Zahntechnik 09.10.2017

Oberkieferfrontversorgung mit Presskeramikveneers



Oberkieferfrontversorgung mit Presskeramikveneers

Foto: Autoren

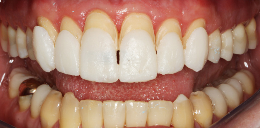
In diesem Beitrag wird die Behandlung eines Patienten (40 Jahre) mit guter allgemeiner Gesundheit vorgestellt. Die Ausgangssituation in diesem Patientenfall zeigt eine durch Attrition (exzessives Kaugummikauen) verkürzte Oberkieferfrontbezahnung in Kopfbisstellung.

Anamnese

Der Erstbesuch und die Erhebung der allgemeinmedizinischen Anamnese erfolgte im Januar 2005. Es liegen bis dato keine Grunderkrankungen vor. Das Recallintervall liegt bei sechs Monaten. Vorausgegangen war eine schrittweise Rehabilitation der Ober- und Unterkiefer- Seitenzahnbereiche mittels Presskeramikteilkronen sowie die konservierende Versorgung der Zähne 42, 43 mit Tetric EvoCeram (Ivoclar Vivadent) bis in das Jahr 2011. Der Behandler regte nach Abschluss der Sanierung eine „Verlängerung“ der durch Attrition mittlerweile stark reduzierten Frontzähne an, da eine Progression anhand der Krankengeschichte (Studienmodelle, Fotostatus) eindeutig zu verzeichnen war und ein „Abgleiten des Unterkiefers“ aus der Kopfbisssituation bevorstand.

Der Patient war dann nach Aufklärung und eingehender Beratung an der Weiterbehandlung seines Kauorgans interessiert. Er legte zudem Wert auf eine ästhetisch-funktionelle und dauerhafte Verbesserung seiner Situation und stand einer notwendigen ästhetisch-rekonstruktiven Rehabilitation aufgeschlossen gegenüber.

Klinische Befunde

Funktionsstatus

Die manuelle und klinische Funktionsanalyse ließ auf eine parafunktionelle Aktivität (Patient kaut exzessiv Kaugummi) schließen. Zahn 33 ist abradiert, zudem zeigen sich Abrasionen an den oberen Front- und Eckzähnen und am bereits erwähnten linken unteren Eckzahn. Es liegt eine Angle-Klasse I-Verzahnung vor. Die Oberkieferfront steht abrasionsbedingt im Kopfbiss. Die manuelle Führung ergab eine Abweichung in maximaler Interkuspidation (ohne Führung) und zentraler Kondylenposition (mit Führung). Keine Krepitationsgeräusche der Gelenke, unaufällige Öffnungs- und Schließbewegung, keine Druckdolenzen der Muskulatur bei Palpation. Gelegentliche leichte Kopfschmerzen.

Rote Ästhetik

Im Ober- und Unterkiefer ist ein regelmäßiger Gingivasaum sowie wohlgeformte Interdentalpapillen zu erkennen (Abb. 2). Es liegt ein Biotyp mit dünner Gewebestärke vor. Der Patient verfügt über eine normal geformte Oberlippe. Die Lachlinie verläuft anterior mittelhoch und im Seitenzahnbereich wird die gesamte Gingiva (v. a. links) exponiert (Abb. 1). Beim Lächeln zeigt sich eine leichte Asymmetrie links (seitlich hohe Lachlinie), welche aber dezent erscheint und den Patienten nicht stört.

Weiße Ästhetik

Zahnlänge: Die Oberkieferfront ist eindeutig zu kurz, was dem Patienten bis dato nicht aufgefallen war und ihn auch nicht störte. Das entspannte Lächeln zeigt nur wenig oder kaum Zähne. Der Schneidekantenverlauf folgt der Konkavität der Unterlippe (berührungsinaktives Verhältnis). Zahnform: Die durch den dünnen Biotyp bedingte rechteckig imponierende Zahnform der Oberkieferfrontzähne erscheint dem Patienten harmonisch und soll bei der Neuversorgung beibehalten werden (Abb. 3).

