Cosmetic Dentistry 17.05.2017

Ästhetik und Funktion unter Kontrolle – Think functional!



Ästhetik und Funktion unter Kontrolle – Think functional!

Foto: Autoren

Um ein funktionierendes und zufriedenstellendes Ergebnis bei der dentalen Rehabilitation zu erzielen, ist es wichtig, den dentalen Fokus zu erweitern und auch die craniomandibulären Aspekte zu berücksichtigen. Nicht selten haben beispielsweise Kopfschmerzen, Rückenschmerzen, skelettale Beschwerden, ja sogar Beeinträchtigungen der visuellen und auditiven Organe ihren Ursprung in dentalen und/oder craniomandibulären Dysfunktionen.

Pathologien des Kauorgans entstehen unter anderem bei Verlust der Zahnhartsubstanz durch ausgeprägten Bruxismus oder Pressen der Zähne. Die meisten Patienten erkennen diese Zusammenhänge jedoch nicht und kommen mit speziellen dentalen Problemen zu ihrem Zahnarzt, wie beispielsweise einer Einschränkung in der dentalen Ästhetik oder gar Zahnschmerzen. Die Aufgabe des Zahnarztes soll es dann sein, nicht nur auf die gesonderten Wünsche der Patienten einzugehen, sondern sich vielmehr ein Gesamtbild der Situation zu verschaffen und das für den Patienten bestmögliche ästhetische und funktionelle Ergebnis anzustreben.

Patientenfall

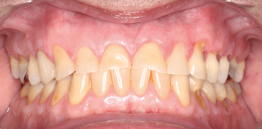
Ein 55-jähriger Patient stellte sich erstmalig mit dem Wunsch nach einer Verschönerung der Frontzahnästhetik in unserer Praxis vor. Ein diagnostisches Röntgenbild (Abb. 1) ergab, dass der Patient zahlreiche kariöse Läsionen im Ober- und Unter­kiefer, insuffiziente Wurzelkanalfüllungen an den Zähnen 14 und 16, mangelhafte Kronenränder an den Zähnen 16 und 26 wie auch weitere mit Sekundärkaries befallene, bereits gefüllte Zähne besaß. Zunächst musste die gesamte orale und craniomandibuläre Situation kritisch beurteilt werden. Auf den ersten Blick sichtbar waren die stark abradierten Kauflächen der Front- und Seitenzähne im Ober- und Unterkiefer wie auch der daraus resultierende tiefe Biss des Patienten (Abb. 2a und b). Zur Dokumentation und Planung wurde daher ein Fotostatus erstellt, der auch die beidseitige feh­lende Front- und Eckzahn-Führung zeigt. Der klinische und kinematische Funktionsbefund (mittels JMA-Registriersystem, zebris Medical GmbH) ergab eine reine Gruppenführung bei den Laterotrusionsbewegungen der Mandibula zur rechten und zur linken Seite (Abb. 2c und d). Die Erhebung eines Parodontalstatus ergab Rezessionen von bis zu 4 mm und stellenweise eine leichte pathologische Taschenbildung, jedoch keinen Furkationsbefall. Aus dem zuvor gezeigten Orthopantomogramm war ein chronischer Knochenabbau ersichtlich. Um die Planungsunterlagen zu vervollständigen, wurden Situationsmodelle aus Hartgips hergestellt. Nach umfassender Planung und Besprechung mit dem Patienten konnte die Behandlung beginnen.

