Implantologie 17.10.2013

Knochenersatzmaterial aus KFO-Sicht



Knochenersatzmaterial aus KFO-Sicht

In der chirurgischen Zahnheilkunde finden Knochenersatzmaterialien bei fehlendem oder reduziertem Knochenlager ihre Anwendung. Bedenkt man die Vielzahl möglicher Indikationen und die Häufigkeit augmentativer Eingriffe, bleibt nicht auszuschließen, dass der Kieferorthopäde mit einem Patientengut konfrontiert wird, welches eine Vorbehandlung mit einem Knochenersatzmaterial erfuhr. Diese Arbeit soll einen Überblick zu dieser Thematik geben, den aktuellen Stand der Forschung darstellen und mögliche Probleme und Risiken in der Therapie aufzeigen.

Eine vollständige Heilung und funktionelle Wiederherstellung des Körpers im Sinne einer „Restitutio ad integrum“ ist der Wunsch vieler chirurgischer Fachdisziplinen. Wie auch in anderen chirurgischen Fachdisziplinen kommen in der Implantologie häufig künstliche Knochenersatzstoffe zur Therapie knöcherner Defekte zum Einsatz. Weltweit werden pro Jahr durchschnittlich 2,2 Millionen augmentative Eingriffe vorgenommen (Van Heest et al. 1999). Eine Vielzahl dieser Eingriffe findet in der Zahn-, Mund- und Kieferheilkunde statt. Daher wird der Kieferorthopäde zukünftig zwangsläufig in seinem Arbeitsleben mit einem entsprechend vorbehandelten Patienten gut konfrontiert werden. Es stellt sich daher die Frage, ob eine Zahnbewegung durch ein Knochenersatzmaterial möglich ist. Da in einigen Fällen nach einem Zahnverlust das Therapiekonzept neu ausgerichtet und der kieferorthopädische Lückenschluss einer Implantatversorgung vorgezogen wird, sollte auch der implantologisch tätige Zahnarzt mit dieser Thematik vertraut sein. In der Literatur war die Möglichkeit einer Zahnbewegung durch Knochenersatzmaterial nur selten Gegenstand der Forschung (Reichert et al. 2010). Da die Möglichkeit einer Zahnbewegung durch ein Knochenersatzmaterial nie in einer kontrollierten klinischen Studie untersucht wurde, gibt es wenige Informationen zu Zahnbewegungen durch verschiedene Materialtypen, eventuelle Nebenwirkungen oder therapeutische Indikationen. Daher beruhen die derzeitigen Kenntnisse zumeist aus Tierexperimenten, Fallberichten, quasi experimentellen Fallserien oder Studien, deren Fokus nicht ausschließlich auf diese Fragestellung gerichtet war (Reichert et al. 2009, Reichert et al. 2010). Bedenkt man die große Bandbreite existierender Materialien, sind vergleichende Untersuchungen von großem Interesse. Solche Daten stammen nur aus tierexperimentellen Untersuchungen (Feinberg et al. 1988, Kitamura et al. 2002, Linton et al. 2002, Sugimoto et al. 1993). Tierexperimentell waren nur zwei Materialtypen mit Nebenwirkungen behaftet:

  • Materialien auf Alginatbasis verursachten schwere Entzündungen (Linton et al. 2002)
  • Dichte Hydroxylapatitkeramik verursachte Retentionen und Malformationen eruptierender Zähne (Feinberg et al. 1988, Feinberg et al. 1989, Holtgrave 1989) oder eine Stagnation der Zahnbewegung (Schneider et al. 1989) bzw. Resorptionen der Wurzeln (Hossain et al. 1996, Kawamoto et al. 2003, Kawamoto et al. 2002) beim aktiven Lückenschluss.

An dieser Stelle lässt sich also ableiten, dass die Mindestanforderung für eine erfolgreiche Zahnbewegung durch ein Knochenersatzmaterial dessen Fähigkeit zur Biodegradation ist. Daher sollte dies auch bei der Materialauswahl des Implantologen berücksichtigt werden. Diese Annahme wurde durch die aktuell existierenden klinischen Berichte nicht widerlegt, da eine Biodegradation bei den verwendeten Materialien β-Trikalziumphosphat (Weijs et al. 2010), bovines Hydroxylapatit (Cardaropoli et al. 2006, Ogihara et al. 2010) und nanopartikuläres Hydroxylapatit (Proff et al. 2006)) prinzipiell möglich ist. Fanden früher Zahnbewegungen in oder durch ein Knochenersatzmaterial eher akzidentiell statt, wurde in der jüngeren Vergangenheit sogar ein Therapiekonzept entwickelt, welches eine Vorbehandlung mit Knochenersatzmaterial vor der kieferorthopädischen Therapie voraussetzt (WilckodonticsTM;Wilcko et al. 2001). Hierbei wird vor der kieferorthopädischen Zahnbewegung in einem chirurgischen Eingriff die vestibuläre und linguale Mukosa und das Periost gelöst, der Knochen dargestellt und die Kortikalis mit einer selektiven, partiellen Dekortikation geschwächt. Vor dem Wundverschluss erfolgt eine Auflagerung bzw. Augmentation von Knochenersatzmaterial und im Anschluss die kieferorthopädische Zahnbewegung. Laut Aussage der Autorengruppe soll durch diese Vorgehensweise die Dauer der kieferorthopädischen Therapie reduziert und simultan das bukko-linguale Knochenvolumen vergrößert werden. Aktuell kann man festhalten, dass die Technik zwar Ansätze bietet, das kieferorthopädische Behandlungsspektrum zu erweitern, jedoch gibt es noch eine Vielzahl von offenen Fragen. Derzeit fehlen klare Indikationen, die diesen invasiven chirurgischen Eingriff rechtfertigen, und es gibt keine kontrollierte klinische Studie, welche (Neben-)Wirkungen und Langzeiteffekte der Behandlung dokumentiert.

