Cosmetic Dentistry 29.09.2011

Untergesichtsverlängerung bei Klasse II-Dysgnathien mit Short-face



Untergesichtsverlängerung bei Klasse II-Dysgnathien mit Short-face

Kombiniert kieferorthopädisch-kieferchirurgische Therapie

Problemdarstellung

Die Harmonie der Gesichtsrelationen ist bei Klasse II-Patienten mit Short-face-Syndrom gestört. Das skelettale Untergesicht und dementsprechend das vertikale Weichteilprofil weisen ein Defizit in Relation zum Mittelgesicht auf (Abb. 1a-c, Abb. 2a-c, Abb. 3, Abb. 4).2,3,4, 7, 12, 16
Das kurze Untergesicht stellt für die betroffenen Patienten eine ästhetische Beeinträchtigung dar.17
Die Analyse von Fotostat- und Fernröntgenaufnahme (FRS) zeigen die Symptomatik des Short-face-Syndromes:

  • kurzes Untergesicht, prominentes Kinn und vertiefte Supramentalfalte (Abb. 1a–c)
  • Die kephalometrischen Parameter lassen einen kleinen Unterkiefer- und Interbasenwinkel erkennen, die Relation von hinterer zu vorderer Gesichtshöhe (PFH/AFH) ist vergrößert. Eine skelettale und Weichteildisharmonie zwischen dem Mittel- und Untergesicht besteht ( Abb. 4).

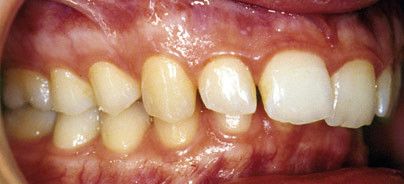
Die intraoralen Fotos (Abb. 2a–c) bestätigen und ergänzen diese Befunde hinsichtlich der sagittalen und vertikalen Disharmonie:

  • distale Okklusionsverhältnisse
  • tiefer Biss mit Einbiss in die Gaumenschleimhaut
  • Hochstand der Unterkieferfront
  • verstärkte Spee’sche Kurve.

Eine Vergrößerung des Untergesichtes als kausale Therapie mit entsprechendem Effekt auf die faziale Ästhetik kann bei diesen Patienten nur durch eine kombinierte kieferorthopädisch-kieferchirurgische Behandlung erreicht werden.5,9,10

Lösungsansatz und Therapiekonzept

Voraussetzung für ein erfolgreiches integriertes Konzept zur Behandlung des Short-face-Syndromes ist das Verständnis der im Rahmen der Behandlung durchzuführenden Maßnahmen. Hierdurch wird es möglich, die Ergebnisse der einzelnen Behandlungsschritte im Hinblick auf das angestrebte Behandlungsziel zutreffend zu bewerten, sodass ein optimales Behandlungsergebnis für den Patienten erreicht werden kann. Anhand eines Falles wird das Behandlungskonzept erläutert. Der Therapieablauf bei Klasse II-Dysgnathien mit Short-face-Syndrom entspricht dem Behandlungskonzept der Würzburger Poliklinik für Kieferorthopädie für kombiniert kieferorthopädisch-kieferchirurgische Fälle.19,20

Der Therapieablauf besteht aus vier Phasen:
I) Präoperative Maßnahmen und orthodontische Vorbereitung
1) „Schienentherapie“ zur Ermittlung der physiologischen Kondylenposition „Zentrik“ vor der endgültigen Planung
2) Orthodontie zur Ausformung und Abstimmung der Zahnbögen aufeinander und Dekompensation der skelettalen Dysgnathie
3) „Schienentherapie“ zur Ermittlung der „Zentrik“ drei bis vier Wochen vor dem operativen Eingriff.
II) Kieferchirurgie zur Korrektur der skelettalen Dysgnathie.
III) Orthodontie zur Feineinstellung der Okklusion.
IV) Retention zur Sicherung des ereichten Ergebnisses.

