Der Einfluss dentaler Plaque auf die Entstehung von Karies und Parodontalerkrankungen ist seit Langem bekannt und hat dazu beigetragen, eine effiziente Plaquekontrolle als wichtiges Ziel der präventiven Zahnmedizin zu etablieren.
Pflegebedürftige Menschen haben immer mehr eigene Zähne, Implantate oder technisch aufwendigen Zahnersatz im Mund. Der Fachartikel gibt wertvolle...
Pflegebedürftige Menschen haben immer mehr eigene Zähne, Implantate oder technisch aufwendigen...
Der folgende Beitrag zeigt, wie durch das gezielte Eingreifen in die sogenannte mitochondriale Dysfunktion mithilfe nichtantibiotischer Mittel...
Der folgende Beitrag zeigt, wie durch das gezielte Eingreifen in die sogenannte mitochondriale...
In der aktuellen Situation gewinnen manuelle Prophylaxetechniken wieder einen hohen Stellenwert, um Aerosolbildung zu vermeiden.
In der aktuellen Situation gewinnen manuelle Prophylaxetechniken wieder einen hohen Stellenwert,...
Neben der Verwendung einer Zahnbürste ist die Interdentalraumreinigung mit einem speziellen Hilfsmittel entscheidend, um den Zahnbelag approximal...
Neben der Verwendung einer Zahnbürste ist die Interdentalraumreinigung mit einem speziellen...
Konsumierende Grunderkrankungen, Störungen des Stoffwechsels und der lokalen und systemischen Immunabwehr sowie Nebenwirkungen notwendiger Dauermedikationen...
Konsumierende Grunderkrankungen, Störungen des Stoffwechsels und der lokalen und systemischen...
Es ist wichtig, Implantate adäquat zu betreuen, um periimplantäre Strukturen gesund zu erhalten und erste Anzeichen periimplantärer Entzündungen...
Es ist wichtig, Implantate adäquat zu betreuen, um periimplantäre Strukturen gesund zu erhalten...
Sowohl für die mechanische Parodontitistherapie als auch adjuvante Maßnahmen schlägt das Kieler Konzept Therapieempfehlungen vor, wobei es...
Sowohl für die mechanische Parodontitistherapie als auch adjuvante Maßnahmen schlägt das...
Welche Unterschiede gibt es zwischen einer PZR und der unterstützenden Parodontitistherapie (UPT)? Diese Frage versuchen die Autoren im nachstehenden...
Welche Unterschiede gibt es zwischen einer PZR und der unterstützenden Parodontitistherapie...
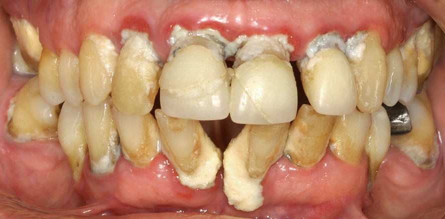
Bei einer schweren generalisierten Parodontitis kann eine multiple Extraktion zahnmedizinisch und wirtschaftlich vertretbar sein. Im vorliegenden...
Bei einer schweren generalisierten Parodontitis kann eine multiple Extraktion zahnmedizinisch...
Fast täglich begegnen uns im Praxisalltag neue Produkte, Hilfsmittel und Dienstleister aus der Dentalbranche. Immer mehr Artikel kommen auf...
Fast täglich begegnen uns im Praxisalltag neue Produkte, Hilfsmittel und Dienstleister aus...
Seit einem Jahr liegt sie nun vor: die neue Klassifikation parodontaler und periimplantärer Erkrankungen. In dem vorliegenden Beitrag soll vor...
Seit einem Jahr liegt sie nun vor: die neue Klassifikation parodontaler und periimplantärer...
In diesem Beitrag möchte ich daher aufgrund meiner eigenen Erfahrungen näher auf praktische Tipps und spezielle Empfehlungen zur häuslichen...
In diesem Beitrag möchte ich daher aufgrund meiner eigenen Erfahrungen näher auf praktische...
Die Versorgung mit Zahnimplantaten ist durch eine hohe klinische Verlässlichkeit und Vorhersagbarkeit gekennzeichnet. Prof. Dr. Ralf Rößler...
Die Versorgung mit Zahnimplantaten ist durch eine hohe klinische Verlässlichkeit und Vorhersagbarkeit...
Erkrankungen im Zahn-, Mund- und Kieferbereich sind im Hochleistungssport weitverbreitet. Das größte Problem dabei ist, dass diese Erkrankungsform...
Erkrankungen im Zahn-, Mund- und Kieferbereich sind im Hochleistungssport weitverbreitet. Das...
Da Sie der Verwendung von Google Maps nicht zustimmten, kann leider keine Karte angezeigt werden.
Haben Sie schon unseren Newsletter abonniert?
Um bei unserer Anwendung Formulare zu verwenden, benötigen wir die Zustimmung um einen Token für das Absenden zu setzen.
Datenschutz und Nutzungserlebnis
Wir übermitteln Daten an Drittanbieter, die uns helfen, unser Webangebot zu verbessern und zu finanzieren. In diesem Zusammenhang werden auch Nutzungsprofile gebildet und angereichert, auch außerhalb des Europäischen Wirtschaftsraumes. Hierfür und um bestimmte Dienste zu nachfolgend aufgeführten Zwecken verwenden zu dürfen, benötigen wir Ihre Einwilligung.
Indem Sie "Alle Cookies akzeptieren" klicken, stimmen Sie diesen (jederzeit widerruflich) zu.
Unter "Manuell auswählen" können Sie die Datenverarbeitung individuell personalisieren.
Unter "Nur notwendige akzeptieren" können Sie die Datenverarbeitung ablehnen.
Indem Sie "Speichern" klicken, stimmen Sie diesen (jederzeit widerruflich) zu.
Um Kartendaten in unserer Anwendung darzustellen, nutzen wir den Kartendienst Google Maps. Willigen Sie der Nutzung von Google Maps ein, werden ggf. personenbezogene Daten (Ihre IP-Adresse) von Google erhoben.
Einbinden von Google Maps erlauben
Einige unserer Videoinhalte (bspw. Livestream) werden über die Videoplattform Vimeo bereitgestellt.
Inhalte von Vimeo erlauben
Für ein besseres Benutzererlebnis können unsere Werbeanzeigen personalisiert werden. Um dies zu ermöglichen, wird das erstellen von Cookies vorausgesetzt. Sollten Sie diesem Dienst nicht zustimmen, werden Werbeanzeigen zufällig ausgeliefert.
Personalisierte Werbung erlauben
Um sich bei unserer Anwendung Formulare zu verwenden werden Tokens gesetzt die es uns ermöglichen Spam zu verhindern. Sollten Sie dies ausstellen, ist es Ihnen nicht mehr möglich sich bei uns anzumelden oder zu registrieren.
Anmeldeformulare absenden ermöglichen
Bei der Gestaltung unserer Anwendung benutzen wir Schriftarten von Adobe, diese werden über ein CDN geladen. Sollte Sie diesem Dienst nicht zustimmen wird die Standard Schrift des Systems benutzt. Außerdem könnte es zu Fehlern im allgemeinen Anwendungsdesign kommen.
Inhalte von Adobe erlauben
Sie können Ihre Auswahl jederzeit unter "Cookie-Einstellungen“ am Seitenende ändern.