Dentalstatus

Zahnform: Es zeigen sich generell Attritionen im Ober- und Unterkiefereckzahnbereich (Abb. 4 und 5). Die Inzisalkanten sind vorwiegend im Bereich der oberen mittleren und seitlichen Frontzähne deutlich verkürzt. Die ursprüngliche anatomische Kauflächenstruktur in den Seitenzahnbereichen ist durch die vorangegangene Sanierung in Keramik bereits rehabilitiert. Zahnfarbe: Der Patient störte sich daran nicht. Auf Anraten des Behandlers wurde eine merkliche Aufhellung/Farbanpassung der Frontzahnreihe vorgeschlagen, um der ursprünglichen Zahnfarbe sowie der bereits inkooperierten Keramikrestaurationen in den Seitenzahnbereichen entsprechend gerecht zu werden.

Zusammenfassung

Zahnstellung: Im Oberkiefer erscheint der Zahnbogen ausreichend harmonisch. Die Oberkieferfront steht im Kopfbiss. Zusammenfassung der ästhetischen Problematik: Es zeigt sich hinsichtlich der Länge, Stellung (Kopfbisssituation) und Farbe der Zähne ein objektiv verbesserungswürdiger Zustand, welcher auf Anraten des Behandlers und schließlich mit dem Einverständnis des Patienten im Rahmen einer umfassenden Rehabilitation auch erreicht werden sollte.

Diagnosen

Bei dem untersuchten Patienten konnten eine leichte Parafunktion (Kaugummikauen), Schmelzverlust im oberen Frontzahnbereich sowie fehlende Führung bei Protrusion (Kopfbissstellung) festgestellt werden. Des Weiteren stellte sich eine leichte Störung der statischen und dynamischen Okklusion (Attrition 33, fehlende Eckzahnführung) heraus. Die Kaumuskulatur zeigte keine Druckdolenzen bei Palpation. Der Patient besitzt ein prothetisch und konservierend suffizient versorgtes Erwachsenengebiss.

Intraoraler Fotostatus – Anfangsbefund

Die Aufnahmen der Lateral- und Okklusalansicht wurden gespiegelt, um eine seitenrichtige Darstellung wiederzugeben, Zustand nach Sanierung im SZB, Aufnahmedatum: 10.07.11 (Abb. 6 und 7).

Behandlungsplan

  1. Dentalhygiene (Abformung für Situ-Modelle, Wax-up, Fotostatus)
  2. In-Office-Bleaching des Oberkieferfrontsegmentes 13-23
  3. Präparation für die definitive Versorgung im Oberkiefer 13-23 mit Presskeramikveneers
  4. Abdrucknahme, Bissnahme in HIKP, Gesichtsbogenübertragung, Anproben und definitive Eingliederung in den Folgesitzungen
  5. Nachkontrolle und Nachsorge

