Oralchirurgie 09.09.2011
Gingivahyperplasie als Nebenwirkung des Kalziumkanalblockers Amlodipin
Die medikamenteninduzierte Gingivahyperplasie ist als häufige Nebenwirkung bei Verwendung von Phenytoinpräparaten, Ciclosporin A und des Kalziumkanalblockers Nifedipin bekannt. Seit einiger Zeit findet ein weiterer Kalziumkanalblocker, Amlodipin, breitere Anwendung zur Behandlung kardiovaskulärer Erkrankungen. Anhand eines klinischen Falles konnte gezeigt werden, dass Amlodipin ebenfalls Auslöser einer generalisierten Gingivahyperplasie sein kann. Es werden die Ursachen der Amlodipin-induzierten Gingivahyperplasie und Möglichkeiten der Therapie diskutiert.
Die Gingivahyperplasie kann unterschiedliche Ursachen haben. Das gemeinsame histologische Bild stellt eine exzessive Vermehrung von Fibroblasten und eine Steigerung der Kollagensynthese im Bereich der Gingiva dar (Reichardt und Philipsen 1999). Man unterscheidet die idiopathische fibröse Gingivahyperplasie von der medikamentös induzierten fibrösen Gingivahyperplasie. Erstere ist besonders auf den Molaren- und Tuberbereich begrenzt (z. B. symmetrische Fibrome). Ein generalisiertes Auftreten ist ebenfalls möglich, wobei die Genese dieser Erkrankung weiterhin unbekannt ist. Die medikamentös verursachte Hyperplasie der Gingiva gilt als Begleiterscheinung bei der Einnahme bestimmter Medikamente. Bekannte Medikamentengruppen sind hierbei Phenytoin-Präparate zur Therapie von epileptischen Anfallsleiden, Ciclosporin A als Immunsuppressor bei Organtransplantationen und Nifedipin, ein Kalziumantagonist, zur Therapie von Bluthochdruck und koronarer Herzkrankheit (Hassel und Hefti 1991). Eine unzureichende Mundhygiene und andere lokale Reizfaktoren, wie beispielsweise insuffiziente Restaurationsränder, begünstigen die Entwicklung einer Gingivahyperplasie.
Patientenfall
Eine 81-jährige Patientin stellte sich im November 2007 erstmalig in unserer Sprechstunde vor. Sie kam mit einer Überweisung ihres Hauszahnarztes zur Abklärung einer generalisierten Hyperplasie der Gingiva des Ober-und Unterkiefers. Die Patientin gab an, den Zahnarzt aufgesucht zu haben, da die Reinigung der Interdentalräume mittels Zahnhölzern nicht mehr möglich sei. Sie komme seit geraumer Zeit „nicht mehr zwischen die Zähne“.
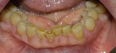
Die Anamnese ergab eine parodontale Vorbehandlung vor circa zehn Jahren. Der letzte Zahnarztbesuch lag ungefähr ein Jahr zurück. Damals seien keine Veränderungen festgestellt worden. Im weiteren Gespräch wurde die Patientin zu Allgemeinerkrankungen und verordneten Medikamenten befragt. Laut Angaben der Patientin litt sie unter Bluthochdruck und einer Herzinsuffizienz. Sie nahm die in Tabelle 1 aufgeführten Medikamente ein. Dabei sei während eines Krankenhausbesuches vor vier Monaten das Präparat Amlodipin erstmalig verordnet worden. Die Angaben wurden später durch Rücksprache mit der behandelnden Hausärztin verifiziert. Bei der klinischen Untersuchung zeigten sich generalisierte Gingivahyperplasien an allen Parodontien des Ober- und Unterkiefers (Abb. 1 und 2). Es lag eine generalisierte Gingivitis und plaqueinduzierte Parodontitis marginalis chronica vor, die durch die vorhandenen Pseudotaschen noch verstärkt wurde. Die geröteten und ödematös geschwollenen Pseudotaschen überlagerten partiell die Zahnkronen interdental, sodass traumatische Einbisse bei Interkuspidation bestanden. Teilweise entleerte sich Pus über die Pseudotaschen. Das angefertigte Orthopantomogramm bestätigte einen vertikalen und horizontalen Knochenabbau, ausgelöst durch die parodontale Vorerkrankung. Es wurde die klinische Verdachtsdiagnose einer Amlodipin-induzierten Gingivahyperplasie bei generalisierter Parodontitis marginalis chronica gestellt. Aufgrund des Alters der Patientin und der bestehenden Vorerkrankungen wurde ein minimalinvasives Vorgehen favorisiert. Dazu wurde eine