Kieferorthopädie 20.04.2023
Gaumennahterweiterung oder dentoalveoläre Kompensation?
share
Eine neue Studie untersucht das Ausmaß der Korrektur von Kreuzbissen bei Erwachsenen mit posteriorem Kreuzbiss. Dabei wird der Einsatz vollständig individueller lingualer Apparaturen (VILA) zur nichtchirurgischen transversalen dentoalveolären Kompensation mit einer chirurgisch unterstützten Gaumennahterweiterung verglichen. Die Ergebnisse dieser Studie werden in diesem Beitrag vorgestellt.
Ein seitlicher Kreuzbiss im Erwachsenenalter stellt den Behandler häufig vor die Entscheidung, ob eine chirurgisch unterstützte Gaumennahterweiterung erforderlich ist.
Im Folgenden werden die Ergebnisse einer neuen Studie vorgestellt, in der das Ausmaß der Kreuzbisskorrektur mittels nichtchirurgischer Therapie im Sinne einer dentoalveolären Kompensation mit vollständig individuellen lingualen Apparaturen (VILA) mit dem eines chirurgischen Vorgehens verglichen wurde.
Hintergrund
In der permanenten Dentition liegt ein posteriorer Kreuzbiss mit einer weltweiten Prävalenz von etwa 10 Prozent vor;1 in Deutschland beträgt diese bis zu 15 Prozent.2 Die Ätiologie von Kreuzbissen im Seitenzahnbereich gilt nach wie vor als ungeklärt,3 jedoch bestehen mögliche Assoziationen zu Lutschgewohnheiten4 oder einem verlängerten Gebrauch des Beruhigungssaugers.5 Das Stillen scheint hingegen ein protektiver Faktor gegen die Entwicklung eines posterioren Kreuzbisses zu sein.6
Obwohl sich nach kieferorthopädischer Behandlung ohne Retention die intercanine Distanz im Unterkiefer sowohl im Falle ihrer vorherigen Expansion als auch bei ihrer Beibehaltung im Laufe einer Dekade verkleinert,7 sind in der Literatur keine Studien zur Kreuzbissbehandlung durch Konstriktion im Unterkiefer verfügbar. Die Behandlungsmöglichkeiten des seitlichen Kreuzbisses umfassen also traditionell in der Regel verschiedene Arten der Expansion im Oberkiefer.3 Diese kann im frühen Wechselgebiss recht einfach auch mit herausnehmbaren Apparaturen durchgeführt werden.8 Die Interdigitation der medianen Gaumennaht nimmt jedoch mit dem Alter zu9 und bei skelettal reiferen Patienten können daher Probleme bei einer nicht-chirurgischen Gaumennahterweiterung auftreten, welche dann häufig als kontraindiziert angesehen wird.10 Es wurden viele Versuche unternommen, entweder eine Einteilung in kalendarische Altersgruppen vorzunehmen,10 oder die Reife oder Dichte der Sutura palatina mediana11–13 zu beurteilen, um die Entscheidung zwischen konservativer oder chirurgisch unterstützter Gaumennahterweiterung zu erleichtern.
Die Evidenz ist jedoch gering. Es bleibt eine subjektive therapeutische Entscheidung, bei Erwachsenen mit posteriorem Kreuzbiss eine chirurgisch unterstützte Gaumennahterweiterung (surgically assisted rapid palatal expansion [SARPE]) zu wählen.13 Dies liegt daran, dass die mediane Gaumennaht, wie häufig fälschlicherweise angenommen, nicht den einzigen Widerstand gegen eine konservative Gaumennahterweiterung darstellt, sondern auch die Mittelgesichtssuturen berücksichtigt werden müssen14.
Damit verbleiben SARPE, Mini-Implantat-gestützte Gaumennahterweiterung (MARPE), Segmentosteotomien und eine dentoalveoläre Kompensation als mögliche Behandlungsoptionen bei skelettal reiferen Patienten.
