Zahntechnik 15.07.2013
Verbundsystem aus Keramik und Polymer bietet neue Optionen
share
Hybridkeramik widersteht hohen Kaubelastungen
Hybrid – das klingt nach neuen Technologien in der automobilen Antriebstechnik. Der Begriff bedeutet laut Duden „Mischung, Kreuzung, Mischform“ und hat griechische Wurzeln. Die generelle Besonderheit liegt darin, dass die zusammengefügten Elemente für sich schon Lösungen darstellen, durch das Zusammenbringen aber neue erwünschte Eigenschaften entstehen können. Von dentalen Restaurationswerkstoffen haben wir gelernt, dass besonders Silikatkeramik schmelzähnliche Eigenschaften und somit eine natürliche Ästhetik bietet. Polymere kennen wir aus der Füllungstherapie (Komposit), die sich mit glaskeramischen Füllkörpern zur Versorgung von mehrflächigen Kavitäten qualifiziert haben. Keramik und Kunststoffe haben ihre festen Einsatzgebiete, besitzen jedoch unterschiedliche Eigenschaften. Aber – zurück zum Hybrid – können sie auch zusammengehen, eine Synergie bilden?
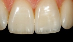
Klinische Fälle Frontzahn-Veneers und Vollkrone aus Hybridkeramik
Auf der Jahrestagung der Deutschen Gesellschaft für Computergestützte Zahnheilkunde (DGCZ) erinnerte Prof. Dr. Werner Mörmann, Zürich, dass die vollkeramische Behandlung mit Digitaleinsatz zu einer weltweit akzeptierten Therapielösung geworden ist. Neben den bewährten Silikat- und Oxidkeramiken für die konservierende und prothetische Versorgung positioniert sich neuerdings die Hybridkeramik, die den ästhetischen und biokompatiblen Nutzen der Silikatkeramik mit den elastischen Eigenschaften des Kunststoffs verbindet. Die Hybridkeramik, z. B. VITA Enamic, basiert auf einer dualen Keramik-Polymer-Netzwerkstruktur. Der Keramikanteil besteht zu 86 Prozent aus einem gitterähnlichen, dreidimensionalen Gerüst aus Feldspatkeramik. In die offene Keramikstruktur sind werkseitig 14 Prozent Polymeranteil eingebracht, der mit der Keramik einen adhäsiven, interpenetrierenden Verbund bildet. Mit einem Elastizitätsmodul von 30 Gigapascal (GPa) besitzt der Werkstoff jene Elastizität, die zwischen Schmelz und Dentin liegt. Die Biegebruchfestigkeit beträgt 144 Megapascal (MPa). Deshalb ist diese „elastische Keramik“ in der Lage, hohe Kaukräfte zu kompensieren, ohne Frakturen auszulösen. Der Werkstoff kann mit dünnen Wandstärken ausgeschliffen werden – Restaurationsränder bis zu 0,3 mm bei hoher Kantenstabilität.
Der weitere „zahnschonende“ Nutzen besteht darin, dass die hybridkeramische Restauration, z. B. ein Inlay oder Onlay, langfristig in situ eine schmelzähnliche Abrasion zeigt. Die Attrition der Okklusalfläche verläuft „parallel“ mit der natürlichen Zahnhartsubstanz. Höhenunterschiede durch Kanten, wie sie bei der abrasionsresistenten Keramik entstehen können und in vier- bis fünfjährigen Intervallen ein intraorales „Schleif-Polieren“ erfordert, treten nicht auf. Die Hybridkeramik eignet sich auch für minimalinvasive Vollveneers sowie für Frontzahnkronen (Abb. 1–8); die ästhetischen Eigenschaften sind aufgrund des warmen Farbtons ausgezeichnet; Individualisierung mit Malfarben ist möglich.
Vor der Befestigung sind Rückstände (Schleif- und Schmierflüssigkeit) durch Abspülen oder Ultraschall von der Hybridkeramik zu entfernen. Als Grundlage für die Retention eignet sich das Aufrauen mit Diamantschleifer, Abstrahlen mit Al2O3-Korn (max. 50 µm, Strahldruck bis 1,0 bar). Anschliessend erfolgt das extraorale Ätzen mit 5 Prozent Flusssäure-Gel (HF, Dauer 60 Sek.). Die Säurerückstände werden mit Spray oder Dampfstrahler, alternativ im fettfreien Ultraschallbad (Aqua dest) entfernt. Zur Individualisierung der Oberflächen eignen sich lichthärtende, methaacrylatbasierte Komposite mit niedriger Viskosität (z.B. Tetric EvoFlow, Ivoclar Vivadent; Filtek Supreme XTE Flowable, 3M ESPE; Clearfill Majesty Flow, Kuraray), zusammen mit geeigneten Haftvermittlern zur Konditionierung. Ferner können auch Verblendkomposite extraoral aufgetragen werden (z.B. VITA VM LC).
