Implantologie 24.02.2014

Ästhetik in der Implantologie: Welche Therapie passt zu welchem Fall?



Ästhetik in der Implantologie: Welche Therapie passt zu welchem Fall?

Foto: © Autor

Der Verlust von Frontzähnen und deren Rekonstruktion durch Implantate fordert den Zahnarzt bei jedem Einzelfall aufs Neue. Mit dem Ziel vor Augen, ein möglichst hohes Maß an Perfektion bei der Neuversorgung zu erreichen, hat der Behandler das ideale Vorgehen zu wählen. Dabei sollte die Morbidität des Patienten durch den Eingriff so gering wie möglich gehalten werden. Grundvoraussetzung dafür ist eine gute Diagnostik, die den Behandler in die Lage versetzt, aus den unterschiedlichen Behandlungsansätzen den passenden auszuwählen.

Zu Beginn der Versorgung eines Implantatfalls im Frontzahnbereich steht zunächst eine ausführliche Analyse der Ist-Situation, die sogenannte ästhetische Risikoanalyse. Diese beinhaltet vor allem die Abfrage der folgenden Faktoren: Patientenerwartung, Lachlinienverlauf, Biotyp der Gingiva, Höhe und Breite von Hart- und Weichgewebe sowie Zustand der Nachbarzähne. Ebenso spielen der Infektionsstatus der Implantationsstelle und die Knochenhöhe an den Nachbarzähnen eine entscheidende Rolle. Erst nach Abklärung all dieser Gegebenheiten ist der Behandler in der Lage, die Therapie zu planen, die einzelnen Schritte festzulegen und dem Patienten einen Ausblick auf das erreichbare Ergebnis zu geben. Das ist vor allem dann wichtig, wenn durch eine sehr kompromittierte Ausgangssituation, wie z.B. fehlenden interdentalen Knochen, die spätere Ausbildung einer Interdentalpapille nur eingeschränkt oder gar nicht möglich sein wird. Mit dem Patienten darüber im Vorfeld offen zu sprechen erspart unangenehme Diskussionen im Nachgang. Denn der Patient geht naturgemäß davon aus, dass das Ergebnis einer so aufwendigen Behandlung dem Optimum entspricht. Auch bei der Einsicht, dass ein sehr dünner Gingiva Biotyp vorliegt, sollte der Patient über das mögliche Auftreten von Rezessionen oder eines Grauschleiers der Gingiva durch ein metallisches Abutment aufgeklärt werden. Entscheidender ist diese Erkenntnis jedoch für den Behandler selbst. Dieser kann somit bereits im Vorfeld auf die Situation reagieren und einer möglichen Rezession durch eine Schleimhautverdickung mittels Bindegewebstransplantat bzw. einem Grauschleier durch Verwendung eines Keramikabutments entgegenwirken. Unter Berücksichtigung der Ergebnisse der ästhetischen Risikoanalyse ist nun die Entscheidung zwischen verschiedenen Therapieoptionen zu treffen.

 

 

Die Variante der Sofortimplantation ist vor allem im Frontzahnbereich sehr kritisch zu hinterfragen. Nur in ausgewählten Fällen, in denen zirkulär ausreichend Knochen vorhanden ist, das Knochenlager dem Implantat eine gute Primärstabilität garantiert und der Gingiva Biotyp eine ausreichende Dicke bietet, ist ein solches Vorgehen in Erwägung zu ziehen. Sind die Bedingungen für eine Sofortimplantation nicht ideal, so muss entschieden werden, ob eine verzögerte Sofortimplantation (nach ca. sechs Wochen) oder das Protokoll der Spätimplantation (ab ca. drei Monaten nach Extraktion) verfolgt wird. Im Falle einer verzögerten Sofortimplantation macht das Einbringen von Knochenersatzmaterial in die Alveole keinen Sinn, da es zum Implantationszeitpunkt noch in Granulatform vorliegt und somit keinen Nutzen erbringen würde. Das Einbringen eines Kollagenkegels zur Stabilisierung des Blutkoagels ist ausreichend und treibt die Kosten nicht künstlich in die Höhe. Bei einem dünnen Gingiva Biotyp ist zum Zeitpunkt der Extraktion das vestibuläre Einbringen eines Bindegewebstransplantats eine Möglichkeit. Ein sol- ches Biotyp-Switching erleichtert das weitere Vorgehen oftmals und vereinfacht das Erreichen ästhetisch ansprechender Ergebnisse.