Bis heute gibt es weder einen Konsens über die chirurgische Technik noch über das Ausmaß der transversalen Verbreiterung bei der SARPE10,15 oder über die hierbei verwendete Expansionsapparatur.16,17 Komplikationen, wie z. B. eine asymmetrische Expansion in 5 Prozent der Fälle, bleiben ein Problem.18 Es wurde außerdem festgestellt, dass die dentalen Effekte einer chirurgisch unterstützten Gaumennahterweiterung in etwa doppelt so groß sind wie die skelettalen Effekte, weshalb die SARPE primär als ein Verfahren zur Expansion im Molarenbereich und nicht als eine reine körperliche Erweiterung des Oberkiefers bezeichnet wurde.19
Zu den weniger invasiven Therapiealternativen zählt die Miniimplantat-gestützte Gaumennahterweiterung (MARPE). Es gibt Hinweise darauf, dass mit MARPE bei jungen Erwachsenen eine parallele Expansion im Oberkiefer erreicht werden kann.20,21 Eine kürzlich durchgeführte systematische Übersichtsarbeit zeigte relativ hohe Erfolgsquoten sowie skelettale und dentale Effekte, die mit einer SARPE vergleichbar waren, jedoch muss die Evidenz als sehr begrenzt angesehen werden.22
Eine Segmentosteotomie oder “two-piece maxilla“ bietet den Vorteil, dass eine Operation eingespart werden kann. Sie ist jedoch nur bei geringeren transversalen Diskrepanzen indiziert23 und es bestehen Probleme mit der Stabilität,24 wobei bis zu 60 Prozent der erreichten Expansion wieder rezidiviert.25
Da die SARPE häufig nur den ersten Eingriff im Rahmen eines interdisziplinären kombiniert kieferorthopädischen-kieferchirurgischen Vorgehens darstellt, besteht oft der Wunsch nach nichtchirurgischen Therapiealternativen zur Korrektur einer transversalen Diskrepanz. Dies lenkt die Aufmerksamkeit auf eine transversale dentoalveoläre Kompensation als mögliche Therapieoption für Erwachsene mit seitlichem Kreuzbiss. Einige Autoren postulieren, dass transversale Diskrepanzen von bis zu fünf Millimetern rein dentoalveolär korrigiert werden können,26,27 was in klinischen Studien bestätigt wurde.28,29 Für eine Zahnbewegung in transversaler Richtung sind primär zwei Dinge erforderlich: Torquekontrolle, um zu verhindern, dass es zu einer unkontrollierten Kippung der Zähne kommt und eine ausreichend große Kraft. Beides kann durch die Verwendung einer vollständig individuellen lingualen Apparatur (VILA) erreicht werden, die das geplante Set-up zuverlässig umsetzen kann,30–32 eine gute Torquekontrolle aufweist33,34 und aufgrund des kürzeren Interbracket-Abstands35 sowie einer kürzeren Gesamtbogenlänge Vorteile für Expansion und Kompression bietet.
Ziel dieser Studie war es, das Ausmaß der Kreuzbisskorrektur einer nicht-chirurgischen transversalen dentoalveolären Kompensation (DC)mittels VILA mit einer chirurgisch unterstützten Gaumennahterweiterung bei Erwachsenen mit posteriorem Kreuzbiss zu vergleichen.
Material und Methoden
Zum Vergleich des Ausmaßes der Kreuzbisskorrektur wurden in der vorliegenden retrospektiven Kohortenstudie zwei Gruppen gebildet: Das chirurgische Kollektiv (SARPE Gruppe) wurde mit SARPE und bukkalen Straightwire-Apparaturen behandelt, das nichtchirurgische Kollektiv (DC-VILA Gruppe) wurde mit dentoalveolärer Kompensation unter Verwendung der WIN-Apparatur (DW-Lingual Systems) therapiert.
Inkludiert wurden erwachsene Patienten mit Kreuzbiss an mindestens zwei Zähnen im Seitenzahnbereich. Ausschlusskriterien waren Syndrome, Lippen-Kiefer-Gaumenspalten oder multiple Nichtanlagen. Zähne, die zum Lückenschluss oder zur Lückenöffnung in sagittaler Richtung bewegt wurden, wurden von der Messung ausgeschlossen.
