Oralchirurgie 11.02.2016

Intraorales Schweißen einer Gerüstkonstruktion



Intraorales Schweißen einer Gerüstkonstruktion

Foto: © Autor

Der vorliegende Artikel beschreibt die stabile Verblockung von Implantaten mithilfe eines intraoralen Schweißverfahrens, welches auf Basis eines verschweißten Titangerüsts die Herstellung einer indikationsspezifischen Sofortversorgung ermöglicht. Das hier ­angewendete Konzept bildet dabei eine patientenfreundliche Therapiealternative, die vor allem ein älter werdendes Patientenklientel und dessen prothetische Versorgungen betreffen wird. 

 Etliche Patienten mit nicht erhaltungsfähigem Restzahnbestand stehen einer Implantattherapie anfänglich zurückhaltend gegenüber. Zum einen verbinden sie damit ein längeres Tragen von herausnehmbarem Zahnersatz oder gar einen längeren Zeitraum der Zahnlosigkeit. Erläutert man ihnen im Patientengespräch jedoch die Möglichkeiten und Vorzüge einer festsitzenden Sofortversorgung, wandelt sich ihre anfäng­liche Zurückhaltung oftmals in Zustimmung. Ein weiteres Thema, bevor ein ­Patient in eine implantatprothetische Rehabilitation einwilligt, ist die Kostenseite. Da beim hier vorgestellten intra­oralen Schweißverfahren (WeldOne-Konzept, DENTSPLY) keine guss- oder frästechnischen Zwischenschritte für ein Gerüst anfallen und die Restauration als metallverstärkte Brücke oder Prothese mit Prothesenzähnen angefertigt wird, können auch die zahntechnischen Kosten überzeugen und in eine erhöhte Patientenakzeptanz münden. Das gilt insbesondere dann, wenn weitere präfabrizierte Komponenten verwendet werden. Das Konzept des intraoralen Schweißens eines Titangerüsts lässt sich anhand einer funktionellen Sofortversorgung im zahnlosen Unterkiefer mit einer festsitzenden und dennoch jederzeit herausnehmbaren Deckprothese auf verschiedenen Komponenten (z.B. ANKYLOS SynCone, DENTSPLY) gut erläutern. Hierbei fungieren die Aufbauten (Abutments) als Primär- und die Schweißkappen für SynCone 5 Grad als Sekundärteile.

Sofort belastbare ­Konusprothese

Divergierende Implantatachsen können die Herstellung von Suprakonstruktionen nicht nur unter ästhetischen Aspekten erheblich erschweren. Wegen reduzierten Knochenangebots distal anguliert eingebrachte Implantate wiederum erfordern spezielle Aufbauten (z. B. SmartFix-Konzept, DENTSPLY). Im hier vorgestellten Konzept stehen für solche Anforderungen spezielle Komponenten zur Verfügung. Mit den abgewinkelten und um 360 Grad drehbaren Aufbauten (Torkelkonus- Prinzip) können Angulationen und Disparallelitäten ausgeglichen werden.1 Für eine funktionelle Sofortbelastung müssen die Implantate primär- oder sekundärstabil verblockt sein. Eine festsitzende Konusprothese, die dennoch herausnehmbar ist, erfüllt die Voraussetzung einer ­Sekundärverblockung.2,3 Die mit dem ­geschweißten Titangerüst armierte Konusprothese aus Prothesenkunststoff ist hoch stabil und kann daher auch als finale Restauration verwendet werden. Die für dieses Vorgehen benötigten konischen Retentionselemente werden industriell präzise mit spielfreier Passung präfabriziert. Definierte Abzugskräfte und eine dreidimensionale Immobilisierung, wodurch das Risiko einer Prothesenkinematik ausgeschlossen wird, sind Vorteile einer solchen Fertigungsmethode. Zudem zeigen die Komponenten nahezu keinen Verschleiß, wodurch in der Regel keine aufwendigen Erneuerungen des Friktionsmechanismus anfallen. Hinzu kommt die gute Zugänglichkeit für Hygienemaßnahmen.4 Zu berücksichtigen ist jedoch, dass für dieses Verfahren besondere Implantate (ANKYLOS, DENTSPLY) verwendet werden müssen, da die Schweißkappen für SynCone 5 Grad ausschließlich für diesen Implantattyp zugelassen sind.

