Oralchirurgie 20.06.2017

Implantatgetragener Zahnersatz im kompromittierten Oberkiefer



Implantatgetragener Zahnersatz im kompromittierten Oberkiefer

Foto: Autoren

Der zahnlose Oberkiefer stellt bei der Therapie mit festem, implantatverankertem Zahnersatz eine besondere Herausforderung dar. Einerseits sind ästhetische Vorstellungen zu berücksichtigen und anderseits gilt es, durch anatomische Gegebenheiten mit zum Teil massiven Resorptionsvorgängen der Maxilla, Schwierigkeiten prothetisch und chirurgisch zu beherrschen. Gerade hier zeigt sich, dass zum Erfolg ein bestens aufeinander abgestimmtes Zusammenspiel von Chirurgie und Prothetik zugrunde liegen muss. Folgender Fachbeitrag diskutiert prothetische und chirurgische Vorgehensweisen für festsitzenden, implantatgetragenen Brückenzahnersatz anhand von zwei exemplarischen Behandlungsfällen.

Während im Unterkiefer die Atrophiereaktionen des Kieferknochens in den meisten Fällen erwartungsgemäß nach biologischen und biomechanischen Regeln eintreten, kann dies dem Oberkiefer nicht nachgesagt werden. Hier bieten aufgrund der fehlenden biologischen Belastungen und funktionellen Reize die Resorptionen relativ häufig Überraschungen und von Fall zu Fall gravierende Unterschiede. Dabei ist die prädiagnostische 3-D-Analyse äußerst hilfreich und nicht mehr aus dem Planungsprozedere wegzudenken. Auch die Forensik spielt in diesem Zusammenhang eine nicht unerhebliche Rolle. Meist stellt der Unterkiefer den weniger exponierten bzw. sichtbaren Kiefer der Patienten dar. Die Zähne des Oberkiefers werden gesehen, sind ästhetisch wichtig und entscheiden in großem Ausmaß über das Aussehen eines Menschen. Auch die Medien profitieren von einem perfekten Lächeln und zeigen täglich das Schönheitsideal. Vorstellungen der Patienten, die im zahnlosen Oberkiefer nicht immer in letzter Konsequenz erfüllt werden, können eine Behandlung enorm erschweren. Trotzdem sind diese Ideen und Wünsche der Patienten nachvollziehbar und im Besonderen für die Implantatbehandlung maßgebend.

Die erfreuliche, rasante Entwicklung in der Implantologie ermöglicht unter diesen Gesichtspunkten eine zufriedenstellende und erfolgreiche Lösung. Basis gelungener Funktion, Phonetik und Ästhetik ist die chirurgische Vorbehandlung und die eigentliche Implantation. Langzeitstabile und ansprechende Ergebnisse sind nur mit der korrekten Implantatposition zu erzielen. Das wiederum setzt gerade im Oberkiefer oftmals aufwendige Augmentationen voraus. Ein zweizeitiges chirurgisches Intervenieren kann in einigen Fällen nicht umgangen werden, bedeutet aber für den Patienten erhebliche Unannehmlichkeiten. Chirurgische Augmentationsmöglichkeiten stehen, neben dem evidenzbasierten Sinuslift, viele zur Verfügung. Auch modifizierte Mischformen diverser Techniken, die im folgenden Fall vorgestellt werden, sind hilfreich.

Entscheidend und zielführend ist dabei nicht eine Technik, sondern vielmehr eine Methode bzw. Kombinationen, die sich in den Händen der Behandler bewährt haben. Nach dem Motto: „Viele Wege führen nach Rom.“

Für eine hochwertige und ästhetisch besonders wertvolle rein implantatgetragene festsitzende Brückenversorgung sind, so die Aussagen der Literatur, mindestens sechs oder besser acht Implantate notwendig. Hierbei bildet die so oft zitierte Behandlungsform der Sofortversorgung keine Option, vielmehr ist ein traditionelles Einheilen im gedeckten Zustand belastungsfrei zu favorisieren.

