Implantologie 23.03.2022

Multiple Aplasie von Zähnen – ein Therapiekonzept

Multiple Aplasie von Zähnen – ein Therapiekonzept

Foto: Poliklinik für Kieferorthopädie, LMU München & Dr. Benjamin Kurfürst

Die Behandlung von Nichtanlagen in Kombination mit verlagerten Zähnen, insbesondere ankylosierten und in Infraposition stehenden Milchzähnen, stellt den behandelnden Zahnarzt und Kieferorthopäden vor große Herausforderungen. Kaufunktionelle und ästhetische Probleme sind beim unbehandelten Patienten eine nur schwer lösbare Aufgabe im Erwachsenenalter, da das vertikale und horizontale Wachstum von Knochen und Weichgewebe in den betroffenen Bereichen nicht stattfinden konnte. Die ästhetische und kaufunktionelle Rehabilitation dieser Patienten im Erwachsenenalter ist dann nur noch mit hohem chirurgischem Aufwand zu betreiben.

Abstract

Dieser Fallbericht beschreibt die orale Rehabilitation eines Patienten, welcher Nichtanlagen von vier Prämolaren bei ankylosierten und in Infraposition stehenden Milchmolaren sowie zwei retinierte, verlagerte und nach Freilegung ankylosierte Eckzähne besaß. Diese schwierige, da asymmetrisch verteilte Bisssituation wurde in enger Zusammenarbeit zwischen Kieferorthopädie und MKG-Chirurgie angegangen. Im Jugendalter wurden die Techniken der autogenen Prämolarentransplantation und der chirurgischen Anluxation gewählt, um die Missstände im Ober- und Unterkiefer aufzulösen. Dadurch wurde der Kieferorthopädie die Möglichkeit gegeben, eine symmetrische Verteilung der vorhandenen Zahnanzahl wiederherzustellen und die Bisslage im Hinblick auf eine spätere implantologische Versorgung im Erwachsenenalter vorzubereiten. Mit Abschluss des skelettalen Wachstums war die kieferorthopädische Therapie so weit vorangeschritten, dass nach entsprechender prothetischer Planung die vorhandenen Restlücken für eine spätere Insertion von Keramikimplantaten vorbereitet waren. Die Nachverfolgungszeit des Patientenfalls beträgt seit Beginn der Therapie nunmehr achteinhalb Jahre. Durch eine frühzeitige interdisziplinäre Planung und Therapieeinleitung konnte mit den genannten chirurgischen Techniken die komplexe Fehlbiss-Problematik des Patienten aus funktioneller und ästhetischer Sicht erfolgreich abgeschlossen werden.

Einleitung

Der damals 14-jährige Patient stellte sich erstmals 2013 in unserer Sprechstunde vor. Die Allgemeinanamnese war unauffällig, syndromale Erkrankungen waren ebenfalls nicht bekannt. Die Familienanamnese zeigte ebenfalls keine bekannten kraniofazialen Wachstumsstörungen, insbesondere keine Ang ben von Oligodontie. Im Orthopantomogramm (Abb. 1a) zeigten sich Nichtanlagen der Zähne 34, 35, 44 und 45 (n = 4). Die Zähne 13 und 33 sind retiniert und verlagert; sie wurden bereits alio loco freigelegt und stellten sich im Rahmen der kieferorthopädischen Extrusionstherapie ankylosiert dar (Entwicklungsstörung [ES] gesamt: n = 6). Beide Eckzähne sind noch mit Bracket und Kettchen versehen (Abb. 1b und c) . Die Einstellung der Eckzähne wurde seitens der Kieferorthopädie abgebrochen und ein alternativer Behandlungs- weg wurde gesucht. Die Dauer der vorangegangenen kieferorthopädischen Behandlung mit Einstellungsversuchen der jeweiligen Eckzähne ist mit eineinhalb Jahren angegeben worden.

