Implantologie 12.04.2012

Ästhetische Versorgung mit Keramik



Ästhetische Versorgung mit Keramik

Festsitzende Restaurationen aus Zirkoniumdioxid bei der Rehabilitation des zahnlosen Oberkiefers bieten eine ästhetische und stabile Alternative zu Titanaufbauten. Die Keramikaufbauten werden mittels CAD/CAM-Technologien hergestellt. Nun stehen industriell vorgefertigte, aber individualisierbare Zirkoniumdioxidaufbauten zur Verfügung.

Der Einsatz von festsitzenden Restaurationen mit einem oxidkeramischen Gerüst ist nicht nur auf natürlichen Zähnen, sondern auch auf ­Implantaten eine zunehmend akzeptierte Therapieoption.1–3 Die Zementierung derartiger Restaurationen auf Titanaufbauten kann dabei als etablierter Standard angesehen werden.4–7 Durch die Einführung von Sekundärteilen aus hochfestem Zirkoniumdioxid steht seit einigen Jahren sowohl aus Sicht der Ästhetik8–12 als auch der Biokompa­tibilität und Stabilität der periimplantären Weichgewebe13–16 eine interessante Alternative zur Verfügung. Die Herstellung dieser Keramikaufbauten erfordert in der Regel die Anwendung von speziellen CAD/CAM-Technologien.17–19 Seit einiger Zeit stehen allerdings auch industriell vorgefertigte, einteilige und individualisierbare Zirkoniumdioxidaufbauten als Alternative zur Verfügung. Verschiedene Studien attestieren Sekundärteilen aus Zirkoniumdioxid ein hohes klinisches Potenzial.20–25 Daraus ergab sich bisher die Empfehlung zum Einsatz dieser Sekundärteile für den Frontzahnbereich.8,9,23,26–28 Die Ergebnisse aktueller Untersuchungen unterstützen nunmehr auch den Versuch eines Einsatzes oxidkeramischer Aufbauten im Seitenzahnbereich.7,29 In dem folgenden Bericht soll die klinische Anwendung von individualisierten, industriell vorgefertigten, ein­teiligen Zirkoniumdioxidaufbauten am Beispiel der ­implantatprothetischen Gesamtrehabilitation eines zahn­losen Oberkiefers demonstriert werden.

Anamnese

Die 39-jährige Patientin stellte sich nach erfolgter parodontaler Initialtherapie mit dem Wunsch nach einer Gesamtrehabilitation ihres Oberkiefers vor. Im Zuge der Vorbehandlung waren die Zähne 16, 17 und 26 vor circa vier Monaten extrahiert worden. Die Zähne 11, 21 und 23 waren als Brückenpfeilerzähne der Lücke 22 überkront und verblockt. Zahn 12 trug eine metallkeramische Krone. Die Prämolaren 14, 15 und 25 waren mit insuffizienten Amalgamfüllungen versorgt (Abb. 1). Die Mundhygiene hatte sich im Zuge der parodontalen Vorbehandlung verbessert und die Patientin hatte das Rauchen aufgegeben. Die Sondierungstiefen der Zähne betrugen 5mm bis 9mm (Abb. 2). Die Sondierung der Taschen provozierte teilweise Blutungen (BOP positiv). Bis auf den Zahn 13 (LG II) wiesen alle Zähne bei subjektiver Beschwerdefreiheit und trotz teilweiser Verblockung Lockerungsgrade von III auf. Röntgenologisch zeigte sich ein generalisierter, vor allem vertikaler Knochenabbau. Die Wurzeln der verbliebenen Oberkieferzähne erschienen kurz und konisch. Es konnten keine funktionellen Probleme oder kraniomandibulären Dysfunktionen diagnostiziert werden.

Behandlungsplanung

Die Patientin strebte eine definitive Versorgung mit festsitzenden Brücken an. Entsprechend der SAC-Klassifikation musste der Fall als komplex eingeordnet werden.30 Nach intensiver Diskussion und Abwägung aller alternativen Therapieansätze wurden die Oberkieferzähne als unsicher und daher nicht dauerhaft erhaltungswürdig bzw. als nicht sinnvoll in ein festsitzendes Konzept integrierbar eingestuft. Analog eines etablierten Konzeptes für den zahnlosen Oberkiefer sollten nach der Extraktion acht Implantate in den Positionen 1, 3, 4 und 6 inseriert werden.31 Da die Patientin aus beruflichen Gründen für die gesamte Dauer der Therapie eine festsitzende therapeutische Brückenversorgung benötigte, wurde in diesem Falle eine Sofortimplantation und bei einer ausreichenden Primärstabilität der Implantate die provisorische Sofortversorgung geplant.32 Grundsätzlich besteht in derartigen Fällen das Risiko einer postoperativen, langsamen Resorption der vestibulären Knochenanteile, welche zu einem Verlust an Gewebsvolumen und ästhetischen Komplikationen führen kann. Allerdings ergaben in dem vorliegenden Fall sowohl die diagnostische Sondierung des vestibulären Knochens als auch Form und Verlauf des Weichgewebes die Diagnose eines dicken parodontalen Phänotypus mit relativ breiter vestibulärer Restknochenlamelle und somit nur geringer zu erwartender Rezessionstendenz.33

