Ist eine komplette Stützzonensanierung notwendig, sollte diese bestmöglich vorausgeplant und mit einem alltagstauglichen Konzept umgesetzt werden. Oftmals sind es die kleinen Details, die über Misserfolg oder Erfolg entscheiden. Im folgenden Beitrag stellen die beiden Autoren ein Konzept aus analogen und digitalen Arbeitsschritten vor, die eine erfolgreiche Rehabilitation möglich machen.
Folgender Patientenfall schildert einen durch Intraoralscanner komplettierten digitalen Workflow für eine metallfreie, zirkonbasierte und...
Folgender Patientenfall schildert einen durch Intraoralscanner komplettierten digitalen Workflow...
ZTM Thomas Jobst setzt sich im folgenden Fachbeitrag mit der Thematik „NEM aus dem Vollen fräsen“ auseinander und zeigt anhand seiner Laborsituation,...
ZTM Thomas Jobst setzt sich im folgenden Fachbeitrag mit der Thematik „NEM aus dem Vollen...
Jeder kennt Patienten, die derartig intensiv pressen, knirschen und schieben, dass sie nahezu jeden Zahnersatz zerstören. Abplatzung der Verblendung,...
Jeder kennt Patienten, die derartig intensiv pressen, knirschen und schieben, dass sie nahezu...
ZTM Oliver Krutsch beschreibt anhand eines Fallberichtes die Herstellung eines funktionell einwandfreien Zahnersatzes in Kombination der „digitalen“...
ZTM Oliver Krutsch beschreibt anhand eines Fallberichtes die Herstellung eines funktionell...
Eine strahlende A1-Front, alle Zähne genau auf einer Reihe, ein Lächeln wie aus Hollywood und das mit 76 Jahren! Ästhetisch schön oder...
Eine strahlende A1-Front, alle Zähne genau auf einer Reihe, ein Lächeln wie aus Hollywood...
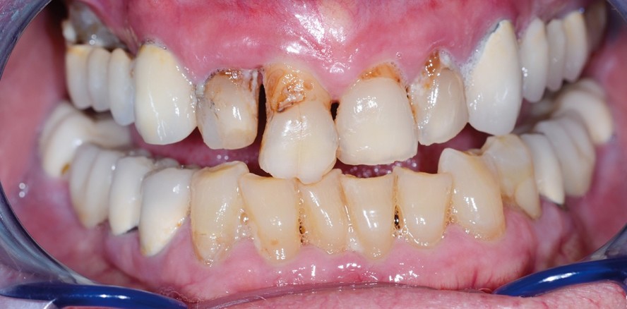
Der Fall beschreibt die Versorgung einer ästhetisch kompromittierten Unterkieferfront nach Zahnverlust aufgrund einer parodontalen Vorerkrankung...
Der Fall beschreibt die Versorgung einer ästhetisch kompromittierten Unterkieferfront nach...
Die Bereitstellung von individuellen, CAD/CAM-gefertigten endgültigen Abutments in der ersten prothetischen Sitzung, um diese dann bereits...
Die Bereitstellung von individuellen, CAD/CAM-gefertigten endgültigen Abutments in der ersten...
Die BBC Sleep Appliance ist das erste, vollständig aus Titan gefertigte Unterkiefer-Protrusionsscharnier. Dr. Enrico Pasin, Kieferorthopäde...
Die BBC Sleep Appliance ist das erste, vollständig aus Titan gefertigte Unterkiefer-Protrusionsscharnier....
Der wachsende Anteil betagter Patienten in unserer Bevölkerung wird in Zukunft auch die Zahnmedizin in erheblichem Maße fordern, da insbesondere...
Der wachsende Anteil betagter Patienten in unserer Bevölkerung wird in Zukunft auch die...
Die Attraktivität eines Menschen wird maßgeblich von seinem Gesicht beeinflusst. Zusätzlich zu den anatomischen Strukturen bestimmen die Zähne...
Die Attraktivität eines Menschen wird maßgeblich von seinem Gesicht beeinflusst. Zusätzlich...