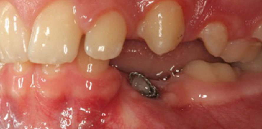
Therapie Nach ausführlicher Beratung und Abwägung aller Therapiealternativen erfolgte in enger Zusammenarbeit mit den behandelnden Kieferorthopäden im Jahr 2013 der operative Eingriff. Die Therapie bestand in einer Kombination aus verschiedenen chirurgischen Techniken. Zunächst wurden die Milchmolaren 55, 65, 75 und 85 extrahiert, die Zähne 13 und 33 anluxiert bzw. transplantiert und die Zähne 15 und 25 i. S. e. Ausgleichstransplantation zur Schaffung gleicher Zahnanzahlen in den jeweiligen Quadranten in den Unterkiefer in Regio 34 (25 > 34) und 45 (15 > 45) transplantiert. Der Eingriff erfolgte in allgemeiner Anästhesie. Die transplantierten Zähne wurden in Regiones 13, 33 und 34 in- traoperativ semirigide mittels 0,2 mm Titanium Trauma Splint (Medartis®) in Säure-Ätz-Technik (Bleach flow, Ivoclar Vivadent®) an ihren Nachbarzähnen eingeschient. Aufgrund der Wurzelmorphologie des Zahns 43 konnte das Transplantat in Regio 45 nicht in approximalen Kontakt zu Zahn 43 gestellt werden. Das Risiko einer iatrogenen Verletzung der Zahnwurzel 43 durch Schaffung der Neoalveole musste ausgeschlossen werden. Das Transplantat Regio 45 konnte somit nicht mit einer TTS-Schienung in Position gehalten werden, sondern wurde mit einer Überknüpfnaht vor Aspiration gesichert (Abb. 2).

Die Entfernung des Titanium Trauma Splints erfolgte jeweils drei Wochen postoperativ. Dadurch konnte der nächste Behandlungsschritt freigegeben werden und der Patient wurde zur weiteren Therapie an die behandelnde Kieferorthopädie zurücküberwiesen. Es folgte die kieferorthopädische Ausformung von Ober- und Unterkiefer mit Einstellung des transplantierten Zahns 13. Zahn 14 ist noch retiniert und befindet sich aktuell im Durchbruch. Mittels herausnehmbarer Apparaturen durch laufende kieferorthopädische Behandlung zeigte sich der Verlauf drei Monate post OP (Abb. 3a und b). Um eine vollständige Rehabilitation zu gewährleisten, wurde darauf hingearbeit^et, dass die Schaltlücken Regiones 15, 24, 35, 44 im Sinne eines folgenden implantologischen Lückenschlusses im Erwachsenenalter offengehalten wurden. Nach inzwischen fünfeinhalb Jahren post operationem ist der kieferorthopädische Behandlungsverlauf deutlich zu sehen (Abb. 4a und b). Der etwas hypoplastische Zahn 14 hat inzwischen auch den physiologischen Durchbruch erreicht und kann in die kieferorthopädische Therapie miteinbezogen werden. Im weiteren Verlauf wurden die Lücken 15, 24, 35, 44 für eine spätere Implantation vorbereitet. Es folgte nun die kieferorthopädische Retentionsphase. Der Patient ist mittlerweile 21 Jahre alt und für die anstehende dentale Implantation mit definitiver prothetischer Versorgung vorbereitet. Das Knochenlager stellt sich röntgenologisch und klinisch in orovestibulärer und in vertikaler Dimension im Ober- sowie im Unterkiefer für eine Implantation als ausreichend dar.

