Zahntechnik 01.08.2018
Vom Prototypen zur definitiven Full-Arch-Brücke auf vier Implantaten
Die Patientin stellte sich mit dem Wunsch nach einer Grundsanierung ihrer Mundsituation in der Praxis Dr. Iacob & Iacob vor. Ihr Restzahnbestand wies im Oberkiefer eine hohe Mobilität (Grad II – III) auf. Folglich machte sie sich Gedanken über mögliche Behandlungsmethoden und wünschte sich „feste Zähne“ und ein optimiertes ästhetisches Erscheinungsbild. So ist sie per Internet auf ein Versorgungskonzept auf vier Implantaten gestoßen, welches die Zahnarztpraxis in Zusammenarbeit mit dem Zahnlabor Nando Aeschlimann in Zürich erfolgreich anbietet.
Nachdem die ausführliche Informations- und Beratungsphase abgeschlossen war und festgestellt wurde, dass der allgemeine Gesundheitszustand des Knochens die Anforderungen für eine Implantation erfüllte, wurde detailliert geplant, und die Arbeit konnte Schritt für Schritt umgesetzt werden. Gewählt wurden vier InterActive Implantate (Implant Direct) mit einer Konusverbindung mit 12 Grad Neigung und internem Sechskant. Die Implantate verfügen über ein selbstschneidendes zweifaches Gewinde und vierfaches Mikrogewinde sowie vertikale krestale Rillen. Die beiden posterioren Implantate wurden entlang der medialen Wand des Sinus maxillaris mit einer distalen Neigung von etwa 30 Grad nach distal gesetzt, um von Anfang an die unerwünschte Knochenaugumentation zu vermeiden. Die Implantatachsen der beiden anterioren Implantate zeigten, entsprechend der Anatomie des Oberkiefers, eine Neigung von circa 20 Grad nach labial (Abb. 1 und 2). Weil die Primärstabilität von mindesten 35 Ncm nicht erreicht wurde und die Implantate nicht sofort mit einer provisorischen, festsitzenden Arbeit belastet werden konnten, versorgte man die Patientin mit einer Immediatprothese.
Planung und definitive Versorgung
Die Planung und Vorbereitung der definitiven Arbeit wurde zu 50 Prozent digital durchgeführt. Die Abformung erfolgte in diesem Fall konventionell mit Abformpfosten auf den Multi-Unit Abutments (Abb. 3). Nach der Abformung wurden die Abutments mit den mitgelieferten Komfortkappen versorgt. Die intraorale digitale Abformung auf Multi-Unit Abutments ist mit den Scanadaptern ebenfalls möglich und kann in diesem Fall direkt per 3Shape Communicate oder Sirona Connect zur Weiterbearbeitung an das Zahnlabor übermittelt werden. Zur Modellherstellung wurden das Abutment-Analog für Multi-Unit Abutments genutzt (Abb. 4). Dieses Analog lässt sich auch für den 3-D-Druck verwenden.
Mittels Prototyp/Mock-up, größtenteils aus PMMA, wurde die Form der definitiven Arbeit nach ästhetischen Gesichtspunkten in enger Zusammenarbeit mit der Patientin individuell festgelegt. Des Weiteren wurde in dieser Sitzung das basale Profil ausgeformt und wichtige Funktionen wie Phonetik, Biss und Funktionsbewegungen wurden sorgfältig in den Protoypen eingearbeitet.
Schlussendlich erfolgte die Bestimmung der Zahngrundfarbe. Die Gewebefarben wurden für einen möglichst harmonischen Übergang von Prothetik zum Gewebe mit den entsprechenden Farbmustern protokolliert. Der Prototyp zeigt exakt, wo am Gewebe die Farbe genommen werden soll. Deutlich sichtbar war auch die unerwünschte Position der beiden Zugangslöcher für die Schraubenkanäle an den lateralen Inzisiven. Die PMMA- Vorlage wurde auf geradem provisorischen Titanabutment hergestellt.
In diesem Fall bietet sich ideal das SMARTbase System an: Mit einem raffinierten Spezialschraubenzieher lassen sich die mitgelieferten Schrauben mit einer Abwinklung von 25° eindrehen. Somit muss der SMARTbase Zylinder nicht axial auf das Multi-Unit Abutment geschraubt werden, und der Schraubenzugangskanal kann an die ästhetisch und funktionell gewünschte Stelle verlegt werden. Ausgemessen wird die mögliche Angulation des Zugangskanals zur Schraube mit dem Werkzeug DAP.