Behandlungsablauf

  • Behandlungssitzung: Prophylaxesitzung einschließlich Reevaluation und professioneller Zahnreinigung, Abformung OK/UK mit Alginat, Fotostatus.
  • Mock-up Oberkieferfront (Abb. 8 bis 10).
  • In-Office-Bleaching OK-Front 13-23 (Opalescence Boost 35 %, Ultradent) für 45 Minuten (3 x 15 Minuten)
  • Präparation der Zähne im Oberkiefer in lokaler Anästhesie (Articain 1:100.000, Aventis) unter Zuhilfenahme einer Lupenbrille (4,5-fache Vergrößerung, ZEISS).
  • Präparation der Zähne im Oberkiefer zur Aufnahme von Presskeramikveneers (Hohlkehldiamant 886012 M, ÖkoDEN und Finierer FG 8878/014, Komet Dental; Abb. 14).
  • Einkürzen der Inzisalkanten, um die Kopfbisssituation prothetisch auflösen zu können. Kontrollierter Substanzabtrag mithilfe eines aufklappbaren Silikonschlüssels (Abb. 11 bis 14).
  • Zweifache Abdrucknahme der präparierten Zähne mittels Doppelfadentechnik: Einbringen eines ersten, getränkten (Racestyptine solution, Septodont) Fadens (Ultrapak 0, Ultradent), über welchen ein zweiter getränkter Faden größeren Durchmessers gelegt wird (Ultrapak 1, Ultradent). Wartezeit bis zur Abdrucknahme mit den gelegten Fäden etwa 10 Minuten. Die Abdrucknahme erfolgt nach Entfernung des zuletzt gelegten Fadens (der zuerst gelegte Faden geringeren Durchmessers verbleibt im Sulcus) mittels eines A-Silikons in Doppelmischtechnik einzeitig: Umspritzung der präparierten Zähne mit dünnfließendem Material (Express Ultra-Light Body, 3M Espe) und Einbringen des schwerfließenden Materials, (Express Penta Putty, 3M Espe) in einen Abdrucklöffel (Rim Lock, DeTrey).
  • Bissnahme in HIKP (Abb. 15) mit Wachsbissregistrat (Beauty Pink Extra hart, Moyco Ind., Philadelphia) und Verschlüsselung mit dünnfließendem Zinkoxid Eugenol Material (Super Bite Bosworth, Illionis).
  • Registrieren der gelenkbezogenen Position des Oberkiefers mittels Gesichtsbogen (Artex 3D, Amann Girrbach Dental, Pforzheim). Bestimmung der Idealwinkel der Zähne aus frontaler Sicht mit dem Clinometer nach Dr. Behrend (Amann Girrbach).
  • Gegenkieferabformung (UK) mit Alginat (Alginat, Cadco).
  • Provisorische Versorgung der präparierten Zähne mittels Silikonschlüssel (via Wax-up angefertigt) und Pro Hot Temp 3 Garant A1 (3M Espe; Abb. 16). Eingliederung der Veneerprovisorien nach Ausarbeitung und Kontrolle von Randpassgenauigkeit und Okklusion durch punktförmige Schmelzätzung mit 35%iger Phosphorsäure, Primen und Bonden mit Syntac Classic (Ivoclar Vivadent).
  • Erste Anprobe. Entfernung der provisorischen Versorgung und sorgfältige Reinigung der präparierten Zähne. Aufsetzen der Frontzahnveneers (Empress, Ivoclar Vivadent) mit Glyceringel (Variolink II Try-In, Ivoclar Vivadent).
  • Kontrolle auf Randpassung, exakten Sitz sowie Überprüfung der Okklusion, Artikulation und Phonetik (Abb. 17).
  • Eingliederung der definitiven Versorgung im OK (Abb. 18 und 19). Zum Einsetzen der Veneers wird nach vorherigem Abstrahlen (RONDOflex plus, KaVo) mit Aluminiumoxidpulver der Korngröße 27 mm (RONDOflex plus, KaVo) und Schmelzätzung mit 35 % Phosphorsäure (Ultra-Etchy, Ultradent) eine selektive adhäsive Befestigung der zuvor geätzten und silanisierten (Monobond S Silan, Ivoclar) Empress Veneers mit Syntac Classic (Ivoclar Vivadent) und Variolink II (Ivoclar Vivadent) vorgenommen.
  • Ausführliche und detaillierte Besprechung des ästhetischen Ergebnisses mit dem Patienten.
  • Abschlusskontrolle sämtlicher funktioneller und ästhetischer Parameter.
  • Nachkontrolle und Erhebung der Abschlussbefunde.
  • Aufnahme in das Nachsorgeprogramm (Recallintervall halbjährlich).

Diskussion

In dem vorliegenden Fall handelt es sich um eine aufwendig ästhetisch-rekonstruktive Rehabilitation1,2, mit deren Ergebnis sich der Patient vollumfänglich zufrieden zeigt. Seitens des Behandlers wurde eine Verlängerung der klinischen Kronen der Oberkieferfront (prothetisch) mit einhergehender Korrektur der Eckzahnführung (additiv in Form eines Table Top-Veneers an 33) sowie eine Auflösung der Kopfbisssituation, um die Unterkieferfront wieder „einfangen“ zu können, angeregt.3

Aufgrund der bereits vorangegangenen rehabilitierten Seitenzahnbereiche im Mai 2011 konnte mit der abschließenden prothetisch-ästhetischen Rekonstruktion der Oberkieferfront sofort begonnen werden. Die Rehabilitation des Frontzahnbereichs mit Presskeramikveneers geschah auf Anraten des Behandlers.4,5 Alternativ wäre die Behandlung ausschließlich mit Komposit oder kombiniert mit Veneers und Komposit durchführbar gewesen.6 Die gegenüber Keramik verminderte Abrasionsresistenz und einem damit verbundenen zyklischen Erneuerungsbedarf der Kompositrestaurationen sprachen wiederum für die prothetische Versorgung. Zudem zeichnet sich Keramik durch bessere biologische (Plaqueakkumulation) und materialspezifische (Farbtransluzenz und Beständigkeit) Eigenschaften gegenüber Komposit aus. Somit war auch angesichts des noch jungen Alters des Patienten und dem Wunsch einer langfristig ästhetischen Versorgung Rechnung getragen.1,4 Einem regelmäßigen Recall steht der Patient sehr aufgeschlossen gegenüber.

