Molaren-Inzisiven-Hypomineralisation (MIH) ist neben Karies eine häufige Erkrankung der Zähne von Kindern und Jugendlichen. Sollten alle konservierenden Behandlungsmöglichkeiten ausgeschöpft sein und die Indikation zur Extraktion gestellt werden, kann eine zweistufige Extraktion mit Hemisektion und folgendem kieferorthopädischen Lückenschluss in Betracht gezogen werden.
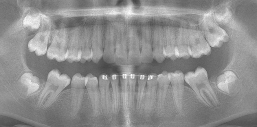
Engstände im Ober- und Unterkiefer stellen eine häufige Anomalie bei Patienten mit neutralem Wachstumsmuster dar. Da der Unterkiefer nur limitierte...
Engstände im Ober- und Unterkiefer stellen eine häufige Anomalie bei Patienten mit neutralem...
Heranwachsende Patienten mit einer Klasse III-Dysgnathie und einer Rücklage des Oberkiefers werden je nach Alter und Indikation mit einer Gesichtsmaske...
Heranwachsende Patienten mit einer Klasse III-Dysgnathie und einer Rücklage des Oberkiefers...
Fehlentwicklungen des Kiefers und Zahnfehlstellungen bei Kleinkindern stehen im Fokus der jungen KFO. Zahnärzte, die sich darauf spezialisieren,...
Fehlentwicklungen des Kiefers und Zahnfehlstellungen bei Kleinkindern stehen im Fokus der jungen...
In der Kieferorthopädie werden derzeit von verschiedenen Autoren folgende strukturelle Abweichungen von der Norm als Risikofaktoren zur Begünstigung...
In der Kieferorthopädie werden derzeit von verschiedenen Autoren folgende strukturelle Abweichungen...
Die Distalisation der ersten maxillären Molaren ist eine alltägliche Behandlungsform von Klasse II/1-Fällen. Wie beeinflußt sie jedoch die...
Die Distalisation der ersten maxillären Molaren ist eine alltägliche Behandlungsform von...
Dr. Elias G. Katsavrias im Interview über die Distalisation der ersten maxillären Molaren, den richtigen Zeitpunkt und ihren Einfluss auf die...
Dr. Elias G. Katsavrias im Interview über die Distalisation der ersten maxillären Molaren,...
Wie bei ungewöhnlichen Wachstumsmustern dennoch geeignete Lösungen gefunden werden können, erläutert Prof. Dr. Peter Ngan im Interview.
Wie bei ungewöhnlichen Wachstumsmustern dennoch geeignete Lösungen gefunden werden können,...
Da Sie der Verwendung von Google Maps nicht zustimmten, kann leider keine Karte angezeigt werden.
Haben Sie schon unseren Newsletter abonniert?
Um bei unserer Anwendung Formulare zu verwenden, benötigen wir die Zustimmung um einen Token für das Absenden zu setzen.
Datenschutz und Nutzungserlebnis
Wir übermitteln Daten an Drittanbieter, die uns helfen, unser Webangebot zu verbessern und zu finanzieren. In diesem Zusammenhang werden auch Nutzungsprofile gebildet und angereichert, auch außerhalb des Europäischen Wirtschaftsraumes. Hierfür und um bestimmte Dienste zu nachfolgend aufgeführten Zwecken verwenden zu dürfen, benötigen wir Ihre Einwilligung.
Indem Sie "Alle Cookies akzeptieren" klicken, stimmen Sie diesen (jederzeit widerruflich) zu.
Unter "Manuell auswählen" können Sie die Datenverarbeitung individuell personalisieren.
Unter "Nur notwendige akzeptieren" können Sie die Datenverarbeitung ablehnen.
Indem Sie "Speichern" klicken, stimmen Sie diesen (jederzeit widerruflich) zu.
Um Kartendaten in unserer Anwendung darzustellen, nutzen wir den Kartendienst Google Maps. Willigen Sie der Nutzung von Google Maps ein, werden ggf. personenbezogene Daten (Ihre IP-Adresse) von Google erhoben.
Einbinden von Google Maps erlauben
Einige unserer Videoinhalte (bspw. Livestream) werden über die Videoplattform Vimeo bereitgestellt.
Inhalte von Vimeo erlauben
Einige Beiträge binden Inhalte von Instagram ein. Wenn Sie zustimmen, wird eine Verbindung zu Meta/Instagram aufgebaut und es können personenbezogene Daten wie Ihre IP-Adresse übertragen werden.
Inhalte von Instagram erlauben
Für ein besseres Benutzererlebnis können unsere Werbeanzeigen personalisiert werden. Um dies zu ermöglichen, wird das erstellen von Cookies vorausgesetzt. Sollten Sie diesem Dienst nicht zustimmen, werden Werbeanzeigen zufällig ausgeliefert.
Personalisierte Werbung erlauben
Um sich bei unserer Anwendung Formulare zu verwenden werden Tokens gesetzt die es uns ermöglichen Spam zu verhindern. Sollten Sie dies ausstellen, ist es Ihnen nicht mehr möglich sich bei uns anzumelden oder zu registrieren.
Anmeldeformulare absenden ermöglichen
Bei der Gestaltung unserer Anwendung benutzen wir Schriftarten von Adobe, diese werden über ein CDN geladen. Sollte Sie diesem Dienst nicht zustimmen wird die Standard Schrift des Systems benutzt. Außerdem könnte es zu Fehlern im allgemeinen Anwendungsdesign kommen.
Inhalte von Adobe erlauben
Sie können Ihre Auswahl jederzeit unter "Cookie-Einstellungen“ am Seitenende ändern.