Parodontologie 13.04.2017

Systematik einer erfolgreichen Parodontitistherapie



Systematik einer erfolgreichen Parodontitistherapie

Foto: Autoren

TEIL 2

Etwa elf Millionen Deutsche leiden an einer Parodontitis. Trotz überaus positiver Aussagen zur aktuellen Mundgesundheit in Deutschland, wird der parodontale Behandlungsbedarf aufgrund der demografischen Entwicklung prognostisch ansteigen.2 Um diesem Bedarf gerecht werden zu können, braucht es eine konsequente kontinuierliche Therapie. Im ersten Teil des Fachbeitrags wurden Konzept und Systematik einer solchen Therapie aus Sicht der Abteilung für Parodontologie der Universitätsmedizin Greifswald näher beleuchtet. Im vorliegenden zweiten Teil wird anhand eines Fallbeispiels eine kontinuierliche systematische Parodontitistherapie vorgestellt.

Die vorliegende Falldokumentation beschreibt eine kontinuierliche systema­tische Parodontitistherapie über einen Zeitraum von 17 Jahren (1999–2016). Die durchgeführte Therapie beinhaltete die antiinfektiöse Therapie, Schienung von mobilen Zähnen, weiterführende parodontalchirurgische Maßnahmen sowie die regelmäßige parodontale Erhaltungstherapie bei einem partiell com­plianten Patienten.

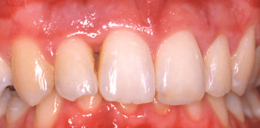
Der 21-jährige Patient befindet sich seit 1999 bis heute aufgrund einer generalisierten aggressiven Parodontitis in der Erhaltungstherapie im Zentrum für Zahn-, Mund- und Kieferheilkunde der Universitätsmedizin Greifswald (Abb. 1 bis 4). Erstmalig stellte sich der Patient im Schmerzdienst mit einer Überweisung des Hauszahnarztes nach einer abgeschlossenen kieferorthopädischen Behandlung im Januar 1999 vor. Zu diesem Zeitpunkt litt der Patient an akuten Beschwerden im Bereich aller Parodontien des Ober- und Unterkie­-fers mit spontanem putriden Exsudat an 16, 26 und 46 (Abb. 4). Die Gingiva war an allen Zähnen geschwollen, entzündet und blutete auf Sondierung. Die Nahrungsaufnahme war durch Schmerzen und Zahnlockerung der Zähne 11 und 12 stark eingeschränkt (Abb. 2, 4).

Allgemeine und spezielle zahnärztliche Anamnese

Allgemeinerkrankungen wurden verneint. Der Patient nahm und nimmt keine Medikamente regelmäßig ein. Die Familienanamnese des Patienten war unauffällig. Er war und ist Nichtraucher und befand sich zum Zeitpunkt der Anamneseerhebung in einem guten körperlichen Allgemeinzustand, welcher jedoch durch Schmerzen und starke Lockerung der Frontzähne ein­geschränkt worden war. Die Nahrungsaufnahme erfolgte nur durch weiche Kost. Der Patient befand sich in der Ausbildung zum Bankkaufmann.

Die Nervenaustrittspunkte, die Kiefergelenke und die submandibulären Lymphknoten wiesen keine Besonderheiten auf. Die Kaumuskulatur zeigte keine Hyperaktivität. Es lag ein restau­rativ versorgtes Gebiss mit verlagerten Weisheitszähnen 18, 38 und 48 vor. Der Karies-Index (DMFS-Index) betrug 16, daher wurde von einer geringen Kariesaktivität ausgegangen (Abb. 3). Aufgrund einer Zahnwanderung des Zahnes 12 wurde der Patient von 1996 bis Januar 1999 kieferorthopädisch behandelt. Die Diagnose einer Parodontitis wurde durch den behandelten Kieferortho­päden nicht festgestellt. Aufgrund aku­ter Beschwerden suchte der Patient im Jahr 1999 einen niedergelassenen Zahnarzt auf, welcher ihn in die Ab­­teilung Parodontologie der Poliklinik für Zahnerhaltung und Endodontologie des Zentrums für Zahn-, Mund- und Kieferheilkunde der Universitätsmedizin Greifswald überwies.

