Individuell gefertigter Zahnschmuck vereint ästhetischen Anspruch mit zahntechnischer Präzision. Im Dentallabor ZARISMA wurde ein patientenspezifischer Grill vollständig digital konstruiert und in einer Kobalt-Chrom-Molybdänlegierung umgesetzt.
Das Protokoll des Doppelkronen-Konzepts wurde bereits Mitte der 1990er-Jahre vorgestellt: Über eine Galvano-Mesostruktur und deren intraorale...
Das Protokoll des Doppelkronen-Konzepts wurde bereits Mitte der 1990er-Jahre vorgestellt: Über...
Der folgende Fallbericht beschreibt die funktionelle und ästhetische Rehabilitation eines 58-jährigen Patienten mit ausgeprägter Zahnarztangst,...
Der folgende Fallbericht beschreibt die funktionelle und ästhetische Rehabilitation eines...
Der folgende Fachbeitrag zeigt detailliert das Vorgehen bei einer Kombiarbeit unter Nutzung digitaler Tools in der Totalprothetik.
Der folgende Fachbeitrag zeigt detailliert das Vorgehen bei einer Kombiarbeit unter Nutzung...
Fast jeder Zweite schnarcht regelmäßig in der Nacht, deshalb spricht man auch oft von der Volkskrankheit Schnarchen. Teilweise kann die Schnarch-Geräuschkulisse...
Fast jeder Zweite schnarcht regelmäßig in der Nacht, deshalb spricht man auch oft von der...
Die moderne Zahnmedizin stellt hohe Anforderungen an Funktion und Ästhetik, besonders im sichtbaren Frontzahnbereich. Patienten wünschen sich...
Die moderne Zahnmedizin stellt hohe Anforderungen an Funktion und Ästhetik, besonders im sichtbaren...
Wie wir in den Fachmedien, auf Messen und Veranstaltungen sehen können, hat die Digitalisierung in unsere Branche längst Einzug gehalten –...
Wie wir in den Fachmedien, auf Messen und Veranstaltungen sehen können, hat die Digitalisierung...
Aufgrund des Verlustes der seitlichen Zähne in allen vier Quadranten und kariös zerstörtem Restzahngebiss kann der Patientenwunsch nach einem...
Aufgrund des Verlustes der seitlichen Zähne in allen vier Quadranten und kariös zerstörtem...
Mit den bekannt guten Langzeitergebnissen in der Implantattherapie ist mittlerweile auch die Erwartungshaltung von Patienten und Behandlern extrem...
Mit den bekannt guten Langzeitergebnissen in der Implantattherapie ist mittlerweile auch die...
Die Herstellung von Teleskoparbeiten gehört zu den anspruchsvollsten Disziplinen in der Zahntechnik. Präzision, Ästhetik und Funktionalität...
Die Herstellung von Teleskoparbeiten gehört zu den anspruchsvollsten Disziplinen in der Zahntechnik....
Die Funktionskieferorthopädie (FKO) hat ihre Wurzeln bereits im Jahr 1893. Grundlage ist dabei die Entwicklungsphilosophie von Roux, bei der...
Die Funktionskieferorthopädie (FKO) hat ihre Wurzeln bereits im Jahr 1893. Grundlage ist dabei...
In der Zahntechnik hat die Integration digitaler Technologien die Art und Weiseder zahntechnischen Arbeiten grundlegend verändert. Besonders...
In der Zahntechnik hat die Integration digitaler Technologien die Art und Weiseder zahntechnischen...
Es gibt so viele verschiedene Restaurationsmaterialien, dass es oft schwierig erscheint, die beste Option für einen bestimmten Fall auszuwählen....
Es gibt so viele verschiedene Restaurationsmaterialien, dass es oft schwierig erscheint, die...
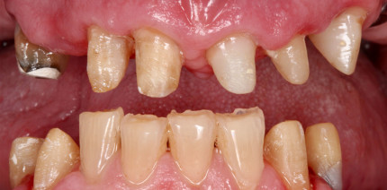
Massive Zahnarztangst mit Vermeidungsstrategie kann schwerwiegende Folgen haben. Im hier vorgestellten Patientenfall waren das u.a.: eine eingewachsene...
Massive Zahnarztangst mit Vermeidungsstrategie kann schwerwiegende Folgen haben. Im hier vorgestellten...
Die Herstellung von Totalprothesen ist für Zahntechniker anspruchsvoll. Traditionelle Methoden sind zeitaufwendig und erfordern handwerkliches...
Die Herstellung von Totalprothesen ist für Zahntechniker anspruchsvoll. Traditionelle Methoden...
Da Sie der Verwendung von Google Maps nicht zustimmten, kann leider keine Karte angezeigt werden.
Haben Sie schon unseren Newsletter abonniert?
Um bei unserer Anwendung Formulare zu verwenden, benötigen wir die Zustimmung um einen Token für das Absenden zu setzen.
Datenschutz und Nutzungserlebnis
Wir übermitteln Daten an Drittanbieter, die uns helfen, unser Webangebot zu verbessern und zu finanzieren. In diesem Zusammenhang werden auch Nutzungsprofile gebildet und angereichert, auch außerhalb des Europäischen Wirtschaftsraumes. Hierfür und um bestimmte Dienste zu nachfolgend aufgeführten Zwecken verwenden zu dürfen, benötigen wir Ihre Einwilligung.
Indem Sie "Alle Cookies akzeptieren" klicken, stimmen Sie diesen (jederzeit widerruflich) zu.
Unter "Manuell auswählen" können Sie die Datenverarbeitung individuell personalisieren.
Unter "Nur notwendige akzeptieren" können Sie die Datenverarbeitung ablehnen.
Indem Sie "Speichern" klicken, stimmen Sie diesen (jederzeit widerruflich) zu.
Um Kartendaten in unserer Anwendung darzustellen, nutzen wir den Kartendienst Google Maps. Willigen Sie der Nutzung von Google Maps ein, werden ggf. personenbezogene Daten (Ihre IP-Adresse) von Google erhoben.
Einbinden von Google Maps erlauben
Einige unserer Videoinhalte (bspw. Livestream) werden über die Videoplattform Vimeo bereitgestellt.
Inhalte von Vimeo erlauben
Einige Beiträge binden Inhalte von Instagram ein. Wenn Sie zustimmen, wird eine Verbindung zu Meta/Instagram aufgebaut und es können personenbezogene Daten wie Ihre IP-Adresse übertragen werden.
Inhalte von Instagram erlauben
Für ein besseres Benutzererlebnis können unsere Werbeanzeigen personalisiert werden. Um dies zu ermöglichen, wird das erstellen von Cookies vorausgesetzt. Sollten Sie diesem Dienst nicht zustimmen, werden Werbeanzeigen zufällig ausgeliefert.
Personalisierte Werbung erlauben
Um sich bei unserer Anwendung Formulare zu verwenden werden Tokens gesetzt die es uns ermöglichen Spam zu verhindern. Sollten Sie dies ausstellen, ist es Ihnen nicht mehr möglich sich bei uns anzumelden oder zu registrieren.
Anmeldeformulare absenden ermöglichen
Bei der Gestaltung unserer Anwendung benutzen wir Schriftarten von Adobe, diese werden über ein CDN geladen. Sollte Sie diesem Dienst nicht zustimmen wird die Standard Schrift des Systems benutzt. Außerdem könnte es zu Fehlern im allgemeinen Anwendungsdesign kommen.
Inhalte von Adobe erlauben
Sie können Ihre Auswahl jederzeit unter "Cookie-Einstellungen“ am Seitenende ändern.