Als abschließender Therapieschritt konnte nun der implantologische Lückenschluss vollzogen werden. Die knöchernen Dimensionen des Hartgewebes erlaubten eine sichere Insertion von dentalen Ke-amikimplantaten mit Primärstabilität von 35Ncm (Straumann® PURE Ceramic, Ø 4,1 mm, L 10 mm, RD, zweiteilig) in Regiones 15, 24, 35, 44 (Abb. 5). Die Transplantate in Regio 34 und 45 zeigten sich röntgenologisch bei obliteriertem Pulpakavum, was als Vitalitäts- zeichen interpretiert werden kann,1 bei positiver Kältesensibilitätstestung. Die Zähne 13 und 33 zeigen ebenfalls keine Resorptionserscheinungen – trotz einer langen kieferorthopädischen Extrusionstherapie.2 Die klinische Situation drei Monate post implantationem zeigt zum Zeitpunkt der Freilegung aller vier Implantate (Abb. 6a und b). Es zeigten sich stabile gingivale Verhältnisse bei vollständig rehabilitiertem adultem Gebiss. Nach zwölf Wochen wurden die Implantate prothetisch definitiv mit Vollkeramikkronen in verschraubter Technik versorgt (Abb. 7a–c). Durch eine Kombination aus autogener Zahntransplantation im Jugendalter und dentaler Implantation im frühen Erwachsenenalter konnte eine zuverlässige, ästhetisch ansprechende kaufunktionelle Rehabilitation in allen vier Quadranten erreicht werden (Abb. 8a und b). Die Kaufunktion3 ist bis zum zweiten Molaren ohne Verkürzung der Zahnreihe gegeben. Die Nachuntersuchungszeit des Patienten seit Beginn der chirurgischen Therapie beträgt inzwischen über achteinhalb Jahre. Alle Transplantate und Implantate zeigen sich im regelmäßigen hausinternen Recall bei guter Kaufunktion und Ästhetik stabil in situ. Es zeigen sich reizfreie gingivale Verhältnisse bei stabiler Osseointegration aller vier Implantate (exempl. Abb. 7a).

Diskussion

Patienten mit komplexen Wachstumsstörungen im dentalen Bereich sind im interdisziplinären Konsens4 zu führen. Hierunter fällt die (Kinder-)Zahnheilkunde, die Logopädie, die Kieferorthopädie, die Oralchirurgie und Kieferchirurgie. Während die Technik der autogenen Zahntransplantation besonders für das noch im Wachstum befindliche Gebiss geeignet ist, sollte die enossale Implantation möglichst erst nach Abschluss des Kieferwachstums Anwendung finden. Die Komplexität der Fälle und die Individualität der Behandlung bedingen mitunter eine lange Behandlungsdauer, welche den verschiedenen sequenziellen Therapieschritten geschuldet ist. Das erfordert oftmals viel Geduld, Compliance des Patienten sowie vom Behandler. Die Kenntnis der verschiedenen Therapieoptionen erlaubt die bestmögliche Rehabilitation der jugendlichen Patienten mit derart komplexen Fehlbildungen.

Fazit

Die autogene Zahntransplantation stellt eine zuverlässige chirurgische Technik5–7 dar und sollte bei schweren Entwicklungsstörungen der Kiefer und Zähne als Therapieoption im Jugendalter in jedem Falle in Erwägung gezogen werden. Die osteoinduktive Funktion dieser Methode8 erlaubt gerade im Wachstums- alter die Unterstützung von Knochen und Weichgewebe. Über den parodontalen Faserapparat des transplantierten Zahns kann die kieferorthopädische Behandlung uneingeschränkt fortgesetzt werden, was einen weiteren Beitrag für die horizontale und vertikale Ausbildung der Ober- und Unterkieferzahnbögen für den Patienten leistet. Die Kombination von autogener Zahntransplantation, kieferorthopädischer Therapie sowie abschließender dentaler Implantologie erlaubt, wie in diesem Fallbericht dargestellt, eine zuverlässige Rehabilitation von Patienten mit komplexen Fehlbildungen wie multiplen Nichtanlagen mit/ohne Durchbruchsstörung von Zähnen.9–11 Dem Patienten können so im Erwachsenenalter aufwendige augmentative knöcherne Maßnahmen erspart werden.

Autoren: Dr. Benjamin Kurfürst, Dr. Lea Hoffmann, Prof. Dr. Dr. Dirk Nolte

Literaturliste

Dieser Artikel ist im Implantologie Journal erschienen.

Mehr Fachartikel aus Implantologie

ePaper