Zahntechnik 01.11.2016
„One Abutment at one time“ – die Aufgaben des Zahntechnikers
share
Die Bereitstellung von individuellen, CAD/CAM-gefertigten endgültigen Abutments in der ersten prothetischen Sitzung, um diese dann bereits endgültig eingliedern zu können und nicht mehr entfernen zu müssen, ist eine lösbare Herausforderung für den innovativen Zahntechniker und gewinnt zunehmend an Bedeutung.
Dieser Therapieansatz ist mittlerweile durch die Literatur belegt und kann viele Vorteile mit sich bringen. Bei dieser Vorgehensweise ist aber die Zusammenarbeit von Zahntechniker und Behandler von großer, vielleicht sogar entscheidender Bedeutung. Erst die harmonische interdisziplinäre Ergänzung ermöglicht den Erfolg. Dies ist umso verständlicher, da bei dieser Methodik eine prothetische Versorgung – ganz gleich welcher Art – schon unmittelbar nach der Implantation zur Verfügung stehen muss und damit die Zahntechnik gleich von Anfang an mitarbeiten sollte (Tab. 1).
Tab. 1: Der Zahntechniker ist bei einer Implantatbehandlung mehrfach gefordert.
Material und Methode
Die „One Abutment at one time“-Methode etabliert sich immer mehr im implantologischen Behandlungsgeschehen, zumal viele Vorteile auch im zahntechnischen Labor in dieser Methodik liegen. Es bedeutet aber auch, dass ein langzeitprovisorischer oder bereits der endgültige Zahnersatz schon während der Freilegung vorliegt und eingegliedert werden kann.
Diese Vorgabe stellt eine hohe Herausforderung für den Zahntechniker dar, dem somit ein unvergleichbar wichtiger Teil zum Gelingen dieser Therapie zukommt. Von interdisziplinärer Zusammenarbeit darf hier nicht nur gesprochen werden, sie muss intensiv gelebt werden. Diese dann gut aufeinander abgestimmte Kooperation kann die vertrauensvolle Bindung einer Praxis an ein zahntechnisches Labor stärken und sichern.
Das Bewusstsein, dass die Durchtrittsstelle des knöchernen Anteils eines Implantats in die Mundhöhle, also die Mukosamanschette, einen lange unterschätzten, äußerst wichtigen Teil des periimplantären Gewebes darstellt, hat sich in letzter Zeit immer mehr durchgesetzt. Gerade auch im Hinblick auf die Vermeidung einer Periimplantitis kann dies ein wichtiger Faktor sein. Die Zahntechnik mit den exakt aufeinander abgestimmten Vorgehensweisen ist essenziell und stellt auch einen Grund dar, warum Zahntechniker und Implantologe immer häufiger im Team auftreten.
Bereits bei vorliegender Indikation für eine Implantatbehandlung geben wir nach der Zahnaufstellung die richtige prothetische Position des Implantates oder der Implantate an. Bekanntermaßen ist die korrekte Position des Implantates das Geheimnis für den Langzeiterfolg und einer ansprechenden Ästhetik. Dabei werden vom Labor angefertigte Schablonen zur Übertragung in die Mundsituation zuhilfe genommen. Auch „einfache“ Orientierungsschablonen, es muss nicht immer voll navigiert vorgegangen werden, finden zu Recht immer mehr Anerkennung. Viele vorbereitende Zahnersatzmaßnahmen werden bereits jetzt von uns eingeleitet, um nach der Implantatoperation mit nur wenigen, nicht zeitintensiven Einarbeitungen die Eingliederung der Prothetik auf die Implantate bei der ersten prothetischen Sitzung zu ermöglichen. Dabei kann der herkömmliche, analoge, wie auch der durchgehend digitale Workflow zum Einsatz kommen. Es ist zweifellos notwendig, dass im Labor auch Kenntnisse der biologischen Regeneration und des Remodelings des Weichgewebes bestehen. Die wissenschaftlich gesicherte Erkenntnis über die Dimension der biologischen Breite über Implantaten mit circa 3 bis 4 mm bestimmt die marginale Gestaltung von auf Implantaten befestigtem Zahnersatz und auch die Pontikausdehnungen, die Basis schlechthin für die zahntechnischen Arbeiten.
In dem Praxislabor der Autoren werden demnach Präparationsgrenzen von Abutments stur entsprechend diesen gesicherten Kenntnissen angelegt, nicht nur im nicht sichtbaren Bereich des Seitenzahnes, sondern auch in ästhetisch wichtigen Regionen wie der Oberkieferfront.