Chirurgisches Vorgehen

Es wurde ein prothetisches Set-up und eine entsprechende vertikale Orientierungsschablone erstellt. Aufgrund der fehlenden vertikalen Knochenhöhe in den Regionen 16 und 26 erfolgte zuerst die Insertion von zwei primärstabilen Implantaten (Straumann® Bone Level Implant RC, Ø 4,8mm, 10mm SLActive®) mittels interner Sinuselevation und Augmentation mit xenogenem, partikulären Knochenersatzmaterial (Abb. 3). Nach vier Monaten komplikationsloser Einheilung wurden die Implantate freigelegt (Abb. 4). Auf Grundlage der prothetischen Planung erfolgte auf einem radierten Modell die Herstellung einer Bohrschablone. Am Operationstag wurden die Zähne schonend mittels Periotom entfernt. Die noch intakte vestibuläre Knochenlamelle wurde ohne Elevation eines Lappens exploriert. Die Alveolen wurden sorgfältig kürettiert, gespült und mittels Sonde vermessen. Entsprechend der Bohrschablone (Abb. 5) wurden die Implantatstollen präpariert und die Implantate primärstabil inseriert (Straumann® Bone Level Implant RC, Ø 4,1mm, 10mm SLActive®). Mittels der vertikalen Orientierungsschablone wurde entsprechend eines harmonischen Gingivaverlaufs auf einen zahnspezifischen Vertikalabstand zwischen dem geplanten marginalen Kronenrand und der Implantatschulter geachtet (Abb. 6). Die leeren Alveolen wurden mit einer Kollagen-Hydroxylapatit-Matrix verschlossen. Spalträume zwischen vestibulärer Knochenlamelle und Implantat wurden in Abhängigkeit von ihrer Breite mittels xenogenem, partikulären Knochenersatzmaterial aufgefüllt.

Sofortversorgung mittels therapeutischer ­Restauration

Aufgrund ihrer axialen Ausrichtung und des Drehmomentes bei der Insertion eigneten sich nicht alle Implantate für die Integration in den provisorischen Brückenverbund. Nach dem Aufsetzen von Abformpfosten erfolgte eine geschlossene Abformung mittels Poly­ether. Die Implantate wurden anschließend mit Gingivaformern verschlossen und die Kieferrelation mittels der adjustierten Vertikalschablone registriert. Auf der Grundlage des präoperativen Set-ups erfolgte auf einem Modell die Anpassung der provisorischen Kunststoffsekundärteile (PEEK, Straumann) auf den Implantaten in Zahnposition 1, 4 und 6. Anschließend wurde die temporäre Brücke aus PMMA-Kunststoff hergestellt und ausgearbeitet. Zwölf Stunden nach der Operation wurden die Aufbauten bei der Patientin eingeschraubt (Abb. 7), verschlossen und die okklusal adjustierte Kunststoffbrücke reversibel zementiert (Abb. 8). Um eine restaurativ günstige Weichgewebskontur zu erzielen, wurde die Brücke nach acht Wochen erstmals ab­genommen und während der anschließenden sechs­wöchigen Konturierungsphase mehrfach basal mittels Kunststoff nachgearbeitet.

Definitive Versorgung

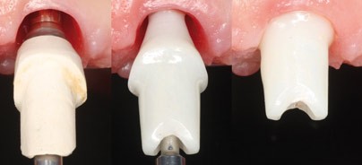
Über einen Situationsabdruck erfolgte im Labor die Herstellung eines individuellen Abformlöffels. Nachdem die therapeutische Brücke abgenommen wurde (Abb. 9), erfolgte nacheinander die Individualisierung von acht verschraubten Abformpfosten durch Kopie der provisorischen Aufbauten mittels eines autopolymerisierenden PMMA-Kunststoffs (Abb. 10). Nachdem alle Abformpfosten auf den osseointegrierten Implantaten verschraubt waren, erfolgte der finale Abdruck mittels Polyethermasse. Nach der Herstellung des Meistermodells wurden die Aufbauten auf diesem verschraubt und die temporäre Brücke aufgesetzt. Das so mit dem Unterkiefermodell verschlüsselte Meistermodell wurde schädelbezüglich einartikuliert. Ein Modell der provisorischen Brücke konnte ebenfalls gegen den Unterkiefer kreuzartikuliert werden. Der Patientin wurden Aufbauten und Brücke eingesetzt. Im Labor erfolgte nun die Anpassung und Individualisierung der Zirkoniumdioxidaufbauten (Abb. 11). Dabei konnte zwischen geraden und 15 Grad abgewinkelten Aufbauten in Weiß oder einer dentinähnlichen Einfärbung gewählt werden (Straumann® Anatomisches IPS e.max® Sekundärteil).

