Implantologie 04.04.2023

Implantatprothetische Versorgung des subtotalen Oberkiefers



Implantatprothetische Versorgung des subtotalen Oberkiefers

Foto: © Dr. Thomas Barth

Immer wieder begegnen uns in der täglichen Praxis Menschen mit verschiedenen Leidenssymptomatiken ihrer Zähne/ihres Kauapparats. Dabei ist der Zahnverlust häufig erheblich fortgeschritten, eine therapeutische respektive grundsätzliche Versorgung der Lücken nicht oder bedingt vorhanden und damit die Lebensqualität im Großen und Ganzen erheblich eingeschränkt. Wir möchten mit drei exemplarischen Patientenfällen unsere Herangehensweise und Ergebnisse mit diesem Beitrag darstellen. Dazu werden die Kasuistiken im Folgenden mit Patient A, B und C dargestellt.

Implantatprothetisch-chirurgische Behandlungen setzen eine individuelle, auf den Patienten abgestimmte Planung voraus. In dieser Planungsphase werden Modelle und Wax-up Studien in mindestens gesichtsbogengeführten Artikulatoren hergestellt und verschiedene Therapieoptionen mit dem Patienten sehr ausführlich abgestimmt. Besonderes Augenmerk widmen wir dabei z. B. dem heimatlosen Unterkiefer (keine sichere natürliche Zuordnung von Unter- zu Oberkiefer) und der Bestimmung der Bisslage. So wurde beispielsweise bei Patient A die noch vorhandene Okklusion gesichert und als Orientierung weiter übertragen. Bei den Fällen der Patienten B und C dienten die letzten Molaren zunächst als Orientierung für das Wax-up. Die richtige vertikale Modellstudie kann schon wesentliche Hinweise geben, ob z. B. für Stege genügend prothetischer Raum zur Verfügung steht oder ob eine festsitzende Versorgung eher größere ästhetische Probleme aufwirft, z. B. aufgrund rekonstruktiv zu langer ersetzter Zähne. Nicht zuletzt sind diese Studien für den Patienten im Gespräch visuell wichtig, um die Planungsideen besser zu verstehen.

Patientenfall A

Schließlich ergibt sich aus diesen Gesprächen der für den Patienten individuelle verlässliche Heil- und Kostenplan. Dieser kann je nach Situation weniger (Patient B) oder deutlich umfangreicher (Patient C) ausfallen. Insbesondere ältere Patienten lassen sich in einem auch komplizierten Behandlungsablauf durch eine umfangreichere Aufklärung und Beratung wesentlich besser führen. Nicht zuletzt sollte bei der geriatrischen Patientengruppe auch beachtet werden, dass alle unsere Rekonstruktionen ggf. auch in einem Pflegeheim beherrschbar sein sollten.

Im August 2019 stellte sich die damals 68-jährige Patientin mit einem „maximal gebrauchten“ Gebisszustand vor. Sie kam in die Praxis, um sich eine zweite Meinung einzuholen sowie mit der Bitte einer möglichen Behandlungsübernahme. Im Oberkiefer der Patientin waren noch zehn eigene Zähne vorhanden, im Unterkiefer 13. Ein Zahnersatz war nicht vorhanden. Das Kauorgan litt größtenteils unter massiven parodontalen Schäden. Die Zähne 13, 23, 24, 27 im Oberkiefer sowie 44, 43, 33, 34, 35, 36, 37 sollten in die definitive Planung einbezogen werden. Der Kieferhöhlenboden war weit ausgeprägt, was implantatchirurgisch Beachtung finden muss (Abb. 1 und 2). Die Patientin war in einem guten allgemeinen Gesundheitszustand, auch komplizierteren Behandlungsschritten aufgeschlossen und wollte nach ausführlichen Beratung an einem definitiv festsitzenden Behandlungsziel festhalten.