vorsichtige Entfernung des vorhandenen Zahnsteins vorgenommen. Die Pseudotaschen wurden mit Chlorhexidinlösung gespült und der Patientin die Anwendung von Chlorhexidinlösung zur Mundspülung verordnet. In einer zweiten Sitzung wurde zu differenzialdiagnostischen Zwecken eine Probeexzision im Unterkiefer-Prämolarenbereich rechts durchgeführt. Das histologische Ergebnis bestätigte das Vorliegen einer Gingivahyperplasie. Nach Rücksprache mit der behandelnden Hausärztin konnte ein Absetzen der Medikation von Amlodipin vorgenommen werden. Die Patientin wurde nach einem und drei Monaten nachkontrolliert. In diesem Zeitraum kam es zu einer Reduktion der Hyperplasie und subjektiv deutlicher Beschwerdebesserung. Es lagen deutlich reizlosere gingivale Verhältnisse im Vergleich zur Erstuntersuchung vor (Abb. 3 und 4). Eine Parodontalbehandlung wurde empfohlen. Zusätzlich vorliegende Ödeme der unteren Extremitäten hatten sich ebenfalls zurückgebildet.

Diskussion
Amlodipin ist ein Kalziumkanalblocker der dritten Generation vom Diydropyridintyp und wird hauptsächlich zur Therapie der essenziellen arteriellen Hypertonie eingesetzt. Des Weiteren findet das Medikament Anwendung bei der Prophylaxe und Therapie der chronisch stabilen und vasospastischen Angina pectoris. Laut Angaben der Hersteller wird eine Gingivahyperplasie als seltene bzw. gelegentliche Nebenwirkung beschrieben (Rote Liste 2009). Die Amlodipin-induzierte Gingivahyperplasie ist nur in einigen Fallberichten weltweit dokumentiert (Meraw und Sheridan 1996, Jorgensen 1999, Lafzi et al. 2006, Bhatiab et al. 2007). Jorgensen gibt eine Prävalenz für Gingivahyperplasien bei Einnahme von Amlodipin von 3,3 Prozent an (Jorgensen 1999). In der Auflistung unerwünschter Wirkungen von Arzneimitteln des Bundesinstituts für Arzneimittel und Medizinprodukte (BfArM) werden lediglich drei Fälle für das Jahr 2007 genannt (Schindler und Kirch 2008). Im Gegensatz dazu ist der Kalziumkanalblocker Nifedipin seit vielen Jahren als Auslöser für eine Gingivahyperplasie bekannt. Hier liegt eine Prävalenz von bis zu 50 Prozent vor (Miranda et al. 2001, Casetta et al. 1997).
Amlodipin wird in zwei möglichen Dosierungen verabreicht. Empfohlen wird eine Anfangsdosis von 5mg/d und nach vier Wochen bei unzureichender Wirkung eine Anhebung der Dosis auf 10mg/d. Ein bis drei Monate nach Amlodipingabe treten Gingivahyperplasien auf (Meraw und Sheridan 1996). In beiden Patientenfällen unserer Praxis lag die verordnete Dosis bei 10 mg/d. Die von Jorgensen angegebene Prävalenz wurde ausschließlich bei einer Dosierung von 5mg/d untersucht (Jorgensen 1999). Daher kann ein häufigeres Vorkommen dieser Nebenwirkung in Abhängigkeit von der Medikamentendosierung nicht ausgeschlossen werden. Die Pathogenese der Amlodipin-indzierten Gingivahyperplasie ist nicht geklärt. Man nimmt eine direkte und indirekte Wirkung des Amlodipin auf die gingivalen Fibroblasten an. Einerseits soll Amlodipin eine veränderte Kollagensynthese in den Fibroblasten induzieren. Diese medikamenteninduzierte Empfindlichkeit der Fibroblasten sei genetisch fixiert. Dies würde erklären, warum nur ein Teil der Patienten eine Gingivahyperplasie entwickelten. Andererseits wird angenommen, dass im Rahmen einer Parodontalerkrankung vorkommende Cytokine und Interleukine eine Triggerfunktion auf die Kollagensynthese der Fibroblasten ausüben. In der Folge käme es zu einer verstärkten Kollagensynthese und Ausbildung einer hyperplastischen Gingiva (Grover et al. 2007, Seymour et al. 1996). In den uns bekannten beiden Fällen lag eine parodontale Erkrankung vor. Dies würde die zweite Theorie unterstützen. Histologisch findet man einen übermäßigen Anteil irregulärer Kollagenfasern im Bereich des Bindegewebes, welches mit Entzündungszellen durchsetzt ist. Dieses wird von einem hyperparakeratotischen bzw. akanthotischen Plattenepithel bedeckt (Taib et al. 2007).
