Zahntechnik 07.09.2015

Monolithische Geschwister

Jeder Patient, der die Zahnarztpraxis mit dem Wunsch nach einem schöneren Lächeln aufsucht, möchte in der Regel einen möglichst komplikationsfreien, schnellen und einfachen Lösungsvorschlag. IPS e.max CAD LS2 und Zenostar ZrO2 für die monolithische Fertigung individueller Restaurationen bieten hierbei Unterstützung, den Traum Wirklichkeit werden zu lassen.

Dank der Lithiumdisilikat-Keramik (LS2) IPS e.max® CAD in Verbindung mit einem CAD/CAM-System (hier CEREC®-System von Sirona, Deutschland) ist es möglich, die Bisshöhe und den Zahn­bogen ästhetisch und funktionell innerhalb eines einzigen Tages zu sanieren. Für das Einartikulieren verwenden wir die T-Scan®-Technologie (Tekscan, USA) und erzielen hiermit optimale Ergebnisse. Bisher standen wir vor einem zeitlichen Problem, wenn ein Lückenschluss im Seitenzahngebiet an­gestrebt war und die Patienten eine Implantattherapie ablehnten. Die Lösung sind in solchen Fällen Zirkoniumoxid-Brücken. Um unsere Patienten binnen weniger Stunden – maximal binnen zwei Tagen – behandeln zu können, suchten wir nach einer Möglichkeit, die das Behandlungsverfahren beschleunigt beziehungsweise vereinfacht. Angesichts der Ergebnisse wissenschaftlicher Studien, die die Unterschiede der Oberflächeneigenschaften und Abrasion verschiedener polierter ZrO2-Restaurationen (monolithisch) untersuchten, haben wir uns entschlossen, mit dem Zenotec® CAD/CAM-System von Wieland zu arbeiten. Damit können wir auch größere Zirkoniumoxid-Brücken schleifen.

Fallbeschreibung

Im dargestellten Fall handelt es sich um eine 60-jährige Patientin. Die Dame war im Frontzahnbereich mit metallkeramischen Kronen und im Seitenzahngebiet mit Brücken versorgt. Sie beklagte die Farbe und die Länge der Zähne. Sowohl beim Sprechen als auch beim Lächeln blieben die Zähne vollständig verdeckt (Abb. 1–3). Die Patientin wünschte sich ein strahlendes Lächeln in „Hollywood-Weiß“. Eine implantatprothetische Versorgung zum Lückenschluss im Seitenzahnbereich lehnte sie ab. Somit fiel die Wahl hier auf vollkeramische Brücken. Geplant wurden eine Brücke auf den Zähnen 23 bis 26, eine Freiendbrücke auf den Zähnen 33 bis 35 mit Anhänger 36 und eine Brücke auf den Zähnen 45 bis 47. Das Weichgewebe sah ungesund aus, was hauptsächlich auf die Wirkung der Metallkeramikrestaurationen zurückzuführen war. In Abbildung 4 ist ersichtlich, dass eine Erhöhung der Bisslage notwendig war. Mithilfe des Bleach-Farbschlüssels entschied sich die Patientin für die Farbe Bleach BL2 ohne zusätzliche Anpassungen mit dunkleren Farbtönen. Wir entschlossen uns, zur Herstellung der Zenostar®-Brücken die uneingefärbte Farb­variante und IPS e.max CAD LT-Blöcke in der Farbe Bleach BL2 zu verwenden (Abb. 5). Normalerweise verwenden wir zur Her­stellung dreigliedriger Brücken bis zum zweiten Prämolaren immer IPS e.max CAD. In diesem Fall mussten wir jedoch viergliedrige Brücken und eine Freiendbrücke im Seitenzahnbereich herstellen; diese Anwendungen ge­hören nicht zum Indikationsbereich von IPS e.max CAD.