Nunmehr sind wir im Labor aber auch gefordert, da aufgrund dieser Erfahrungen bereits alle Informationen für die Anfertigung der individuell hergestellten Abutments, eines Kunststoff-Langzeitprovisiorums, eines Einsetzschlüssels und des endgültigen Zahnersatzgerüstes – sei es aus Gold, Titan, Zirkondioxid oder einer Nichtedelmetalllegierung – vorhanden sind. Durch die bereits einartikulierten Modelle kann die Ausrichtung der Abutments erfolgen. Die genaue Positionierung wird mit dem Einsetzschlüssel kontrolliert und gesichert. Ohnehin sollten alle Arbeitsschritte in dieser Phase im Labor mit extremer Sorgfalt erfolgen, da ansonsten bei nicht exakter Passform fast die gesamte Arbeit neu erstellt werden müsste.
Einfache laborhergestellte Langzeitprovisorien und die definitiv nach CAD/CAM-Muster angefertigten Gerüste werden von Anfang an den Behandlern zur Verfügung gestellt. Diese Langzeitprovisorien können in traditioneller Art und Weise unschwer aus Methylmethacrylat, Composite oder durch Fräsung mit entsprechendem Material (z. B. PMMA) angefertigt werden.
An diesen neuen Provisorien, die bereits die Form des endgültigen Zahnersatzes besitzen sollen, lassen sich leicht Veränderungen intraoral oder im Labor vornehmen. Durch das Abtragen oder Aufbringen von Material kann eine Modifikation angestrebt werden, die dann beim endgültigen Zahnersatz berücksichtigt werden kann. Unangenehme Manipulationen an definitivem Zahnersatz bzw. an der Keramik im Labor entfallen auf diese Weise. Während der Adaptationsphase des Patienten ist eine enge Zusammenarbeit von Techniker und Zahnarzt dringend erforderlich. Diese Zusammenarbeit stützt erneut die Bindung des zahntechnischen Labors mit dem Behandler. Damit kann ein häufiges Wechseln von Aufbauteilen im Mund entfallen und die Vorteile des „One Abutment at one Time“ Konzeptes können zum Tragen kommen.
Bei herkömmlicher Vorgehensweise während der Herstellung eines aufwendigen implantatgetragenen Zahnersatzes werden Abutments im Zuge von Einproben und provisorischen Versorgungen mehrmals eingebracht und entfernt. Eine günstige Regeneration des Weichgewebes ist unter diesen Umständen fraglich.
Anhand von zwei unterschiedlich gelagerten Fällen sollen im Folgenden die zahntechnischen Schritte bei dieser prothetischen Versorgungsmethode gezeigt werden. Selbstverständlich ist ein digitales Vorgehen gut möglich. Es soll hier aber bewusst in diesem Bericht darauf weniger eingegangen werden. Dies kann zu einem späteren Zeitpunkt getrennt erfolgen.
Fall 1 – Freiendlücke
Zunächst sollen das Vorgehen im zahntechnischen Labor und die dazu notwendigen Arbeitsabläufe anhand einer Freiendlücke im ersten Quadranten dargestellt werden (Abb. 1). Es kann dabei gezeigt werden, dass selbst bei ungünstigen knöchernen Voraussetzungen, bei denen augmentative Maßnahmen im Sinne eines Sinusliftes erforderlich sind, mit der Fertigstellung der definitiven Customized Abutments zur Freilegungsoperation ohne Präzisionsverlust im Labor gearbeitet werden kann.
Vor Behandlungsbeginn werden zwei übliche einfache Alginatabformungen zur Herstellung von Superhartgipsmodellen vorgenommen. Einerseits ist die Ausgangssituation eingefroren und anderseits können z. B. mit Silikonwällen weitere notwendige Informationen gewonnen werden. Eine provisorische Aufstellung der zu ersetzenden Zähne in Idealposition dient zur Anfertigung einer OP-Schablone (Abb. 2). Schon während der Implantatoperation kann der Zahnarzt einen Compositeschlüssel für das Labor erstellen. Dieser Schlüssel gibt die Implantatpositionen durch Fixierung an den mesialen Nachbarzähnen genau wieder (Abb. 3). Eine Ummantelung von mehreren Zähnen gewährt die sichere Übertragungsmöglichkeit auf das ja schon vorliegende Gipsmodell im Labor. Ungenauigkeiten, die allein schon durch die Abdrucknahme und der Materialeigenschaft nicht zu umgehen sind, werden dadurch vermieden. Während der Einheilungsphase mit der Osseointegration kann im Labor ohne Zeitdruck in dieser mehrmonatigen Zeitspanne die Zahn- bzw. Implantatprothetik hergestellt werden.
