Digitale Zahnmedizin 06.11.2025

Update zu bildgebenden Verfahren in der Zahnmedizin (Teil 1)



Der Begriff der Zeitenwende wird oftmals überstrapaziert. In Bezug auf bildgebende Verfahren in der Zahnmedizin scheint er gerechtfertigt: es ist eine klare Entwicklung hin zu neuen Verfahren zu beobachten, vor allem solchen, die ohne Röntgenstrahlung auskommen. Der vorliegende Beitrag ist der erste Teil einer zweiteiligen Darstellung.

Update zu bildgebenden Verfahren in der Zahnmedizin (Teil 1)

Foto: Dr. Georg Bach

Welch hohe Bedeutung „strahlungsfreien“ Verfahren zugemessen wird, kann schon an der Tatsache festgemacht werden, dass sich mit der Präsentation des ersten rein für zahnmedizinische Fragestellungen ­modifizierten MRT-Geräts die bekannte „Arbeitsgemeinschaft Röntgenologie“ der DGZMK nunmehr in „Arbeitsgemeinschaft für Bildgebung in der Zahn-, Mund- und Kieferheilkunde“ umbenannt hat.35 Grund hierfür sind die sich abzeichnenden Veränderungen in der zahnärztlichen Bildgebung: Mit der Magnetresonanztomografie und auch der Sonografie kommen zwei nicht röntgenologische Technologien in ­die Zahnmedizin, sodass der Name „Röntgenologie“ dem aktuellen Portfolio bildgebender Verfahren in der Zahn-, Mund- und Kieferheilkunde (ZMK) nicht mehr gerecht wird und weichen musste.

Bevor auf die einzelnen bildgebenden Verfahren genauer eingegangen wird, geben die folgenden Erläuterungen einen Überblick zur digitalen Entwicklung der letzten Jahre, um die aktuellen Neuerungen einordnen zu können.

Analoge vs. digitale Verfahren

Etwa vier von fünf der in bundesdeutschen Praxen verwendeten Röntgengeräte nutzen heutzutage digitale Medien. Analoge Röntgengeräte werden in der Regel nur noch in Alterspraxen eingesetzt. Nicht ohne Grund, denn die Vorteile digitaler Technik im Vergleich zu analogen Verfahren mit Röntgenfilmen und chemischer Entwicklung liegen auf der Hand:

  • Reduktion der Strahlenbelastung für die Patienten
  • Sofortige Verfügbarkeit des Bildes
  • Kein Chemikalienverbrauch und -abfall
  • Keine Entsorgungskosten der Chemiereste
  • Verwertbarkeit der Bilder in der Regel sogar bei Fehlbelichtungen
  • Erhebliche Erleichterung der Archivierung, Dokumentation und Weitergabe von Bildern
  • Einfaches Duplizieren in identischer Qualität
  • Keine Fehlerquellen im Entwicklungsprozess

Nachteilig wirkten sich bei der Umstellung auf digitales Röntgen bzw. bei der Beschaffung einer digitalen Röntgenanlage die Investition in teure Technologie und die Notwendigkeit von Bildschirmen in allen Behandlungszimmern aus. Auch die Haltbarkeit der digitalen Röntgengeräte der ersten Generation war mitunter mangelhaft, hier haben sich in den letzten Jahren aber erhebliche Verbesserungen ergeben.

DICOM

1993 erfolgte ein großer Wurf! Digital Imaging and Communications in Medicine (DICOM, deutsch: „Digitale Bildgebung und -kommunikation in der Medizin”), wurde als offener Standard eingeführt. DICOM standardisiert sowohl das Format zur Speicherung der Daten als auch das Kommunikationsprotokoll und deren Austausch.

