Implantologie 15.08.2016

Sofortimplantation mit einteiligen Implantaten



Sofortimplantation mit einteiligen Implantaten

Foto: © Autor

Die Sofortimplantation stellt die beste Möglichkeit dar, im Oberkieferfrontzahnbereich möglichst viel Weichgewebe und Knochengewebe zu erhalten. Im vorliegenden Fall wird diese Technik mittels einteiliger 15° abgewinkelter Implantate (nature Implants) umgesetzt. Systembedingt haben einteilige Implantate keine Mikrobewegungen am Implantat-Abutment-Interface, sodass sogar Knochenwachstum an das Abutment möglich ist, wie im Folgenden zu sehen sein wird.

Des Weiteren wird durch das Abutment der einteiligen Implantate das bukkale Weich­gewebe optimal unterstützt. Durch die palatinale Positionierung der 3 mm-Implantate verknöchert der bukkal verbleibende Hohlraum ausgehend von den Knochenstrukturen der Nachbarzähne. Der Fokus dieser Methode besteht darin, dass sich das Knochenniveau natürlicherweise der biologischen Breite der Zähne ohne das Verwenden von Knochenersatzmaterialien, nur durch Kol­la­gen als Leitstruktur, selbst reguliert (Judgar R. et al.).

Fallbeispiel

Die 21-jährige Patientin stellte sich mit einem wurzelresezierten Zahn 21 mit chronischer periapikaler Entzündung und einer Fistelbildung zur implantologischen Beratung vor (Abb. 1). Das Zahnfleisch war gerötet und die Zahnwurzel war als blaulivide Verfärbung durch das Zahnfleisch sichtbar. Es war davon auszugehen, dass die gesamte bukkale Lamelle durch die wiederholten Entzündungsprozesse vollständig resorbiert war. Die Extraktion wurde dringend angeraten, um weitere Knochenverluste, besonders der Knochenstruktur von den Nachbarzähnen, zu verhindern. Zwei- und einteilige Implantatsysteme sowie zwei- und einzeitige Vorgehen wurden mehrfach ausgiebig diskutiert und besonders die Risiken und die später zu erwartende Ästhetik wie Zahnfleischverlauf und Erhalt der Interdentalpapille besprochen. Da die Patientin bereits sechs Monate vorher positive Erfahrungen mit einem minimalinvasiv inserierten, einteiligen Implantat mit internem Sinuslift am Zahn 25 gemacht hatte, fiel die Entscheidung auf eine Sofortimplantation mit einem einteiligen 15° abgewinkelten Implantat der Firma nature Implants. Die Patientin war Nichtraucherin und litt an Hashimoto sowie an Willebrand-Jürgens. Die Extraktion wurde bereits einen Tag vorab antibiotisch mit Amoxicillin 1. Mio E perioperativ abgedeckt und für eine Woche abgeschirmt. Unterstützend erhielt die Patientin vorab eine Prednisolon 50 mg-Tablette.

Behandlungsverlauf

Bei der vorsichtigen Extraktion des betroffenen Zahnes wurde die oben bereits geäußerte Vermutung bestätigt. Die gesamte bukkale Knochenlamelle war resorbiert. Aufgrund der Erfahrung ähnlich gelagerter Fälle bei Frontzahn-Sofortimplantation war dies kein Grund, die geplante Sofortimplantationen abzubrechen oder andere Operationsverfahren anzuwenden. Da­ran anschließend wurde intensiv die Entzündung aus der Alveole auskürettiert und drei bis fünf Minuten abgewartet, bis die Wundreinigung durch die stattfindende Blutung mit einem Blutkoagulum abgeschlossen war.

Die Aufbereitung des Implantatlagers erfolgte mit 200 Umdrehungen ohne Kühlung, um das Ausspülen des Blutgerinnsels zu verhindern, da dieses entscheidend für die Osseointegration ist. Die Bohrung erfolgt bei dieser Methode immer ca. zwei Millimeter krestal der Wurzelspitze mit etwa 15° palatinaler Neigung. Der Knochen hat in diesem Bereich in der Regel die Härte von D1–D2, sodass die geforderte Primärstabiliät von ≥ 35 Ncm erreicht wird. Im nächsten Schritt wurde das Bohrloch sondiert, um sicher die Implantation in den infizierten apikalen Bereich der Alveole auszuschließen. Mittels Knochenvorformer (Ø 2,5 mm) wurde das Implantatbohrloch anschließend für das selbstkondensierende, einteilige Implantatsystem aufgedehnt und das Gewindedesign im Knochen vorgeformt.

