Implantologie 25.05.2012

Behandlung und Therapie einer Einzelzahnlücke



Behandlung und Therapie einer Einzelzahnlücke

Schöne Zähne sind der Wunsch vieler Menschen, wie seit Jahren Umfragen ergeben. Bei komplexen ästhetischen Fällen, speziell im sensiblen Frontzahnbereich, ist eine intensive Kommu­nikation zwischen Patient und dem Team Zahnarzt/Zahntechniker gefragt, die Therapie muss neben der Ästhetik auch in der Biologie und Funktion eine gute Prognose besitzen.

Ziel einer jeden Behandlung ist es, am Anfang des Gespräches ein Gefühl zu vermitteln, dass man sich um den Patienten individuell bemüht, die Wünsche ernst nimmt und eine Vertrauensbasis schafft. Nach Abschluss der Behandlung sollte ein zufriedener Patient entlassen werden, der diesen Therapieschritt immer wieder machen würde.

Mit den heutigen adhäsiven Techniken und Materialien wie Komposite und Keramiken lassen sich minimal- und noninvasiv hervorragende ästhetische und gleichzeitig langlebige Restaurationen konstruieren. Der nachfolgende Patientenfall zeigt, wie komplex und individuell sich letztlich jeder Fall darstellt.

Patientenfall

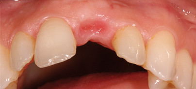
Eine 35-jährige Patientin stellte sich 2006 mit einer insuffizienten zweiflügeligen Marylandbrücke vor. Es störte sie das Durchschimmern der Metallflügel im inzisalen Abschnitt der Zähne 11 und 22. Gelegentlich kamen Beschwerden am Zahn 22 hinzu. Zusätzlich zeigte sich durch das Zahnfleisch apikal des Brückengliedes 21 eine Tätowierung, wahrscheinlich Amalgam von der retrograden Füllung des im Vorfeld resezierten (Narbenbildung) und nachträglich extrahierten Zahnes 21. Der Metallflügel am Zahn 22 hatte sich bereits gelöst und sich dementsprechend eine Karies palatinal etabliert, was für die Schmerzen sprach. Der Kopfbiss bzw. leicht offene Biss störte die Patientin nicht, es zeigten sich keine Auffälligkeiten nach erfolgter manueller Funktions- und Strukturanalyse der Gelenke und Muskeln. Eine Optimierung der Biss-Situation durch eine kombiniert kieferchirurgisch-kieferorthopädische oder rein kieferorthopädische Behandlung kam für die Patientin nicht infrage. Eine implantologische Lösung stellte sich für die Patientin ebenfalls nicht. Dem Wunsch der Patientin entsprechend sollte die Marylandbrücke entfernt und eine neue angefertigt werden. Nach entsprechender Erläuterung verschiedener Optionen entschied sich die Patientin für eine einflügelige vollkeramische Ädhäsivbrücke mit Kieferkammplastik.

Therapieplan:
1. Entfernung der alten Restauration
2. Versorgung von Zahn 22 mit einer direkten Kompositrestauration
3. Präparation des Zahnes 11 für ein Provisorium
4. Entfernung der Tätowierung und ggf. Amalgamresten
5. Aufbau und Unterfütterung des Kieferkammes mit einem Bindegewebstransplantat
6. Etablierung und Stabilisierung ei-nes Ponticdesigns mit einer provi-sorischen einflügeligen Brücke
7. Eingliederung einer einflügeligen vollkeramischen Brücke nach Stabilisierung/Optimierung der roten Ästhetik