Bahandlung

Zunächst konnte die Bisslage nach der Extraktion der nicht erhaltungswürdigen Zähne mit einer therapeutischen Teleskoparbeit im Oberkiefer und einer MOG-Prothese im Unterkiefer gesichert werden (Abb. 3 und 4). Die aufwendigere temporäre Versorgung im Oberkiefer wurde aufgrund der verlängerten Behandlungszeit durch die beidseitige offene Sinusliftoperation vorgeschlagen. Im weiteren Verlauf erfolgte die Implantation simultan mit der Sinusliftoperation schablonengeführt in beiden Kiefern. Nach sechs Monaten konnten alle Implantate freigelegt und im Oberkiefer zunächst eine temporäre PEEK-Versorgung zur Weichgewebsausheilung für zwei Monate eingegliedert werden (Abb. 5–7). Zwischenzeitlich wurde der Unterkiefer definitiv versorgt, ehe zum Abschluss der operativ ausgeheilte Oberkiefer folgte. Die heute 72-jährige Patientin ist nach wie vor sehr zufrieden mit dem Behandlungsergebnis, insbesondere mit der für sie altersgerechten Zahnfarbe. Sie wird zweimal jährlich zur professionellen Zahnreinigung einbestellt (Abb. 8).

Patient B

Ausgangssituation

Der 56-jährige Patient stellte sich im Dezember 2021 nach einer Überweisung vor. Er gab an, mit seiner gegenwärtigen Versorgung nicht kauen zu können. Außerdem plagte ihn ein extremer Würgereiz, wenn er die Prothese in den Mund nahm, weshalb er diese nicht mehr trug (Abb. 9). Die Ätiologie und der Verlust der Oberkieferzähne war zeitlich nicht einzugrenzen. Eine starke Beanspruchung seines Gebisses durch möglicherweise berufliche Belastung lässt sich anhand der Kauflächenabrasionen im Unterkieferseitenzahngebiet erahnen. Sie sind saniert und soweit klinisch funktionell belastbar. Die Knochen- und Weichgewebsverhältnisse waren in gutem bis sehr gutem Zustand und ersparten dem Patienten umfangreichere Augmentationsmaßnahmen. Die Okklusion bestand ausschließlich mit den oberen Zähnen 18 und 28, womit immer noch eine relativ gesicherte Zuordnung des Unterkiefers gegeben war. Gemeinsam legten wir nach einigen Absprachen zunächst sowohl eine gaumenfreie abnehmbare als auch die definitiv festsitzende Versorgung des Oberkiefers als Therapieziel fest.

Therapie

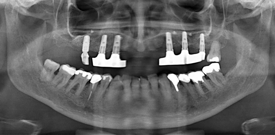
Der berufliche Alltag, die möglichen Behandlungszeiten sowie interne familiäre Absprachen führten letztlich zum festsitzenden Therapieziel.Das ausgesprochen gute knöcherne Lager mit ebenso stabilem, dickem Weichgewebe und dem noch vorhandenen distalen sensiblen Molarenkontakt zur immerhin noch diskreten Okklusionssteuerung erleichterten den Behandlungsverlauf. Die Implantation erfolgte schließlich aus dem laborgefertigten Wax-up heraus schablonenorientiert bei diskreter mitkrestaler Schnittführung (Abb. 10 und 11).Die Implantatposition war planungsgerecht beidseitig in der 2er-, 3er-, 4er- und 6er-Region ohne weitere augmentative Maßnahmen. Die Wundheilung geschah problemlos bei bekannter Prothesenabstinenz. Nach der Freilegung wurde auf weitere temporäre prothetische Maßnahmen nach gemeinsamer Absprache verzichtet (Abb. 12). Als Abutments dienten Ti Base-getragene (Camlog) individuell gefräste Stümpfe. Bei der Einprobe wurde lediglich im Bereich der Brückenglieder 11 und 21 mit einer kleinen Inzision ein besseres Pontic unterstützt. Schließlich konnte der Oberkiefer mit kleinen prothetischen Einheiten definitiv festsitzend versorgt werden (Abb. 13 und 14). Der Patient wurde in ein strengeres Recall-System eingegliedert. Er erscheint zunächst vierteljährlich zur Kontrolle der Okklusion und ggf. kleineren Einschleifmaßnahmen, insbesondere um die Alltagstauglichkeit bei körperlich anstrengender Arbeit zu prüfen. Er ist außerdem angehalten, in der Nacht eine einfache Miniplastschiene zum Schutz vor nächtlicher Stressverarbeitung (Knirschen) zu tragen.

