Der Trend entwickelt sich in der Zahntechnik immer mehr hin zu digitalen Fertigungsmethoden. Im Zuge dieser Entwicklungen stellt sich die Frage: Wie gut können digitale Fertigungsmöglichkeiten die konventionellen ersetzen?
Eine Abformung kann heutzutage sowohl digital als auch konventionell durchgeführt werden. Entscheidend für den bestmöglichen Workflow sind...
Eine Abformung kann heutzutage sowohl digital als auch konventionell durchgeführt werden....
Ein hochqualitatives Prothesenbasismaterial und ein guter Verbund zum Zahnmaterial sind von entscheidender Bedeutung. Der folgende Fachbeitrag...
Ein hochqualitatives Prothesenbasismaterial und ein guter Verbund zum Zahnmaterial sind von...
Wie wichtig stets die Betrachtung des jeweiligen individuellen Beschwerdebilds ist, wird an einem Fallbeispiel aus dem Dr. Amir CMD-Centrum in...
Wie wichtig stets die Betrachtung des jeweiligen individuellen Beschwerdebilds ist, wird an...
Im zweiten Teil gehen Dr. Sven Egger, M.Sc., M.Sc. sowie ZTM Christian Berg auf den weiteren Verlauf einer aufwendig ästhetisch-rekonstruktiven...
Im zweiten Teil gehen Dr. Sven Egger, M.Sc., M.Sc. sowie ZTM Christian Berg auf den weiteren...
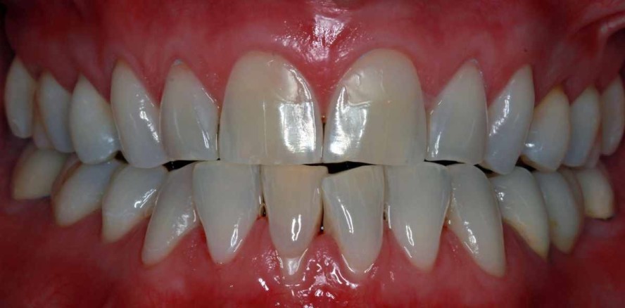
Der Patientenfall zeigt eine parafunktionell und erosiv kompromittierte Frontbezahnung mit Verlust der Eckzahnführung. Im ersten Teil gehen...
Der Patientenfall zeigt eine parafunktionell und erosiv kompromittierte Frontbezahnung mit...
Die Suche nach einem Gleichgewicht zwischen Ästhetik für junge Ältere und natürlichem Aussehen beginnt bereits bei der Verwendung der dafür...
Die Suche nach einem Gleichgewicht zwischen Ästhetik für junge Ältere und natürlichem Aussehen...
Kompositmaterialien für die indirekte, extraorale Verarbeitung im CAD/CAM-Verfahren zeigen heute exzellente Eigenschaften und stellen damit...
Kompositmaterialien für die indirekte, extraorale Verarbeitung im CAD/CAM-Verfahren zeigen...
Im folgenden Bitrag werden zunächst die Grundlagen zur Herstellung von Zahnersatz im digitalen Workflow erläutert und die unterschiedlichen...
Im folgenden Bitrag werden zunächst die Grundlagen zur Herstellung von Zahnersatz im digitalen...
Die Frontzahnversorgung bruxierender Patient*innen bedarf einer sorgfältigen Analyse, Planung und Ausführung hinsichtlich des gewünschten...
Die Frontzahnversorgung bruxierender Patient*innen bedarf einer sorgfältigen Analyse, Planung...
Die Ergebnisse einer retrospektiven Studie an den Zahnmedizinischen Kliniken der Universität Bern zeigen mehrere neue Richtungen für die Planung...
Die Ergebnisse einer retrospektiven Studie an den Zahnmedizinischen Kliniken der Universität...
Der Autor zeigt, wie durch die Konditionierung des Gerüstes der entscheidende Grundstein für den Erfolg der Restauration gelegt werden kann....