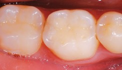
Nach dem Entfernen der alten Versorgungen wurden die Zähne 21, 23, 35, 44 und 45 mit FRC Postec®-Wurzelstiften aus glasfaserverstärktem Composite und Com­posite-Aufbauten aus MultiCore® Flow behandelt. Danach ersetzten wir alle Einzelversorgungen mit Kronen aus IPS e.max CAD. Zu deren Herstellung verwendeten wir das CEREC MCXL CAD/CAM-System und IPS e.max CAD LT-Blöcke in der Farbe BL2 (Mal­technik). Die Bisshöhe wurde am gleichen Tag angehoben und mit Telio® CAD-Brücken provisorisch stabilisiert. Die unteren Frontzähne wurden mit Veneers aus IPS e.max CAD (Maltechnik) versorgt. Vor der Eingliederung der provi­sorischen Telio CAD-Brücken mit Telio CS Link wurden Abformungen (Virtual® 380) vorgenommen. Die Registrierung der neuen Bisslage erfolgte mit Virtual CADbite-Silikonmaterial. Zur Herstellung der Brücken wurden der Wieland-Scanner und eine Zenotec mini-Fräseinheit verwendet. Zur Konstruktion der Restaurationen diente die 3Shape-Software (Abb. 6 – 8). Für die Erarbeitung der Brücke 23 bis 26 wurden der Eckzahn sowie der erste und zweite Prämolar des ersten Quadranten gespiegelt; der erste Molar wurde mittels Daten aus der 3Shape-Bibliothek konstruiert. Die Gestaltung des Molaren war auf den ers­ten Blick detailliert und scharf umrissen. Eine zusätzliche manu­elle Anpassung der Fissuren war nicht notwendig. Nach dem Fräsen wurden die Brücken in einem Programat® S1-Sinterofen gesintert und danach mit den Malfarben des Zenostar Art Modules in der Maltechnik individualisiert. Schließlich erfolgte die Politur der okklusalen Kontaktpunkte (Abb. 9).

Am zweiten Tag wurden die temporä­ren Telio CAD-Brücken entfernt und die Zähne mit chlorhexidinhaltiger Cervitec® Liquid-Spüllösung gereinigt. Die Einprobe erfolgte problemlos ohne zusätzliche Anpassungen. Die Restaurationen wurden mit Ivoclean® gereinigt und mit Monobond® Plus silanisiert. Nach einer  Vorbehandlung der Präparationen mit Multilink® Automix Primer A + B konnten die Restaurationen mit Multilink Automix-Befestigungsmaterial (Farbe Yellow) eingegliedert werden. Nach dem Vorhärten mit einem Bluephase®-Lichthärtungsgerät und dem anschließenden Entfernen der Überschüsse wurden die Restaurationen unter mehrmaliger Anwendung des Turbo-Programms permanent befestigt. Die okklusalen Kontaktpunkte und die Artikulation prüften wir mithilfe eines T-Scan-Ge­rätes und polierten danach die Okklusionsflächen (Abb. 10 und 11).

Fazit

Zwischen den Zenostar Zirko­nium­oxid-Brücken und den IPS e.max CAD-Kronen besteht ein geringfügiger Helligkeitsunterschied. Deshalb würden wir zukünftig in solchen Fällen das Zenostar-Gerüst vor dem Sinterprozess mit dem Zenostar Color Zr-Einfärbe­liquid einfärben und so die Hel­ligkeitswirkung angleichen. Die Alternative wäre, eine bereits voreingefärbte Disc zu verwenden, statt die Farbe im Nachhinein mittels Maltechnik zu korrigieren. Für die Patientin ist mit dem strahlenden Lächeln ein Wunsch in Erfüllung gegangen (Abb. 12 und 13). Aus unserer Sicht konnten wir mit der 3Shape-Software die Arbeit effizient ausführen. Die Zahn­formen ließen sich einfach kopieren. Ein erster Vorschlag bezüg­-lich der Gestaltung der Okklusionsflächen der seitlichen Zähne stand unmittelbar zur Verfügung und konnte schnell sowie vorhersagbar angepasst werden. Die Ergebnisse waren auch nach dem Fräsen mit der 4-Achsen-Fräsmaschine sowie auf dem Monitor glatt an der Oberfläche und mit klar konturierten Fissuren. Die Restaurationen konnten unverzüglich eingefügt werden und erforderten keine weiteren Anpassungen. In der klinischen Anwendung zeigen monoli­thische Zirkoniumoxid-Restaurationen eine ebenso hohe, wenn nicht gar reduzierte Abnutzung des Zahnschmelzes des Antagonisten im Vergleich zu keramischen Restaurationen. Durch den Einsatz monolithischer Restaurationsverfahren können gewisse Behandlungsfälle innerhalb eines Tages abgeschlossen werden. Wenn wir uns die aktuellen Vergleichsstudien zu mono­lithischen Zirkoniumoxid-Kronen und deren Abrasionseigenschaften im Vergleich mit anderen Ke­ramikwerkstoffen und mit natür­lichem Zahnschmelz vor Augen führen, haben wir uns für eine sinnvolle und funktionelle Lösung entschieden (Enamel wear caused by monolithic zirconia crowns after 6 months of clinical use – T. Stober, J.L. Bermejo, P. Rammelsberg, M. Schmitter).

Kontakt:

MUDr. Petr Hajný
Nerudova 9
118 00 Prag 1
Tschechische Republik
cerec.hajny@email.cz

Mehr Fachartikel aus Zahntechnik

ePaper