Sind genügend Implantate im integrierten Zustand vorhanden und belastbar, ist der Behandler im nächsten Schritt mit der Prothetik im besonderen Ausmaß gefordert. Unter allen Umständen empfiehlt der Autor bei diesen Arbeiten den Einsatz eines Langzeitprovisoriums. Manipulationen und Veränderungen an dem Zahnersatz können einfacher vorgenommen werden, bis später der definitive Zahnersatz folgt. Neben dem Progressive Bone Loading ist eine Adaptation und Gewöhnung des Patienten gewährleistet. Bei dieser Vorgehensweise und den folgenden Behandlungssituationen kann darüber hinaus die Mukosamanschette geschützt werden, da das definitive Abutment bei der ersten prothetischen Sitzung endgültig eingeschraubt und nicht mehr entfernt wird. Ein Weiterarbeiten auf Knochenniveau mit möglicher Bakterienpenetration in diesem Bereich ist damit ausgeschlossen. Jegliche Fortführung der Therapie oder auch ein später verändertes Profil wird auf Mukosaniveau ausgeführt, sodass ein weiterer Beitrag zur Periimplantitisvermeidung, durch Ausbildung eines relativ stabilen biologischen Attachments an die Unterseite der Implantatabutments, geschaffen wird.

Klinisches Vorgehen

Anhand von zwei Behandlungsfällen soll das Vorgehen für festsitzende, rein implantatgetragene Versorgungen aufgezeigt werden. Während bei dem ersten Fall die Chirurgie eine besondere Herausforderung darstellt, steht bei dem zweiten Fall der prothetische Teil mit dem Ersatz von verlorenem Gewebe durch zahntechnische Hilfsmittel im Vordergrund.

Erster klinischer Fall

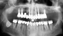
Die 51-jährige Patientin stellte sich mit einem insuffizienten Zahnersatz und erheblicher, weit fortgeschrittener Atrophie vor. Bei der röntgenologischen Analyse war erkennbar, dass – wie oben ausgeführt – die Resorption der gesamten Maxilla, sowohl im anterioren als auch im posterioren Bereich, eine Implantation zunächst unmöglich erscheinen ließ (Abb. 1). Nach Beratung und Aufklärung wollte die Patientin dennoch einen festsitzenden, wenn möglich keramikverblendeten Brückenzahnersatz.

Die Allgemeinanamnese der nicht rauchenden Patientin war unauffällig. Die Restzähne des Oberkiefers, zwei Molaren im ersten und ein Molar im zweiten Quadranten, waren aus parodontalen Gründen nicht erhaltungswürdig und mussten nach der Rehabilitation entfernt werden. Nach Angaben der Patientin mussten die Zähne des Ober- und Unterkiefers in den letzten Jahren sukzessiv, wegen ständigen Infektionen und anhaltenden Schmerzen, extrahiert werden.

Im Unterkiefer war, als Antagonist für die vorgesehene Oberkieferrestauration, ein rein implantatgetragener kunststoffverblendeter Brückenzahnersatz, bereits seit vielen Jahren mit guter Prognose, in situ (Abb. 2a und b).

Die extremen Knochenverluste machten eine 3-D-Röntgendarstellung medizinisch notwendig. Dabei zeigte sich, dass eine Augmentation über den gesamten Kiefer in der transversalen und vertikalen Dimension erforderlich war. Während die ebenfalls notwendige Sinusbodenelevation als gängiger auch in der ambulanten freien Praxis häufig durchgeführter Eingriff gilt, waren die weiteren knochenaufbauenden Notwendigkeiten eine größere invasive Aufgabe. Der vorgeschlagene Knochentransfer aus dem Beckenbereich schied vonseiten der Patientin rigoros aus. Ziel war es, mit autologem Knochen, der enoral gewonnen werden sollte, die notwendigen Knochenvoraussetzungen zu erarbeiten. Die Knochenblöcke, die aus der Linea obliqua externa beidseits gewonnen werden, konnten mit weiteren Augmentationsmaßnahmen, in diesem Fall der SonicWeld-Methodik, kombiniert werden.

So wurde zunächst im Februar 2012 in Lokalanästhesie eine Knochenblockaugmentation mit beidseitigem Sinuslift und SonicWeld-Augmentationstechnik vorgenommen. Nach Bildung eines Mukoperiostlappens konnte der gesamte Alveolarfortsatz des Oberkiefers dargestellt werden. Die Mobilisation des Lappens, zum späteren spannungsfreien Nahtverschluss mit großflächiger und weitreichender Periostschlitzung und Präparation eines gesplitteten Lappens hoch im Vestibulum, empfiehlt sich gleich zu Beginn der Operation. Eine erneute Blutung gegen Ende der operativen Maßnahme mit ausgeprägten Hämatombildungen lässt sich dadurch minimieren.