Die Therapie der Amlodipin-induzierten Gingivahyperplasie gestaltet sich abhängig davon, ob das Medikament abgesetzt werden kann. In unserem Fall war dies möglich. In Übereinstimmung mit anderen Autoren konnten wir nach zwei bis drei Monaten einen deutlichen Rückgang der Gingivahyperplasie erreichen (Dahlöf et al. 1991, Grover et al. 2007). Eine professionelle Zahnreinigung kann diesen Vorgang unterstützen. Kann das Medikament nicht abgesetzt werden, ist nur eine Verbesserung des Befundes möglich. Bei diesen Patienten sollte im engmaschigen Recall die Mundhygiene kontrolliert und supra- und subgingivale Konkremente entfernt werden (Grover et al. 2007). Die plaqueinduzierte Gingivitis und Parodontitis wird hierbei als wichtiger Risikofaktor bei der Entstehung einer medikamenteninduzierten Gingivahyperplasie angesehen. Es konnte gezeigt werden, dass durch Scaling und Wurzelglättung eine deutliche Reduktion der Phenytoin-induzierten Gingivahyperplasie erreicht werden konnte (Hallmon und Rossman 1999). Zusätzlich kann eine chirurgische Therapie im Sinne einer Gingivektomie zur Erleichterung einer adäquaten Mundhygiene und Beseitigung ästhetischer oder funktioneller Defizite durchgeführt werden.
Vor Behandlungsbeginn ist eine differenzialdiagnostische Abgrenzung der medikamentös induzierten Gingivahyperplasie von anderen Erkrankungen durchzuführen. In unserem Fall diente besonders die Rücksprache mit der Hausärztin und Entnahme einer Probe zum Ausschluss möglicher Differenzialdiagnosen. Eine wichtige Differenzialdiagnose stellte die Fibromatosis gingivae dar. Im Gegensatz zur medikamentös induzierten Gingivahyperplasie, die meist im Frontzahnbereich auftritt, sind hierbei häufig die lingualen und palatinalen Anteile der Gingiva des Seitenzahngebietes betroffen. Zusätzlich liegt eine Altershäufung im Kinder- und Jugendalter vor. Besonders wichtig ist der Ausschluss einer Neoplasie wie das Fibrosarkom. Weitere mögliche Differenzialdiagnosen sind Gingivahyperplasien bei Agranulozytosen, Leukämien, Non-Hodgkin-Lymphom oder eine orale Manifestation einer Tuberkulose. Eine Probeentnahme sollte immer dann in Betracht gezogen werden, wenn z.B. die Gingivahyperplasie als orale Manifestation einer systemischen Erkrankung differenzialdiagnostisch ausgeschlossen werden muss (Anil et al. 1996). Aufgrund des generalisierten Vorliegens in unserem Fall wurde die Diagnose fibröse Epulis bzw. ein peripheres Riesenzellgranulom nicht in Betracht gezogen.
Der vorliegende Kasus zeigt, wie wichtig eine ausführliche Anamnese und die Recherche über Wirkungsweise und Nebenwirkungen dieser Medikamente sein können. Täglich kommen neue Medikamente auf den Markt, deren Nebenwirkungsprofil nicht immer vollständig dokumentiert oder erforscht ist. Der Einfluss dieser Wirkstoffe auf das orofaziale System sollte daher nie unbeachtet gelassen werden.
Hinweis
Zweitveröffentlichung mit freundlicher Genehmigung der Schweizer Monatsschrift für Zahnmedizin. Erstveröffentlichung in: Schweiz Monatsschr Zahnmed, Vol. 120, 6/2010.