Der entscheidende Schritt für das Erreichen der oben festgelegten Behandlungsziele erfolgt während des operativen Eingriffs. Die für das Erscheinungsbild individuell nötige Verlängerung des Untergesichtes wird durch das Ausmaß der Translation bzw. Rotation des zahntragenden Unterkiefersegmentes während der Operation vorgegeben (Abb. 5 und 6). Dieses Ausmaß kann vom Kieferorthopäden geplant und gesteuert werden.19 Voraussetzung für eine stabile Vergrößerung des Kieferwinkels durch die posteriore Rotation des horizontalen UK-Astes ist die 3-Punkt-Abstützung auf Frontzähnen und Molaren bei der chirurgischen Vorverlagerung. Die posteriore Rotation des Unterkiefersegmentes kann nämlich operativ nur dann durchgeführt werden, wenn bei der operativen Vorverlagerung des Unterkiefersegmentes die Unterkieferfront baldmöglichst mit den palatinalen Flächen der OK-Front in Berührung kommt, sodass eine weitere Vorverlagerung des Segmentes zur Reduktion der vergrößerten sagittalen Frontzahnstufe und somit zur Korrektur der skelettalen Dysgnathie in der Sagittalen nur entlang der palatinalen Flächen der Front möglich ist. Dies gewährt eine Abstützung während der posterioren Rotation des Segmentes, die sich in der notwendigen Vergrößerung des Kieferwinkels und somit der anterioren Gesichtshöhe im Sinne der gewünschten Verlängerung des Untergesichtes niederschlägt.

Durch die operativ bedingte posteriore Rotation des zahntragenden Segmentes wird das Menton nach kaudal verlagert, sodass die skelettale Situation und das Weichteilprofil des Untergesichtes in der Vertikalen verbessert werden. Außerdem erfährt die Kinnprominenz durch die posteriore Rotation trotz der Ventralverlagerung nur eine geringgradige Ventralverschiebung und entsprechend dezente Betonung, was bei diesen Patienten von Vorteil für die Profilästhetik ist. Es tritt außerdem eine Entspannung der Supramentalfalte ein. Eine reine Translation des zahntragenden UK-Segmentes infolge der orthodontischen Beseitigung der Spee’schen Kurve würde nur die sagittale Disharmonie ohne Veränderung der vertikalen Relation korrigieren. Bei diesen Patienten käme es zu einer Verstärkung der Kinnprominenz, was eine stärkere Konkavität der Mundpartie mit sich brächte. Als Folge dieser orthodontischen Vorbereitung und des entsprechenden chirurgischen Eingriffes wäre zur Verbesserung der Gesichtsästhetik eine Kinnplastik unvermeidlich.

Ein weiterer wichtiger Punkt bei der Unterkiefervorverlagerung, der vor allem hinsichtlich des Rezidives beachtet werden muss, ist die Streckung des suprahyoidalen Komplexes (suprahyoidale Muskulatur, insbesondere Musculus digastricus). Je größer das Ausmaß der Translation ist, umso stärker erfolgt die Streckung bzw. Belastung dieser Muskulatur mit entsprechender rezidivfördernder Wirkung, während die Rotation diesen Effekt gering hält. Carlson8 und Reynolds18 haben in Tierexperimenten mit Affen gezeigt, dass es bei der Unterkiefervorverlagerung zu einer starken Streckung und Belastung der Weichteile des suprahyoidalen Komplexes kommt. Dabei entstehen Kräfte, die das Unterkiefersegment nach posterior zurückziehen. Ellis11 hat bei tierexperimentellen Untersuchungen die posteriorere Lage der Kondylen nach der operativen Vorverlagerung des Unterkiefes nachgewiesen. Diese postoperative Rücklage sei auf die nach dorsal wirkenden Muskelkräfte zurückzuführen. Um den rezidivfördernden Effekt der Muskelstreckung gering zu halten und ein ästhetisch möglichst optimales Ergebnis zu erreichen, ist ein bestimmtes Vorgehen bei den prä- und postoperativen orthodontischen Maßnahmen nötig.