Fast alle Hersteller bildgebender und bildverarbeitender Systeme (digitales Röntgen, CT, NMR, Sonografie) haben zwischenzeitlich DICOM in ihren Produkten implementiert. Die meisten im klinischen Alltag verwendeten Bildbetrachtungssysteme basieren auf diesem Dateiformat. Dadurch wird im klinischen Umfeld Interoperabilität zwischen den Systemen verschiedener Hersteller ermöglicht. Doch in der zahnmedizinischen Realität sieht es mitunter anders aus.29 Statt einheitlichem Standard herrscht hier die Tristesse eines Dschungels von teils proprietären Insellösungen, die mitunter erhebliche Anforderungen an das Nervenkostüm der Anwender stellen. Ein Grund dafür: das Format ist bis heute nicht verpflichtend, obwohl eine vermehrte Verwendung die sinnvolle Standardisierung vorantreiben würde. Eine stärkere DICOM-Nutzung hätte zudem einen wichtigen Nebeneffekt, den der Druckerhöhung auf die Industrie, anwenderfreundliche und system­übergreifende, sprich anwenderunabhängige Viewer zur Verfügung zu stellen. Hier besteht nach wie vor er­heblicher Handlungsbedarf, denn Daten, die aus einer ­anderen Praxis – zumeist auf einem digitalen Datenträger – zugeliefert werden, lassen sich gar nicht oder erst nach (zeit-)aufwendiger Installation eines bestimmten Viewers öffnen und auswerten. Das Ziel eines „universellen“ DICOM-Standards, mit dem ALLE in diesem Format abgespeicherten radiologischen Bilddaten unproblematisch importiert und angezeigt werden können, sollte somit kurzfristig verwirklicht werden.

Einwände der Industrie sind nicht überzeugend, denn in der Humanmedizin sind solche Viewer schon seit Längerem verfügbar. Somit muss DICOM wie seit Jahrzehnten im ärztlichen Bereich in Deutschland, zeitnah offiziell der Standard in der Zahnmedizin für die Weitergabe, Befundung und Archivierung von zahnmedizinischen Bilddaten werden.

KI in der zahnmedizinischen Bildgebung

Künstliche Intelligenz hat sich in der zahnärztlichen Diagnostik in den vergangenen Jahren zu einem wichtigen Werkzeug entwickelt. Sie wird zunehmend in der Analyse von Panorama-, intraoralen Röntgenaufnahmen und digitalen Volumentomografien (DVT) eingesetzt und zeigt dabei eine diagnostische Präzision, die in vielen Bereichen mit dem erfahrenen Diagnostiker vergleichbar ist und seine Wertung komplementieren kann. Aktuell ermöglicht KI unter anderem die automatische Detektion von Karies, periapikalen Läsionen und anderen pathologischen Veränderungen, die Lokalisierung anatomischer Landmarken, wie des Mandibularkanals, sowie die vollautomatische Erstellung von Zahnschemata – auch für forensische Anwendungen.30 Segmentierungsalgorithmen trennen Zielstrukturen präzise vom umgebenden Ge­webe, etwa bei der Extraktion einzelner Zähne, der Abgrenzung von Tumoren oder der Analyse der Kieferhöhle.31, 32 Generative Modelle werden erfolgreich zur Rauschreduk­tion und Artefaktentfernung eingesetzt, wodurch auch durch Prothesen beeinträchtigte Aufnahmen diagnostisch verwertbar bleiben.33

KI ist bereits fest etabliert in der Bissflügelanalyse zur Kariesdiagnostik.35 Künftige Anwendungen werden vo­raussichtlich ausgehend von DVT-/CT-Daten Implantatplanungen sowie die Erstellung und Lieferung passender Bohrschablonen und Interimsversorgungen automatisiert vornehmen. Zudem sind Verfahren in Entwicklung, die eine Früherkennung von Parodontitis, die Altersbestimmung, die virtuelle Operationsplanung und die auto­matische Verlaufskontrolle in der Kieferorthopädie ermöglichen. Diese Technologien versprechen eine hö­here diagnostische Sicherheit, Zeitersparnis und eine Standardisierung der Befundung. Um ihr Potenzial voll auszuschöpfen, sind jedoch Datenschutz, Transparenz der Entscheidungsprozesse sowie internationale Standards und die Notwendigkeit, eine Vielzahl annotierter Datensätze für Trainingszwecke zu generieren, substanziell.34

Bildgebende Verfahren, welche auf ionisierender Strahlung fußen

In der Zahnmedizin werden verschiedene bildgebende Verfahren, die Röntgenstrahlung verwenden, eingesetzt, um Diagnostik und Therapie zu verbessern. Diese Verfahren unter Verwendung ionisierender Strahlung ermöglichen es, genaue Informationen über den Zustand der Zähne und des Kiefers zu erhalten.

