Parodontologie 28.11.2016

Update Kiefernekrose – Diagnose, Pathophysiologie und Therapie



Update Kiefernekrose – Diagnose, Pathophysiologie und Therapie

Foto: © Autoren

Das Erkrankungsbild Kiefernekrose begegnet dem Zahnarzt in Klinik und Praxis zunehmend, erschwert die Behandlung der kompromittierten Patienten und erfordert besondere Verhaltensmaßnahmen. 

Auslösende Faktoren der Kiefernekrose sind zum einen die vorausgegangene Bestrahlung im Kopf-Hals-Bereich, z. B. nach Mundbodenkarzinom oder Larynxtumoren, zum anderen die Medikation mit antiresorptiven Substanzen des Knochenstoffwechsels und Angiogenese-Inhibitoren. Zu den Medikamentenklassen, die den Knochenstoffwechsel supprimieren, zählen die Bisphosphonate und die im zunehmenden Maße eingesetzte Klasse der RANK-Ligand-Inhibitoren. Ziel dieses Artikels ist die Zusammenstellung der unterschiedlichen Erkrankungen, die zu einer Kiefernekrose führen, die Darstellung der Therapie sowie ein Ausblick über aktuelle und zukünftige kausale Therapieansätze.

Geschichtlicher Aspekt

Nekrosen des Kieferknochens sind nicht nur eine Erkrankung des 20. und 21. Jahrhunderts. Bereits im Zeitalter der Industrialisierung wurde bei Arbeitern in der Streichholzindustrie in England beobachtet, dass sie zum Teil ausgedehnte Nekrosen im Kieferbereich entwickelten. Schuld war vermutlich die Verarbeitung von weißem Phosphor unter unzureichenden Arbeitsschutzmaßnahmen. Sie führte zu einer Aufnahme von Phosphorverbindungen in den Knochen, vergleichbar mit den heutigen Bisphosphonaten, und führte zum Teil zu entstellenden Entzündungen und Nekrosen im Kopf-Hals-Bereich. Durch Verbesserung der Arbeitsbedingungen, wie z. B. den Einsatz von Luftfiltern und den Verzicht der Verarbeitung von weißem Phosphor für die Zündholzindustrie, galt die Erkrankung des „Phossy jaw“ zunächst als ausgestorben. Durch die Möglichkeit der palliativen und kurativen Bestrahlung von Kopf-Hals-Patienten ab dem letzten Jahrhundert kam es jedoch wieder zu einer deutlichen Steigerung von Patienten mit Kiefernekrosen.

Zur Abgrenzung der Ätiologie wurde die Bezeichnung der Osteo­radionekrose ein­geführt. Marx et al. beschrieben in den 90er-Jahren des letzten Jahr­hunderts Kiefernekrosen in dem Patientenkollektiv nach Bisphos­phonateinnahme. Aufgrund der zahlreichen Einnahmen beobachten wir eine steigende Anzahl von Patienten in unserer Klinik. Eine neue Welle an Patienten mit Kiefernekrosen wurde nach der Einführung der RANK-Ligand-Inhibitoren beob­achtet.