Präoperative Maßnahmen und orthodontische Vorbereitung

Die Aufbissschiene muss zum Zweck der bei diesen Patienten häufig notwendigen Therapie von Kiefergelenkproblemen, bzw. Diagnostik, vor der endgültigen Behandlungsplanung eingegliedert werden. Dadurch kann die physiologische Kondylenposition und somit die Zentrik vor der endgültigen Behandlungsplanung ermittelt werden. Danach werden alle diagnostischen Unterlagen (FRS-Aufnahme, Fotostat, Studienmodelle und einartikulierte Modelle) in der Zentrik angefertigt, um die endgültige Behandlungsplanung aufstellen zu können. Unterlagen mit einer falschen Kondylenposition (z.B. wegen eines Zwangsbisses nach ventral bei Klasse II-Dysgnathien) können bei deren Analyse zu einer falschen Diagnose, Behandlungsplanung und nicht zuletzt Behandlungsdurchführung mit entsprechender Auswirkung auf das Ergebnis führen.

Bei der orthodontischen Vorbereitung werden die Zahnbögen ausgeformt, in den drei Dimensionen aufeinander abgestimmt und die dentale Kompensation der skelettalen Dysgnathie aufgehoben. Besonderer Wert muss auf die transversalen Verhältnisse im Bereich der Eckzähne gelegt werden, sodass bei der operativen Vorverlagerung kein Frühkontakt entsteht, der den Unterkiefer nach dorsal verdrängt. Bei der Klasse II-Dysgnathie weist der Oberkieferzahnbogen im Vergleich zum Unterkieferzahnbogen in der Regel ein Defizit in der Transversalen auf. Die Korrektur dieser Diskrepanz durch die transversale Erweiterung des Oberkieferzahnbogens kann erschwert bis unmöglich sein, wenn eine gesicherte Okklusion vorliegt. Deshalb ist die Entkopplung der Okklusion durch den Einsatz einer Aufbissschiene häufig indiziert. Vor der Operation wird der Unterkiefer nicht nivelliert, sodass die Spee'sche Kurve und der tiefe Biss unverändert bleiben. Dafür werden in die Bögen entsprechende Biegungen eingearbeitet. Die Nivellierung im Unterkiefer durch die Intrusion der Front würde zu einem vergrößerten Abstand zwischen den Palatinalflächen der Oberkieferfront und Labialflächen der Unterkieferfront führen, sodass intraoperativ eine größere Translationsbewegung des Segmentes und weniger die gewünschte Rotationsbewegung erfolgen würde. Die „Schienentherapie“ drei bis vier Wochen vor dem operativen Eingriff dient der Ermittlung der Kondylenzentrik.

Postoperative Orthodontie

Als Folge der Operation mit der posterioren Rotation des Segmentes bei 3-Punkt-Abstützung resultiert ein lateral offener Biss, der postoperativ schnellstmöglich geschlossen werden muss (Abb. 7a und b).
Entsprechend beginnt einige Tage nach der Operation die postchirurgische orthodontische Behandlungsphase:

  • Schließen des lateral offenen Bisses, ohne Verlust an skelettaler Höhe
  • Feineinstellung der Okklusion.

Der frühestmögliche Einsatz der orthodontischen Kräfte ist entscheidend für ihre Wirkung. Zum einen wegen der angeblich erhöhten postoperativen Ausschüttung an Parathormon (noch nicht nachgewiesen), das die Knochenumbaumrate erhöht und somit Zahnbewegungen begünstigt, zum anderen wegen der ausgeschalteten Muskelkräfte, die den Zahnbewegungen (Extrusion im Seitenzahngebiet) entgegenarbeiten würden. Der offene Biss soll entsprechend der dargelegten Planung möglichst nur durch die Extrusion der Seitenzähne, und zwar vorwiegend im OK und nicht durch die Intrusion der Fronten, geschlossen werden, sonst käme es zu einer anterioren Rotation des Unterkiefers, was mit einem Höhenverlust des Untergesichtes verbunden wäre, sodass ein Teil der chirurgisch gewonnenen Untergesichtsverlängerung verloren ginge.