Mithilfe des intraoperativen Schlüssels (Abb. 4) können zwei Implantatanaloge im Modell fixiert werden, die genau die klinische Situation wiedergeben (Abb. 5a und b). Der exakte Sitz des Compositeschlüssels kann mit Vergrößerungshilfen nach Reposition auf den Gipszähnen kontrolliert werden (Abb. 6). Die weitere Herstellung des Meistermodells mit Fixierung der Analoge oder Zahnfleischmaske erfolgt in üblicher Art und Weise (Abb. 7a und b). Auf der Grundlage dieser Modellsituation werden die definitiven, individuell gefrästen Abutments angefertigt. Die Kenntnisse der oben beschriebenen Zahnfleischdicke um Implantate finden bei der Festlegung der Präparationsgrenze Berücksichtigung (Abb. 8). So wird im Frontzahnbereich die Präparationsgrenze ca. 2 mm, im Seitenzahnbereich ca. 3–3,5 mm über dem Implantat angelegt, um der bekannten Dicke der Mukosa um Implantate Rechnung zu tragen. Eine simpel angefertigte Einsetzhilfe aus Pattern Resin erleichtert das spätere intraorale Eingliedern und bietet zudem eine Kontrolle für die richtigen Positionen (Abb. 9). Darüber hinaus werden die bei dem endgültigen Einschrauben der Abutmentschrauben aufkommenden Drehmomente nicht auf das frisch osseointegrierte Implantat übertragen.
Wir können unschwer Kunstoffprovisorien auf den Originalteilen anfertigen, die als Langzeitprovisorien für die Gewöhnungsphase helfen können (Abb. 10). Diese Langzeitprovisorien sind geringfügig außer Okklusionskontakt gearbeitet, um eine sukzessive Lasteinleitung auf die Implantate anzustreben. Dem Patient wird dabei die Adaptation an den neuen Zahnersatz mit der funktionellen Gewöhnungsphase ermöglicht. Zudem kann die anatomische Form des Zahnersatzes bei der Ausarbeitung des endgültigen Zahnersatzes zielführend sein. Neben den Langzeitprovisorien wird in dieser Zeit auch das definitive Gerüst, in diesem Fall aus NEM-Material, durch Fräsung auf der Grundlage der Datensätze der schon vorliegenden endgültigen Abutments erstellt (Abb. 11).
Dieses Gerüst bleibt zunächst unverblendet. Die exakte Passform ist gewährleistet, da alles bislang Angefertigte auf Originalteilen, also dem endgültigen Abutment, erarbeitet wurde. Somit werden vom Labor zur Eröffnung der Implantate ein Einsetzschlüssel, das Langzeitprovisorium und das definitive Gerüst zur Verfügung gestellt (Abb. 12). Der Patient kann mit den Langzeitprovisorien und bereits festen Zähnen die Praxis verlassen.
Die erste prothetische Sitzung ist auch gleichzeitig die Freilegungsoperation nach der Osseointegrationsphase. Die bereits vorliegenden CAD/CAM-erstellten Abutments werden eingeschraubt. Diese können endgültig mit Drehmomentratsche und eingesetzten Pattern Resin-Schlüssel eingeschraubt werden und müssen in der Folgezeit während des weiteren prothetischen Ablaufs nie mehr entfernt werden (Abb. 13a bis c). Sie kommen nicht mehr zurück ins Labor. Über das finale Gerüst (Abb. 14) wird ein Überabdruck, ähnlich bei den Kombiarbeiten, mit z. B. Polyether genommen, der zur Herstellung eines neuen Arbeitsmodelles im Labor dient (Abb.15). Ein neues Modell mit Kunststoffstümpfen ist erforderlich, da die im Mund verbliebenen individuellen Abutments im Labor zur Weiterverarbeitung nicht vorliegen. Durch diese Logistik im Labor kann der prothetische Ablauf vereinfacht werden sowie dem Patienten und den Implantologen können mehrere Sitzungen mit entsprechendem Zeitaufwand erspart werden. Circa sechs bis acht Wochen später zeigen die Mukosaverhältnisse üblicherweise reizfreie Zustände. Dies wird ermöglicht, da die Mukosamanschette durch ein mehrmaliges Entfernen und Einsetzen von Aufbauteilen vollends entfällt und damit in keiner Weise die Regeneration des Weichgewebes gestört wird (Abb.16).
Die Behandlung kann mit der mittlerweile in aller Ruhe und bei genügend Zeit verblendeten Brücke abgeschlossen werden. Es muss nur das Langzeitprovisorium entfernt werden und die fertige definitive Brücke eingesetzt (Abb. 17). Der gesamte prothetische Behandlungsablauf hat sich enorm verkürzt und auch für den Zahntechniker vereinfacht.