Der radiologische Befund zeigte einen generalisierten horizontalen Knochen- abbau mit vertikalen Einbrüchen zwischen 60 und 70 Prozent, besonders an den Zähnen 11, 12, 16, 26, 36 und 46. Es waren keine Wurzelfüllungen, apikale Veränderungen oder kariöse Stellen sichtbar (Abb. 2). Im gesamten Gebiss (über 30 Prozent der gesamten Wurzeloberflächen) waren Sondierungstiefen von 4 bis 10 mm messbar (Abb. 4). Der Erhalt der Zähne 11, 12, 26, 36 und 46 war fraglich, da der Knochenabbau sehr fortgeschrit­ten war. Es wurde die Diagnose einer generalisierten aggressiven Parodon­titis gestellt.

Folgender Therapieplan wurde vorgesehen:

  • Vorbehandlungsphase: Training der Mundhygiene in drei Sitzungen mit Motivation und Instruktion zu einer effektiven individuellen Mundhygiene sowie Entfernung von weichen undharten Belägen an allen klinisch erreichbaren Stellen
  • Subgingivales Debridement
  • Schienung der Zähne 11 und 12
  • Reevaluierung der klinischen Situation
  • Gegebenenfalls weiterführende parodontalchirurgische Maßnahmen
  • Unterstützende Parodontitistherapie

Prognose

Dem Patienten wird eine optimale Mundhygiene gezeigt. Die zahnbezo­genen Faktoren wie Wurzeleinziehungen, Furkationsbeteiligungen sowie überstehende Füllungsränder können zum Fortschreiten der parodontalen Zerstörung beitragen. Um das maxi­male Heilungspotenzial auszuschöp­-fen, wird bei Bedarf nach Reevaluie­-rung des subgingivalen Debridements erneut gescalt. Hiermit wird versucht,  eine mögliche chirurgische Intervention zu vermeiden. Bei Versagen der intendierten Therapie wird eine unterstützende systemische Antibiotikagabe erfolgen. Es wird zu einer Reduktion der Sondierungstiefen mit einer einhergehenden Retraktion der Gingiva kommen. Die persistierenden Weisheitszähne werden vorerst nicht entfernt.

Bei guter bis partieller Compliance sind weitere Attachment- sowie Zahnverluste eher unwahrscheinlich. Daher ist von einer guten Prognose auszugehen.

Therapieverlauf

Im Januar 1999 begann die Therapie. Dem Patienten wurde die Bedeutung der bakteriellen Plaque für die Ätiologie und Pathogenese der Parodontitis in Bezug auf den Behandlungserfolg erläutert. In dieser Behandlungsphase lernte der Patient in drei Sitzungen seine Mundhygiene zu optimieren. In jeder Sitzung wurden weiche und harte Beläge an allen klinisch erreich­baren Stellen entfernt sowie die Mund­hygieneinstruktionen, einschließlich der Anwendung von Interdentalbürstchen, demonstriert und geübt. Die Motivation des Patien­ten war nicht ausreichend vorhanden, um eine gute Mundhygiene zu erzielen, sodass eine weitere Sitzung notwendig war (Abb. 6). Nach einer vierten Sitzung war der Mundhygienezustand soweit ausreichend, dass vier Wochen später quadrantenweise ein subgingivales Debridement (Ultraschallgerät und Gracey-Küretten) mit abschließender Politur der Glattflächen und Interdentalräume durchgeführt werden konnte. Der Termin zur Reevaluierung der Mundhygiene nach dem subgingivalen Debridement erfolgte Ende Juli 1999. Es zeigte sich ein Plaque-Index von fast 50 Prozent, sodass von Reinfektion und suboptimaler Wundheilung aus­gegangen werden musste (Abb. 6). Der Patient wurde erneut ausführlich über die Wichtigkeit der häuslichen Plaquekontrolle aufgeklärt, der Biofilm angefärbt und der Einsatz von Hilfsmitteln erneut erläutert und geübt. Weiterhin wurde das subgingivale Debridement mit unterstützender systemischer Antibiotikagabe mit Amoxicillin und Metronidazol (dreimal täglich über sieben Tage) eingeleitet (Abb. 4 und 6). Bei jeder Deep-Scaling-Sitzung krampfte und kollabierte der Patient.