Definition der 
Kiefernekrose

Das typische Erscheinungsbild der Kiefernekrose ist der freiliegende Knochen, der auch über einen längeren Zeitraum (acht Wochen) keine Tendenz der Ab­heilung zeigt. Bei der Osteo­radio­nekrose hat per Definition eine Bestrahlung im Kopf-Hals-Bereich stattgefunden. Hierbei steigt ab einer Bestrahlungs­intensität von über 50 Gy das Erkrankungsrisiko signifikant an. In Abgrenzung zu der Osteo­radio­nekrose hat bei der Bisphosphonat-assoziierten Kieferne­krose keine Bestrahlung in der Anamnese stattgefunden, jedoch ist die Medikamentenhistorie ­positiv auf die Einnahme des Medikamentes. Eine analoge Unterscheidung empfiehlt sich bei anderen Medikamenten­induzierten Kiefernekrosen, wie der RANK-Ligand-Kiefernekrose z. B. durch die Einnahme von 
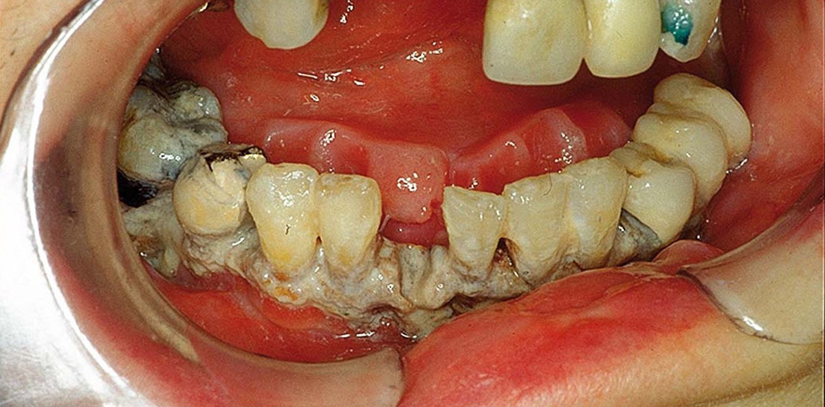
Denosumab®. Neben der Erkrankungsursache lässt sich auch das Erkrankungsstadium für die Bisphosphonat-assoziierte Kiefernekrose klassifizieren. Im Sta­dium I zeigt sich asymptomatischer Knochen ohne Schmerzen und Zeichen einer Entzündung. Im Stadium II wird die Erkrankung symptomatisch. Es treten Zeichen einer Infektion mit Eiter- und Abszessbildung hinzu. Im Stadium III sind zusätzlich eine pathologische Fraktur, Fistelbildung nach extraoral oder Osteo­lysen bis an die Unterkieferbasis  zu finden (Abb. 1–3). 

Einsatzspektrum der Bisphosphonate und RANK-Ligand-Inhibitoren

Die steigenden Inzidenzen der medikamenteninduzierten Kiefernekrosen ergeben sich aus dem breiten Einsatzspektrum der Bisphosphonate und RANK-­Ligand-Inhibitoren (z. B. Denosumab®) wie bei einer ganzen Reihe an gutartigen und bösar­tigen Erkrankungen. Bei den bösartigen Erkrankungen wird das osteo­lytische Wachstum von Knochenmetastasen bei Mamma- und 
Prostata-Karzinom inhibiert. Zum Teil wird auch eine direkte Beeinflussung auf die Zellviabilität der Tumorzellen diskutiert. Auch das multiple Myelom kann 
positiv beeinflusst werden und 
Negativereignisse (skeletal related events = SRE) im Rahmen dieser Erkrankungen wie Wirbelbrüche, pathologische Frakturen und Schmerzen können reduziert werden. Auch gutar­tige Knochenerkrankungen werden durch diese Medikamentenklassen therapiert. Insbesondere die Osteoporose hat aufgrund ihrer Prävalenz einen hohen Stellenwert. Weitere Erkran­kungen sind der Morbus Paget, 
nicht bakterielle Ostitiden und als Option bei therapieresistenten Osteo­myelitiden. 

Pathophysiologie der Kiefernekrose

Der menschliche Knochen ist kein statisches Gewebe, sondern unterliegt einem stetigen Umbau und der Anpassung an verän­derte Bedingungen und Belastungen. Dies macht verständlich, dass die Aktivität von Osteo­blasten und Osteoklasten eng über das RANK-OPG-System ­gekoppelt sein muss. Des Weiteren sorgt ein fein verzweigtes Kapillar­netz für eine ausreichende Versorgung und besitzt sogar unter physiolgischen und pathophysiologischen Bedingungen die Fähigkeit zur Bildung von Blutzellen. Die Bestrahlung des Kiefers führt nicht nur zum Untergang von Tumorzellen, sondern bewirkt sowohl Zellschäden des Hart- und Weichgewebes als auch der amorphen Substanz. Weiterhin wird auch die Speichel­produktion durch einen Untergang von Speicheldrüsengewebe und den fibrotischen Umbau der Drüse inhibiert. Bisphosphonate führen zu einer gewünschten Inhibition von Osteoklasten. Dieses bewirkt einen Abbaustopp des Knochens, welcher bei Osteo­porose oder im Umfeld von ­Metastasen sehr erwünscht ist. ­Jedoch besitzt dieser Knochen mit „eingefrorenem Stoffwechsel“ nur noch unzureichend die Möglichkeit, Mikrofrakturen aus­zuheilen. Verschiedene nationale und internationale Arbeitsgruppen konnten weiterhin zeigen, dass nicht nur die Osteoklasten, sondern auch Osteoblasten, Fibroblasten, Keratinozyten und insbesondere Zellen der Angiogenese und Neovaskularisation wie EPC (engl.: endothelial progenitor cells) durch Bisphosphonate in ihrem Zellstoffwechsel empfindlich gestört werden. Aufgrund der schlechteren Durchblutung des Unterkiefers und seiner kortikalen Eigenschaft treten Bisphosphonat-assoziierte Kiefer­nekrosen im Unterkiefer häufiger auf als im Oberkiefer. Die 
Pathophysiologie der Medikamenteninduzierten Nekrose des Kiefers aufgrund von RANK-Ligand-Inhibitoren ist noch 
weitestgehend nicht erforscht. Proble­matisch ist hier die Übertragung der Erkran­kung in ein Tiermodell, da die Anti­körper human­spezifisch sind.