Abschließend betrachtet stellt sich das Behandlungsergebnis auch für den Behandler in ästhetisch-rekonstruktiver Hinsicht als Erfolg dar. Die Prognose ist aufgrund der vorrangig sanierten Seitenzahnbereiche aus biologischer Sicht (Präparation Seitenzähne im Teilkronendesign zur Schonung der Zahnhartsubstanz) sowie der programmierten Eckzahnführung aus funktioneller Sicht7 betrachtet, als positiv zu werten. Parodontal liegen keine Entzündungen vor. Der Patient ist völlig gesund.

Die häusliche Mundhygiene wird sehr gewissenhaft betrieben. Das Tragen der Nachtschiene erhöht die Sicherheit und bietet Schutz vor Überlastung in Stressphasen. Das exzessive Kaugummikauen wird vom Patienten in Zukunft durch Selbstbeobachtung auf ein Minimum reduziert bleiben.

Schlussbefunde

Funktionsstatus

Die manuelle und klinische Funktionsanalyse ergab keinen auffälligen Befund. Für die dynamische Okklusion wurde eine Front-Eckzahn-gestützte Variante programmiert. Die manuelle Führung ergab weiterhin eine Abweichung in maximaler Interkuspidation (ohne Führung) und zentraler Kondylenposition (mit Führung). Keine Krepitationsgeräusche der Gelenke, unauffällige Öffnungs- und Schließbewegungen.

Rote Ästhetik

Es zeigen sich stabile und gesunde Weichgewebsverhältnisse nach abgeschlossener prothetischer Behandlung (Abb. 21). Die leichte Irritation der Gingiva an Zahn 22 ist auf ein mechanisches Trauma beim Entfernen der Kompositüberschüsse zurückzuführen.

Weiße Ästhetik

Zahnlänge: Die Oberkieferfront findet der Behandler nun ausreichend lang und wird auch vom Patienten nach anfänglicher Skepsis mit Begeisterung angenommen. Das entspannte Lächeln zeigt ca. 10 mm der Frontzahnreihe (Abb. 20). Der Schneidekantenverlauf folgt der Konkavität der Unterlippe. Zahnform: Die rechteckige Zahnform wurde in die definitive Sanierung übernommen, lediglich die distalen Randleisten an 11 und 21 wurden etwas konvexer gestaltet. Die Veneeroberflächen wurden mit horizontalen und vertikalen Texturen versehen und verhelfen den Restaurationen dadurch zu einem natürlichen und ansprechenden Erscheinungsbild (Abb. 22).

Dentalstatus

Die additiv an 33 aufgebaute Eckzahnführung genügt nun den funktionellen (laterale mediotrusive Bewegungen) und ästhetischen Ansprüchen. Die ursprüngliche anatomische Kauflächenstruktur wurde durch die prothetische Sanierung wiederhergestellt. Zahnfarbe: Durch das vorrangige In-Office-Bleaching konnte eine ansprechende Aufhellung der Oberkieferfront erreicht werden. Zahnfarbe: Die Auswahl der Zahnfarbe erfolgte auf Anraten des Behandlers und mit Einverständnis des Patienten (VITA-Skala A1). Zahnstellung: Der OK-Front-Überbiss wurde auf drei Millimeter vergrößert. Die Abbildungen 23 bis 28 zeigen das Follow-up nach vier Jahren. Leichte Rötungen des marginalen Gingivasaumes und Blutungspunkte sind auf die unmittelbar vorangegangene professionelle Zahnreinigung zurückzuführen.

Die vollständige Literaturliste gibt es hier.

Dieser Beitrag ist in der ZT Zahntechnik Zeitung 10/17 erschienen.

Produkte
Mehr Fachartikel aus Zahntechnik

ePaper