Weiterführende parodontalchirurgische Maßnahmen

Im Februar 2000 erfolgte die Reevaluation der Sondierungstiefen. Die antiinfektiöse Therapie führte zu einem Rückgang der entzündlichen Veränderungen der Gingiva sowie eine deutliche Reduktion der pathologisch erhöhten Sondierungstiefen, vor allem der einwurzeligen Zähne (Abb. 4 bis 7).18, 19 Die Sondierungstiefen von über 6 mm gaben Anlass zur Durchführung eines offenen parodontalchirurgischen Eingriffes zur Bear­beitung der Wurzeloberflächen unter Sicht an Zähnen 11, 12, 14, 16, 26, 37, 36, 42, 46.20, 21 Aufgrund des instabilen Blutdruckes wurden die notwendigen parodontalchirurgischen Maßnahmen in zwei Sitzungen (Februar und März 2000) ambulant in einer Intuba­tionsnarkose durchgeführt. Die Kontrolle der Wund­heilung fand wenige Wochen später statt. Sowohl die Wundheilung als auch die Mundhygiene waren aus­reichend. Die Kontrolle der Sondierungstiefen wurde im April 2001 erneut vorgenommen (Abb. 5 bis 8). Hier ließ sich eine deutliche Reduktion der Sondierungs­-tiefen feststellen. Jedoch waren einige Sondierungs­tiefen über 6 mm (an Zähnen 16, 14, 36 und 47) verblieben. Die hochgradig mobilen Zähne 12 und 11 wurden mittels Schmelz-Säure-Ätztechnik und Composite an die Nachbarzähne geschient. Hierbei wurde die Sta­bilität während der Heilung gewährleistet22 und der Kaukomfort verbessert.23

Unterstützende Parodontitistherapie und deren postoperativer Verlauf

Nach Abschluss der aktiven Parodontaltherapie wurde der Patient in ein parodontologisches Recallsystem eingegliedert. Die Abschätzung des Parodontitisrisikos sollte anhand des von Lang und Tonetti vorgeschlage­-nen Schemas erfolgen.8 Jedoch aufgrund persistie­render Resttaschen sowie einer insuffizienten Mund­hygiene wurde das Risiko als hoch eingestuft und somit wurde der Patient in einem dreimonatigen Abstand erneut einbestellt (Abb. 11). Die Compliance des Patien­ten war über den gesamten Zeitraum der aktiven Therapie als auch der Erhaltungstherapie schwankend. Aufgrund der beruflichen und familiären Belastung wurde fast jeder dritte Termin vom Patienten nicht wahrgenommen. Bis 2017 wurden insgesamt 50 UPT-Sitzungen durchgeführt (Abb. 4 bis 6 und 9 bis 13). Neben der alle drei bzw. vier Monate stattfindenden UPT- Sitzungen an der Klinik wurde der Pa­tient weiterhin hauszahnärztlich am Heimatort betreut. So fand die Extraktion der Weisheitszähne 38 und 48 beim Hauszahnarzt statt sowie die Versorgung der kariösen Läsionen. Der DMFS-Index stieg in den 17 Jahren der Beobachtung von 16 auf 20 an (Abb. 3). Der Plaque-Index schwankte zwischen 11 und 54 Prozent und der BOP bewegte sich zwischen 12 und 37 Prozent (Abb. 6). In jeder Sitzung wurde die Bedeutung der vollständigen Plaqueentfernung und der gründlichen häuslichen Mundhygiene verdeutlicht. Um den aktuellen Erkrankungszustand einschätzen zu können, erfolgte jähr­lich die Kontrolle der Sondierungs-tiefen. Bei festgestellten Sondierungs­-tiefen über 4 mm erfolgte erneut das subgingivale Debridement mit Ultraschall- und Handinstrumenten.

