Implantologie 19.10.2015

Sofortimplantation und aktive Weichgewebsmanipulation bei ­okklusalem Trauma



Sofortimplantation und aktive Weichgewebsmanipulation bei ­okklusalem Trauma

Die Nachfrage nach hochästhetischen Therapien nimmt in der Zahnheilkunde kontinuierlich zu. Die Patienten können immer weniger Zeit investieren bzw. entscheiden sich für Behandlungsalternativen, die schneller durchgeführt werden, aber erwarten zugleich ein perfektes Ergebnis. Obwohl die Sofortimplantation viele Vorteile mit sich bringt, ist die erfolgreiche Durchführung einer solchen Behandlung, besonders in schwierigen anatomischen ­Situationen, kompliziert und erfordert eine sehr genaue Planung.

Fallpräsentation

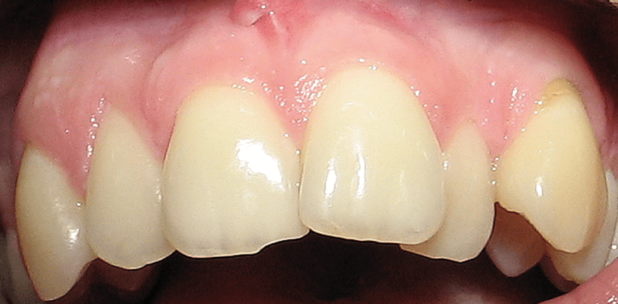
Die 28-jährige Patientin stellte sich bei uns mit dem Wunsch nach einer „smile reconstruction“ vor. Eine misslungene kieferorthopädische Behandlung in der Vergangenheit und beruflicher Zeitdruck waren die Hauptgründe für die Ablehnung einer erneuten KFO-Behandlung. Gleichzeitig waren die Ansprüche hoch, da die Patientin sehr unter den Fehlstellungen der Zähne bei einer sehr hohen Lachlinie litt (Abb. 1).

Klinische Untersuchung und Planung

Die klinische Untersuchung ergab einen primären Engstand in der oberen Front mit Labialstand von 21 und 23, Mesiorotation von 11, Distorotation von 12 und einer ausgeprägten Anteinklination von 22. Bei neutraler Bisslage war eine Angle-Klasse IIa und eine Mittellinienverschiebung von 1/3 Prämolarenbreite (PB) festzustellen. Der Zahn 22 zeigte außerdem eine Lockerung Grad 2, welche auf ein primäres okklusales Trauma zurückzuführen war. Der Zahn 12 wies eine geringfügige Zahnfleischdehiszenz vestibulär auf (Miller-Klasse I). Eine Konsultation der Kieferorthopäden sowie eine kieferorthopädische Behandlung wurden abgelehnt. Das Gebiss war konservierend suffizient versorgt, sodass das Anliegen der Patientin eine Rot-Weiß-Ästhetik war.

Die Entscheidung für eine Sofortimplantation unterliegt vielen Kriterien. Zu den primären gehören der Grund für den Zahnverlust, die interproximale Knochenhöhe, der Zustand der bukkalen Lamelle, die klinischen und radiologischen Befunde sowie der Zeitpunkt der Extraktion. In diesem Fall war der Grund für die Extraktion die Lockerung des Zahnes 22 von Grad 2 nach primärem okklusalen Trauma. Der interproximale Knochen war Klasse I, die bukkale Lamelle intakt und die radiologische Kontrolle ohne pathologischen Befund. Dazu bestand kein Bedarf für eine Vorbehandlung.

Zu den sekundären Kriterien für eine Sofortimplantation gehören: Gingivatyp, Scalloping, Form und Höhe der vorhandenen Papillen, Angle-Klasse sowie Inklination des Frontzahnes (Winkel zwischen Spina-Ebene und Achse des Zahnes) und Punkt der tiefsten Einziehung der ventralen Begrenzung des Alveolarfortsatzes zwischen Spina nasalis anterior und Limbus alveolaris. Die Patientin wies einen dünnen High-scalloped Biotyp bei einer Angle-Klasse IIa, steile Inklination des Zahnes 22 und eine tiefe Einziehung der Alveolarfortsätze ventral auf. Dadurch erschien eine Augmentation in Regio 22 lateral schon jetzt notwendig, um die knöcherne Ummantelung zu verändern.