1. Einzelzahnröntgen, Kleinröntgenbilder, Zahnfilmaufnahmen

Zahnfilmaufnahmen bzw. Einzelzahnröntgen zählen zu den ältesten Aufnahmetechniken für die zahnärztliche Diagnostik. Neben der Panoramaschichtaufnahme (PSA) gehört der Zahnfilm zu den klassischen bildgebenden Verfahren in der Praxis. Einzelzahnröntgenaufnahmen beruhen auf konventioneller Röntgentechnik mit gerichteter Strahlenquelle und einem Medium. Bei Letzterem kann es sich um einen klassischen Zahnfilm (analog) oder aber um ein Foliensystem oder einen Sensor (digital) handeln. Das verwendete Medium speichert die Strahlen ab und erzeugt ein zweidimensionales Röntgenbild. Die üblichen Aufnahmegrößen für Zahnfilmaufnahmen liegen bei 3 × 4 und 2 × 3 cm, auch andere „Sonder“-Größen sind verfügbar.

Angestrebt wird eine Parallelität zwischen Medium-/Zahnebene und Strahlerausrichtung („Paralleltechnik“), hierzu wird das Röntgengerät mit Tubus in einem rechten Winkel auf das Medium ausgerichtet. Alle im Strahlengang befindlichen Strukturen werden dann maßstabsgerecht und exakt aufgezeichnet. Das aufgenommene Bild ist detailreich und scharf. Im Frontzahngebiet und im Seitenzahngebiet des Oberkiefers ist die Anwendung der Paralleltechnik mitunter schwierig, hier empfiehlt sich die Verwendung von Mediumhaltern.

Auf ein Medium der Größe 3 × 4 cm passen bis zu vier Zähne, für einen kompletten Status (aller Zähne) sind beim Vollbezahnten zumeist neun bis zehn Zahnfilme erforderlich.

Die Umstellung von analoger zu digitaler Röntgentechnik begann in den meisten deutschen Zahnarztpraxen mit den Zahnfilmaufnahmen, was zu einer massiven Strahlenreduktion und zu einem erheblich vereinfachten Handling in den Praxen geführt hat. Aber auch die digitalen Medien haben sich nicht immer als unproblematisch erwiesen, so sind viele der angebotenen Foliensysteme sehr kratzempfindlich und kön­-nen somit fast schon als Verbrauchsmaterial gewertet werden.

1.1. Bissflügelaufnahmen

Eine „Sonderform des Zahnfilms“ – die Bissflügelaufnahme (englisch: Bitewings) ist ein Jubilar! Denn 1925 hat Howard Riley Raper, Hochschullehrer für zahnärztliche Radiologie in Ohio die Bissflügelaufnahme in das Portfolio der zahnmedizinischen bildgebenden Verfahren eingeführt.23 Sein Ziel: eine erweiterte Kariesdiagnostik im Approximalraum. Diese ist auch heute noch, nach einem Jahrhundert, das Haupteinsatzgebiet dieser Aufnahmetechnik. Mitunter werden Bissflügelaufnahmen auch als Parodontalstatus verwendet, dies ist aber nur bei geringem parodontalen Knochenabbau sinnvoll und hat den Nachteil, dass keine Beurteilung der Zahnwurzel­regiones möglich ist.

Bissflügelaufnahme 100-jähriges Jubiläum

Die Bissflügelaufnahme (Bitewing) wurde 1925 von Howard Riley Raper eingeführt, um Approximal­karies in den schwer sichtbaren Zahnzwischenräumen besser diagnostizieren zu können. Ihren Namen verdankt diese Röntgentechnik einem kleinen „Flügel“ am Filmhalter, auf den der Patient beißt.

Denn die Bissflügelaufnahme (auch Flügelbissaufnahme genannt, englisch: bitewing view) ist eine zahnärztliche Röntgenuntersuchung, bei der nicht der gesamte Zahn geröntgt wird, sondern lediglich die Kronenbereiche der Ober- und Unterkieferseitenzähne einer Kieferhälfte. Diese Aufnahmetechnik hat sich zur erweiterten Kariesdiagnostik etabliert, um Approximalkaries und Kronenrandkaries approximal zu erkennen. Ferner ist der Verlauf der Knochengrenze des Alveolarknochens zu diagnostizieren. Hierzu wird ein Plastikflügel mittig am Röntgenfilm bzw. Aufnahmesensor befestigt. Der Röntgenfilm bzw. -sensor wird auf der Innenseite der Zähne so angelegt, dass der Kronenbereich der Seitenzähne vollständig abgebildet wird. Der Patient beißt auf den angebrachten Flügel auf und hält damit den Zahn in der vorgesehe­nen Aufnahmeposition. Der Röntgentubus wird von außen so eingestellt, dass der Strahlengang möglichst senkrecht zum Film/Sensor verläuft, um einen weitestgehend orthoradialen Strahlengang zu gewährleisten.

