Implantologie 30.06.2023

Implantatprothetische Versorgung bei Sjögren-Syndrom



Implantatprothetische Versorgung bei Sjögren-Syndrom

Foto: Prof. Dr. Matthias Karl/ZÄ Virgilia Klär

Mehrjährige Behandlung einer älteren Patientin

Neben der rheumatoiden Arthritis stellt das Sjögren-Syndrom die zweithäufigste Erkrankung des rheumatischen Formenkreises dar1 und betrifft hauptsächlich Frauen ab dem 40. Lebensjahr.2, 3 Es handelt sich um eine chronische Autoimmunerkrankung, bei der exokrine Drüsen durch lymphozytäre Infiltration irreversibel geschädigt werden.4, 5 Vom primären Sjögren-Syndrom mit unbekannter Ätiologie ist dabei das sekundäre Sjögren-Syndrom abzugrenzen, das in Zusammenhang mit einer weiteren rheumatoiden Erkrankung, wie beispielsweise einem systemischen Lupus erythematodes, steht.1 Der folgende Beitrag zeigt die mehrjährige prothetische Versorgung einer Patientin mit Sjögren-Syndrom im Ober- und Unterkiefer.

Exokrine Drüsen, wie die Glandula parotis oder Glandula lacrimalis, sind bei betroffenen Patienten, die unter dem Sjögren-Syndrom leiden, in ihrer Funktion wesentlich eingeschränkt, sodass Xerostomie und Keratokonjunktivits sicca als die häufigsten Leitsymptome angegeben werden.6 In Assoziation mit nicht glandulären Symptomen, wie Müdigkeit und Morgensteifigkeit, können die gesundheitsbezogene Lebensqualität, Berufsausübung sowie Teilnahme an sozialen Aktivitäten erheblich eingeschränkt sein.2, 6 Xerostomiebedingte Sprech-, Kau- und Schluckprobleme sowie höhere Prävalenzen an oralen Pilzinfektionen beeinträchtigen zudem die orale gesundheitsbezogene Lebensqualität.7, 8 Zwar zeigen Patienten mit Sjögren-Syndrom wohl keine höhere Anfälligkeit für parodontale Erkrankungen, sehr wohl jedoch eine erhöhte Kariesanfälligkeit und einen dadurch bedingt frühzeitigeren Zahnverlust4, 5, 9 mit nachfolgend erhöhtem Behandlungsbedarf und finanzieller Belastung.6 In der Literatur wurden zwischenzeitlich vielversprechende Ergebnisse über dentale Implantationen bei Patienten mit Sjögren-Syndrom und Zahnverlust beschrieben.1, 10, 11 Im Vergleich zur Allgemeinbevölkerung unterschieden sich die Überlebensraten der dentalen Implantate bei Sjögren-Syndrom-Patienten nicht.1, 10 Zuletzt wurde eine Erfolgsrate von 95,22 Prozent bei einem maximalen Beobachtungszeitraum von mehr als zehn Jahren angegeben.11

Da aktuell keine kurative Behandlungsmethode bei Sjögren-Syndrom existiert, steht die symptomatische Behandlung der Patienten – lokal, systemisch, chirurgisch – im Vordergrund.3, 8

Patientenfall

Eine 62-jährige überaus engagierte und verständige Patientin mit diagnostiziertem Sjögren-Syndrom stellte sich erstmals in der Klinik für Zahnärztliche Prothetik und Werkstoffkunde am Universitätsklinikum des Saarlandes vor. Grund hierfür war der Wunsch nach definitiver prothetischer Versorgung, primär im Sinne eines Lückenschlusses Regio 26, 36 und 46. Anamnestisch wurden als weitere Vorerkrankungen ein erhöhter Blutdruck und Diabetes mellitus angegeben.

Vorbehandlung und Ausgangssituation

Eine mehrjährige konservierende sowie prothetische Vorbehandlung alio loco, mit dem Ziel des Zahnerhalts mittels plastischer Füllungen, war insbesondere durch rekurrierende Sekundärkaries vergebens. Zahlreiche endodontische Maßnahmen führten neben der progredienten Karies zur zusätzlichen Schwächung der Zahnhartsubstanz. Nach erfolgter Candida albicans-Behandlung wurde außerdem eine Parodontaltherapie durchgeführt. Innerhalb der darauffolgenden zwei Jahre (Abb. 1 und 2 im Vergleich) kam es trotz der engmaschigen Kontrollen zu einer flächenhaften Ausbreitung der Karies, insbesondere an den Zahnhälsen. Die nicht erhaltungsfähigen Zähne wurden entfernt und eine Interimsprothese mit einer Bisshebung von 2 mm als Zahnersatz im Oberkiefer eingegliedert. Im Verlauf klagte die Patientin jedoch über eine merkliche Zunahme der Mundtrockenheit und Abnahme des oralen Wohlbefindens durch den schleimhautbedeckenden Kunststoff. Der Patientin wurde eine Implantatversorgung Regio 25 und 26 mit internem Sinuslift angeraten.