Anschließend konnte der Prozessus des Ramus mandibulae beidseits dargestellt werden. Dabei wurde eine Schnittführung Richtung aufsteigendem Unterkieferast nach bukkal, ohne weitere vestibuläre Entlastung, gewählt. Mithilfe des ultraschallinduzierten Piezogerätes und den verschiedenen abgewinkelten Sägeansätzen ließ sich auf jeder Seite ein großer Knochenblock, der nahezu ausschließlich aus Kompakta bestand, gewinnen. Vor dem Nahtverschluss wurden, zur Stabilisierung des Blutkoagulums und zur Unterstützung der Knochenregeneration an der Linea obliqua im Unterkiefer, Kollagenschwämmchen in die entstandenen Knochendefekte eingebracht. Der Verschluss mit Naht ist, da ausschließlich in der mobilen Gingiva inzidiert wurde, leicht zu erreichen.

Im Oberkiefer erfolgte zunächst eine beidseitige Sinusbodenelevation. Bereits seit vielen Jahren hat sich die komplette Entnahme des bukkalen Knochenfensters bestens bewährt. Die Präparation der Schneider‘schen Membran wird dadurch mitunter entscheidend erleichtert. Zudem kann der gewonnene Knochendeckel, bzw. diese Knochenscheibe, im Sinne der „Khoury-Technik“ für weitere Augmentationen dienen.

Nach der Augmentation des ehemaligen Sinusbodens mit Knochenersatzmaterial konnten die vom Unterkiefer gewonnenen Knochenblöcke relativ passgenau auf dem Transplantatlager beidseits in der Prämolarenregion angebracht und mit Osteosyntheseschrauben fixiert werden. Diese Knochenblöcke wurden in der Zwischenzeit, um sie vor Austrocknung zu schützen, in Blutplasma vom Patienten gelagert. Das Blutplasma konnte vor Operationsbeginn nach dem PRGF-System generiert werden. Eine stabile Auflagerung auf der Knochenbasis ist anzustreben. Mikrobewegungen der Knochenblöcke sollten vermieden werden.Damit konnte zunächst nur ein Teil und nicht der gesamte Oberkiefer knöchern aufgebaut werden. Die stabile Lage der Knochenblöcke ermöglichte beidseits eine Befestigung von PDLLA-Folien (Poly-D,L-Lactid) nach dem SonicWeldVerfahren.

Bei diesem Verfahren werden mit einem Ultraschallgenerator, der eine genau definierte Frequenz erzeugt, über eine Sonotrode komplett resorbierbare Pins im Knochen verankert – zur Aufnahme einer stabilen, ebenfalls resorbierbaren, barrierebildenden Folie. Es kann dabei ein stabiles dreidimensionales Konstrukt bei großer und ausreichender Festigkeit zur horizontalen und in bestimmten Ausmaß auch vertikalen Augmentation erzielt werden. Die komplett nach Zerfall in Wasserstoff und Kohlendioxid resorbierbaren PDLLA-Materialien sind zudem höchst gewebeverträglich.

Um die Befestigung der Folie auf Distanz zur Augmentation des gewonnenen Zwischenraumes zu erzielen, wurden dabei die Weld-Folien an einer Stelle der autologen Knochenblöcke mit den resorbierbaren Pins fixiert. Die Folien wurden beidseits nach posterior ausgerichtet bis in den augmentierten Sinusbodenbereich. Der Raum zwischen Folie und ortsständigem Knochen wurde mit Knochenersatzmaterial gemischt und mit autologen Knochenspänen aufgefüllt (Abb. 3).

Im anterioren Bereich, die Region zwischen den autologen Knochenblöcken, wurde der bei dem Sinuslift entnommene Knochendeckel mit Osteosyntheseschrauben angeschraubt und ähnlich der Khoury-Technik auf Distanz zum Alveolarfortsatz fixiert. Auch dieses Lumen konnte mit xenogenen und autogenen spongiösen Knochenpartikeln aufgefüllt werden.

Auf diese Art und Weise konnte eine Augmentationsmaßnahme über den gesamten zahnlosen Oberkiefer von Molarenregion zu Molarenregion in der transversalen und teils vertikalen Richtung kreiert werden.