Ist die Situation für eine verzögerte Sofortimplantation ungeeignet, weil der Knochendefekt zu groß ist, bleibt abzuwägen, ob eine Ridge Preservation oder ein Knochenaufbau mittels Knochenblockentnahme sinnvoll sind. Bei der Ridge Preservation wird ein Knochenersatzmaterial in die Alveole eingebracht mit dem Ziel, das Kollabieren dieser zu vermeiden. Dabei kann man abhängig von dem gewählten Material einen Re-Entry nach drei bis sechs Monaten planen. Je nach Vorgehen lässt sich das Material mittels resorbierbarer Membran durch ein bindegewebsfreies Schleimhauttransplantat oder auch durch ein Hybridläppchen (freies Schleimhauttransplantat mit entepithelisiertem Anteil, der vestibulär unter die Gingiva geschoben wird) abdecken. Sowohl bei der Ridge Preservation als auch bei einem später geplanten Knochenblocktransplantat ist eine Verdickung der Gingiva mithilfe von Bindegewebe ein probates Mittel, das weitere Vorgehen zu vereinfachen.

Fallbeispiel

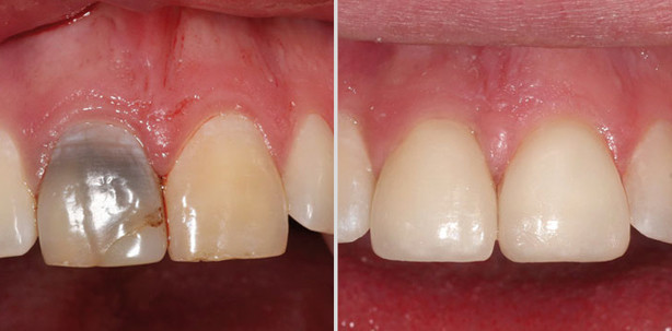
In dem hier vorgestellten Fall suchte ein 25-jähriger Patient mit folgendem Beschwerdebild unsere Praxis auf: Zahn 11 war dunkel verfärbt, nachdem vor einigen Jahren alio loco eine Wurzelfüllung eingebracht und eine Wurzelspitzenresektion durchgeführt worden war. Zudem klagte der Patient über eine Druckdolenz von inzisal, vor allem aber von vestibulär. Labial war eine erhöhte Sondierungstiefe von 5 mm feststellbar (Abb.1 und 2). Auf dem angefertigten Zahnfilm zeigte sich an 11 eine radikuläre, weit nach nasal und distal ausgedehnte Zyste. Obwohl sich die Zyste auch bis in den Bereich um die Wurzelspitze von Zahn 12 ausgedehnt hatte, reagierte der Zahn auf die Vitalitätsprobe positiv (Abb. 3). Da eine Revision bzw. eine erneute Wurzelspitzenresektion keine Aussicht auf Erfolg boten, wurde entschieden, den Zahn zu entfernen. Im Hinblick auf den Erhalt der naturgesunden Nachbarzähne favorisierte der Patient die Versorgung der Lücke mittels Implantat. Bezüglich des Vorgehens musste zwischen den schon oben erwähnten Möglichkeiten der Sofortimplantation, der verzögerten Sofortimplantation und der Spätimplantation mit Ridge Preservation bzw. dem Knochenblock entschieden werden. Die ästhetische Risikoanalyse ergab einen dünnen bis mitteldicken Gingiva Biotyp bei mittelhoher Lachlinie. Die Nachbarzähne waren naturgesund, wenn auch Zahn 21 im Vergleich zu 22 und 12 einen leicht gelblichen Farbton aufwies. Die interdentale Knochenlamelle von Zahn 11 war mesial wie distal vorhanden. Die vestibulär auf 5 mm Sondierungstiefe erhöhte Tasche sowie die vestibuläre Druckdolenz ließen auf eine zumindest teilweise kompromittierte vestibuläre Knochenwand in Regio 21 schließen. Von der Möglichkeit der Sofortimplantation wurde Abstand genommen, da durch die ausgedehnte apikale Knochenauflösung ein gewisses Infektionsrisiko des sich im Zystenlumen bildenden Koagels nicht ganz auszuschließen war. Aufgrund der dünnen und unvollständigen vestibulären Knochenlamelle war davon auszugehen, dass diese bei Entfernung zumindest teilweise verloren gehen oder später resorbieren würde. Das wiederum hätte ein ästhetisch unbefriedigendes Ergebnis zur Folge gehabt. Zudem bestand die Gefahr, wegen des großen apikalen Knochendefizits keine ausreichende Primärstabilität erzielen zu können. Der in unserer Praxis im Frontzahnbereich in den allermeisten Fällen beschrittene Weg ist der der verzögerten Sofortimplantation. Hierbei wird die Extraktionsalveole mit Kollagenkegeln versorgt. Der Einsatz von anderen Füllstoffen oder Membranen findet dabei nicht statt. Im Regelfall sechs Wochen nach Extraktion erfolgt dann die Implantation und falls nötig die zeitgleiche Rekonstruktion von vorhandenen Knochendefekten.

