Oralchirurgie 12.02.2019
Knochentumor in der rechten Unterkieferfront
share
Ein Patient hatte wiederholt starke Schmerzintervalle in der Unterkieferfront. Die klinische Kontrolle ergab eine druckdolente, prallelastische Raumforderung. Folgender Fachbeitrag beschreibt die Entfernung eines gutartigen Knochentumors im Bereich der rechten Unterkieferfront. Das Ausmaß war nur vollständig mithilfe einer intraoralen Sonografie darstellbar.
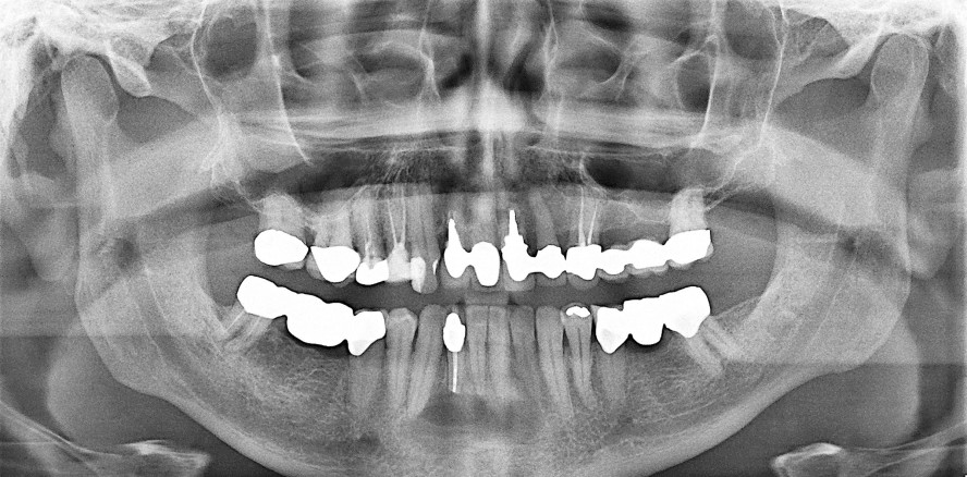
Ein 53-jähriger männlicher Patient stellte sich mit leichten Beschwerden im Bereich des Zahns 42 bei seinem Hauszahnarzt vor. Der Zahn war vor einiger Zeit mit einer Krone prothetisch versorgt worden. Es erfolgte eine klinische und radiologische Kontrolle des Befundes. Der Zahn 42 reagierte nicht auf einen Kälteimpuls und wurde deswegen in der zahnärztlichen Praxis wurzelgefüllt und primär reseziert. Abbildung 1 zeigt den radiologisch unauffälligen Befund eines OPGs vor der Resektion des Zahns 42.
Die erstmalige Vorstellung des Patienten in der Mund-, Kiefer- und Gesichtschirurgie erfolgte im April 2017. Der Patient hatte wiederholt starke Schmerzintervalle in der Unterkieferfront und wurde aus diesem Grund überwiesen. Die klinische Kontrolle ergab eine druckdolente, prallelastische Raumforderung im Bereich der rechten Unterkieferfront. Die Gingiva war vollständig intakt und rötlich unauffällig. Die Sensibilität im betroffenen Bereich war normal.
Bei der intraoralen sonografischen Befunderhebung stellte sich ein größerer knöcherner Defekt in Regio 42 bis 31 dar (Abb. 2). Mithilfe einer direkt auf das Zahnfleisch aufgesetzten Linearsonde mit einer Frequenz von 18 MHz kann man einen großen Defekt im Bereich der vestibulären Kortikalis und der Spongiosa des Unterkiefers erkennen. Der Knochen zeigt eine große Auflösung und die Schallwellen werden nur von der noch intakten lingualen Kortikalis komplett reflektiert. Sonografisch ist der Defekt im Durchmesser circa 1 cm groß.
Abbildung 3 stellt den Operationssitus nach Entfernung der Neubildung dar. Es zeigte sich, entsprechend dem sonografischen Bild, eine circa 1 cm große Veränderung im Knochen, die komplett exzidiert wurde. Gleichzeitig wurde der Zahn 42 nachresiziert.
Das postoperative OPG (Abb. 4) zeigt die ungefähren Ausmaße des knöchernen Defektes und die Nachresektion der Zahnwurzel 42. Die Zähne 31, 41 und 42 hatten eine deutliche Lockerungstendenz und wurden aus diesem Grund postoperativ geschient.