Behandlungsplan

Nach wiederholter konservierender und teils prothetischer Vorbehandlung wurde der Restzahnbestand bei Erstvorstellung aus gesamtprothetischer Sicht reevaluiert. Aufgrund kaum zu beherrschender kariöser Destruktion war ein langfristiger Zahnerhalt nicht zu gewährleisten. In Absprache mit der Patientin wurde ein Versuch der Überkronung aller vorhandenen Zähne mit sukzessivem Umbau zu rein implantatgetragenen Hybridprothesen unternommen. Ziel war eine funktionelle und ästhetische Rehabilitation mit gleichzeiti-ger Minimierung des schleimhautbedeckenden Kunststoffanteils und einer suffizienten Reinigungsfähigkeit zur Eindämmung der Kariesprogredienz. Die schrittweise Versorgung der Patientin mit Implantaten erfolgte strategisch, um ossäre Augmentationen zu umgehen und das Versorgungsrisiko bei etwaigem frühen Implantatverlust zu minimieren.

Prothetisches Vorgehen

Zu Beginn der Therapie waren folgende Zähne noch in situ: 15, 13–11, 21–23, 31–35, 38, 41–44 sowie Implantate Regio 25, 26 (Abb. 3a und b). Gefräste Langzeitprovisorien aus PMMA (Abb. 4a–c) sollten als Erstversorgung zur Sicherung einer eindeutigen Unterkieferposition dienen. Während der Präparationsphase wurden zahlreiche weitere endodontische Maßnahmen erforderlich, wobei vereinzelt Fistelbildungen beobachtet werden konnten (Abb. 5).

Nach Erreichen einer kariesfreien Situation wurden die Langzeitprovisorien zementiert (vgl. Abb. 4). Eine Versorgung der regelrecht osseointegrierten Implantate Regio 25 und 26 erfolgte ebenfalls mittels Langzeitprovisorien. Aufgrund einer anhaltenden massiven Kariesprogredienz waren in kürzester Zeit multiple Rezementierungen erforderlich. Die komplette Erweichung des Restdentins während der prothetischen Behandlung insbesondere im Oberkiefer, exemplarisch an Zahn 15 mit Fraktur der klinischen Krone (Abb. 6), galt als Startpunkt für den Beginn der definitiven Oberkieferversorgung mittels rein implantatgetragener verschraubter Hybridprothese.

Nach multiplen Frakturen der Zahnkronen und Entfernung der Wurzelreste konnten drei weitere Implantate Regio 13, 15 und 22 bei komplikationsloser Einheilung strategisch vorteilhaft positioniert werden. Bis zu diesem Zeitpunkt bestand hinreichend Sicherheit, dass Implantate bei der Patientin regelrecht osseointegrieren und ein marginaler Knochenumbau normale Limits nicht übersteigen würde. Die daraufhin eingegliederte okklusal verschraubbare OK-Hybridprothese führte zu einer hohen Patientenzufriedenheit hinsichtlich Funktion, Reinigungsfähigkeit und Ästhetik (Abb. 7).

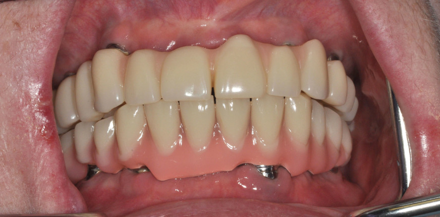
Im Anschluss fand die finale Versorgung im Unterkiefer nach dem wie bereits für den Oberkiefer beschriebenen Ablauf statt, sodass schlussendlich basierend auf vier Implantaten (Regio 32, 36, 43, 45; Abb. 8) eine okklusal verschraubte Hybridprothese im Unterkiefer eingegliedert werden konnte (Abb. 9 und 10).

Diskussion

Der vorgestellte Patientenfall sowie in der Literatur beschriebene Fallberichte zeigen, dass eine strategische Pfeilervermehrung durch Implantation eine zielführende Behandlungsstrategie bei Patienten mit Sjögren-Syndrom darstellt.1, 10, 11 Nichtsdestotrotz sind allgemeine Voraussetzungen seitens des Patienten, betreffend Vorerkrankungen, Medikation und Knochenangebot unabdingbar. Xerostomiebedingt ist die natürliche Zahnhartsubstanz einem hohen Kariesrisiko und damit verbundenem frühzeitigem Zahnverlust ausgesetzt,5, 9 wohingegen implantatgetragene Versorgungen auch bei dieser Patientengruppe vorhersagbar möglich sind.4 Die orale gesundheitsbezogene Lebensqualität kann durch Vermeidung breitflächig bedeckter Schleimhaut durch eine Prothesenbasis deutlich gesteigert werden.

Die zahnärztlichen Behandlungen stellten die gesetzlich versicherte Patientin vor große finanzielle Herausforderungen und erst durch hartnäckige Intervention und mehrmalige gutachterliche Prüfung konnte eine Kostenübernahme im Sinne der Patientin erreicht werden.

Weiterer Autor: ZÄ Virgilia Klär

Eine Literaturliste steht Ihnen hier zum Download bereit.

Dieser Beitrag ist im IJ Implantologie Journal erschienen.

Mehr Fachartikel aus Implantologie

ePaper