Die SARPE Gruppe bestand aus Patienten, die im Zeitraum von 2018 bis 2021 in der Klinik für Mund-, Kiefer- und Gesichtschirurgie des Universitätsklinikums Münster operiert wurden. Die Messungen erfolgten an digitalen Modellen vor Behandlungsbeginn (T0; Abb. 1) und nach der Kreuzbisskorrektur (Abb. 2) bei Planung der konsekutiven Umstellungsosteotomie (T1; Abb. 3). Das chirurgische Vorgehen bei SARPE bestand aus einer subtotalen Le-Fort I-Osteotomie mit Durchtrennung der pterygomaxillären Verbindung (Abb. 2). Die anschließenden Umstellungsosteotomien wurden digital mit dem „University Münster model surgery system for orthognathic surgery“ geplant.36,37
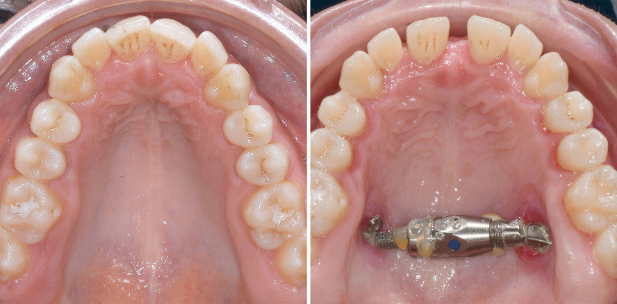
Die DC-VILA Gruppe bestand aus konsekutiv entbracketierten Patienten, die im Zeitraum von 2019 bis 2021 in einer kieferorthopädischen Fachpraxis (Bad Essen, Deutschland) behandelt wurden. Die transversale Dimension wurde an digitalen Modellen vor der Behandlung (T0; Abb. 4a–c) und nach dem Debonding (T1; Abb. 4d–f) gemessen. Alle Patienten dieser Gruppe wurden mit individuellen Bögen behandelt,38 die von einem Biegeroboter hergestellt wurden. Um die erforderliche transversale Korrektur zu erreichen, wurde ein 0,016"x 0,024" SS-Bogen mit Expansion von 1, 2 oder 3 cm im Oberkiefer und Kompression von 1 oder 2 cm im Unterkiefer eingesetzt (Abb. 5). Die entsprechenden Biegungen wurden im Interbracketabstand von 3-3 hinzugefügt.
Stereolithografie-Dateien (STL) der Modelle zum Zeitpunkt T0 und T1 wurden in die Software Meshmixer (Autodesk) importiert, mit der alle Messungen durchgeführt wurden. Nach sorgfältiger Ausrichtung der Modelle (Abb. 6) erfolgte die Überlagerung der Modelle zum Zeitpunkt T0 und T1 (Abb. 7). Um rein in der Transversalebene zu messen, wurde eine Ebene, die parallel zur Sagittalebene verlief, konstruiert und zwischen korrespondierenden Messpunkten entlang der x-Achse verschoben (Abb. 8). Die folgenden Messpunkte wurden für die transversalen Messungen verwendet:
Die Höckerspitze der oberen und unteren Eckzähne (C), die Spitze des bukkalen Höckers der oberen und unteren zweiten Prämolaren (P2) und die Spitze des mesiobukkalen Höckers der oberen und unteren ersten und zweiten Molaren (M1, M2).
Aus diesen Messungen wurden für beide Gruppen jeweils die transversale Korrektur im Oberkiefer und Unterkiefer sowie die gesamte Kreuzbisskorrektur bestimmt. Zur Berechnung der Gesamtkorrektur des Kreuzbisses wurden die Werte für den Ober- und Unterkiefer addiert bzw. subtrahiert: Oberkieferexpansion + Unterkieferkompression bzw. Oberkieferexpansion – Unterkieferexpansion.
Um festzustellen, ob es Unterschiede in der transversalen Korrektur zwischen den Gruppen gab, wurden unabhängige t-Tests durchgeführt. Das Signifikanzniveau wurde auf α = 5 % festgelegt. Alle statistischen Berechnungen wurden mit der Software SPSS Statistics 27 for Mac (IBM Corp.) durchgeführt. Der Methodenfehler wurde mithilfe der Dahlberg-Formel39 bestimmt.