Neue Trendsportarten können vor allem bei Jugendlichen zu einem Zahntrauma führen. Die Fraktur der juvenilen Frontzahnkrone mit ausgeprägter...
Neue Trendsportarten können vor allem bei Jugendlichen zu einem Zahntrauma führen. Die Fraktur...
Die Steigerung der Produktivität ist der Schlüssel für Gewinnverbesserungen im Dentallabor. Digitale Technologien sollen dabei helfen, wirtschaftlicher...
Die Steigerung der Produktivität ist der Schlüssel für Gewinnverbesserungen im Dentallabor....
Nur Kollegen, die aus Überzeugung viel Zeit in Weiterbildungen und Qualifikationen auf dem Gebiet der ästhetischen Zahnmedizin investieren,...
Nur Kollegen, die aus Überzeugung viel Zeit in Weiterbildungen und Qualifikationen auf dem...
Die Möglichkeiten, die dem Dentallabor mit einem eigenen 3-D-Drucker geboten werden, sind vielfältig. Ein Vorteil ist die erhöhte Effektivität...
Die Möglichkeiten, die dem Dentallabor mit einem eigenen 3-D-Drucker geboten werden, sind...
Da Sie der Verwendung von Google Maps nicht zustimmten, kann leider keine Karte angezeigt werden.
Haben Sie schon unseren Newsletter abonniert?
Um bei unserer Anwendung Formulare zu verwenden, benötigen wir die Zustimmung um einen Token für das Absenden zu setzen.
Datenschutz und Nutzungserlebnis
Wir übermitteln Daten an Drittanbieter, die uns helfen, unser Webangebot zu verbessern und zu finanzieren. In diesem Zusammenhang werden auch Nutzungsprofile gebildet und angereichert, auch außerhalb des Europäischen Wirtschaftsraumes. Hierfür und um bestimmte Dienste zu nachfolgend aufgeführten Zwecken verwenden zu dürfen, benötigen wir Ihre Einwilligung.
Indem Sie "Alle Cookies akzeptieren" klicken, stimmen Sie diesen (jederzeit widerruflich) zu.
Unter "Manuell auswählen" können Sie die Datenverarbeitung individuell personalisieren.
Unter "Nur notwendige akzeptieren" können Sie die Datenverarbeitung ablehnen.
Indem Sie "Speichern" klicken, stimmen Sie diesen (jederzeit widerruflich) zu.
Um Kartendaten in unserer Anwendung darzustellen, nutzen wir den Kartendienst Google Maps. Willigen Sie der Nutzung von Google Maps ein, werden ggf. personenbezogene Daten (Ihre IP-Adresse) von Google erhoben.
Einbinden von Google Maps erlauben
Einige unserer Videoinhalte (bspw. Livestream) werden über die Videoplattform Vimeo bereitgestellt.
Inhalte von Vimeo erlauben
Für ein besseres Benutzererlebnis können unsere Werbeanzeigen personalisiert werden. Um dies zu ermöglichen, wird das erstellen von Cookies vorausgesetzt. Sollten Sie diesem Dienst nicht zustimmen, werden Werbeanzeigen zufällig ausgeliefert.
Personalisierte Werbung erlauben
Um sich bei unserer Anwendung Formulare zu verwenden werden Tokens gesetzt die es uns ermöglichen Spam zu verhindern. Sollten Sie dies ausstellen, ist es Ihnen nicht mehr möglich sich bei uns anzumelden oder zu registrieren.
Anmeldeformulare absenden ermöglichen
Bei der Gestaltung unserer Anwendung benutzen wir Schriftarten von Adobe, diese werden über ein CDN geladen. Sollte Sie diesem Dienst nicht zustimmen wird die Standard Schrift des Systems benutzt. Außerdem könnte es zu Fehlern im allgemeinen Anwendungsdesign kommen.
Inhalte von Adobe erlauben
Sie können Ihre Auswahl jederzeit unter "Cookie-Einstellungen“ am Seitenende ändern.