Der gesamte Bereich wurde mit resorbierbaren Kollagenmembranen als Barrierefunktion und zur Unterstützung der ossären Regeneration abgedeckt. Vor dem spannungsfreien Nahtverschluss wurde die Fibrinmembran, die aus dem Blutplasma gewonnen wurde, aufgelegt. Damit kann eine physiologisch beschleunigte und reizfreiere Weichgewebeadaptation erzielt werden. Nach diesen massiven Augmentationsmaßnahmen ist für circa zwei Wochen das Tragen eines Zahnersatzes nicht zu empfehlen.

Circa sechs Monate später erfolgten die Wiedereröffnung und die Implantation. Die autologen Knochenblöcke zeigten sich gut vaskularisiert und bildeten einen festen Verbund mit dem darunterliegenden ortsständigen Knochen. Die knöcherne Durchbauung des augmentierten Bereiches, unter der Polylaktidfolie bzw. dem autologen Knochendeckelchen vom externen Sinusfenster, ließen ebenfalls eine Implantation bei guten Voraussetzungen zu. Die Implantate wurden schablonengeführt und mit durchgehend navigierter Vorgehensweise nach 3-D-Analyse in üblicher Art und Weise inseriert (Abb. 4). Nach Einbringen der Implantate (Abb. 5) konnten die Osteosyntheseschrauben entfernt und anschließend ein Nahtverschluss angestrebt werden. Die mittlerweile angepasste und unterfütterte Prothetik konnte weiter getragen werden und erlaubte eine deutlich angenehmere Situation für die Patientin.

Bei abermals zeitgemäßer und komplikationsloser Regeneration des Gewebes wurde nach fünf Monaten der prothetische Teil der Behandlung mit der Freilegungsoperation eingeleitet. Die Implantate zeigten sich gut im vitalen Knochen osseointegriert. Während der Eröffnung wurde der individuelle Abdruck, nach Verschlüsselung der Abdruckpfosten, mit Composite genommen und eine „provisorische“ Registrierung der okklusalen Ober- und Unterkieferrelationen vorgenommen (Abb. 6). Um das keratinisierte Mukosagewebe zu erhalten, wurde ein vertikaler Verschiebelappen präpariert, der mit Nähten an die Konfektionsgingivaformer adaptiert werden konnte (Abb. 7).

Bei einer Zwischenanprobe wurde eine vom Zahntechniker angefertigte Registrierplatte, die anschließend auf vier ausgewählten Gingivaformern positioniert wurde, eingegliedert. Anschließend wurde eine definitive Kieferrelationsbestimmung durchgeführt und mit provisorisch aufgestellten Frontzähnen Informationen über die Frontzahnästhetik gewonnen. Bei dieser Sitzung wurden die Gingivaformer nicht entfernt, sodass eine Destruktion der Mukosamanschette ausgeschlossen werden konnte.

Mit diesen Unterlagen ist es für die Zahntechnik möglich, die definitiven individuellen Abutments, ein Langzeitprovisorium und die definitiven Gerüste nach dem CAD/CAM-Verfahren anzufertigen. Bei der darauffolgenden Sitzung wurden die individuell hergestellten Abutments unter Zuhilfenahme eines Einsetzschlüssels mit Drehmomentratsche definitiv in die Implantate eingeschraubt. Nach dem Motto „One Abutment one time“ müssen diese später nicht mehr entfernt werden. Über das aus NEM-Metall angefertigte Gerüst (Abb. 8) wurde, ähnlich einer Teleskoparbeit, ein Überabdruck genommen und die Okklusion neu und exakt bestimmt. Die Patientin konnte mit einem Langzeitprovisorium die Praxis zufrieden verlassen. Während der folgenden Adaptationszeit wurden ein progressives Bone Loading sowie ein ungestörtes Profil der Mukosamanschette an der Unterseite der Abutments erreicht.

Sechs bis acht Wochen später konnten die definitiven Brücken eingesetzt und die komplexe Implantatbehandlung beendet werden (Abb. 9). In Abbildung 10 ist die Situation eineinhalb Jahre nach Abschluss der Behandlung ersichtlich.