Bei der Eingliederung des Veneers (klinischer Fall Devigus) kam angewärmtes, lichthärtendes Komposit (Z250, 3M ESPE) und Syntac Classic (Ivoclar) zum Einsatz, für die Krone dualhärtendes Komposit (Multilink). Die Oberflächen wurden mit Feinkorn-Diamant, Polierscheiben (Soflex) und Gummipolierkörpern (Enamic) bearbeitet. In Abrasionstests zeigte die Hybridkeramik einen „physiologischen“ Substanzverlust auf der Restauration sowie eine geringe Attritionswirkung auf dem Zahnschmelz des Antagonisten. Kausimulationen in Zürich zeigten nach 1,2 Millionen Zyklen Attritionsverluste von 46 µm auf der restaurierten Okklusionsfläche und 27 µm am Antagonisten. Im Zahnbürsten-Abrasionstest blieben Politur und Glanz sehr gut erhalten. Die Hybridkeramik zeichnet sich neben der Elastizität und der geringen Attrition der Zahnhartsubstanz durch die kürzeste Verarbeitungszeit aller untersuchten Materialien in der MCXL-Schleifeinheit (CEREC) aus.
In diesem Zusammenhang ging Mörmann auf Attritionsverluste verschiedener Restaurationswerkstoffe ein. Als physiologischen Substanzabtrag in „Two-Body Wear“-Kausimulationen wurden auf Proben aus exzidiertem Molaren-Zahnschmelz 42 µm und auf dem Zahnschmelz des Antagonisten-Höckers 54 µm Abtrag festgestellt. Bei Hybridkeramik- und Nanokomposit-Proben betrug die Attrition 48 µm und auf dem Antagonistenschmelz 25–30 µm (VITA Enamic, LAVA Ultimate). Aufgrund der höheren Härte zeigen Silikatkeramiken im Kaukontakt geringere Abrasionswerte (Feldspat 24 µm, Lithiumdisilikat 33 µm). Dafür ist der Abtrag auf dem Antagonistenhöcker höher (Feldspat 38 µm, Lithiumdisilikat 62 µm).
Nanokomposit widersteht hohen Kaubelastungen
Den Vorteil der elastischen Eigenschaften nutzt auch das Nanokomposit, vom Hersteller „Nanokeramik“ genannt (Paradigm, LAVA Ultimate, 3M ESPE). Diese Produkte enthalten neben Siliziumoxidfüller (Korngrösse 20 Nanometer [nm]) auch Zirkonoxid-Feinstpartikel (4–11 nm) in einer Polymermatrix. Der Unterschied zu einem Komposit liegt in der Verwendung der Nanotechnologie. Die keramischen Füllkörper bestehen aus monodispersen, nicht aggregierten und nicht agglomerierten Nanopartikeln sowie aus Nanocluster aus Zirkoniumdioxid-Siliziumoxid. Die Polymermatrix ist abrasionsbeständiger als herkömmlicher Kunststoff. Dadurch hat der Werkstoff eine höhere Festigkeit, ist weniger verschleissanfällig und gut polierbar.
Prof. Dennis J. Fasbinder, Universität of Michigan, Ann Arbor, USA, berichtete von seinen langjährigen Erfahrungen mit dem subtraktiv schleifbaren Nanokompositen. Nanokomposit ist nicht HF-ätzbar, Retentionsflächen müssen sandgestrahlt (Al2O3 50 µm, 2 bar Druck), die Restauration silanisiert und adhäsiv befestigt werden. Für die Politur benutzt Fasbinder Baumwollscheiben, durchsetzt mit feinkörnigem Aluminiumoxid (Abb. 9). In-vitro-Ergebnisse bei Belastung bis zum Bruch belegen, dass dieser bei Nanokomposit im Vergleich zu Keramik zeitverzögert eintritt. Eine zehnjährige In-vivo-Studie, die auch Feldspatinlays enthielt (VITA Mark II), zeigte keine Unterschiede in der klinischen Performance. Postoperative Sensibilisierungen wurden nicht beobachtet.
Als Indikationen für Nanokomposit empfehlen sich laut Fasbinder Inlays, Onlays, Endo-Inlay und Endo-Kronen mit zirkulärer Hohlkehlfassung der Restzahnsubstanz (Circumferential ferrule design). Adhäsiv befestigte Lava Ultimate Nanokomposit-Inlays und -Kronen wurden mit Silikatkeramik-Restaurationen (Empress CAD) verglichen. Beide Systeme zeigten sich nach einem Jahr klinisch unauffällig. Im Zahnbürsten-Abrasionstest erfuhr das Nanokomposit einen stärkeren Abtrag als die Silikatkeramik. Bei In-vitro-Versuchen zeigte sich, dass Lava Ultimate unter hoher Belastung mehr Stress ohne Fraktur absorbieren kann als Silikat- und Lithiumdisilikat-Keramik. Dies qualifiziert das Nanokomposit laut Fasbinder besonders für implantatgetragene Kronen. Diese Suprastrukturen zeigten, wenn aus Silikatkeramik gefertigt, bisher eine Neigung zu Frakturen unter Kaudruckbelastung, ausgelöst durch die geringe Eigenbeweglichkeit und die verminderte Taktilität der osseointegrierten Implantatpfeiler.
Abschliessend kann resümiert werden, dass Hybridkeramik und „Nanokeramik“ in der restaurativen Zahnversorgung die Vorteile von Keramik und Kunststoff verbinden und zusätzlich einen weiteren Nutzen schaffen. Die langfristige Bewährung ist durch klinische Langzeitstudien noch zu erbringen.
In Zusammenarbeit mit Manfred Kern, Wiesbaden.
Pola For Aligners
TRIOS 6
CYTECpro + CONTECpro
BeautiLink SA
mμILLUSION Color Malfarben und -pasten
breCAM.multiCOM+
PALA Mill&Cast
Luxatemp MaxProtect
breCAM.base
Leaf Expander® Hybrid