Im Laufe der Zeit konnten keine wei­-teren systemischen sowie keine aku­ten Allgemeinerkrankungen diagnostiziert werden. Die Prognose der meisten Zähne konnte deutlich verbessert werden. Alle Zähne mit fraglicher Prognose konnten erhalten werden. Die aktuelle Diagnose in Bezug auf die parodontale Situation des Patienten lautet daher: Entzündungsfreier Zustand nach mechanischer konservativer und chirur­gischer antiinfektiöser Therapie einer generalisierten aggressiven Parodontitis.

Diskussion/Epikrise

Parodontitis ist eine chronisch destruktive Erkrankung, welche mit der parodontalen Therapie entschleunigt, jedoch nicht, im Sinne einer „Restitutio ad integrum“, ausgeheilt werden kann. Daher ist es wichtig, eine richtige Dia­gnose zu stellen und den betroffenen Patienten eine adäquate und klar struk­turierte Therapie anzubieten und diese durchzuführen, die auch regelmäßige Kontrollen einschließt.

Prognoseeinschätzung

Der Zahnerhalt kann in Bezug zur Pro­gnoseeinschätzung betrachtet werden. Es hat sich seit 2002, aufgrund seiner Einfachheit, eine Einteilung der Erhaltungswürdigkeit nach dem Drei-Stufen-Modell von Checchi und Trombelli etabliert.5 Dabei wird zwischen einer guten, fraglichen und hoffnungslosen Prognose unterschieden. Im Vergleich zur ebenfalls etablierten Einteilung nach Kwok und Caton werden im Drei-Stufen-Modell nach Checchi und Trombelli nur die klinischen Zeichen zur Prognosefindung24 verwendet. Im vorliegenden Patientenfall wurden die Zähne 16, 12, 11, 26, 36 und 46 aufgrund ihres vor­angeschrittenen Attachmentverlustes und der Mobilität als fraglich eingestuft. Diese Patientendokumentation über 17 Jahre zeigt dennoch deutlich, dass es möglich ist, mit einem standardisierten Algorithmus auch Zähne mit einer frag­lichen Prognose zu erhalten. Insbesondere das junge Erkrankungsalter von 21 Jahren muss dabei Berücksich­tigung finden, da ein Zahnverlust der fraglichen Zähne nur durch herausnehmbaren oder festsitzenden Zahn­ersatz hätte versorgt werden können. Dies hätte einen jungen Mann vor eine soziale und finanzielle Herausforderung gestellt und womöglich abgeschreckt. Weiterhin zeigen andere Studien, dass im Rahmen einer parodontalen Erhaltungstherapie ein mittel- bis langfris­-tiger Zahnerhalt mit reduziertem Attachmentverlust möglich ist. Bei einer konsequenten Nachsorge über 16 Jahre nach einer erfolgreichen Initialtherapie würden die meisten der untersuchten Patienten keine weiteren Attachmentverluste aufweisen.25, 26 Ebenfalls wird durch eine konsequente Nachsorge auch die Prognose der Zähne signifi­-kant verbessert.24

Patientencompliance

Der Compliance kommt eine entscheidende Rolle zu. Die Befolgungsbereitschaft und das Befolgungsverhalten ärztlicher Ratschläge und Empfeh­lungen durch den Patienten ist die grundlegende Voraussetzung für eine erfolgreiche Parodontitistherapie.27 Sie erstreckt sich über diagnostische, therapeutische sowie rehabilitierende Maßnahmen und beinhaltet aktive Handlungen und Unterlassungen seitens des Patienten. Mehrere Studien sprechen sogar von einer essenziel­-len Rolle in einem strukturierten Nach- sorgeprogramm.28–30 Im zahnmedizi­nischen Fachbereich werden hinsichtlich der Patientencompliance folgende Parameter beschrieben:

• unzureichende Mundhygiene
• unkooperatives Verhalten am Behandlungsstuhl
• Nichteinhaltung der Termine (bzw. Zuspätkommen)
• Nichtbefolgung von ärztlichen Anweisungen nach chirurgischen Eingriffen
• ungenaue Angaben zur eigenen Krankengeschichte31

