Endodontologie 06.07.2015

S-förmiger Kanalverlauf – Herausforderung in der Endodontie



S-förmiger Kanalverlauf – Herausforderung in der Endodontie

Eine anatomische Besonderheit des Wurzelkanals erschwert die prognostisch sichere apexnahe Aufbereitung des Wurzelkanalsystems erheblich und stellt den Endodontologen vor ­besondere Herausforderungen, denn das Hauptrisiko bei s-förmig geschwungenen Wurzel­kanalsystemen besteht in einer Begradigung des Kanalverlaufs. Der folgende Patientenfall macht das deutlich.

Eine 81-jährige Patientin suchte mit akuten pulpi­tischen Beschwerden im rechten Unterkiefer unsere Praxis auf. Der Vitalitäts-/Sensibilitätstest machte eine stark erhöhte und verlängerte Reaktion am Zahn 45 ­sowie keine Reaktion am Zahn 44 deutlich. Der Perkussionstest zeigte hingegen kein positives Ergebnis am Zahn 45, jedoch eine leicht positive Perkussion am Zahn 44. In der diagnostischen Ausgangsaufnahme war da­raufhin eine deutliche apikale Läsion endodontischen Ursprungs am Zahn 44 zu sehen. Der Zahn 45 blieb ohne pathologischen radiologischen Befund.

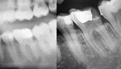
Obwohl die apikale Läsion des Zahnes 44 aufgrund der Größe bereits mehrere Monate bestehen musste, war die Ursache des Zahnarztbesuches die akuten ausstrahlenden Beschwerden des Zahnes 45, welcher bereits vor vielen Jahren mit einer Goldkrone versorgt worden war. Die Ausgangsaufnahme (Abb. 1) zeigte weiterhin eine stark gekrümmte Wurzel mit einem s-förmigen Kanalverlauf am Zahn 44. Diese anatomische Besonderheit erschwert die prognostisch sichere apexnahe Aufbereitung des Wurzelkanalsystems erheblich und stellt den Endodontologen vor besondere Herausforderungen. Beide Zähne wurden nach Leitungsanästhesie trepa­niert, die Pulpakammerböden und die Kanaleingänge dargestellt (Abb. 2). Es zeigte sich bei der intrakoronalen Inspektion eine stark verlängerte Blutung aus dem Wurzelkanalsystem des Zahnes 45, während am Zahn 44 eine deutliche Pusentleerung beobachtet werden konnte.

Nach Spülung mit dreiprozentiger Natriumhypochloridlösung am Zahn 45 wurde eine Arbeitslänge von 21 Millimetern nach elektrometrischer Längenbestimmung gemessen (Abb. 3 und 4). Die Aufbereitung und Reinigung des Wurzelkanalsystems des Zahnes 45 konnte bereits in der ersten Akutbehandlung abgeschlossen werden. Es wurde Ledermix als medikamentöse Einlage auf Arbeitslänge eingebracht und der Zahn provisorisch verschlossen. Die Behandlung des Zahnes 44 beschränkte sich auf die Spülung und sehr feine Son­dierung des Kanalsystems mit einer Hedströmfeile der Größe ISO 08/.02, um die Pusentleerung zu unterstützen. Es wurde ein Kalziumhydroxidpräparat als medikamentöse Einlage eingebracht.

In einem zweiten Termin haben wir die Behandlung des Zahnes 44 weitergeführt. Nach erneuter sehr vorsichtiger Sondierung und NaOCl-Spülung wurde mit einem Apex-Locator die Arbeitslänge elektrometrisch bestimmt. Auch am Zahn 44 betrug diese 21 Millimeter. Nach der manuellen Aufbereitung und Reinigung bis ISO 25/.02 haben wir mit dem RECIPROC-System nachbereitet. In einem dritten Termin konnten beide Kanalsysteme nach bereits eingetretener Beschwerdefreiheit mit einer Kombination von kalter und warmer Obturationstechnik mit Guttapercha abgefüllt werden. Wie auf der radiologischen Kontrollaufnahme der Wurzelfüllung des Zahnes 44 zu erkennen ist (Abb. 5), besteht das Hauptrisiko bei s-förmig geschwungenen Wurzelkanalsystemen in einer Begradigung des Kanalverlaufs.

Um eine iatrogene Schwächung der Kanalwände oder gar Strip-Perforationen der Innenkurvatur zu vermeiden, sollte auf eine Aufbereitung des Kanalsystems über ISO 25 verzichtet werden. Gerade maschinelle Aufbereitungssysteme bergen aufgrund der sehr starken Schneidleistung der Feilen ein hohes Risiko der Begradigung. Dies auch vor dem Hintergrund, dass diese Feilen zumeist eine sehr große Konizität (Taper) von bis zu .08 aufweisen.

Mehr Fachartikel aus Endodontologie

ePaper