01 Immer Mediumhalter (Filmhalter) verwenden (eingebaute Paralleltechnik).

02 Konsequente Umstellung auf digitale Medien.

03 Bei Verwendung von Foliensystemen auf schonenden Umgang achten und Kratzer vermeiden.

2. Panoramaschichtaufnahmen (PSA) – Orthopantomogramme (OPG)

Ein OPG ist eine spezielle Untersuchungstechnik in der Zahnmedizin. Der Japaner Hisatugu Numata entwickelte bereits 1933/34 das erste Panoramaröntgengerät mit einfachem Umlauf. Der Durchbruch für diese Aufnahmetechnik erfolgte nach der Weiterentwicklung der Technik durch die Finnen Yrjö Veli Paatero und Timo Nieminen.24, 26 Auch die ersten verfügbaren Geräte kamen aus Skandinavien – produziert von der finnischen Firma Palomex, vertrieb die Firma S.S. White ab 1961 die ersten Panorex-Geräte. Diese zweidimensionale Röntgenaufnahme ermöglicht einen umfassenden Überblick über Ober- und Unterkiefer in Form eines Halbkreises von einem Ohr zum anderen („ganzheitlicher Blick auf das Gebiss“).

Zahlreiche Neu- und Weiterentwicklungen auf der physikalisch-apparativen Seite haben dazu geführt, dass mit der PSA heute eine erkennbar bessere Bildqualität erzielt werden kann als noch vor wenigen Jahren. Erfreulicherweise haben sich die Dosiswerte hierbei nicht erhöht, ganz im Gegenteil konnten sogar Effekte der Dosisreduktion durch neue Sensoren, verbesserte Software und apparative Einstellhilfen erzielt werden.28

2.1. Der „panoramische“ Überblick

Diese Röntgenaufnahmen geben somit einen Überblick über das gesamte Kiefergebiet, die Kiefergelenke sowie Teile des Mittelgesichts (auch Kieferhöhlen) und werden in der Regel als Ausgangsröntgenbild und im Weiteren für Verlaufskontrollen verwendet. PSAs sind besonders hilfreich für die Diagnose der Karies und Parodontitis sowie zur Kiefergelenkbeurteilung und teilweise zur Darstellung von Weichgewebe.1

Die Durchführung einer PSA erfolgt mithilfe eines speziellen Geräts, dem Orthopantomografen, welcher mit einem beweglichen Arm ausgestattet ist. Der Patient steht während der Aufnahme in aufrechter Position, und der Röntgenfilm (in einer Kassette) bzw. der Sensor rotiert um den Kopf des Patienten. Währenddessen werden die Röntgenstrahlen (keilförmiges, senkrechtes Strahlenbündel) von hinten durch den Kiefer gesendet und dann auf dem gegenüberliegenden Film/Sensor aufgezeichnet. Der Umlauf dauert nur wenige Sekunden. Für eine gelungene PSA ist es von enormer Wichtigkeit, dass die darzustellenden Zähne exakt in der Mitte der Schicht (Tomografie!) stehen. Um dies zu gewährleisten, wurden Einstellhilfen konzipiert bzw. bestehende verbessert.27 Besonders der Frontzahnbereich muss exakt in die relativ dünne Schicht platziert werden.

2.2. Evolution der PSA

Eine erste wesentliche Weiterentwicklung betraf die Film-Folien-Systeme. Die sogenannten „seltenen Erden“ lösten ab 1980 das Calciumwolframat als lichterzeugende Kristalle ab. Dadurch wurde die Bildqualität wesentlich verbessert.

In den nachfolgenden, noch analogen Jahren konnten die Filmemulsionen durch T-Grain-Kristalle ergänzt werden, sodass die Befunde auf der PSA noch besser zu erkennen waren.