Nach Entfernung der alten Versorgung wurde die Karies an 22 palatinal durch eine direkte Kompositrestauration definitv versorgt, da der Flügel der neuen Restauration an Zahn 11 befestigt werden sollte. Die Präparation alio loco erstreckte sich über die gesamte Palatinalfläche bis zur Inzisalkante, weshalb auch der Metallflügel der alten Marylandbrücke vestibulär inzisal durchschimmerte. Es erfolgte eine Abformung für eine provisorische Versorgung, da die rote Ästhetik durch einen chirurgischen Eingriff unterhalb des Brückengliedes optimiert werden sollte.Der chirurgische Eingriff zur Unterfütterung des Kieferkammes und des vestibulären Bereiches Regio 21 erfolgte mit der Entnahme eines größeren Bindegewebstransplantates (BGT) am Gaumen. Zur Aufnahme des BGT erfolgte die Präparation vestibulär Regio 21; dabei zeigte sich ein Amalgamrest, welcher sich für die Tätowierung verantwortlich zeigte. Die Lücke wurde durch ein herausnehmbares Provisorium für eine Woche geschlossen. Nach erfolgter Abheilung und Entfernung der Nähte folgte die Ausformung des Pontics mit einer provisorischen Brücke.

Teamapproach

Spätestens jetzt ist ein intensiver Teamapproach mit dem Zahntechniker notwendig. Grundsätzlich lernt bei uns jeder Patient das Team Zahnarzt/Zahntechniker persönlich kennen, sodass sich besonders der Zahntechniker, der letztlich den Zahnersatz anfertigt, sich ebenfalls ein Bild über die extraorale Ästhetik, wie Mimik und Lachen, machen kann. Fotos von den Zähnen wie auch ggf. ältere Fotos vom Patienten sind für eine intra- und extraorale Analyse hilfreich. Durch die notwendige provisorische Versorgung konnten schon viele Details, die dem Patienten wichtig sind, eingearbeitet und ggf. notwendige Veränderungen umgesetzt werden. Nach vier Monaten hatte sich durch das Pontic der Bereich Regio 21 so ausgeformt, dass der Eindruck eines gingivalen Abschlusses an dem Freiendglied entsteht. Wichtig ist, dass das Weich-gewebe genügend Regenerationszeit bekommt, um ein dauerhaftes Ergebnis sicherzustellen. Die Regeneration der roten Ästhetik wurde durch den offenen Biss perfekt unterstützt, sodass das Pontic in Ruhe ausgeformt werden konnte. Die sehr dünne Inzisalkante von Zahn 11, bedingt durch die Präparationsform alio loco, erforderte in der Umsetzung der Restauration einen anderen Fertigungsansatz, da das Gerüst aus Zirkon bestand und die Transluzenz/Transparenz in der Schneide beeinträchtigen sollte. Das Zirkongerüst wurde mit Glaskeramik so überpresst, dass inzisal nur Glaskeramik vorhanden war und die Transluzenz dadurch gewährleistet wurde. Ein weiterer Vorteil dieser Technik besteht in der Anätzung der Keramik, sodass ein adhäsiver Verbund zustande kommt. Die definitive Restauration konnte sich dem Zahn perfekt anpassen, die Patientin war begeistert vom Ergebnis.

Zusammenfassung

Im dargestellten komplexen Patientenfall ist die Sanierung ohne gravierende Probleme durchgeführt worden, was nur durch das konsequente Einhalten des Konzeptes und der engen Zusammenarbeit mit dem Zahntechniker und auch der guten Compliance der Patientin zu verdanken ist. Das Gesamtergebnis ist für den Patienten ein rundum gelungenes. Die Möglichkeit der Vorhersagbarkeit durch Kontrolle und möglicher  Veränderung des Zahnersatzes (Form, Farbe, Funktion) trug nicht unwesentlich dazu bei. Der Faktor Zeit beim Weichgewebe ist ebenfalls ein wesentlicher Faktor. Nichtsdestotrotz sollten verschiedene Therapieoptionen und Behandlungsmoda­litäten in solchen komplexen Fällen bekannt sein, man sollte sich viel Zeit nehmen für die Beratung und Erläuterung der ästhetischen Analyse mit dem Patienten. Die Abbildungen 5a und b zeigen die Patientin fünf Jahre nach Eingliederung der definitiven Restauration. Die rote Ästhetik und die adhäsive Verbindung am Zahn 11 ist stabil, in diesem Fall kommt der Vorteil natürlich zum Tragen, dass die Versorgung bei den Exkursionsbewegungen keinerlei Belastung ausgesetzt ist.

Mehr Fachartikel aus Implantologie

ePaper