Branchenmeldungen 15.03.2016

Amalgam: Immer noch weitverbreitet in Schweizer Mündern



Amalgam: Immer noch weitverbreitet in Schweizer Mündern

Foto: © artepicturas – Fotolia

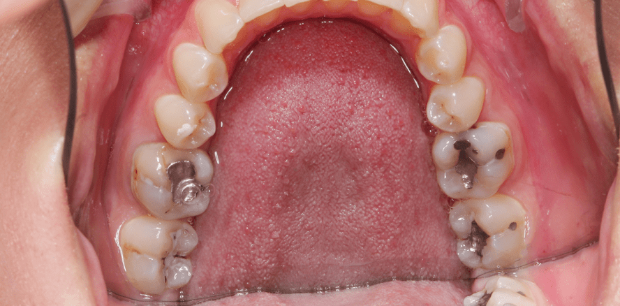
Trotz harscher Kritik befinden sich immer noch rund 10’000 Kilo Amalgam in den Mündern der Schweizer Bevölkerung. Ein generelles Verbot nach dem Vorbild von Schweden wurde 2009 abgelehnt. Zwar sind die im Amalgam enthaltenen Giftstoffe extrem gering, Kritiker schlagen dennoch Alarm.

2009 setzte Schweden ein Zeichen und verbot die Verwendung von Quecksilber und somit auch den Gebrauch von Amalgam. Grund waren die gesundheitlichen Beeinträchtigungen, die man dem Füllungsmaterial nachsagt. Im selben Jahr wollte die Schweiz nachziehen, allerdings wurde dies vom Bundesrat abgelehnt, da es „aus Gründen des Gesundheitsschutzes nicht zu rechtfertigen“ sei. Amalgamkritiker sehen das natürlich anders und fordern aufgrund der toxischen Stoffe, die zu gesundheitlichen Schäden unter anderem in den Nieren und im Nervensystem führen können, ein generelles Verbot. Von der Weltgesundheitsorganisation (WHO) gibt es vorsichtige Entwarnung, die Amalgam als ungefährlich einstuft. Die Menge an Quecksilber, die durch Nahrung, Atmung oder eben solche Füllungen aufgenommen wird, sei zu gering, um wirklichen Schaden im menschlichen Körper anrichten zu können. Insgesamt verringert sich die Menge an Amalgamfüllungen in der Schweiz jedes Jahr aber dennoch um bis zu 350 Kilo, da sich immer mehr Patienten für die optisch ansprechenderen Kunststofflösungen entscheiden. Da das von Schweden angekurbelte EU-weite Amalgam-Verbot noch keinen Anklang gefunden hat, wird sich auch in der Schweiz erst einmal nichts Konkretes hinsichtlich der Verwendung des Füllungsmaterials ändern.

Quelle: beobachter.ch

Mehr News aus Branchenmeldungen

ePaper