Die allergrößte PSA-Weiterentwicklung erfolgte jedoch in den 1990er-­Jahren des vergangenen Jahrhunderts durch die Einführung des digi­-talen Röntgens. Der Film wurde durch Speicherfolien und Sensoren abgelöst und somit die Bildentstehung durch diese digitalen Techniken auf eine vollständig neue Grundlage gestellt.25

Die gewonnenen Daten werden verarbeitet, um ein detailliertes panoramisches Bild zu erstellen. Diese Datenverarbeitung erfolgt heute in der Regel digital, analoge Orthopantomografien stellen mittlerweile die Ausnahme dar. Die PSA ist ein äußerst nützliches diagnostisches In­strument und hat sich heute als Standardaufnahme etabliert. Auch wenn das Hauptaugenmerk auf der Darstellung der Hartgewebe des Mundes liegt, ermöglicht sie bedingt auch die Darstellung von Weichgewebsstrukturen – hier seien Zunge, Gaumen und Wangen genannt. Durch die Darstellung der Knochenstrukturen hilft das OPG bei der Früherkennung von Zysten, Tumoren und anderen pathologischen Veränderungen im Kiefer. Die PSA wird deswegen auch zur Verlaufskontrolle verwendet, um den Erfolg von Behandlungen zu überwachen.

Aufnahmefehler vermeiden

  1. Fremdkörper (Brillen/Ohr- und Halsschmuck, Piercings)
  2. Auf Einhaltung der Frankfurter Horizontale und auf symme­trische Patientenpositionierung und aufrechte Haltung achten, Zunge während der Aufnahme an den Gaumen drücken.

Zone of interest: der seitliche Halsbereich

Das OPG erfasst auch den seitlichen Halsbereich, sodass Arterien­verkalkungen der großen Halsschlagadern diagnostizierbar sind. Hier können Befunde mit erheblicher kardiovaskulärer Relevanz vom Zahn­arzt erhoben und einer weiteren fachärztlichen Behandlung zugeführt werden.

Limitationen von OPG/PSA beachten

  1. Durch die (aufnahmebedingte) Überlagerung durch die Halswirbelsäule sind Befunde im Frontzahngebiet des Unter- und des Oberkiefers ggf. nicht gut zu beurteilen. Bei reinen Fragestellungen in diesen Regiones ggf. gleich auf einen Zahnfilm zurückgreifen.
  2. Kleine/initiale kariöse Läsionen sind möglicherweise auf der PSA nicht so gut wie auf Zahnfilm/Bissflügelaufnahme zu erkennen.

3. Fernröntgenseitenaufnahmen

Fernröntgenaufnahmen (FRS) oder auch laterale Fernröntgenseitenaufnahmen sind spezielle radiologische Untersuchungen im dentalen Bereich, welche eine seitliche Ansicht des Kopf-Hals-Bereichs ermöglichen. Diese Aufnahmetechnik erlaubt eine detaillierte Darstellung der Strukturen im seitlichen Profil, einschließlich Zähne, Kiefer, Kiefergelenke, Nase und Halswirbelsäule.

Die FRS-Aufnahme wird ganz überwiegend in der kieferorthopädischen Diagnostik und für kieferchirurgisch-­implantologische Fragestellungen verwendet.

Der Haupteinsatzort ist aber eindeutig die KFO, denn ­die FRS-Aufnahme bietet wichtige Informationen für die Diagnose und Planung der KFO-Behandlungen.

Die Aufnahme erfolgt mithilfe von Röntgenstrahlen, die seitlich durch den Kopf des Patienten hindurchgehen. Der Patient positioniert sich in seitlicher Ansicht zur Röntgenquelle (Strahler), während der Röntgenfilm bzw. Sensor auf der gegenüberliegenden Seite platziert ist. Die FRS-Aufnahme ermöglicht die Bewertung von Zahnfehlstellungen wie Überbiss, Unterbiss, Kreuzbiss und offener Biss. Die genaue Positionierung der Zähne im Kiefer wird dabei ebenso berücksichtigt wie auch eine Bewertung der Kieferdimensionen, Knochenqualität und -dichte bedingt möglich ist. Die Fernröntgenaufnahme ermöglicht zudem eine Beurteilung der Kiefergelenke. Dies wiederum ist wichtig, um temporomandibuläre Gelenkprobleme (TMJ) zu identifizieren, die eine kieferorthopädische, aber auch eine funktionelle Behandlung beeinflussen können.