Ergebnisse
Die SARPE Gruppe bestand aus 43 Patienten (w/m 19/24; Durchschnittsalter 27,6 ± 9,5 Jahre); die DC-VILA Gruppe umfasste 38 Patienten (w/m 25/13; Durchschnittsalter 30,4 ± 12,9 Jahre). Nach der Dahlberg-Formel39 muss für diese Studie ein Messfehler von 0,36 mm angenommen werden.
Im Oberkiefer waren die Expansionswerte in der SARPE Gruppe größer als in der DC-VILA Gruppe (Tabelle 1). In der SARPE Gruppe war die mittlere Expansion an den ersten Molaren am größten (5,7 ± 2,6 mm). In der DC-VILA Gruppe war die mittlere Expansion an den zweiten Prämolaren am größten (4,1 ± 2,9 mm). Es bestand ein statistisch signifikanter Unterschied zwischen der SARPE und der DC-CCLA Gruppe an P2 (p < 0,05), M1 (p < 0,001) und M2 (p < 0,001), nicht jedoch an den Eckzähnen (p > 0,05).
Im Unterkiefer zeigte sich eine nach posterior zunehmende Kompression des Zahnbogens in der DC-VILA Gruppe (Tab. 1) mit den größten Werten an den zweiten Molaren (–3,5 ± 2,6 mm), wohingegen in der SARPE Gruppe an den zwei-ten Molaren eine Expansion von 0,9 ± 1,2 mm festgestellt werden konnte. Es bestand ein statistisch signifikanter Unterschied zwischen den Gruppen im Unterkiefer an M1 (p < 0,001) und M2 (p < 0,001), nicht jedoch an den Eckzähnen (p > 0,05) und an den zweiten Prämolaren (p > 0,05).

Die Gesamtkorrektur des Kreuzbisses war in beiden Gruppen an den ersten Molaren am größten (SARPE 5,8 ± 2,4 mm vs. DC-VILA 6,0 ± 2,8 mm); es gab keinen statistisch signifikanten Unterschied in der Gesamtkorrektur des Kreuzbisses zwischen den Gruppen an allen Messstellen (p > 0,05); auch die Maximalwerte der Gesamtkorrektur an P2 (9,1 vs. 9,3 mm), M1 (10,1 vs. 11, 2 mm) und M2 (9,7 vs. 9,4 mm) waren in beiden Gruppen vergleichbar (Tab. 2).

Diskussion
Das Ziel dieser Studie war es, das Ausmaß der Kreuzbisskorrektur zwischen einer chirurgischen und einer nichtchirurgischen Gruppe zu vergleichen. Anhand der Ergebnisse dieser Studie konnte kein wesentlicher Unterschied in der Gesamtkorrektur des Kreuzbisses festgestellt werden. Die chirurgische Gruppe zeigte eine größere Expansion im Oberkiefer, während in der nichtchirurgischen Gruppe ein signifikanter Anteil der transversalen Korrektur auf die Kompression des unteren Zahnbogens zurückzuführen war.
In der Literatur werden zahlreiche Behandlungsmöglichkeiten für den posterioren Kreuzbiss beschrieben, aber es gibt keine Studien zur therapeutischen Möglichkeit einer Kompression des unteren Zahnbogens. Eine kürzlich durchgeführte systematische Übersichtsarbeit ergab eine mittlere dentale Expansion an M1 von 7,0 mm unmittelbar nach SARPE.19 Eine mögliche Erklärung, dass die vorliegenden Werte mit 5,7 mm etwas kleiner waren, ist die Tatsache, dass die Messungen nicht direkt nach der chirurgischen Expansion durchgeführt wurden, sondern erst nach der Ausformung der Zahnbögen für die anschließende Umstellungsosteotomie. Dies steht im Einklang mit den Ergebnissen von Chamberland und Proffit,40 die zum Zeitpunkt des zweiten chirurgischen Eingriffs eine mittlere Expansion an M1 von 6,6 mm feststellten.
