des Kofferdams wurde zusätzlich mit Opaldam (Ultradent Products) die Abdichtung gesichert. Die Trepanationsöffnung wurde mit EndoZ Bohrern (Dentsply Sirona) erweitert und optimiert. Die nicht schneidende Spitze verhindert Veränderungen an der anatomischen Topografie des Pulpabodens und den Verlust von Informationen. Die Wurzelkanaleingänge wurden mit überlangen Rosenbohrern (MunceBurs, CJM Engineering) dargestellt und mit Gates Bohrern der Größe 2 und 3 erweitert. Der Debris wurde mittels 3 % Natriumhypochlorit und Schallaktivierung mittels Polyamidspitze (EDDY, VDW) nach jedem Einsatz eines rotierenden Instruments schallgestützt entfernt.

Das Instrumentenfragment stellte sich locker beweglich im mesiovestibulären Wurzelkanal dar und konnte problemlos durch Ultraschallaktivierung (IRRI S, VDW) und simultane Flutung des Kanalsystems mit EDTA nach koronal luxiert und entfernt werden. Die apikale Gängigkeit wurde von Hand überprüft bzw. hergestellt. Hierzu kamen C-Pilot-Feilen (VDW) im Wechsel mit C+-Feilen (Densply Sirona) bis zur ISO-Größe 12.5/02 zum Einsatz. Die Längenbestimmung fand dabei ausschließlich endometrisch statt (RootZX mini, Morita).

Die Aufbereitung erfolgte in reziprokierender Arbeitsweise mittels der R25 blue (VDW) in der Crown-Down-Technik mit den typischen 2 bis 3 Picks bis zum Erreichen der Arbeitslänge. Nach jedem maschinellen Feileneinsatz wurde schallgestützt aktiviert und rekapituliert. Die apikale Erweiterung wurde in Abhängigkeit von der Farbe des entfernten Debris bestimmt. Die apikale Vergrößerung in den beiden mesialen Kanälen endet bei 35/06 und 45/05 (beide WaveOne, Dentsply Sirona). Nach Abschluss der Aufbereitung fand die röntgenologische Messaufnahme (Abb. 2) mit final angepassten Mastercones (Autofit Guttapercha, Sybron) statt und die Wurzelkanäle wurden mit einer medikamentösen Einlage mit Kalziumhydroxid, auf Arbeitslänge eingebracht, versorgt und der Zahn in Adhäsivtechnik verschlossen.

Die Weiterbehandlung fand zwei Wochen später statt. Nach einer Spülung mit 17 % EDTA für 60 Sekunden und einer Folgespülung mittels 3 % erwärmtem NaOCl für weitere 60 Sekunden (beides schallaktiviert) fand eine Zwischenspülung mit Kochsalz statt, um anschließend für weitere zwei Minuten CHX 2 % im Kanalsystem einwirken zu lassen. Das CHX wurde anschließend mit Kochsalz und Schallaktivierung entfernt, die Kanäle getrocknet. Die Wurzelfüllung fand in thermoplastischer Obturation unter Verwendung eines Epoxidharz-Sealers statt. Der adhäsive Verschluss im Anschluss wurde bewusst tief unterhalb des Pulpabodens platziert, um der überweisenden Kollegin ausreichend Zeit für die dringend angeratene Erneuerung der Brücke zu geben. Der insuffiziente distale Randschluss wird über kurz oder lang zu einer Reinfektion und einem Misserfolg der endodontischen Behandlung führen. Abbildung 6 zeigt den Recall des Zahnes nach einem Vier-Jahres-Zeitraum, im März 2023. Die prothetische Korrektur blieb bislang aus.

Fazit

Endodontische Spüllösungen sind essenzieller Bestandteil der chemomechanischen Aufbereitung. NaOCl und EDTA sollten die Hauptprotagonisten sein. NaOCl entfernt den organischen Teil des Debris, EDTA den anorganischen Teil. Die initiale Verwendung von EDTA im abschließenden Spülprotokoll ermöglicht durch die Entfernung der Schmierschicht eine deutlich tiefere Penetration von NaOCl und CHX in die Dentintubuli. Die Vorteile von CHX liegen in der hohen Substantivität und ausgeprägten Permeabilität in die tiefen Tubulibereiche. Als endodontisch tätiger Zahnarzt sollte man um die Wirkung, Wechselwirkung und Kombinationsmöglichkeiten von Spüllösungen und deren Effektivitätssteigerung wissen, da dieses Wissen und dessen praktische Umsetzung einen entschiedenen Einfluss auf den Erfolg einer endodontischen Behandlung hat.

Autor: Dr. Andreas Rückschloß

Eine Literaturliste steht hier zum Download für Sie bereit.

Dieser Beitrag ist im EJ Endodontie Journal erschienen.

Mehr Fachartikel aus Endodontologie

ePaper