Die Behandlung

Erste Prämisse war es, die kariösen Läsionen konservativ zu behandeln, Wurzelkanalbehandlungen durchzuführen und die alten insuffizienten Wurzelfüllungen zu revidieren. Während dieser Behandlungsschritte, die in mehreren Etappen abgehandelt wurden, bekam der Patient eine mittels JMA-Registrat (zebris Medical GmbH) individuell hergestellte Knirscherschiene, die als Abrasionsschutz und zur Entspannung der Kaumuskulatur eingesetzt wurde. Zusätzlich besuchte der Patient regelmäßig einen Physiotherapeuten, der dazu beitrug, die muskulären Fehlhaltungen zu verbessern. Des Weiteren wurden eine Parodontosebehandlung und eine professionelle Zahnreinigung durchgeführt. Zeitgleich wurde im Labor ein Wax-up angefertigt. Damit konnte ein für den Oberkiefer gefräßtes CAD/CAM-Provisorium in Form von Table Tops im Seitenzahnbereich (Abb. 3a) und einem Mock-up im Frontzahnbereich (Abb. 3b) befestigt werden. Dies ermöglichte dem Patienten nicht nur, Wünsche zur Veränderung der Zahnmorphologie zu äußern, sondern half auch funktionell, die optimale Bisshöhe in zentrischer Position zu finden und festzulegen. Nach einer dreimonatigen Tragezeit und Absprache mit dem Patienten, was er an der folgenden keramischen Umsetzung verändert haben möchte, konnten die Oberkieferzähne substanzschonend präpariert werden (Abb. 4a und b). Um dabei auch die rote Ästhetik zu verbessern, wurde an den Zähnen 12-21 eine minimalinvasive Kronenverlängerung mittels Elektrotom durchgeführt (Abb. 4a). Der Verlauf der Präparationsgrenze konnte weitestgehend isogingival gewählt und musste nur zur ­Garantie des Ferrule-Designs an tiefen ­Aufbaufüllungen subgingival gelegt werden. Nach der Abdrucknahme in Form einer Doppelmisch­abformung (Impregum, 3M ESPE) wurde das Provisorium, welches mittels laborgefertigter Tiefziehschiene und Luxatemp (DMG) hergestellt wurde, eingesetzt. Da der Patient sechs Monate nach ­Behandlungsbeginn parodontal gesichert und funktionell rehabilitiert schien, konnten die Einzelzahnkronen im Labor aus e.max-Keramik (Ivoclar Vivadent) vollanatomisch gepresst, reduziert und mit e.max Ceram-Schichtkeramik (Ivoclar ­Vivadent) hergestellt werden. Nach Einprobe mit CHX-Gel ­erfolgte das Einsetzen adhäsiv und rein lichthärtend mit dem Syntac-System und Tetric EvoFlow der Farbe A1 (Ivoclar Vivadent; Abb. 5a und b).

Die Zähne 43-46 wurden mit Kunststoff Table Tops versehen, um die Okklusionsebene auszugleichen. Hier folgt demnächst eine keramische Umsetzung. Zur Gewährleistung des funktionellen und ästhetischen Langzeiterfolgs der prothetischen Restauration wurde für den Patienten eine Knirscherschiene angefertigt und ein halbjährlicher Recall angesetzt.

Fazit

Um mit einer prothetischen Versorgung ein stabiles Langzeitergebnis in Ästhetik und Funktion ­erzielen zu können, bedarf es einer umfangreichen Erstellung und einer akribischen Analyse, Erstellung und Auswertung der Planungsunterlagen. Zudem sollte gerade bei funktionell beeinträchtigten ­Patienten eine interdisziplinäre Zusammen­arbeit – wie in diesem Fall beispielsweise mit Physiotherapeuten oder Orthopäden – in Betracht gezogen werden, um den Patienten „als Ganzes“ zu sehen und gerecht zu werden. Es ist wichtig, den Fokus nicht nur auf die rote und weiße Ästhetik zu legen, sondern das gesamte Kauorgan zu ­rehabilitieren, denn die Ästhetik ist nur ein Teil des Behandlungskonzepts und steht nie für sich alleine.

Co-Autorin: Nadja Tzinis

Der Artikel ist in der Cosmetic Dentistry 2/2017 erschienen.

Mehr Fachartikel aus Cosmetic Dentistry

ePaper