Das chirurgische Vorgehen

Um den Operationssitus beurteilen zu können, wird der Kieferkamm nach ­Inzision freigelegt. Extraktionsalveolen stellen per se keine Kontraindikation dar, wobei jedoch verbliebenes Granulationsgewebe vollständig entfernt werden muss. Wenn es sich vermeiden lässt, sollte die Insertion der Implantate jedoch möglichst nicht in vorhandene Extraktions­alveolen erfolgen. Bei Verwendung der ­abgewinkelten Aufbauten ist darauf zu achten, dass diese zueinander nicht parallelwandig, sondern mit mindestens einem 1-Grad-Konus über alle Flächen ausgerichtet werden, da sonst die Konusretention durch die Parallelwandigkeit der verschiedenen Pfosten beeinträchtigt werden könnte. Länge, Durchtrittshöhe und Angulation der Aufbauten werden entsprechend der klinisch-prothetischen Situation am Patienten ausgewählt. Da alle weiteren ­Arbeiten nunmehr auf Abutmentniveau stattfinden, kann sich die periimplantäre Weichgewebemanschette gemäß dem „One abutment at one time“-Prinzip ohne Irritationen durch auszutauschende Aufbaukomponenten ausbilden (Abb. 1–6).5

Das Konzept
Das hier angewendete Konzept basiert auf dem Prinzip der Widerstandspunktschweiß-Technologie. Für die zahnmedizinische Anwendung wurde das eigentlich seit Langem bekannte Verfahren von Dr. Marco Degidi und Gianluca Sighin­olfi aus Italien anwendungsgerecht weiterentwickelt.6 Dr. Degidi und seine Arbeitsgruppe erhielten für die Veröffentlichung ihrer Fünf-Jahres-Studie zu diesem Konzept auf dem 27. Kongress der DGI in Frankfurt am Main den Preis in der Kategorie „Beste Klinische Arbeit“.7 Das Konzept ist aktuell für die Implantatsysteme ANKYLOS und XiVE verfügbar.

Widerstandspunktschweißen
Auch bekannt als Punktschweißen, ist es ein bewährtes Verfahren, metallische Werkstoffe mittels elektrischem Strom miteinander dauerhaft stabil zu verbinden. Das gilt in besonderem Maß auch für den in der Zahnmedizin gebräuchlichen Werkstoff Reintitan. Er lässt sich ohne Vorkehrungen punktschweißen. Auf die Verwendung von Schutzgas kann – anders als beim Laserschweißen – aufgrund der Kürze des Stromstoßes und der verhältnismäßig geringen elektrischen und thermischen Leitfähigkeit von Titan verzichtet werden.

Workflow
Beim eigentlichen Schweißvorgang im Patientenmund oder im Labor werden die zu verschweißenden Titanteile – die aufbauspezifische Schweißkappe und der Titandraht – zwischen den Kupferelektroden der Schweißzange an einem Punkt mit einer definierten Schließkraft von 200 Zentinewton zusammengepresst. Hierzu werden die je nach Aufbau unterschiedlichen Schweißhülsen beziehungsweise -kappen auf die Aufbauten (Abutments) aufgesetzt und der – mit Spezialzangen passend vorge­bogene – Titandraht angelegt. Über die Elektroden wird der Strom in die Werkstücke eingeleitet, und das Titan schmilzt innerhalb von Sekundenbruchteilen (Millisekunden) durch Widerstandserwärmung an der Schweißstelle auf. Beim Abkühlen verschmelzen die ­Titanmoleküle zu einer extrem festen Molekularverbindung. Aufgrund der ­äußerst kurzen Stromzufuhr sowie der schlechten Wärmeleitfähigkeit von Titan besteht bei sachgerechtem Vorgehen zu keiner Zeit das Risiko einer schädigenden Erwärmung des umgebenden Hart- und Weichgewebes. Nach Abnahme des fertig verschweißten Titangerüsts kann die periimplantäre Mukosa speicheldicht vernäht werden. Da beim hier beschriebenen Konzept Titan mit Titan verschweißt wird, sind mit identischem Schmelzpunkt, gleich geringer elektrischer und thermischer Leitfähigkeit ideale Bedingungen für eine unlösbare Verbindung gegeben. Die Schweißnaht selbst ist in ihrer Korrosionsbeständigkeit dem Grundmaterial gleichwertig. Die entsprechenden Schweißparameter – Schweißstrom, Schweißzeit und Elektrodenkraft – sind in der Schweißeinheit bereits voreingestellt (Abb. 7–9).