Die Compliance wird wesentlich von zwei Faktorgruppen beeinflusst: Zum einen hängt sie mit der Persönlichkeit und dem Patientenverhalten zusammen. So beeinflusst zum Beispiel ein geringer Leidensdruck oder ein schlechtes Krankheitsverständnis die Patientencompliance negativ. Zum anderen wird sie durch den Arzt selbst beeinflusst. So führen der Schwierigkeitsgrad der Anweisungen, die The­rapieart und notwendige Verhaltensmusteränderungen zur Abnahme der Compliance. Der Grad der Compliance ist  veränderbar.32 Aus diesem Grund muss der Patient immer wieder re­motiviert, an die Ziele der Therapie erinnert und die Compliance neu ein­geschätzt werden.  Das Gegenteil des empfohlenen Verhaltens wird als NonCompliance beschrieben und kann in drei Formen eingeteilt werden:

• intelligente Non-Compliance (Therapieabbruch aufgrund der Therapieunverträglichkeit oder
Unverständlichkeit der Maßnahmen)
• adaptive Non-Compliance (Therapieabbruch aufgrund der Lebens­qualitätseinbuße)
• Beanspruchungs-Non-Compliance (Befolgung ärztlicher Anweisung erscheint aufgrund der Lebens­umstände nicht realisierbar)33

Patiententypen

Dennoch lassen sich weder eindeutig compliante noch rein nicht compliante Patiententypen feststellen. In der Fachliteratur beschriebene Faktoren treffen besonders in der Parodontologie34, 35 zu: Instabilität der Familie, chronische Erkrankungen, Komplexität des Therapieplanes, umfangreiche Verhaltens­änderungen, lange Behandlungsdauer, lange Wartezeiten sowie fehlendes Eingehen auf Erwartungen und Be­dürfnisse des Patienten. Eine mögliche direkte Methode zur Messung der Pa­tientencompliance in der Parodon­tologie stellt eine Erfassung der The­rapieabbrüche dar. Dabei wird die mo­mentane Behandlungsphase zum Ab­bruchzeitpunkt festgehalten. Dies soll Aufschluss geben, wann die Pa­tienten besonders zu Therapieabbrüchen neigen. Eine weitere genauere Einteilung klassifiziert die Patienten in drei Stufen: 1. compliante Patienten, welche über den gesamten Beobachtungsraum in der Erhaltungstherapie verbleiben; 2. partiell compliante Pa­tienten, die die Erhaltungstherapie zwar antreten, jedoch vorzeitig abbrechen und 3. nicht compliante Patienten, die die Erhaltungstherapie direkt nach der initialen Behandlung abbrechen.36
Besonders bei einer Parodontitis kann ein fehlender, akuter Leidensdruck bei einer umfangreichen Therapie zu Un­verständnis des Patienten führen. Darüber hinaus kann der Patient eine lebenslange engmaschige Betreuung und hiermit eine gewisse Veränderung der Lebensgewohnheiten als Beeinträchtigung empfinden, die sich wie­derum zwangsläufig negativ auf die Compliance auswirkt.33 Demnach sollte dem Erhalt der Patientencompliance einen ebenso großer Stellenwert in der Therapieplanung eingeräumt werden wie der medizinischen Maßnahme selbst.