Zweiter klinischer Fall

Während bei dem ersten Fall die Chirurgie im Vordergrund stand, ist dies im zweiten Fall die Prothetik. Fehlendes Gewebe, insbesondere in der vertikalen Ausdehnung, konnte prothetisch kompensiert werden. Der 68-jährige männliche Patient verlor aus parodontalen Gründen seine Zähne (Abb. 11a und b). Nach den üblichen und gängigen prädiagnostischen Maßnahmen konnten acht enossale Implantate (XiVE S plus, Dentsply Sirona Implants) eingesetzt werden (Abb. 12). Wie in sehr vielen gleichgelagerten Fällen war eine Sinusbodenelevation beidseits nötig. Wie bereits oben ausgeführt, wurde dabei der bukkale Knochendeckel komplett entfernt und in dem vom Patienten gewonnenen Thrombozytenaggregat zwischengelagert. Nach erfolgter Sinusbodenelevation und Insertion der Implantate wurde der Knochendeckel zurückverlagert und in das vorhandene Fenster verkeilt. Eine Barriere mit Membran oder Ähnlichem ist nicht erforderlich. Bei epikrestal oder leicht subkrestal eingesetzten Implantaten ist ein Tragen der Totalprothetik in der Folgezeit ohne Probleme möglich. Der Reentry-Eingriff zur Darstellung der Implantate konnte, wie oben bereits dargestellt, nach erfolgter Osseointegration durchgeführt werden. Auch die Kieferrelationsbestimmung mit einer individuellen Platte erfolgte in gleicher Art und Weise (Abb. 13).

Bei der Analyse im Artikulator ergab sich die schon erwartete Problematik in der vertikalen Dimension. Es galt eine große Dimension prothetisch zu ersetzen. Aufgrund der Physiognomie und dem Lippenbild des Patienten sollte dies mit zahntechnischer Hilfe kompensiert werden. Dabei diente die aktuelle Prothese aus funktionellen, phonetischen und ästhetischen Kriterien als Anhaltspunkt bzw. Vorlage.

Circa zwei Wochen nach der Eröffnung erfolgte die Eingliederung (Abb. 14) der definitiven individuellen CAD/CAM-Abutments mit Einsetzschlüssel und Drehmomentratsche. Die Mukosamanschette zeigte sich zu diesem Zeitpunkt zwar gut regeneriert, aber noch nicht durchgehend epithelisiert, eine Anlagerung bzw. Anheftung an der Abutmentunterseite war möglich. Dies stellt einen wichtigen Aspekt zur Vermeidung einer Periimplantitis dar. Es erfolgte eine Funktionsabformung über das endgültig gefräste Gerüst und eine Kieferrelationsbestimmung (Abb. 15). Mit den angefertigten Langzeitprovisorien auf den definitiven Abutments erhielt der Patient guten Komfort bis zur endgültigen Versorgung. Änderungswünsche des Patienten konnten in dieser provisorischen Phase berücksichtigt und in die definitive Prothetik übernommen werden. Der vertikale Verlust wurde mit Keramik ausgeglichen. Eine prothetische Rehabilitation mit Ersatz von fehlendem Gewebe ist, bei entsprechenden Voraussetzungen, größeren chirurgischen Interventionen vorzuziehen. Während die prothetischen und zahntechnischen Arbeiten für routinierte Behandler bzw. Zahntechniker Maßnahmen in überschaubarem Ausmaß bedeuten, sind Augmentationen deutlich aufwendiger und für den Patienten mit erheblich größerer Invasivität verbunden. Zudem ist die Prognose für ein erfolgreiches Gelingen der Behandlung eingeschränkt. Nach mehreren Wochen der sukzessiven Krafteinleitung auf die Implantate mit Langzeitprovisorien konnten die Keramikbrücken (Abb. 16) endgültig auf die schon in Position gebrachten Abutments eingegliedert werden (Abb. 17). Die Mukosa im Bereich der Implantatdurchtrittsstellen war stabil und gut adaptiert. Neben den günstigen Mukosaverhältnissen war darüber hinaus auch eine deutliche Zeitersparnis zu verzeichnen.

Die stabilen, reizfreien und symptomlosen intraoralen Zustände können auch drei Jahre nach Behandlung der Komplettrehabilitation erkannt werden und sind im Hinblick auf den Langzeiterfolg vielversprechend (Abb. 18a und b).

Dieser Fachbeitrag ist erstmalig im Oralchirurgie Journal 2/17 erschienen.

Produkte
Mehr Fachartikel aus Oralchirurgie

ePaper