Der Laborscan erfolgte hier mit dem 3Shape-Scanner (Abb. 5). Anschließend wurde die Brücke analog zum Prototypen digital reproduziert und bis ins Detail ausgeformt. Die SMARTbase Zylinder wurden virtuell positioniert und die Zugangskanäle durch die Anguliermöglichkeit ideal angelegt (Abb. 6). Dank der Off-Axis-Option der neuen SMARTbase Zylinder konnte das Austrittsloch beim Molaren im 2. Quadranten ideal nach okklusal verlegt werden (Abb. 7). Die Zugangslöcher der anterioren Implantate konnten, ohne die Verwendung abgewinkelter Multi-Unit Abutments, hinter die Inzisalkante nach palatinal, in den gewünschten Bereich verlegt werden. Abgewinkelte Multi-Unit Abutments sind schnell etwas länger als gewünscht. Sitzt das Implantat nicht tief genug, kann ein abgewinkeltes Abutment den gedeckten Gewebebereich „verlassen“ und ungewollt in der sichtbaren Zone freiliegen. Das Risiko der Sichtbarkeit des Multi-Unit Abutments in der ästhetischen Zone kann unter der Verwendung der SMARTbase Zylinder auf ein Minimum reduziert werden, da die Abwinklung im Inneren des SMARTbase Zylinders stattfindet (Abb. 8 und 9).
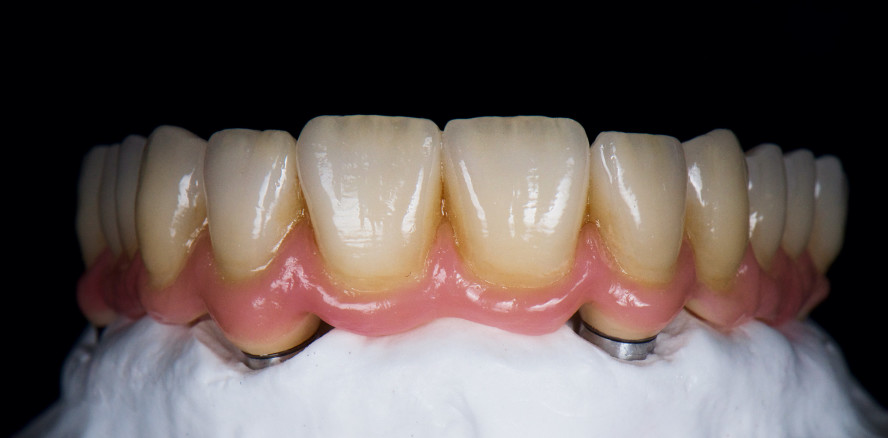
Um bis ins Detail ein natürliches Erscheinungsbild gemäß der Vorstellung der Patientin gewährleisten zu können, wurde das inhouse hergestellte Zirkongerüst (DD Bio ZX2, Dental Direkt – Biegefestigkeit: 1.200 MPa) labial leicht reduziert und mit der ästhetischen Verblendkeramik Creation ZI-CT (Creation Willi Geller) sorgfältig verblendet.
Die Vorgehensweise mittels Prototyp und die exakte Umsetzung dieser Vorlage erlaubt es in der Regel, wie auch in diesem Fall, die Arbeit direkt und ohne Einprobe mit den SMARTbase Zylindern zu verkleben (Panavia V5, Kuraray Noritake) und fertigzustellen (Abb. 10).
Der Ablauf der Eingliederung verlief reibungslos und das Ergebnis überzeugte den Zahnarzt und den Zahntechniker bis ins Detail (Abb. 11 und 12). Die Patientin war mit ihrem neuen Erscheinungsbild vollends zufrieden (Abb. 13).
Autoren: Nando Aeschlimann, Dr. Florin Jacob
Der Fachbeitrag ist in der ZWL Zahntechnik Wirtschaft Labor erschienen.
Pola For Aligners
TRIOS 6
CYTECpro + CONTECpro
BeautiLink SA
mμILLUSION Color Malfarben und -pasten
breCAM.multiCOM+
PALA Mill&Cast
Luxatemp MaxProtect
breCAM.base
Leaf Expander® Hybrid