Die Wirkung der Bisphospho­nate beruht auf einer Störung des ­Mevalonatstoffwechsels. Hierbei führen die nicht stickstoffhal­tigen Bisphosphonate zu einer Senkung des ATP-Levels in der Zelle. Die stickstoffhaltigen Bisphosphonate wie z. B. die Zoledronsäure arretieren den Mevalonatstoffwechsel, indem sie die Bildung des Metaboliten Geranylgeraniol (GGOH) verhindern. Eine weiterführende Prenylierung von Signalproteinen wie Rac, Cdc42 und Rho-GTPasen ist nicht mehr möglich. Hieraus resultiert eine Hemmung der Zellviabilität und ­Motilität, eine Störung in der ­Zytoskelettarchitektur bis hin 
zu Apoptose und Zelltod. Neben der erwünschten Wirkung auf 
Os­teoklasten bei gutartigen und ­bös­artigen Erkrankungen des ­Knochens werden jedoch auch Osteo­blasten und Zellen des Weichgewebes sowie der Neovas­kul­arisation und Angiogenese insbesondere durch die stickstoffhaltigen Bisphosphonate inhibiert. Hieraus lässt sich die ­Hypothese ableiten, dass neben einer Inhibition der Knochen­regeneration auch die Wund­heilung empfindlich gestört ist.

Radiologische Zeichen 
der Kiefernekrose

Neben dem Hauptzeichen des freiliegenden, therapieresistenten Knochens kann auch die Röntgendiagnostik Hinweise geben, dass der Knochenstoffwechsel durch Medikamente oder Bestrahlung gestört ist. ­Pathognomonisch ist eine persistierende Alveole: Das bedeutet, dass vier bis sechs Wochen nach erfolgter Extraktion eines Zahnes die Alveole im Röntgenbild noch nicht verstrichen und voll sichtbar ist. Des Weiteren zeigt sich bei Bisphosphonat­gabe eine honigwabenartige Struktur des Kiefers. An pathologischen Zeichen sind bei diesen Patienten auch Sequester­bildungen und pathologische Frakturen zu beobachten. Unterschiedliche Studien konnten ­zeigen, dass 3-D-Darstellungen sehr wohl eine Hilfestellung bei der geplanten OP geben können, aber das gesamte Ausmaß der Nekrose sich nicht sicher abbilden lässt.

Auslöser der Kiefernekrose

Neben der Störung des Knochen­stoffwechsels bedarf es zumeist eines Triggerfaktors, um den Prozess zur Entstehung einer Kiefernekrose anzustoßen. Hier sind zumeist die Extraktionen von Zähnen ohne folgende plastische Deckung zu nennen, gefolgt von chirurgischen Eingriffen wie Implantationen. Daneben können Prothesendruckstellen so­wie nicht behandelte Parodontitiden und apikale Entzündungen an Zähnen als Auslöser dienen. In wenigen Fällen ist kein kau­saler Zusammenhang zu finden. Daher ergibt sich, dass der  Zahnarzt durch korrektes Handeln und ein frühzeitiges Erkennen von Risikofaktoren die Inzidenz der Kiefernekrose senken kann. Hierbei kommt der zahnärztlichen Sanierung vor Bestrahlung oder Medikamentengabe eine entscheidende Rolle zu. Auch sollten Patienten unter Bisphosphonatgabe regelmäßig im Rahmen der Prophylaxe vom Zahnarzt gesehen werden. 