Die vorliegenden Ergebnisse bestätigen die These, dass transversale Diskrepanzen von fünf Millimetern rein dentoalveolär korrigiert werden können.26,27 Bei Betrachtung der maximal erreichbaren Gesamtkorrektur des Kreuzbisses fällt auf, dass in beiden Gruppen die Werte an P2 (9,1 vs. 9,3 mm), M1 (10,1 vs. 11, 2 mm) und M2 (9,7 vs. 9,4 mm) vergleichbar waren (Tab. 2). Dies scheint überraschend, ist jedoch der Tatsache geschuldet, dass der Kreuzbiss in der nichtchirurgischen Gruppe in beiden Kiefern korrigiert wurde und nicht nur im Oberkiefer, wie in der SARPE Gruppe. Ein klinisches Beispiel einer transversalen dentoalveolären Kompensation ist in Abbildung 4 zusammengefasst.
Einige Messwerte lagen innerhalb des Messfehlers, wobei die Messung der Transversalen mit manuell gesetzten Messpunkten an digitalen Modellen grundsätzlich als genau und zuverlässig angesehen werden kann.41,42
Die vorliegende Studie weist jedoch mehrere Limitationen auf, die bei der Interpretation der Ergebnisse berücksichtigt werden müssen. Die Untersuchung konzentrierte sich ausschließlich auf das Ausmaß einer chirurgischen und dentoalveolären Kreuzbisskorrektur. Aufgrund des retrospektiven Designs der Studie wurden die chirurgischen Patienten von verschiedenen überweisenden Kieferorthopäden behandelt. Es ist daher davon auszugehen, dass unterschiedliche Bogenformen und -dimensionen verwendet wurden, die einen Einfluss auf das Ergebnis der transversalen Korrektur haben können. Außerdem wurde die Entscheidung, ob zahn- oder knochengetragene Apparaturen verwendet werden, von den Behandlern individuell getroffen, was zur Heterogenität der SARPE Gruppe beiträgt. Ein weiterer Einfluss ist die selektive Positionierung der knochengetragenen Distraktoren durch die Chirurgen,43 welche einen Einfluss auf das Expansionsmuster haben kann. Auch die Trennung der pterygomaxillären Verbindung,44,45 die in der Klinik für Mund-, Kiefer- und Gesichtschirurgie am Universitätsklinikum Münster Standard ist, erschwert den Vergleich der Ergebnisse mit anderen Studien, in denen diese Trennung nicht vorgenommen16 oder eine vollständige Le-Fort I-Osteotomie mit Segmentierung des Oberkiefers verwendet wurde, der somit ein anderes Expansionsmuster zugrunde liegen kann.46 Diese Trennung scheint jedoch wichtig zu sein, um Komplikationen an der Schädelbasis zu vermeiden.47
In der nichtchirurgischen Gruppe wurden individuelle Bögen38 verwendet, die mithilfe eines Biegeroboters hergestellt wurden, um eine zusätzliche Expansion von 1, 2 oder 3 cm im Oberkiefer oder eine Kompression von 1 oder 2 cm im Unterkiefer zu erreichen. Diese Bögen kamen zum Einsatz, um die geplante transversale Veränderung des Set-ups vollständig umzusetzen, da gezeigt wurde, dass CAD/CAM-Lingualapparaturen die geplante Expansion am zweiten Molaren ohne diese Expansionsbögen nicht vollständig erreichen konnten.32 Das Ausmaß der zusätzlichen Expansion bzw. Kompression wurde individuell festgelegt, was als weitere Einschränkung dieser Untersuchung angesehen werden muss.