Zu diesem Zeitpunkt ist die Schleimhautheilung soweit vorangeschritten, dass ein dichter Wundverschluss des OP-Gebietes nach Implantation zuverlässig möglich ist. Die Knochenheilung ist zwar noch nicht vollständig abgeschlossen, das Implantat ist aber bei Insertion primärstabil. Ein vestibuläres Knochendefizit, das durch den Verlust des direkt am Zahn ansetzenden Bündelknochens nach Extraktion entstanden ist, kann mittels Guided Bone Regeneration ausgeglichen werden. Die Rekonstruktion des Defekts findet dabei mit Eigenknochen, Knochenersatzmaterial und einer Membran statt. Auch dieser Weg wurde hier nicht gewählt, da aufgrund des ausgedehnten Knochendefizits eine Primärstabilität des Implantats nicht sicher angenommen werden konnte. Daher entschieden wir uns in diesem Fall für die Spätimplantation. Um ein Kollabieren der Alveole zu vermeiden und um das große Knochendefizit zu füllen, wählten wir zudem den Weg der Ridge Preservation. Direkt nach Entfernung des Zahnes ließ sich der bis zum Nasenboden reichende Knochendefekt mit einem in die Alveole eingebrachten scharfen Löffel eindrucksvoll nachvollziehen (Abb. 4–7). Da wir eine möglichst kurze Abheilphase anstrebten, wurde ein alloplastisches Knochenersatzmaterial gewählt (Puros® Allograft Spongiosa Partikel Ø 0,25–1 mm; Fa. Zimmer®)(Abb. 8–10).

Hierbei ist es erfahrungsgemäß möglich, schon nach drei Monaten in feste Knochensubstanz zu implantieren, ohne loses Granulat aus dem Bohrstollen zu befördern, wie es zu diesem frühen Zeitpunkt z.B. bei bovinem Knochenersatzmaterial der Fall ist. Das Knochenersatzmaterial wird vor Verwendung mit steriler physiologischer Kochsalzlösung hydratisiert. Abgedeckt wurde die Alveole mit einer Kollagenmembran (Socket Repair Membran; Fa. Zimmer®) (Abb. 11). Diese wurde vestibulär zwischen Knochen und Periost geschoben und zirkulär mit Nähten fixiert (SABAfil® USP 5-0; Fa. SABANA®). Durch die vestibulär platzierte Membran konnte auch die vestibuläre Perforation des Alveolarknochens, die nach Extraktion zu sondieren war, vollständig abgedichtet werden (Abb. 12). Der Patient wurde provisorisch mit einer Klammerprothese versorgt (Abb. 13). Die Wundheilung verlief problemlos und schon bei Nahtentfernung nach sieben Tagen war die Membran nahezu vollständig zugranuliert (Abb. 14). Etwa drei Monate später stellte sich der Patient zur Implantation bei uns vor. Durch das schonende Vorgehen bei der Extraktion und den Erhalt des Knochens an den Nachbarzähnen war die Gingiva weiterhin gut abgestützt und die Interdentalpapillen konnten erhalten werden (Abb.15). Trotz vestibulärer Knochenfenestrationen und Verlust des Bündelknochens nach Extraktion ließ sich mittels Ridge Preservation das Volumen stabil halten (Abb. 16).