Schließlich wurde über die tertiären Kriterien entschieden: Notwendigkeit von GBR und GTR, Implantatdesign, Positionierung apikokoronal, Verschluss, Freilegung, Abutmenttyp und provisorische Versorgung. Hier haben wir uns für die Insertion eines durchmesser­reduzierten Implantats (Ø 3 mm) mit LaserLok krestal, subkrestal entschieden. Die Positionierung orovestibulär hinterließ einen Spalt von 2 mm zu der bukkalen Lamelle, welche mit autologem Knochen und Xenograft koronal gefüllt wurde. Um zu gewährleisten, dass vestibulär mindestens 2 mm Hartgewebe über die Gesamtlänge des Implantats bleibt, wurde durch einen Esthetic ­Buccal Flap und GBR mit Xenograft die Absorption der bukkalen Lamelle manipuliert. Zudem verlangte die Trans­formation der Extraktionsalveole mit Vorverlagerung der Papille genügend Hart- und Weichgewebe vestibulär. Es wurde kein anderer Lappen gehoben, sodass die Extraktionswunde koronal mithilfe von Tissue Fleece der freien Granulation überlassen wurde. Die prothetische Planung und Durchführung wurden im Voraus detailliert geplant. Der Zahn 22 sollte mit einer Einzelkrone ersetzt werden. Die Zähne 13–11, 21 und 23 bekamen Teilkronen aus Keramik damit der Engstand aufgehoben und die Zahnfehlstellung korrigiert werden konnte. Als erstes sollte die Extraktion und provisorische Versorgung der Lücke 22 mit einer Maryland-Brücke erfolgen. Bei der Freilegung sollten die restlichen Frontzähne für die Teilkronen beschliffen werden. Beim Einsetzen der Teilkrone wurde das Implantat 22 mit einer verschraubbaren Krone zur Aus­formung des Emergenzprofils versorgt sowie nach erneuter Farbauswahl mit seiner definitiven Suprakonstruktion – ebenso verschraubbar.

Extraktion, Implantation und provisorische Versorgung

Vor der Extraktion von 22 wurden die Approximalkontakte zu 21 und 23 gelöscht. Dadurch war die atraumatische Extraktion leicht und wurde ohne ­Verletzungen der Gewebestrukturen durchgeführt (Abb. 2). Die orovestibuläre Positionierung des Implantats erfolgte anhand des Wax-ups, das zur Planung hergestellt wurde (Abb. 3). Die Pilotbohrung ist dabei sehr wichtig. Sie hat im Bereich des Zingulums der zukünftigen Krone zu erfolgen. Dadurch betrug der Spalt zwischen Implantat und bukkaler Lamelle ca. 2 mm bei einer Lamellendicke von exakt einem Millimeter. Die Lücke nach der Extraktion betrug 5 mm, sodass wir uns für ein Implantat von 3 mm Durchmesser entschieden (Abb. 4). Prothetisch war die Lücke enger, ca. 4 mm, und würde am Ende, nach Präparation der Nachbarzähne, ca. 5 mm Platz für die Suprakonstruktion bieten. Aus diesem Grund wurde das Implantat 2,5 mm subkrestal und insgesamt 3 mm unterhalb der Schmelz-Zement-Grenze der Nachbarzähnen gesetzt (Abb. 5).

Mesiodistal wurden in diesem Zeitpunkt schon die Zähne 21 und 23 entsprechend reduziert, sodass der ersetzte Zahn 22 jetzt schon die Dimensionen und die Form der späteren Suprakonstruktion hatte. Dadurch wurde direkt postoperativ mit der Ausformung des Weichgewebes angefangen. Die sehr hohen und stark verjüngenden Papillen, proximal der Lücke, verlangten eine optimale Unterstützung des Weichgewebes; zum späteren Zeitpunkt auch eine präzise Gestaltung des Abutments und Emergenzprofils.

Der Spalt zwischen Implantat und Alveoleninnenwand wurde mit autologem Knochen aufgefüllt, koronal mit einer Schicht Xenograft und mit Tissue Fleece verschlossen (Abb. 6–8). Da die Einziehung des Alveolarfortsatzes sehr ausgeprägt war, entschieden wir uns für eine laterale ­Augmentation mit ­Xenograft, lokalisiert im mittleren und apikalen Bereich des Implantatkörpers. Für diesen Schritt wurde bewusst der Esthetic Buccal Flap gewählt, ohne Entlastungschnitte, weil er uns erlaubt, gezielt aufzubauen und zu operieren, ohne Narben zu hinterlassen. Da das Implantat apikal nicht perforierte, reichte ein GBR mit Xenograft, um 2 mm Hartgewebe vestibulär zu garantieren und das Weichgewebe adäquat zu unterstützen (Abb. 9 und 10). Eine Augmentation des koronalen Drittels des Alveolarfortsatzes war nicht notwendig.

Freilegung und ­Weichgewebsmanipulation

Bei der Freilegung wurde eine Stanze verwendet. Die Gingivahöhe mit 3 mm, der breite Kamm und die gezielte Umformung der Strukturen vestibulär verlangten keine aufwendigen Plastiken zur Verbesserung der Weichgewebsqualität oder -quantität (Abb. 11–14). Nun war es wichtig die etwas palatinal liegenden Papillen, bedingt durch die Anteinklination des Zahnes 22 nach vestibulär zu bringen. Zusätzlich musste das Weichgewebsvolumen vestibulär median ausgeformt werden, damit der Gingivaverlauf harmonisch gestaltet werden konnte.