Danach wurde das 15° abgewinkelte einteilige Implantat per Hand mittels der 15-Grad-Einbringhilfe für acht Millimeter breite Lücken zwei bis drei Millimeter mit dem Mikrogewinde un­ter das Niveau des Knochens der Nachbarzähne inseriert (Abb. 2). Der verbliebene Hohlraum bukkal des Implantates wurde ausschließlich mit Kollagen aufgefüllt. Bei dieser Methode wird keinesfalls Knochenersatzmaterial (KEM) eingesetzt, da mehr randomisierte klinische Studien notwendig sind, um den Einfluss von KEM auf das endgültige ästhetische Ergebnis von zweiteiligen Implantaten zu bewerten (Tarnow et al., 2014).

Für die Fertigung einer Zirkonkrone wurde die Situation direkt nach der Implantation geschlossen abgeformt. Als Provisorium wurde die Krone des extrahierten Zahnes verwendet. Diese wurde adhäsiv und ohne Kontakt zu dem inserierten Implantat, an den Nachbarzähnen befestigt. Für die Wundheilung war und ist es außerdem wichtig, dass das Provisorium genügend Abstand zum Weichgewebe hat, da Kompression zu Gewebeverlust führen würde (Abb. 3). Während der Einheilphase (12–16 Wochen) durfte die Patientin ausschließlich weiche Kost zu sich nehmen.

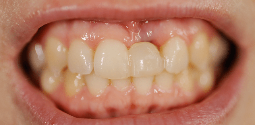
12–16 Wochen nach der Operation erfolgte nach einer Röntgenkontrolle (Abb. 4) die Eingliederung der fertigen Zirkonkrone (Abb. 5). Nach 14 Tagen fand eine weitere Höhen- und Endkontrolle der Implantatversorgung statt. Als Periimplantitisprophylaxe wurden der Patientin halbjährliche Kontrollen und professionelle Zahnreinigungen empfohlen (Abb. 6 und 7, aktueller Status).

Fazit

Bei Sofortimplantationen ist die Patientenzufriedenheit signifikant höher als bei verzögerter oder späterer Implantation. Die Metaanalyse von Pommer et al. (2012) zeigt, dass das Knochenangebot nach Socket Preservation sowohl in Höhe als auch in Breite 1 mm größer ist als ohne Augmentation. Hierfür eignen sich am sinnvollsten Kollagenschwämmchen. Die Schwierigkeit bei der Sofortimplantation ist das Erreichen der Primärstabilität, vor allem für Anfänger. Das Gewindedesign von nature Implants erleichtert dieses Vorhaben.

Eine umfassende Analyse evidenzbasierter klinischer Studien bezüglich einteiliger Implantate belegt, dass einteilige Implantate große Vorteile besitzen. Die Ähnlichkeit der biologischen Breite von natürlichen Zähnen (Judgar et al., 2014; Hermann et al., 2001), die geringere krestale Knochenverlustrate gegenüber zweiteiligen Implantaten (Caram et al., 2014) aufgrund der Implantatinsertion, sowie die nicht vorhandene Mikro­spaltproblematik (Zipprich et al., 2007; Canullo et al., 2014) sind in diesem Zusammenhang zu nennen. Weiter sind das sehr effiziente und übersichtliche Instrumentarium und die einfach zu erlernende Anwendungsweise, nahezu ohne Indikationseinschränkung, als Vorteile des verwendeten Implantatsystems erkennbar. Darüber hinaus eignen sich die einteiligen Implantate, aufgrund der niedrigen Komplikationsrate, für die Behandlung einer zunehmend älter werdenden, multimorbideren Patientengruppe.

Das besonders knochenschonende Gewindedesign und die tangential auslaufende Abutmentgeometrie lassen dem Zahnarzt alle Freiheiten bei der Festlegung der Präparationsgrenze und beugen außerdem Zementitis vor. Im beschriebenen Fall wird deutlich, dass die Verwendung einteiliger Implantate für die Sofort­implantation verkürzte und vereinfachte Behandlungsabläufe sowie reduzierte Kosten zur Folge hatte. Die Methode stellt hier für den erfahrenen implantologischen Anwender eine umsetzbare Lösung dar.

Die vollständige Literaturliste gibt es hier.

Mehr Fachartikel aus Implantologie

ePaper