Die Implantation konnte dann in stabilem Knochenlager stattfinden. Dazu wurde der Lappen mit zwei vertikalen Schnitten, die in Verlängerung des mesialen bzw. distalen Lineangels der Nachbarzähne verliefen, gebildet. Vorteil dieser Schnittführung ist, dass eine Vertikalverschiebung des Lappens bei einer Guided Bone Regeneration problemlos möglich ist und zu einem spannungsfreien Wundverschluss führt. Da trotz Ridge Preservation eine Resorption des Bündelknochens nicht verhindert werden kann, war schon von vornherein zu erwarten, dass ein gewisses Knochendefizit im zervikalen Implantatbereich auftreten würde. Die freiliegenden Implantatwindungen wurden mit autologen Bohrspänen bedeckt, die Kontur der Juga alveolaria mittels xenogenem Knochenersatzmaterial (Bio-Oss®; Ø 0,25 mm–1 mm; Fa. Geistlich) rekonstruiert. Der Aufbau wurde dann mit einer Kollagenmembran abgedeckt und zweischichtig vernäht (Bio-Gide®; resorbierbare Bilayer-Membran 13 x 25 mm, Fa. Geistlich). Der zur Lappenmobilisation notwendige Periostschnitt wurde dabei schon bei der Lappenpräparation gemacht. Erfolgt die Entlastung erst kurz vor dem Wundverschluss, kann das austretende Blut nicht abfließen und eine stärkere Schwellung bzw. Hämatombildung ist der Fall. Die Nahtentfernung erfolgte nach zehn Tagen. Die Interimsprothese konnte vom Patienten zu jedem Zeitpunkt getragen werden (Abb. 17–20). Etwa 13 Wochen nach Implantation erfolgte die Freilegung mittels Rolllappen. Zur idealen Ausformung der Gingiva wurde in diesem Fall ein modifizierter Einbringpfosten als Gingivaformer verwendet (Abb. 21). Idealerweise wird dieser modifizierte Gingivaformer im Labor hergestellt. Dazu wird schon während der Implantation die Position des Implantats mithilfe eines Übertragungsschlüssels aus Kunststoff, der mit dem Einbringpfosten durch Flow Kunststoff verbunden wird, festgehalten. Mithilfe des Übertragungsschlüssels lässt sich ein Laboranalog in das an dieser Stelle radierte Ausgangs-Gipsmodell setzen. Mit diesem so gewonnenen Modell lässt sich nun ein idealer, anatomisch geformter Gingivaformer herstellen, der später bei der Freilegung bereitsteht. Um die Kosten gering zu halten, wurde der Einbringpfosten in diesem Fall chairside mit Flowable Komposite modifiziert.

Nach einer Abheilzeit von drei Wochen erfolgte die Abformung des Implantats. Der dazu verwendete Abformpfosten wurde individualisiert, um die Mundsituation detailgenau ins Labor übertragen zu können. Dazu wurde der individualisierte Einbringpfosten auf ein Laboranalog gesetzt und in Silikon eingebettet. Nach Aushärten des Silikons wurde der Einbringpfosten entfernt, der Abformpfosten stattdessen auf das Laboranalog aufgeschraubt und mit Flowable Komposite umspritzt. Der so veränderte Abformpfosten überträgt die Gingivasituation präzise auf das Meistermodell. Vor der prothetischen Versorgung wurde versucht, Zahn 11 mittels Bleaching dem etwas helleren Farbton der beiden OK 2er anzugleichen. Da das Ergebnis dem Anspruch des Patienten nicht vollständig genügen konnte, wurde beschlossen, Zahn 11 außerdem mit einem Veneer zu versorgen. Das Implantat an 21 wurde mit einer Vollkeramikkrone versorgt, die auf einem Titanabutment befestigt wurde (Abb. 22).

Fazit

Lückenversorgungen im Frontzahnbereich mittels Implantaten stellen immer höchste Ansprüche an den Behandler, da beim Ergebnis in der Regel ästhetisch keine Kompromisse toleriert werden. Um eine Übertherapie zu vermeiden, die die Behandlung unnötig verzögern und für den Patienten verteuern würde, ist eine gewissenhafte ästhetische Risikoanalyse von großer Bedeutung. Zudem ist es somit möglich, die Gefahr zu minimieren, dass notwendige Behandlungsschritte ausgelassen werden, die für ein gutes ästhetisches Resultat entscheidend wären. Die ästhetische Risikoanalyse ermöglicht es, jeden Behandlungsfall auf die wesentlichen Fakten zu reduzieren und unter den zahlreichen Therapieoptionen, die zum Fall passende zu wählen. Nur wenn der Behandler sicher weiß, welche Besonderheiten ein Fall mit sich bringt, kann er seine Therapie daraufhin abstimmen und den idealen Weg einschlagen.

Mehr Fachartikel aus Implantologie

ePaper