Kieferorthopädie 04.03.2013

Weniger Nebeneffekte durch Minipins?



Weniger Nebeneffekte durch Minipins?

Inwieweit kann durch Einsatz kieferorthopädischer Minischrauben die Proklination unterer Schneidezähne während der Herbst-Behandlung vermieden werden? Dieser Frage stellen sich Dr. Björn Ludwig, Dr. Julia von Bremen, Dr. Jan Hourfar und Prof. Dr. Sabine Ruf in folgendem Beitrag.


Einleitung

Die Herbst-Apparatur1 – vom deutschen Zahnarzt Emil Herbst (1872–1940) im Jahre 1909 anlässlich des 5. Internationalen Zahnärzte-Kongresses in Berlin erstmals vorgestellt – ist ein wissenschaftlich gut untersuchtes Therapiemittel zur Behandlung der skelettalen Klasse II.2 Dabei sah es zunächst nicht danach aus, dass die Herbst-Apparatur eine Rolle im klinischen Alltag des Kieferorthopäden spielen würde, geriet sie doch nach 1934 mehr oder weniger in Vergessenheit, bevor es zu einer Renaissance dieser Behandlungsmethode kam.3,4 In den späten 1970er-Jahren von Hans Pancherz5 wieder eingeführt und in der Folgezeit durch sein Wirken weiterentwickelt, ist diese heute fester Bestandteil der modernen Kieferorthopädie in der Non-Compliance-Behandlung der Distalbisslage. Die „klassische“ Herbst-Appa­ratur wurde ursprünglich durch Bänder an den Zähnen beider Kie­fer befestigt – ab 1995 wurde routinemäßig eine Modifikation eingesetzt, bei der die Befestigung der Apparatur über aus einer Chrom-Kobalt-Legierung ge­gossene Splints erfolgt.3 Heute existiert eine Vielzahl kommerziell erhältlicher Derivate.6

Nebenwirkung der Herbst-Apparatur und aller ihrer Derivate: Proklination der Unterkiefer-Schneidezähne

Allen Apparaturen gemein ist jedoch, ungeachtet aller konstruktiven Charakteristika bzw. ihrer Verankerungsformen, die – neben Mesialmigration/Tipping sowie Intrusion der mandibulären Inzisivi – in unterschiedlichem Ausmaß eintretende Proklination/Protrusion der Unterkiefer-Schneidezähne als unerwünschte Nebenwirkung.7–9 Der Grund ist, dass auch bei der Vorverlagerung des Unterkiefers das Newton’sche Prinzip „Actio = Reactio“ wie in allen Bereichen der Kieferorthopädie seine Gültigkeit behält. Ei­ne bereits vor Therapie bestehen­de Proklination der Unterkieferfront kann als eine Einschränkung der Indikation des Einsatzes derartiger Behelfe zur Unterkiefer-Vorverlagerung erachtet werden, da im Laufe der Therapie eher mit einer weiteren Progredienz zu rechnen ist.10

Welche Auswirkungen hat die Proklination?

Eine Proklination der mandibulären Inzisivi interferiert in ers­ter Linie mit dem therapeutischen Ziel, die Retroposition des Unterkiefers zu korrigieren. Ein weiterer wichtiger Aspekt ist die eingeschränkte Ästhetik exzessiv proklinierter Frontzähne. Die Frage, inwieweit eine therapeutisch induzierte Proklination der mandibulären Schneidezähne zu gingivaler Rezession führt und ob diese überhaupt kieferorthopädische Ursachen hat, wird in der Literatur teilweise sehr un­ter­schiedlich bewertet.11–15 Als Faktoren, die einen Einfluss zur Ausbildung gingivaler Rezessionen haben könnten, werden zum Beispiel der gingivale Biotyp, eine schmale Symphyse, schlechte Mundhygiene oder auch eine inadäquate traumatische Zahnputztechnik genannt.16,17 In einer systematischen Übersichtsarbeit kamen Joss-Vasalli und Mitarbeiter12 zu dem Ergebnis, dass das Ausmaß der gingivalen Rezessionen in Studien mit statistisch signifikanten Un­ter­schieden zwischen proklinierten und nicht proklinierten Schneide­zähnen gering und die da­raus resultierende klinische Konsequenz fraglich sei. Die Autoren bemerkten, dass die in ihrer Arbeit inkludierten Studien einen niedrigen Evidenzgrad aufwiesen und mahnten daher zur Vorsicht bei der Bewertung der Ergebnisse.