Das Design dieser Studie lässt keine Rückschlüsse auf die Stabilität einer nichtchirurgischen Kreuzbisskorrektur zu. Eine Kompression der Bogenform im Unterkiefer ist wenig verbreitet und bisher nicht wissenschaftlich untersucht, entspräche jedoch aber tatsächlich eher der natürlichen Tendenz des unteren Zahnbogens, sich unretiniert im Laufe des Lebens/Agings ohnehin transversal weiter zu verkleinern.7,48 In der Vergangenheit wurde bereits die Hypothese aufgestellt, dass bei einem zu breiten unteren Zahnbogen die Korrektur einer transversalen Diskrepanz durch alleinige Expansion im Oberkiefer ein hohes Risiko des Misserfolgs birgt und die Behandlung daher beide Zahnbögen umfassen sollte.49,50 Es muss betont werden, dass nicht jeder Kreuzbiss seine einzige Ursache in einem zu schmalen Oberkiefer hat, sondern in einem zu breiten Unterkiefer bzw. einer Kombination. In diesen Fällen scheint eine Manipulation des unteren Zahnbogens vertretbar, solange die biologischen Grenzen eingehalten werden. Die Stabilität einer dentoalveolären transversalen Kompensation muss in weiteren Studien untersucht werden.
Darüber hinaus ist zu berücksichtigen, dass auch eine chirurgische Gaumennahterweiterung mit zahlreichen Komplikationen assoziiert sein kann. Hierbei müssen unter anderem Blutungen, eine asymmetrische Expansion, parodontale Probleme oder postoperative Schmerzen genannt werden. In einer aktuellen systematischen Übersichtsarbeit wurde die Inzidenz von Komplikationen nach SARPE mit 22 Prozent angegeben18 und diese Werte scheinen zwischen den einzelnen Studien erheblich zu variieren.52 Außerdem kommt es bei der SARPE auch zu einem Kippen der Oberkieferhälften53,54 und einer dentalen Molarenexpansion und nicht nur zu einer reinen körperlichen Expansion des Oberkiefers.19 Obwohl die Patientenzufriedenheit mit SARPE hoch zu sein scheint55 und sie als eine seit vielen Jahren etablierte Behandlungsmethode angesehen wird, kann es medizinisch sinnvoll sein, in Grenzfällen eine dentoalveoläre Kompensation in Betracht zu ziehen.
Trotz aller genannten Limitationen ist festzuhalten, dass durch dentoalveoläre Kompensation mittels vollständig individueller lingualer Apparaturen eine vergleichbare Gesamtkorrektur des Kreuzbisses erzielt werden konnte wie mit SARPE. Prospektive Studien sind notwendig, um offene Fragen zur Langzeitstabilität und zu möglichen Nebenwirkungen beider Behandlungsprotokolle zu klären.56
Aufgrund der vielfach in der Literatur beschriebenen Aging-Prozesse mit Veränderungen in der Zahnbogenform7,51 scheint ein Konzept der lebenslangen Retention sowohl bei SARPE als auch bei DC-VILA gleichermaßen unumgänglich.
Schlussfolgerung
Mit chirurgisch unterstützter Gaumennahterweiterung oder transversaler dentoalveolärer Kompensation kann eine vergleichbare Gesamtkorrektur des Kreuzbisses erreicht werden. Die Kreuzbisskorrektur wird jedoch auf unterschiedlichem Weg erreicht. Die transversale dentoalveoläre Kompensation mit lingualen Apparaturen ist ein klinisch effektives Verfahren zur Kreuzbisskorrektur, wenn eine Konstriktion des unteren Zahnbogens vertretbar erscheint.
Ein Beitrag von Dr. med. dent. Jonas Quirin Schmid, Dr. med. dent. Elena Gerberding, Univ.-Prof. Dr. med. dent. Ariane Hohoff, M.Sc. L. O., Univ.-Prof. Dr. med. Dr. med. dent. Johannes Kleinheinz, Prof. Dr. med. dent. Thomas Stamm und Dr. med. dent. Claudius Middelberg.
Originalpublikation: Schmid JQ, Gerberding E, Hohoff A, Kleinheinz J, Stamm T, Middelberg C. Non-Surgical Transversal Dentoalveolar Compensation with Completely Customized Lingual Appliances versus Surgically Assisted Rapid Palatal Expansion in Adults – The Amount of Posterior Crossbite Correction. J Pers Med. 2022;12(11):1893.
Eine Literaturliste steht Ihnen hier zum Downlod zur Verfügung.
Dieser Beitrag ist unter dem Originaltitel „Chirurgische Gaumennahterweiterung oder dentoalveoläre Kompensation? “ in der KN Kieferorthopädie Nachrichten erschienen.