Fall 2 – Einzelzahnlücke
OberkieferfrontWährend dieses Vorgehen im Seitenzahnbereich in ästhetisch weniger entscheidenden Regionen nachvollziehbar erscheint, soll im zweiten Fall gezeigt werden, dass es auch im sichtbaren Bereich der Oberkieferfront angewendet werden kann. Grundlage ist das Wissen über die sich einstellende biologische Breite von circa 3 bis 4 mm (siehe zuvor) im Bereich von Implantaten. Im Labor können im ästhetisch anspruchsvollen Bereich die Kronenränder demnach circa 2 mm über der Implantatschulter im girlandenförmigen Verlauf angelegt werden. Die Nachbarzähne bzw. der symmetrisch analoge Zahn dienen dabei als Vorbild. Die Präparationsgrenzen werden in idealer Form zu den natürlichen Zähnen in unmittelbarer Umgebung festgelegt, wodurch dann ein ansprechendes Ergebnis erzielt wird. Ein längeres Ausformen und Übertragen der erreichten Mukosagestaltung im Labor nach aufwendiger individueller Weichgewebsformung im Durchtrittsbereich kann entfallen.
Bei der 52-jährigen weiblichen Patientin musste der Zahn 12 entfernt werden (Abb. 18). Im Zuge der Implantation kann bei Schaltlücken ein Compositeschlüssel für die Übertragung der Implantatposition erstellt werden (Abb. 19). Die Patientin kann mit einem Klebeprovisorium die Einheilungszeit zufriedenstellend überstehen (Abb. 20). Vor Beginn der Behandlung sind Abformungen von der Ausgangssituation genommen worden, mit denen Modelle angefertigt werden konnten.
Mithilfe des intraoperativen Schlüssels, in dem ein herkömmlicher Abdruckpfosten eingefasst ist (Abb. 21), wird im zahntechnischen Labor das Gipsmodell, wie zuvor bereits beschrieben, hergestellt (Abb. 22). Weitere Abdrücke mit erneuten Modellherstellungen können entfallen.
In der Einheilungzeit kann im Labor in aller Ruhe das endgültige Abutment sowie das definitive Gerüst, in diesem Fall aus Zirkondioxid nach CAD/CAM-Prozedere angefertigt werden (Abb. 23). Auch das Langzeitprovisorium, geringfügig außer Kontakt gearbeitet, und der Einsetzschlüssel werden in dieser Phase für die Weiterbehandlung dem Zahnarzt durch das zahntechnische Labor zur Verfügung gestellt (Abb. 24). In Abbildung 25 ist der klinische Situs direkt vor der Freilegungsoperation zu sehen. Bei der Implantateröffnung bzw. der bei diesem Konzept ersten Sitzung nach Implantation wird das endgültige Titanabutment mithilfe des Pattern Resin-Schlüssels mit Drehmomentratsche definitiv eingeschraubt (Abb. 26). Die geringfügig unter dem Gingivasaum versteckte Präparationsgrenze des Abutments und damit des Kronenrandes lassen sich in Abbildung 27 gut erkennen. Eine Ausformung des gewünschten Immergenzeprofils wird durch die natürliche Abutmentgestaltung schon durch das Labor erreicht.
Mithilfe des Überabdruckes (Abb. 28) mit dem Zirkongerüst und des neuen Modelles kann im Labor die endgültige Krone mit der Verblendung fertiggestellt werden. Der Patient ist mit dem im Labor mit einfachen Mitteln hergestellten Langzeitprovisorium schon jetzt suffizient versorgt (Abb. 29).
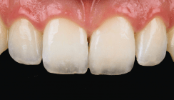
Mehrere Wochen später ist die Laborarbeit beendet und die definitive Krone kann eingegliedert werden (Abb. 30 und 31). Das Arbeitsaufkommen im Labor ist damit erheblich vereinfacht und auch sicherer geworden.
Zusammenfassung
Der Erfolg einer implantatologischen Behandlung wird durch die Prothetik bestimmt. Diese hier vorgestellte Methodik erleichtert die zahntechnische Arbeit maßgeblich, allerdings nur unter der Voraussetzung, dass der Zahntechniker Kenntnis über die biologischen Grundlagen in Zusammenhang mit Implantaten und dem umgebenden Weichgewebe besitzt. Ebenso ist eine enge, harmonische interdisziplinäre Zusammenarbeit zwischen Zahntechniker und Behandler unabdingbar, die zudem eine langfristige Kundenbindung für den Zahntechniker fördert.

Pola For Aligners
TRIOS 6
CYTECpro + CONTECpro
BeautiLink SA
mμILLUSION Color Malfarben und -pasten
breCAM.multiCOM+
PALA Mill&Cast
Luxatemp MaxProtect
breCAM.base
Leaf Expander® Hybrid