Strikte Beachtung der Indikationsstellung. 
Ist diese nichtvollumfänglich gegeben, ist von
Handröntgenaufnahmen Abstand zu nehmen.
© Dr. Georg Bach

Aufgrund der Möglichkeit des Datenimports in spezielle KFO-Diagnoseprogramme und aufgrund strahlenhygienischer Gegebenheiten werden FRS-Aufnahmen heute in der Regel digital durchgeführt. Analoge Aufnahmetechniken mit Verwendung von Filmen sind zur Ausnahme geworden, die digitale Aufnahmetechnik die Regel.

Konkurrierend stehen hier Scan-Verfahren und One-Shot-­Verfahren zur Auswahl, wobei sich die One-Shot-Technik als strahlenhygienisch vorteilhafter erwiesen hat.

Scanzeiten

Befürworter des Scan-­Verfahrens betonen Qualitätsvorteile, doch gerade bei den i. d. R. sehr jungen Patienten ist auf kurze Scanzeiten zu achten.

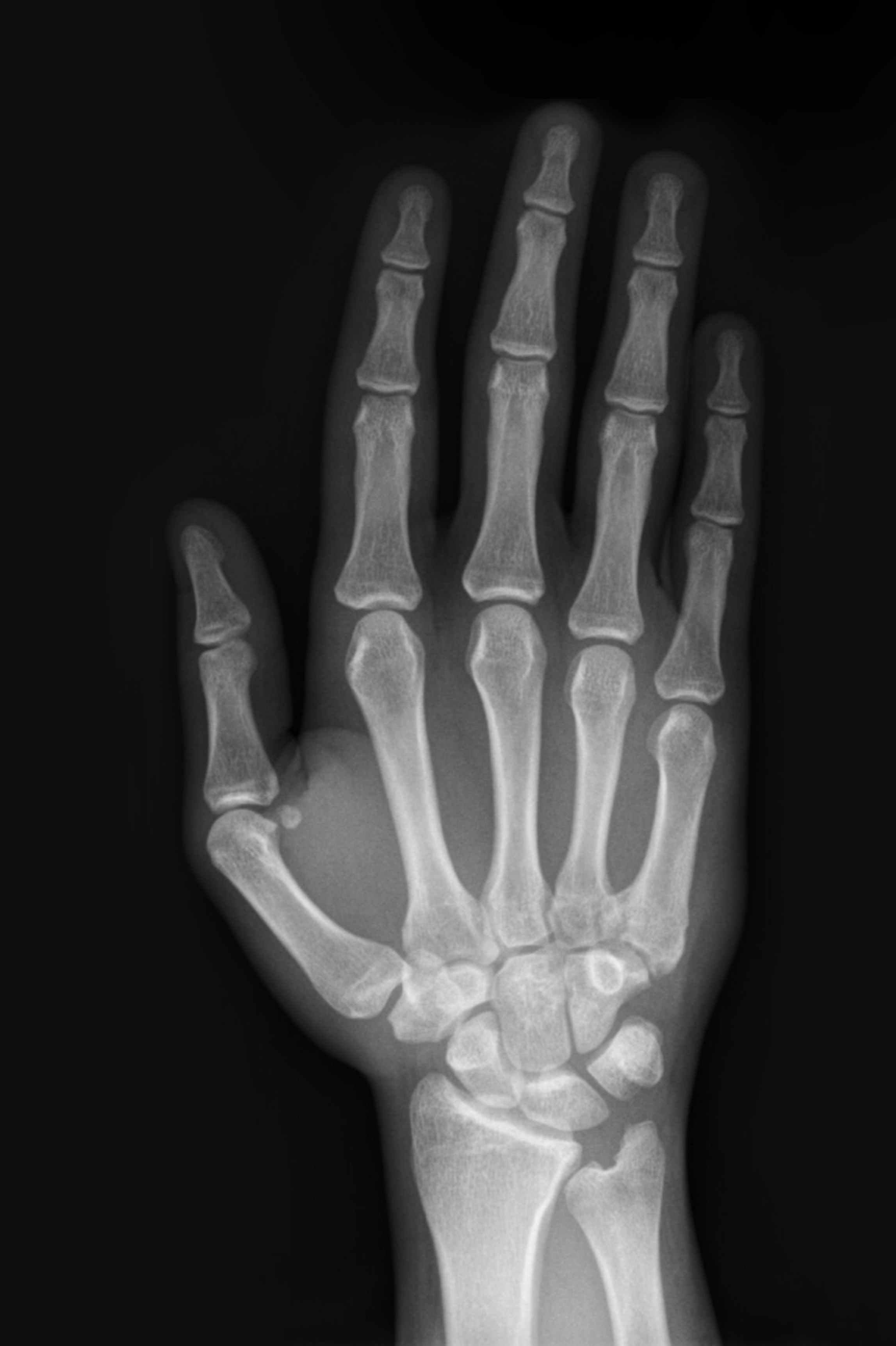
4. Handaufnahme/Handröntgen

Die aktuelle skelettale Wachstumsphase einer/eines jungen Patient/-in kann durch die Analyse der Handentwicklung ermittelt werden. Von dieser Wachstumsaktivität sind wiederum wesentliche Behandlungsschritte wie ­die Korrektur der Unterkieferlage oder die Bisshebung maßgeblich abhängig. Handröntgenaufnahmen werden in der Zahnmedizin somit überwiegend von Kieferorthopäden genutzt, die diese Aufnahmetechnik als „biolo­gische Uhr“ betrachten. Dennoch gehört die Handröntgenaufnahme nicht zur KFO-Routinediagnostik. Deren Einsatz bedingt eine strenge Indikationsstellung und eine entsprechende diagnostische Fragestellung:

  • wenn im Rahmen einer KFO-Behandlung Wachstum zur Bisslagenkorrektur oder Bisshebung ausgenutzt werden soll
  • wenn während oder nach einer kieferorthopädischen Therapie negative wachstumsbedingte Folgen befürchtet werden und eine Beurteilung des Restwachstums erfolgen muss
  • wenn eine deutliche Abweichung zwischen chronologischem und dentalem Alter vorliegt