 

Die laborseitige Ausarbeitung erfolgte mittels Turbine und Wasserkühlung. Bei den nur mittels Schleifern angepassten Aufbauten wurden durch einen 15-minütigen Regenerationsbrand bei 1.050°C die durch das Beschleifen entstandenen Oberflächenspannungen entfernt. Wo notwendig, wurden die Aufbauten durch ­Aufwachsen an das individuelle Durchtrittsprofil angepasst und anschließend mittels einer geeigneten Lithium-Disilikat-Keramik (IPS e.max® ZirPress*) überpresst. Die Aufbauten wurden klinisch einprobiert (Abb. 12) und zur Darstellung der endgültigen Weichgewebskonturen eine Überabformung durchgeführt. Nun erfolgte die computergestützte Konstruktion und Fertigung der vier dreigliedrigen Brücken aus Zirkoniumdi­oxid (zerion® von Straumann® CARES® CAD/CAM). Nach der erfolgreichen Einprobe (Abb. 13) wurden die beiden anterioren Gerüste in Schichttechnik verblendet (IPS e.max® Ceram), wohingegen die posterioren Gerüste zur Erzielung einer mechanisch hochfesten Verblendung wiederum mittels IPS e.max® ZirPress überpresst wurden (Abb. 14). Die fertigen Sekundärteile wurden mittels eines individuellen Einbringschlüssels platziert und mit 35Ncm auf den Implantaten verschraubt. ­Danach zeigte sich eine günstige Unterstützung der periimplantären Weichgewebe (Abb. 15a–c). Nach dem Verschluss der Schraubkanäle wurden die Brücken provisorisch mit einem silikonhaltigen Material reversibel zementiert, okklusal minimal adjustiert und regelmäßig kontrolliert. Nach vier Wochen zeigte sich ein gesundes und reizfreies periimplantäres Weichgewebe (Abb. 16 und 17). Aufgrund der ausgiebigen Probephase mittels der therapeutischen Brücke waren nur noch minimale Korrekturen notwendig. Die Sekundärteile wurden noch einmal auf ihren stabilen und festen Sitz hin kontrolliert.

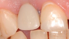
Nach dem Verschluss der Kanäle und der internen Reinigung der Pfeilerkronen mittels Sandstrahler erfolgte die definitive Zementierung mit einem adhäsiven Kompositzement (Abb. 18 und 19). In den kommenden Tagen wurden Nachkontrollen durchgeführt (Abb. 20). Aufgrund von weiteren Behandlungen im Unterkiefer blieb die Patientin in regelmäßiger Kontrolle. Nach zwölf Monaten zeigte sich ein stabiles periimplantäres Weichgewebe (Abb. 21). Alle vollkeramischen Sekundärteile und Restaurationen waren komplikationsfrei. Röntgenologisch ergab sich kein Anhalt auf Veränderungen des periimplantären Knochenniveaus (Abb. 22). Die Patientin war mit Ästhetik und Funktion sehr zufrieden (Abb. 23).

Schlussfolgerung

Der Einsatz von keramischen Implantataufbauten, insbesondere in der Kombination mit vollkeramischen Restaurationen, eröffnet die Möglichkeit hochästhetischer und biokompatibler Versorgungen. Studien der letzten Jahre konnten derartige Vorzüge für den Frontzahn­bereich auch klinisch-wissenschaftlich untermauern. Langzeiterfahrungen für die Anwendung derartiger Aufbauten im Seitenzahnbereich bestehen momentan noch nicht. Erste Erfahrungen erscheinen allerdings vielversprechend. Die Herstellung von einteiligen Zirkoniumdioxidaufbauten verlangt in der Regel den Einsatz komplexer CAD/CAM-Technologien. Im vorgestellten Fall wurde die Anwendung industriell präfabrizierter und anschließend individualisierter Keramikaufbauten im Front- und Seitenzahnbereich exemplarisch demonstriert.

Der Autor dankt Dr. William Martin, Dr. Dean Morton und Dr. James Ruskin für die Inspiration zur klinischen Umsetzung dieses Falles.

* IPS e.max®, ZirPress und Ceram sind eingetragene ­Marken der Ivoclar Vivadent AG, Liechtenstein.

Mehr Fachartikel aus Implantologie

ePaper