Zuerst wurden die Teilkronen angefertigt und eingesetzt. Anhand des Verlaufs der Gingiva an den nun fertig ­behandelten restlichen Frontzähnen wurde die provisorische Implantatkrone angefertigt. Eine Woche nach ­Insertion erfolgte die Einsetzung der endgültigen Krone (Abb. 15–18). Zu diesem Zeitpunkt war die Unterstützung der distalen Papille unzureichend, wie auf der Abbildung deutlich zu erkennen ist. Mit der endgültigen Krone wurde die Papille distal optimal gestützt. Bei der erneuten Kontrolle nach drei Tagen war der Interdentalraum distal gefüllt und nach weiteren vier Tagen konnte man eine optimale Ausformung des Weichgewebes feststellen (Abb. 19 und 20).

Abutmentauswahl und ­prothetische Versorgung

Für die provisorische Implantatkrone wurde ein Standardabutment benutzt. Die aus Polyetheretherketon (PEEK) Kunststoff modellierte Krone übte anfänglich nur mesiodistal Druck auf das Gewebe aus, damit die Papillen in die richtige Richtung verarbeitet werden konnten. Die Krone war vestibulär konkav und wechselte auf der Höhe der Schmelz-Zement-Grenze zu einem konvexen Profil. Folglich wurde das vestibuläre Volumen erhöht, bis der ästhetische Gingivaverlauf erreicht wurde.

Durch das durchmesserreduzierte Implantat war der Austritt des richtigen Emergenzprofils nur mit einer entsprechenden Positionierung des Implantats stark subkrestal zu realisieren. Die Wahl einer verschraubten Krone erlaubte leichten Zugang zum Abutment und Einproben bis die optimale Weich­gewebsunterstützung erreicht wurde. Ein Ästhetik-Abutment wurde modifiziert, damit es nicht durch das Weichgewebe durchscheint, ohne seine Stabilität zu reduzieren, bedingt durch den Durchmesser von 3,5 mm. Anschließend wurde die Krone aus Lithiumdisilikat-Glaskeramik gepresst und auf das präparierte Abutment geklebt. Das apikale Abutmentdrittel mesial und distal war nur aus Titan. Vestibulär beginnt der Keramikrand 2 mm oberhalb der Implantatschulter, mesiodistal 4 mm. Dadurch wurde der Verlauf der Gingiva an 12 und 22 fast vollständig angeglichen. Die Engstände wurden aufgelöst, die Schneidekannten begradigt und der Vorbiss gleichmäßig gestaltet.

Diskussion

Die Sofortimplantation, vor allem im ästhetischen Bereich, muss detailliert geplant werden. Sie ist vorhersehbar, wenn sowohl die Chirurgie als auch die Prothetik dem jeweiligen Patient angepasst und so durchgeführt werden, dass bestimmte Regeln nicht verletzt werden. So können moderne Implantatdesigns näher zu den Nachbarzähnen positioniert werden. Nicht alle Designs eignen sich für eine Sofort­implantation. Krestale Optionen erlauben und führen das Anwachsen von Weichgewebsfaser an der Implantatsoberfläche. Durchmesserreduzierte Implantate müssen apiko­koronal richtig positioniert werden, damit das richtige Emergenzprofil realisiert werden kann. Lappentechniken zur ­Optimierung des Knochenvolumens dürfen keine Narben hinterlassen. Biotyp, Lachlinie und Gingivatyp des Patienten müssen im Vorfeld analysiert werden. Die Konditionierung des Weichgewebes fängt unmittelbar postoperativ an. Die richtige Krone, bietet die perfekte und langfristig stabile ­Unterstützung der Weichgewebe. Auch der Grund für die Extraktion eines Zahnes ist elementar wichtig und beeinflusst das Vorgehen maßgeblich. Durch die aktive Manipulation des Weichgewebes wurde der Verlauf der Gingiva an 12 und 22 fast vollständig angeglichen. Der spitz zulaufende Gingivaverlauf 12 durfte an der Implantatkrone 22 nicht nachgeahmt werden, da er sonst zu Rezessionen führen würde. Die Engstände wurden aufgelöst, die Schneidekannten begradigt und der Vorbiss gleichmäßig gestaltet. Obwohl die Änderungen an der Zahnkrone groß waren, wurden die schlanken, hoch einstrahlenden Papillen erhalten und in ihren neuen Positionen optimal gestützt, sodass ein hochästhetisches Ergebnis erreicht werden konnte.

Letztendlich ist jeder folgende Schritt einer solchen Behandlung wichtiger als die vorherigen. Wenn alle Schritte richtig geplant und durchgeführt werden, ist das Ergebnis hoch­ästhetisch und langfristig stabil.

Mehr Fachartikel aus Implantologie

ePaper