Operative Eingriffe 
bei bestrahlten 
Patienten oder unter 
Bisphosphonattherapie

Oberste Kautel bei chirurgischen Eingriffen wie Zahnextraktionen ist ein schonender Umgang mit dem Hart- und Weich­gewebe: Der Eingriff sollte unter einer perioperativen Antibiose erfolgen, Knochenkanten sollten geglättet werden und der Wundverschluss mehrschichtig erfolgen. Unterstützend kann eine ­Ernährung über Sonde und bei manifester Nekrose eine intra­venöse (i.v.) antibiotische Abdeckung sinnvoll sein. Um einen mehrschichtigen Verschluss der Wunde zu ermöglichen, bedient man sich unterschiedlicher  Deckungstechniken wie z. B. dem Periostkipplappen. Weitere Möglichkeiten sind eine Präparation von Mundbodenmuskulatur zur Deckung von Defekten im Unterkieferseitenzahnbereich. Zur Weichgewebedeckung im Oberkiefer lässt sich ebenfalls der Bichat-Fettpfropf verwenden. Die Defektsituation im Rahmen der Kiefernekrose kann im fort­geschrittenen Erkrankungssta­dium so ausgedehnt sein, dass man zur Rekonstruktion von Kieferanteilen auf mikrovaskuläre Fernlappen zurückgreifen muss. 

Moderne Therapieverfahren

In sehr frühen Erkrankungssta­dien kann ein Therapieversuch unter Verbesserung der Mundhygiene und eine orale ­antibiotische Abdeckung unternommen werden. Oftmals bleibt jedoch nur der chirurgische Ansatz mit einer Abtragung des nekrotischen Knochens und einer spannungsfreien, möglichst mehrschichtigen Deckung. Bei ausgedehnter Nekrose ist eine Krankenhauseinweisung unumgänglich. Hier kann die Wundheilung durch eine i.v. anti­bio­tische Therapie und Sonden­kosternährung über eine naso­gastrale Sonde gefördert werden. ­
Als Antibiotikum empfiehlt sich ein Breitspektrumantibiotikum wie z. B. Amoxicillin mit Clavulansäure (Augmentan®). Clindamycin ist aufgrund der lediglich nur bakteriostatischen Wirkung und des Nebenwirkungsprofils mit z. B. gastrointestinalen  Beschwerden nur Medikament der zweiten Wahl.

In den letzten Jahren konnten wichtige Beiträge zum Verständnis der Kiefernekrose gewonnen werden. So scheinen verschiedene Faktoren für die Entstehung einer Kiefernekrose verantwortlich zu sein. Neben einer Hemmung unterschiedlicher Zell­systeme des Hart- und Weich­gewebes, einer reduzierten 
Immunabwehr, scheinen auch biophysikalische Kenngrößen wie der pH-Wert des Gewebes eine entscheidende Rolle zu ­spielen. Als Beispiel für kausale Therapieansätze ist der experimentelle Einsatz von Erythropoetin zur Steigerung der Angio­genese und die Substitution des Mevalonatstoffwechselmetaboliten Geranylgeraniol zu nennen.Fazit für die Praxis Wir konnten zeigen, dass die ­multifaktorielle Kiefernekrose ein Erkrankungsbild mit steigender Inzidenz und Bedeutung für den Zahnarzt in Klinik und Praxis ist. Um das Erkrankungsbild zu vermeiden, gilt es, Risikofaktoren für die Entstehung der Kieferne­krose zu minimieren. Insbeson­dere sollten Zahnextraktionen nur unter den Kautelen einer Schonung des Hart- und Weichgewebes, antibiotischer Abschirmung und mehrschichtigem Wundverschluss erfolgen. Die Steigerung der Mundhygiene der Patienten sowie die Aufklärung bereits vor erster Medikamentengabe ist ein weiterer wichtiger ­Beitrag zur ­Risikominimierung. Es bedarf einer weiteren inten­siven Erforschung, um die Pathophysiologie der Kiefernekrose noch besser zu verstehen und kausale Therapieansätze zu entwickeln.  

Weitere Autoren: Dr. Dr. Paul Heymann, Dr. Anne Attrodt, Prof. Dr. Dr. Andreas Neff

Mehr Fachartikel aus Parodontologie

ePaper