Das histologische Präparat (Abb. 5) zeigt unregelmäßige knöcherne Strukturen mit vermehrtem Osteoblastenbesatz inmitten einer kollagenfasrigen Läsion. Dort befinden sich zwischen den Fasern ein mäßig zellreiches Proliferat von Fibrozyten und Fibroblasten ohne Atypien. Der Befund ist vereinbar mit einer als benigne einzustufenden fibrösen Dysplasie.
Während der Abheilungsphase wurden regelmäßig neue sonografische Untersuchungen mit verschiedenen Ultraschallsonden durchgeführt. Alle Sonden wurden direkt auf das Zahnfleisch der betroffenen Region gehalten. Abbildung 6 entstand im November 2017 anhand einer Mikrokonvexsonde mit einer Frequenz von 11 MHz. Es ist deutlich eine unregelmäßig reflexreiche Struktur darstellbar. Es handelt sich um die knöcherne Regeneration mit nahezu vollständig nachgebildeter Kortikalis.
Eine weitere sonografische Verlaufskontrolle (Abb. 7) erfolgte im Februar 2018 mit einer Linearsonde mit 17 MHz. Die Kortikalis ist vollständig verschlossen und zeigt nur noch wenige Einziehungen und Einkerbungen.
Bei der Abschlussuntersuchung im April 2018 (Abb. 8) stellte sich eine nahezu vollständige Regeneration des Knochens in Regio 31 bis 42 dar. Die Kortikalis ist glatt und sonografisch einheitlich.
Nach einem Zeitintervall von circa sechs Monaten war die gesamte Unterkieferfront bis auf Regio 42 wieder fest. Der Patient hatte keinerlei Probleme bei der Nahrungsaufnahme und die Zähne 31 und 41 waren voll belastbar. Der Zahn 42 war weiterhin stark gelockert und wurde vorsichtig chirurgisch entfernt.
Die intraoperative Aufnahme (Abb. 9) zeigt eine komplette Verknöcherung des ehemaligen Operationsgebietes, wie es laut dem Ultraschallbild zu erwarten war. Nur im Bereich des Zahns 42 hat sich apikal und vestibulär der Knochen nicht vollständig nachgebildet. Deshalb musste der Zahn 42 entfernt werden. Die Knochenbildung war ohne zusätzliches Knochenersatzmaterial erfolgt.
Zusammenfassung
Das Ausmaß des gutartigen Knochentumors war nur vollständig mithilfe der intraoralen Sonografie darstellbar. Es konnte der Befund im Vorfeld der OP genau vermessen werden. Dies erleichterte in einem nicht zu unterschätzenden Maße die Planung und Durchführung der anschließenden Operation. Das OPG ist für die Beurteilung knöcherner Prozesse im Bereich der Unterkieferfront nur eingeschränkt zu verwenden, da die Projektion der Halswirbelkörper regelmäßig die exakte Beurteilung und Diagnosefindung erschwert.
Sicherlich sind auch andere radiologische Verfahren geeignet, solche Veränderungen zu erkennen. Allerdings sind CT- und MRT-Aufnahmen häufig nur mit einem enormen Aufwand zu bekommen und für die tägliche zahnärztliche Praxis eher nicht geeignet.
Mit einer einfachen intraoralen Ultraschallsonde wäre so ein knöcherner Defekt auch für den weniger erfahrenen Zahnarzt gut sichtbar gewesen.
Die Sonden sind inzwischen so klein, dass sie gut im Mundraum eingesetzt werden können. Gewisse Einschränkungen gibt es noch bei den hinteren Molaren im Ober- und Unterkiefer. Da der Frequenzbereich der Sonden in den letzten Jahren deutlich erhöht wurde, sind die Abbildungen immer besser geworden. Heute lassen sich sonografisch Strukturen im Mundraum abbilden, von denen man nicht gedacht hätte, dass dies jemals möglich wäre.
Weitere Autoren: Dr. med. Thomas Meier, Dr. med. dent. Philipp Wagner
Der Beitrag ist im Oralchirurgie Journal erschienen.
Foto: Autoren
Seethrough
Synea Power Edition
Sprayschlauchsysteme
NovaBone
BaLUPO 3 HD
CS 2100
CS 1500
CS 1200
Striate+™
Xylonor Spray N 15 %