  • bei Planung der forcierten Gaumennahterweiterung
  • bei interdisziplinär (KFO-Chirurgie) geführten Behandlungsfällen
  • wenn ein operativer Eingriff bei ausgeprägten skelettalen Dysgnathien zwischen dem 16. und 20. Lebensjahr erfolgen soll.

Die Auswertung der Handröntgenaufnahme erfolgt nach einem fest­gelegten Schema. Die Beurteilung wird anhand des Größenverhältnisses Diaphyse zu Epiphyse vorgenommen. Die Definition von Reife- und Entwicklungsfaktoren, die regelmäßig in einer bestimmten Reihenfolge während der Skelettentwicklung auftreten, ermöglicht die diagnostische Auswertung der Aufnahme und die daraus resultierenden therapeutischen Entscheidungen.

Die Fachkunden für die Aufnahmetechniken 1 bis 3 werden in Deutschland mit dem Bestehen des Staats­examens Zahnmedizin erworben und müssen dann im Anschluss alle fünf Jahre erneuert werden. Die Aufnahmeverfahren 4 und 5 bedingen indes einen separaten Erwerb einer Fachkunde.

Weiterer Autor: Markus Bach

Literatur

ZWP Zahnarzt Wirtschaft Praxis 11/25

ZWP Zahnarzt Wirtschaft Praxis


Dieser Beitrag ist unter dem Originaltitel "Update zu bildgebenden Verfahren in der Zahnmedizin - Teil 1: Verfahren mit ionisierender Strahlung" in der ZWP Zahnarzt Wirtschaft Praxis erschienen.

Seit 32 Jahren ist die ZWP Zahnarzt Wirtschaft Praxis das führende Wirtschaftsmagazin für den Zahnarzt. Als General-Interest-Titel deckt sie das gesamte Spektrum der Praxisführung ab.

Das Wirtschaftsmagazin zählt mit seinen 12 Ausgaben im Jahr und einer Auflage von 40.800 Exemplaren zu den frequenz- und auflagenstärksten Titeln im deutschen Dentalmarkt. Zudem enthält jede Ausgabe das Supplement „ZWP spezial“, in dem besondere Themen vertieft werden.

Jetzt das ePaper lesen.

Dieser Beitrag stammt von dem Anbieter und spiegelt nicht die Meinung der Redaktion wider.
Mehr Fachartikel aus Digitale Zahnmedizin

ePaper