Prothetische Prozedere
Vom Zahntechniker werden im Labor weitere Verstärkungs- und Retentionselemente aus Titan mit dem Titangerüst punktverschweißt. Entsprechend positioniert, bilden sie die Grundlage für einen individuell angepassten, provisorischen oder auch, wie im vorliegenden Fall, passgenauen definitiven Zahnersatz. Das fertiggestellte Titangerüst wird herkömmlich opakert und intraoral auf einen spannungsfreien Sitz kontrolliert (Abb. 10–12). Die anhand vorheriger Bissnahme und eines Silikonvorwalls mit Prothesenzähnen vorab angefertigte Unterkieferprothese wird für das Titangerüst passend basal ausgeschliffen. Die Hohlform wird mit Prothesenkunststoff aufgefüllt und intraoral unter Schlussbissstellung auf das festsitzende Titangerüst aufpolymerisiert. Dabei wird die basale Auflagefläche der Prothese direkt im Mund während der Polymerisation geformt. Hierbei ist darauf zu achten, dass zuvor die im Sortiment erhältlichen Polymerisationsmanschetten über die hier benutzten Aufbauten gestülpt ­werden. Damit wird ein Einfließen des Kunststoffs in unter sich gehende Stellen und den Sulkusbereich vermieden und der untere Rand der Matrize vom Polymerisat freigehalten. Eine zwischenzeitliche Abformung ist bei diesem Vorgehen nicht erforderlich (Abb. 12).

Fertigstellung
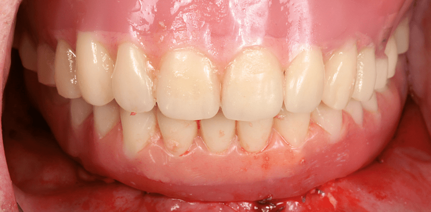
Sofort nach dem Aushärten des Polymerisats wird die Konusprothese ausgearbeitet. Irritationen der periimplantären Mukosamanschette lassen sich vermeiden, indem der Bereich zirkulär um die Schweißkappen sauber freigeschliffen wird. Nach Politur können die Prothese eingegliedert und die Implantate funktionell belastet werden. In der Regel kann der Patient bereits nach wenigen Stunden die Praxis mit einer funktionellen und grazilen, ästhetisch ansprechenden Restauration verlassen. Die Prothese sollte erst durch den Zahnarzt etwa eine Woche nach Implantation zur Entfernung der Nähte erstmalig abgenommen werden (Abb. 13–15).

Nachsorge
Der Patient wird detailliert in die spezifische Mund- und Prothesenhygiene sowie in die Handhabung seiner Prothese eingewiesen. Um einer funktionellen Überbelastung vorzubeugen, sollte der Patient die ersten vierzehn Tage nur weiche Kost zu sich nehmen. Danach kann die Ernährung wieder auf normale Kost umgestellt werden. Ist nach etwa drei Monaten die periimplantäre Mukosa vollständig abgeheilt, wird die Prothese unterfüttert und final ausgearbeitet (Abb. 16–19).