Bei einem partiell complianten Patien­ten mit einer unzureichenden Mund­hygiene(durchschnittlicher PI-Index von 31 Prozent und durchschnitt­licher BOP-Index von 21 Prozent) kann nicht von einer optimalen Wundheilung ausgegangen werden. Es kommt fort­laufend zu einer Reinfektion der Taschentiefen.6 Aus diesem Grund steigt der Attachmentverlust weiter kontinuierlich an. Auf lange Sicht führt dieser Umstand zum Zahnverlust. Im Schnitt suchte der Patient über die gesam­te Therapiedauer alle vier Monate die Abteilung für Parodontologie auf. Mit Reinigung aller klinisch erreichbaren Flächen wurde die Menge des oralen Biofilms unter die kritischen Maße reduziert.11 Somit wird keine destruierende Immunabwehrreaktion des Patienten eingeleitet. Alleinige 70- bis 80%ige In­strumentierung der Wurzeloberflächen reicht für eine Ausheilung aus37, sodass weiteres Voranschreiten des Attachmentverlustes aufgehalten werden kann. Jedoch durch die unzureichende Mundhygiene bzw. Nichteinhaltung von zahnärztlichen Einweisungen konnten die Sondierungstiefen nicht ausheilen. Weiterhin spiegelte sich die Effektivität der Reinigung aller klinisch erreichba­­ren Stellen mit anschließender Politur und Fluoridierung ebenfalls in der Kariesaktivität wieder. Da eine aggressive Form der Parodontitis durch einen rasch verlaufenden Attachmentverlust mit einer Freilegung der Wurzelober­fläche ein­hergeht, wird eine erhöhte Karies­anfälligkeit der Wurzeloberfläche ohne einer adäquaten Pflege vermutet.38 Der DMFS-Index des Pa­tienten wuchs in 17 Jahren der Beobachtungszeit von 16 auf 20. Demnach trugen die immer statt­gefundene Politur und Fluoridierung dazu bei, dass nur vier weitere Flächen durch eine Karies be­fallen waren. Somit kommt ein weiterer positiver Effekt des Biofilmmanagments zum Vorschein.

Darüber hinaus ist eine Durchführung der parodontalchirurgischen Maßnahmen fraglich. Die Sondierungstiefen von über 6 mm stellen eine eindeutige Indikation für ein operatives Verfahren dar und trotzdem führte dieses nicht zu einer gewünschten Ausheilung der Taschentiefen. Es ist natürlich bei einer insuffizienten Mundhygiene von einer gestörten Wundheilung auszugehen, nichtsdestotrotz stellt sich die Frage, ob ein operatives Verfahren in einem weiteren Verlauf eine Therapieoption darstelle. Im vorliegenden Patienten­fall wurden keine weiteren operativen Maßnahmen durchgeführt. Es konnte gezeigt werden, dass wiederholte Reinigung aller klinisch erreichbaren Flächen zur Entschleunigung der Erkrankung führt. Dieses äußert sich in der Stabilität des Befundes, welcher sich in den röntgenologischen Aufnahmen ebenfalls visualisieren lässt.

Ein weiterer unerwünschter Effekt bei partiell complianten Patienten ist die Termintreue. Die Patienten mit einem hohen Risikoprofil erscheinen in den Behandlungsräumen alle drei Monate zur Kontrolle. Beim Nichteinhaltung der Termine oder bei einem Zuspätkom­-men würde der Bestellalgorithmus des Behandlers durcheinander gebracht werden. Was einerseits zu wenig Auslastung der Behandlungszeit und somit geringeren Wirtschaftlichkeit führen würde. Andererseits entstünde ein Zeitdruck die angestrebten Therapieziele im kürzeren Zeitfenster durchführen zu müssen. Eine mangelnde Aufklärung, herabgesetzte Qualität der Behandlung sowie mangelnde Zeit für die Nachbe­reitung des Behandlungsstuhles seien die Folge. Dieses führe zwangsläufig zu Spannungen zwischen dem Pa­tien­ten und dem Behandler. Was sich wie­derum in einer verschlechternden Compliance widerspiegeln könnte.

Fazit

Ein Risiko für den weiteren Attach­ment- bzw. Zahnverlust stellen die verbleibenden Resttaschen nach der aktiven Therapie dar.39 Demzufolge kann im Rahmen der parodontalen Erhaltungstherapie durch regelmäßig durchgeführte Plaquekontrollen sowie die Entfernung von harten und wei­chen Belägen an allen klinisch erreichbaren Stellen ein weiterer Attachmentverlust und letztendlicher Zahnverlust verhindert oder zumindest verlang­samt werden.40, 41 Durch das interdisziplinäre Behandlungsteam sollte eine fortwährende Motivation und Instruktion erfolgen, die wohldosiert, klar und unkompliziert sein muss, um dauerhaft die Parodon­titis unter Kontrolle zu halten.

Eine ausführliche Literaturliste finden Sie hier.

Co-Autorin: Dr. Jutta Fanghänel

Dieser Beitrag ist in der ZWP Zahnarzt Wirtschaft Praxis 4/2017 erschienen.

Mehr Fachartikel aus Parodontologie

ePaper