 

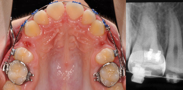
Aus diesem Grund sahen wir einen Bedarf für klinische Studien mit der Frage nach der Möglichkeit einer Zahn- bewegung durch augmentierte Areale gegeben. Das Ziel war die Prognose der Behandlung abzusichern und das Risiko klinischer Misserfolge zu minimieren. NanoBone® (ARTOSS, Deutschland) ist neben bovinem Knochenersatzmaterial und β-TCP wissenschaftlich eines der am besten untersuchten Materialien. Legt man die Anforderungen nach Biokompatibilität, Osteoinduktion, Osteopromotion bzw. Osteokonduktion, Porosität, Stabilität bei Belastung, Resorbierbarkeit bzw. Degradierbarkeit, Plastizität, Sterilität sowie stabile Langzeitintegration von Implantaten (Kolk et al. 2012) für ein „ideales“ Knochenersatzmaterial zugrunde, so sind für dieses Material viele dieser Eigenschaften gegeben (Abshagen et al. 2009, Canullo et al. 2009, Gotz et al. 2008, Punke et al. 2012, Rumpel et al. 2006). Aus diesem Grund entschieden wir uns für dieses Material in unseren Untersuchungen. In einer Pilotphase wurde die Bewegung durch das Material evaluiert (Reichert et al. 2013, Reichert et al. 2011). Anschließend wurde in einer systematischen Untersuchung zehn Patienten mit kieferorthopädischer Indikationsstellung zur symmetrischen Entfernung von 28 Prämolaren eingeschlossen (Reichert et al. accepted). Im Split-mouth-Design wurde eine Seite mit NanoBone® behandelt, die Gegenseite diente als Kontrolle. Nach der primären Wundheilung wurde der Lückenschluss mit einer standardisierten Mechanik vollzogen (Abb. 1a–e). Neben einer Röntgenkontrolle wurde zum Zeitpunkt des Lückenschlusses das Vorhandensein von Gingivaduplikaturen, eine durch eine Atrophie bedingte Einfaltung der Schleimhaut nach dem Lückenschluss (Golz et al. 2011), sowie die Sondierungstiefen begrenzend zur Extraktionsregion dokumentiert. In dieser Studie konnte der Lückenschluss in allen Fällen durchgeführt werden und alle Zähne blieben vital. Man konnte darstellen, dass die Augmentation mit dem erwähnten Material den Ausprägungsgrad entstandener Gingivaduplikaturen sowie die Sondierungstiefen mesial und distal der Extraktionsregion gegenüber der Kontrollseite signifikant verringerte. 70 % der Röntgenaufnahmen zeigten transluzente und röntgendichte Areale in der Augmentationsregion (Abb. 2a und b) und apikale Wurzelresorptionen wurden seitengleich bei nur zwei Patienten festgestellt. Somit lässt sich schlussfolgern, dass eine Zahnbewegung durch das verwendete Knochenersatzmaterial prinzipiell möglich ist. Bezüglich der röntgendichten Areale bleibt jedoch eine kleine Restunsicherheit, daher stehen Langzeituntersuchungen aus, um mögliche Nebenwirkungen letztlich ausschließen zu können.

Die Untersuchung von Zahnbewegungen durch Knochenersatzmaterial wird auch in Zukunft ein spannendes Thema für die Kieferorthopädie des 21. Jahrhunderts bleiben. Nicht nur, da hierdurch die Sicherheit unserer Patienten steigt, sondern auch, weil sich durch die Implementierung dieser Materialien Wege eröffnen könnten, welche früher die Therapie limitierten. Die hier vorgestellten Arbeiten sind ein erster Schritt, um Knochenersatzmaterialien in die kieferorthopädische Therapie einzubinden. Gute klinische Studien mit intelligentem Studiendesign vorausgesetzt, könnten langfristig Therapiekonzepte entwickelt werden, welche durch gezielte Kombination von Zahnbewegung und Augmentation von Knochenersatzmaterial die Therapie von Patienten mit ossären Defiziten, wie man sie z.B. bei Kieferspalten oder parodontalen Defekten findet, verbessert.

Hier geht's zur vollständigen Literaturliste.

Mehr Fachartikel aus Implantologie

ePaper