Der Autor zeigt, wie durch die Konditionierung des Gerüstes der entscheidende Grundstein für...
Autor Dr. med. dent. Oliver Schierz zeigt in seinem Fachbeitrag an einem Patientenbeispiel mit Verdacht auf Materialunverträglichkeit die temporäre...
Autor Dr. med. dent. Oliver Schierz zeigt in seinem Fachbeitrag an einem Patientenbeispiel...
Im folgenden Patientenfall wird durch erfolgreiches Backward Planning eine Sofortversorgung mit einer provisorischen Brücke dargelegt, die noch...
Im folgenden Patientenfall wird durch erfolgreiches Backward Planning eine Sofortversorgung...
Im ersten Teil wurde ein Konzept für die digitale Bissnahme vorgestellt, in welchem die Funktionsweise des Centric Guide Systems ausführlich...
Im ersten Teil wurde ein Konzept für die digitale Bissnahme vorgestellt, in welchem die Funktionsweise...
Da Sie der Verwendung von Google Maps nicht zustimmten, kann leider keine Karte angezeigt werden.
Haben Sie schon unseren Newsletter abonniert?
Um bei unserer Anwendung Formulare zu verwenden, benötigen wir die Zustimmung um einen Token für das Absenden zu setzen.
Datenschutz und Nutzungserlebnis
Wir übermitteln Daten an Drittanbieter, die uns helfen, unser Webangebot zu verbessern und zu finanzieren. In diesem Zusammenhang werden auch Nutzungsprofile gebildet und angereichert, auch außerhalb des Europäischen Wirtschaftsraumes. Hierfür und um bestimmte Dienste zu nachfolgend aufgeführten Zwecken verwenden zu dürfen, benötigen wir Ihre Einwilligung.
Indem Sie "Alle Cookies akzeptieren" klicken, stimmen Sie diesen (jederzeit widerruflich) zu.
Unter "Manuell auswählen" können Sie die Datenverarbeitung individuell personalisieren.
Unter "Nur notwendige akzeptieren" können Sie die Datenverarbeitung ablehnen.
Indem Sie "Speichern" klicken, stimmen Sie diesen (jederzeit widerruflich) zu.
Um Kartendaten in unserer Anwendung darzustellen, nutzen wir den Kartendienst Google Maps. Willigen Sie der Nutzung von Google Maps ein, werden ggf. personenbezogene Daten (Ihre IP-Adresse) von Google erhoben.
Einbinden von Google Maps erlauben
Einige unserer Videoinhalte (bspw. Livestream) werden über die Videoplattform Vimeo bereitgestellt.
Inhalte von Vimeo erlauben
Einige Beiträge binden Inhalte von Instagram ein. Wenn Sie zustimmen, wird eine Verbindung zu Meta/Instagram aufgebaut und es können personenbezogene Daten wie Ihre IP-Adresse übertragen werden.
Inhalte von Instagram erlauben
Für ein besseres Benutzererlebnis können unsere Werbeanzeigen personalisiert werden. Um dies zu ermöglichen, wird das erstellen von Cookies vorausgesetzt. Sollten Sie diesem Dienst nicht zustimmen, werden Werbeanzeigen zufällig ausgeliefert.
Personalisierte Werbung erlauben
Um sich bei unserer Anwendung Formulare zu verwenden werden Tokens gesetzt die es uns ermöglichen Spam zu verhindern. Sollten Sie dies ausstellen, ist es Ihnen nicht mehr möglich sich bei uns anzumelden oder zu registrieren.
Anmeldeformulare absenden ermöglichen
Bei der Gestaltung unserer Anwendung benutzen wir Schriftarten von Adobe, diese werden über ein CDN geladen. Sollte Sie diesem Dienst nicht zustimmen wird die Standard Schrift des Systems benutzt. Außerdem könnte es zu Fehlern im allgemeinen Anwendungsdesign kommen.
Inhalte von Adobe erlauben
Sie können Ihre Auswahl jederzeit unter "Cookie-Einstellungen“ am Seitenende ändern.