Branchenmeldungen 26.11.2019
Digitale Dentaltechnologie lässt Patient und Praktiker glücklich lächeln
Hinter jedem Lächeln steckt eine Geschichte. Dieser Überzeugung folgend, startet Carestream Dental seine globale Kampagne „Story behind the Smile“. Sie stellt anhand konkreter klinischer Fälle digitale Technologien in der Zahnmedizin vor und lässt namhafte Zahnmediziner zu Wort kommen. So berichtet Dr. Miguel Stanley, wie mithilfe eines 100 %ig digitalen Workflows ein hochästhetisches Behandlungsergebnis erzielt werden konnte, das beide Seiten des Behandlungsstuhls – Zahnarzt und Patient – glücklich lächeln lässt.
Die Optimierung dentaler Praxisabläufe steht im Zentrum von Carestream Dental. Wie dies durch den Einsatz innovativer Digitaltechnologien gelingen kann, zeigt die aktuelle Kampagne „Story behind the Smile“ des Branchenführers auf dem Gebiet digitale Systeme und Services für die Zahnmedizin. Hierzu berichten Zahnärzte von ihren ganz individuellen Herausforderungen, Erfahrungen und Erfolgen mit modernster Zahntechnik und einem 100 %ig digitalen Workflow, die das Leben ihrer Patienten, ihr eigenes und das ihres Praxisteams positiv beeinflusst haben. So resümiert Dr. Miguel Stanley nach seinem anspruchsvollen ästhetischen Fall: „Ein neues Lächeln für den Patienten – viele Gründe zu lächeln für uns alle.“
Moderne Zahntechnik erleichtert anspruchsvollen Klinikfall
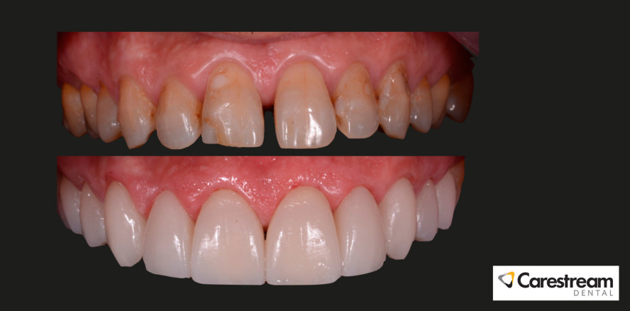
Der 45-jährige Patient trat mit dem Wunsch nach einem besseren und strahlenden Lächeln bei rascher und minimalinvasiver Behandlung an den Lissaboner Zahnmediziner heran. Die Erstuntersuchung inklusive eines Digitalscans der Zähne ergab starke Verfärbungen, einige verklebte Restaurationen, alte Amalgamfüllungen, Engstellen an den mittleren Schneidezähnen des Unterkiefers und eine generelle okklusale Abnutzung. Da die parodontale Situation als geeignet eingeschätzt wurde, keine Infektionen und Karies vorlagen und eine ausreichende Bisssituation vorlag, entschied sich Dr. Stanley für eine rein ästhetische, minimalinvasive Behandlung des Ober- und Unterkieferbogens mit Veneers. Während am Unterkiefer eine mehrmonatige Behandlung mit transparenten Alignern durchgeführt wurde, konzentrierte sich Dr. Stanley auf die ästhetische Korrektur des Oberkieferbogens.
Digitaltechnik veranschaulicht ästhetische und medizinische Behandlungsziele
Hier wurde zunächst eine In-Office-Bleaching-Behandlung durchgeführt, die eine sofortige ästhetische Verbesserung bewirkte und später ein besseres kosmetisches Ergebnis versprach. Die Veneers wurden mithilfe von Mock-Up-Smile-Designs in situ überprüft – mit großen Vorteilen für Patient und Behandler: Es veranschaulicht dem Patienten das endgültige Behandlungsergebnis, während Dr. Stanley die Schichtstärke überprüfen und Provisorien anfertigen konnte. Die anschließende Präparation der Zähne erfolgte minimalinvasiv und lokalanästhetisch mithilfe eines Modells auf Bis-Acrylat-Basis.

Nach Abschluss der Zementierung zeigte sich der Patient begeistert von seinem komplett neuen Lächeln. Aufgrund des minimalinvasiven Vorgehens wurde die Behandlung von ihm als unkompliziert und kaum belastend empfunden.
Behandlungspläne intelligenter ausführen mit hochpräzisen Digitalscans
Für die Erstuntersuchung der Zähne, Abformungen sowie den Scan der Präparation wurde der Intraoralscanner CS 3600 von Carestream Dental verwendet. Gegenüber konventionellen Abformungen zeichnet sich der digitale Scanvorgang dadurch aus, dass dieser sicherer und kostengünstiger ist. Herkömmliche Abformmaterialien erfordern zudem ein hohes Maß an Geschicklichkeit und eventuell mehrere Scanversuche, wohingegen Digitalscans schnell und einfach hochpräzise Abdrücke erzeugen. Sie sorgen für ein besseres Patientenerlebnis und können zudem gespeichert und als Modell unkompliziert an das Labor geschickt werden. Vom schnellen und bequemen Scanvorgang profitieren also erneut Behandler und Patient, wie Dr. Stanley betont: „Unsere Patienten sind gemeinhin fasziniert von der Technik und arbeiten gut mit, was zu viel besseren Abformungen führt.“
Lebensverändernde Zahnmedizin plant, druckt und fräst digital
Um das Design und die Herstellung der Veneers der einzelnen Zähne abzuschließen, wurden die Digitalabdrücke einfach und schnell an das Labor geschickt, vollständig gefräst und gesintert. Nach Überprüfung von Ästhetik und Passform am 3D-Modell, platzierte Dr. Stanley die perfekt passgeformten und keramikbeschichteten Veneers, Onlays und Kronen unter minimaler Narkose und Einsatz von Kofferdam. Zähne, Veneers und Kronen wurden separat voneinander versiegelt und die Zementierung vorgenommen. „Die Zementierung bezeichnen wir als lebensverändernde Zahnmedizin – weil sie wirklich einen sehr großen Einfluss auf das Leben unserer Patienten hat.“
100 %ig digitaler Workflow bietet einzigartige Vorteile für Patient und Praktiker
Nach Abschluss der Zementierung zeigte sich der Patient begeistert von seinem komplett neuen Lächeln. Aufgrund des minimalinvasiven Vorgehens wurde die Behandlung von ihm als unkompliziert und kaum belastend empfunden. Sowohl Abformungen als auch Veneer-Designs liegen digital vor und sind jederzeit und an jedem Ort verfügbar. So können zukünftige zahnmedizinische Behandlungen maßgeblich erleichtert und gebrochene Verblendungen innerhalb kürzester Zeit ersetzt werden. Die daraus resultierenden entscheidenden Vorteile für den Patienten ergänzt Dr. Stanley aus Sicht des Praktikers: „Der Behandlungsplan wurde in einem 100% digitalen Workflow ausgeführt – dank des Intraoralscanners CS 3600. Das hat alles für uns so viel einfacher, schneller und effizienter gemacht."
Quelle: Carestream Dental
Foto: Carestream Dental