Die Schließung des offenen Bisses wird in zwei Phasen durchgeführt:
I.    Bei der ersten Phase wird der OK-Stahlbogen durch einen weichen Bogen (0,018/0,025 NiTi) ersetzt. In diesen Bogen werden Extrusionsstufen für die Prämolaren und den ersten Molar eingearbeitet, was die Extrusion dieser Zähne verursacht. Für die Unterstützung des Extrusionseffektes und zur Minimierung der Intrusionsreaktion auf die restlichen Zähne, insbesonders der Front, werden Up-and-down-Elastics eingehängt. Dabei werden im OK ein Zahn und im UK zwei Zähne belastet. Einige Tage später wird die Extrusionsstufe im Bereich des noch offenen Bisses – dies ist meistens der 1. bzw. der 2. Prämolar – verstärkt und weiterhin Elastics eingehängt.
II.    Nachdem der NiTi-Bogen im OK passiv ist, tritt die zweite Phase der Schließung des offenen Bisses ein. Der UK-Bogen wird gegen einen weichen NiTi-Bogen getauscht. Damit die Nivellierung bzw. Schließung des restlichen offenen Bisses durch die Extrusion der Prämolaren erfolgt und möglichst nicht durch die Intrusion der Front, werden wiederum Up-and-down-Elastics eingehängt (Abb 8a–c).

Vergleichen wir das Ergebnis unseres Behandlungskonzepts mit den angestrebten Zielen bezüglich der Sagittalen und der Vertikalen, stellen wir fest:
1. dass der Kieferwinkel aufgrund der posterioren Rotation vergrößert wurde. Dies hat auf skelettaler Ebene zu einer Vergrößerung des Interbasenwinkels, extraoral zu einer Verlängerung des Untergesichtes und somit zu einer Vergrößerung der anterioren Gesichtshöhe geführt, ohne die Kinnprominenz zu verstärken, weil das Kinn nahezu gerade nach kaudal verlagert wurde. Es trat ein Entspannung der Supramentalfalte ein (Abb. 9, 10a–c).
2. dass die postoperative Schließung des lateral offenen Bisses mittels der eingearbeiteten Extrusionsmechanik, unterstützt durch die Up-and-down-Elastics, vorwiegend durch die Extrusion der OK-Prämolaren und Molaren eingetreten ist und nicht durch die Nivellierung des UK-Zahnbogens im Sinne einer Intrusion der UK-Front (Abb. 27). Entscheidend bei der Umsetzung des vorgestellten Behandlungskonzeptes ist die kieferorthopädische Planung und Festlegung der Behandlungsziele, welche in den nachfolgenden Therapieschritten das Optimum für die faziale Ästhetik versprechen.

Zusammenfassung

Die Verbesserung der dentofazialen Ästhetik ist das entscheidende Behandlungsmotiv kieferorthopädischer Patienten im Erwachsenenalter bei 70 bis 90%. Die Untersuchungen von Flanary13, Jacobson14 und Kiyak15 bezüglich Motiv, Erwartung und Zufriedenheit haben übereinstimmend gezeigt, dass sich 79 bis 89% der Patienten aus ästhetischen Gründen einer kombinierten kieferorthopädisch-kieferchirurgischen Behandlung unterziehen.1,6 Die Ziele einer kieferorthopädischen Behandlung sind somit neben der Herstellung einer neutralen, stabilen und funktionellen Okklusion bei physiologischer Kondylenposition die Verbesserung der dentalen Ästhetik und Gesichtsästhetik. Die korrekte Analyse der Physiognomie und Dynamik des Gesichtes nimmt unter den Befundunterlagen eine entsprechend vorrangige Stellung ein, um kieferorthopädisch oder chirurgisch verursachte Unausgewogenheiten des Gesichtes im Verlauf einer kombiniert kieferorhopädisch-kieferchirurgischen Therapie zu vermeiden.2,3
In dem vorliegenden Beitrag soll speziell für Patienten mit Klasse II-Dysgnathien, skelettal tiefem Biss und kurzem Untergesicht (Short-face-Syndrom) unter Berücksichtigung der Weichteilanalyse ein neuer Therapieansatz vorgestellt werden.

Eine ausführliche Literaturliste finden Sie hier.

Mehr Fachartikel aus Cosmetic Dentistry

ePaper