Der alternde Patient im Fokus der Versorgung

 Ein Blick auf die demografische Entwicklung zeigt, dass ein älter werdendes ­Patientenklientel und dessen zahnmedizinische und zahntechnische Versorgung künftig eine erhebliche Rolle im Wertschöpfungsprozess einer Praxis spielen werden. Im Schnitt fehlen den 65- bis 74-Jährigen derzeit 14 Zähne, und knapp ein Viertel der Senioren sind zahnlos. Fast zwei Drittel von ihnen tragen eine Teil- oder Totalprothese und ein weiteres Drittel eine Brücke.8 Obschon sich ihre Mundgesundheit verbessert hat und ihnen weniger Zähne fehlen als noch 1997, wird der Bedarf an prothetischen Versorgungen nicht geringer. Er verlagert sich lediglich in die höheren ­Altersgruppen. Bereits in 30 Jahren wird der Anteil der über 65-Jährigen von heute 20 Prozent auf über 35 Prozent angestiegen sein. Viele davon leben dann als sogenannte „junge Alte“ gesundheitsbewusst und möglichst bis ins hohe Alter agil. Zahnärzte und Zahntechniker werden sich daher in ihrem Arbeitsalltag verstärkt mit der Versorgung eines Klientels teilbezahnter und zahnloser Patienten beschäftigen müssen.

Diskussion

 Steigende Ansprüche der Patienten an funktionelle, ästhetisch ansprechende und dennoch kostengünstige Restaurationen gehen mit der demografischen Entwicklung einher. Das Team aus Zahnarzt und Zahntechniker braucht daher Behandlungsstrategien und -konzepte, mit denen sie diesen Wünschen ihrer ­Patienten nachkommen können und ­zufriedene Patienten generieren.

Patientenzufriedenheit
Werden die Wünsche des Patienten in Form patientenfreundlicher Sofortversorgungskonzepte zum Therapieziel gemacht und damit seine Erwartungen erfüllt, kann von einer hohen Zufriedenheit ausgegangen werden.9

Behandlungsdauer
Durch das oben beschriebene Konzept in Verbindung mit den hier angewendeten Komponenten lässt sich die Behandlungsdauer einer implantatprothetischen Versorgung verkürzen und sowohl Chairside als auch im Labor das technische Vorgehen vereinfachen. Mit dem geschweißten Titangerüst erfüllt eine Konusprothese alle technischen An­forderungen an eine langzeitstabile Versorgung.

Voraussagbares Ergebnis
Ein durch Prozessstandardisierungen solchermaßen reduzierter Aufwand führt in Summe zu niedrigeren Behandlungskosten und kürzeren Behandlungs­zeiten. Während das Konzept somit für Patienten mit vorgegebenem Kostenrahmen eine kostensparende implantatprothetische Lösung darstellt, führt es in der Praxis und im Labor zu erhöhter Rentabilität.

Einfache Handhabung
Ein weiterer Aspekt des vorgestellten Verfahrens ist die Herstellung einer Suprakonstruktion mit hoher prothetischer Zuverlässigkeit, die dem Patienten eine einfache Handhabung seines Zahnersatzes bei guter Hygienefähigkeit und unkomplizierter Nachsorge ermöglicht. Damit kann dieser Behandlungsansatz auch die Anforderungen eines geria­trischen Sofortbehandlungskonzepts erfüllen. Neben anderen Konzepten (z. B. SmartFix-Konzept, DENTSPLY) ist das hier eingesetzte Konzept damit eine weitere patientenfreundliche Therapiealternative.

Zusammenfassung

 Die funktionelle Sofortversorgung von Implantaten begünstigt die Zustimmung von Patienten zu einer Implantattherapie, erfordert aber eine stabile Verblockung der Implantate. Das intraoral anzuwendende Schweißverfahren ermöglicht auf Basis eines kostensparenden und passgenauen verschweißten Titangerüsts die Herstellung von indikationsspezifischen Sofortversorgungen: primär oder sekundär verblockt, verschraubt beziehungsweise zementiert oder als konuskronengetragene Deckprothese gearbeitet. Bereits wenige Stunden nach Implantation kann die Restauration eingesetzt werden. Das Verfahren eignet sich für die provisorische Sofortversorgung auf Implantat- und für die provisorische sowie definitive Sofortversorgung auf Abutmentebene.

Die Literaturliste kann hier heruntergeladen werden.

Produkte
Mehr Fachartikel aus Oralchirurgie

ePaper