Strategien zur Vermeidung der unerwünschten Proklination

Es existieren verschiedene Strategien, diesem unvermeidlichen Nebeneffekt entgegenzuwirken. Dies kann über lingualen Kronentorque erfolgen, der entweder über den negativen (lingualen) Torque der Schneidezahnbrackets18–21 oder alternativ über den eingegliederten (starken) Stahlbogen appliziert werden kann19, der distal (i.d.R. des ersten Molaren) mit einem Cinch-Back versehen wird. Als weitere Option ist der Lingualbogen zu nennen, der Bänder, gegossene Splints oder alternativ Stahlkronen der ipsi- und kontralateralen Seite verbindet.19,22,23 Eine weitere Strategie, der unerwünschten Proklination der mandibulären Schneidezähne zu begegnen, ist eine distalere Einleitung der Kraft. Dies wurde zum Beispiel beim Functional Man­dibular Advancer (Fa. FORESTADENT, Pforzheim) realisiert. Der Functional Mandibular Advancer (FMA) besteht aus Vorschubstegen und bilateralen Gleitebenen, die an gegossenen Schienen oder konfektionierten Prämolaren- und Molarenbändern angebracht werden.24,25

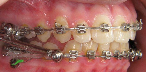
Minipins zur skelettalen Verankerung der Herbst-Apparatur?

Eine weitere Strategie ist der Einsatz von Minipins zur zusätzli­chen skelettalen Verankerung der Herbst-Apparatur, die als rigide (Drahtligatur) oder eher elastisch („aktives Laceback“ = Drahtli­gatur mit Elasticring) ausgeführt sein kann. Hierzu existieren jedoch nur Beschreibungen einzelner Fälle. Eine Proklination der mandibulären Inzisivi war aber auch trotz skelettaler Verankerung nicht gänzlich zu vermeiden.26 Fällt die Entscheidung zugunsten einer Minipin-Insertion, sollte eine relativ sichere Re­gion mit hoher Erfolgs- und Über­lebensrate Verwendung finden. Poggio und Mitarbeiter demons­trierten in einer DVT-Studie27, dass zwischen dem zweiten Prämolaren und erstem Molaren im Unterkiefer ein sehr großes Knochenangebot zur Insertion einer Schraube zur Verfügung steht. Die Schraube sollte innerhalb der befestigten Gingiva platziert werden, um unerwünschte und für den Patienten belastende Weichteilirritationen zu vermeiden.28 In einer weiteren kombinierten DVT- und klinischen Studie wurde der Insertionsort zwischen dem zweiten Prämolaren und ersten Molaren im Unterkiefer hinsichtlich der Weich­ge­webs­struktur untersucht. Die Autoren kamen zu dem Ergebnis, dass das in dieser Region lokalisierte Weichgewebe für ei­ne Pin-Insertion am besten geeignet war.29 Um iatrogene Wurzelverletzungen zu vermeiden sowie eine hohe Primärstabilität zu erreichen30, wur­de empfohlen, die Schrauben in kaudaler beziehungsweise apikaler Richtung anguliert zu in­serieren.31 Es kamen OrthoEasy® Schrauben (Länge 8mm, Firma FORESTADENT), selbstbohrend mit Gewinde zum Einsatz.

Auch wenn die Literatur gute Erfolgsraten im Unterkiefer im gewählten Insertionsbereich mit indirekter Verankerung nennt32, sollte der Erfolg einer maximalen Verankerungen klinisch nahe 100% sein, und das gewährleisten interradikuläre Minischrauben noch nicht. Es gibt unzählige Artikel, die Faktoren beschreiben, die zum Erfolg beitragen33, doch scheint die Insertionsregion der Hauptfaktor zu sein und Faktoren wie zusätzliche Wurzelberührung und dadurch vorzeitiger Schraubenverlust unbedingt von der Insertionsregion abhängig.34 Leider können interradikulär nicht die Erfolgsra­ten, wie zum Beispiel am Gaumen, erreicht werden35, was eine Verankerung der Herbst-Apparatur über die Insertion von Minipins als therapeutisches Standardprotokoll für die Praxis als nicht empfehlenswert erscheinen lässt.

Ausblick – Kinnplatten als Verankerung

Ein weiterer Ansatz ist die „knochengetragene“ (bone borne) Herbst-Apparatur36, die über verschraubte Kinnplatten verankert wird. Dem Vorteil einer stabilen Verankerung steht hierbei jedoch der Nachteil einer – im Vergleich zur Minipin-Insertion – größeren Invasivität (chirurgischer Eingriff) gegenüber.

Fazit

Die Proklination der mandibu­lären Inzisivi bei der Herbst-Behandlung und aller ihrer Derivate ist unvermeidlich. Dieses Problem konnte bisher nicht gelöst werden. Ein möglicherwei­-se zukunftsweisendes Behandlungskonzept könnte eine – über Kinnplatten veran­ker­te – „knochen­ge­trage­ne“ Herbst-Apparatur sein.

Hier gehts zur Literaturliste.

Mehr Fachartikel aus Kieferorthopädie

ePaper