Patient C

Ausgangssituation

Die 56-jährige Patientin wurde im Juli 2018 zur weiteren Behandlung überwiesen, da das in der Überweiserpraxis besprochene Therapieziel in Gefahr schien. Der Oberkiefer wies eine erhebliche Behandlungshistorie sowie insgesamt stark reduziertes Hart- und Weichgewebe auf (Abb. 15 und 16). Die Zielstellungen der Überweiserpraxis waren im Oberkiefer zwei Stege und eine gaumenfreie abnehmbare Versorgung. Der Implantationsversuch endete nach den beiden Implantationen (iSy, Camlog) relativ schnell aufgrund der intraoperativ extremen sowohl vertikalen als auch horizontalen Atrophie des knöchernen Oberkiefers (Abb. 17). Es musste zunächst über eine umfangreiche Aufbauarbeit des knöchernen Lagers nachgedacht werden, wenn das Therapieziel erreicht werden sollte. Neben den verschiedenen Augmentationsprotokollen für den Oberkiefer bestand die Möglichkeit, die Yxoss-Methodik (Geistlich Biomaterials), mehrfach von Dr. M. Sailer & Kollegen publiziert, anzuwenden. Damit wurde mit der Patientin auch ausführlich über eine verlängerte Behandlungszeitschiene gesprochen.

Therapie

Da in diesem Patientenfall ein ausgesprochen stark reduziertes knöchernes Lager in Kombination mit einer chirurgischen Behandlungshistorie imponierte, war die Herangehensweise und damit die Therapie ausgesprochen umfangreich (Abb. 19).

Zunächst galt das besondere Augenmerk der Herstellung eines implantattragenden knöchernen Lagers mithilfe der Yxoss-Technik. Hierzu wurden nach einem DVT beidseitig zwei Titangitterstrukturen geplant. Sie dienten als wünschenswerte augmentative Raumbegrenzungen. Dabei muss bei der digitalen Planung der Gitter besonders auf die dreidimensionale Raumstruktur und deren Möglichkeit u. a. zur existenziell notwendigen Vaskularisation des Augmentats geachtet werden (Abb. 20). Außerdem ist das operative Weichgewebsmanagement ausgesprochen anspruchsvoll, um Dehiszenzen möglichst zu vermeiden. Die therapeutische Zielstellung einer definitiven Prothetik war aufgrund des größeren vertikalen Defekts von vornerein eine gaumenfreie, stegbasierte abnehmbare Lösung. Dies war für die Patientin aufgrund der Vorgeschichte völlig akzeptabel.

Der Knochen wurde als kleiner Block aus dem Kieferwinkel gewonnen und in einer Mühle zermahlen. Safescraper erleichtern u. U. alternativ diese Methode deutlich. Das Implantat (iSy, Camlog) wurde auf dieser rechten Kieferhälfte belassen, denn es war gut osseointegriert und später in die Konstruktion gut einzubeziehen.

Anders stellte sich die Situation im linken Oberkiefer dar. Hier war das vorhandene Implantat prothetisch nicht einzubeziehen und auch nur zum Teil noch osseointegriert. Die Schnittführung war deshalb different:

  • rechter Oberkiefer mit Poncholappenplastik unter Schonung der periimplantären Implantatsituation
  • linker Oberkiefer mit midkrestaler Inzision (Abb. 18–21)

Temporär wurde zusätzliche ein Interimsimplantat zur Stütze der vorhandenen Prothetik in Regio 11 und 21 platziert. Außerdem konnten beide Sinus erfolgreich aufgefüllt werden. Nach sechs Monaten wurden die Gitter entnommen und das Weichgewebe zunächst einer sechswöchigen Ausheilzeit überlassen, ehe die Implantation erfolgte (Abb. 22 und 23). Das Interimsimplantat der Oberkieferfront ging vermutlich durch die trotz aller Vorsicht zu große Kaubelastung (Unterkiefer vollbezahnt) nach fünf Monaten verloren.

Es handelte sich in diesem Fall um eine rein implantatgetragene, gaumenfreie abnehmbare Konstruktion. Beide noch vorhandenen Weisheitszähne wurden als sensible Belastungswahrnehmer integriert. Der schon parodontal kompromittierte Zahn 18 ging nach zwei Jahren schließlich doch verloren. Die klinische und radiologische Situation drei Jahre post implantationem in einem doch massiv augmentierten knöchernen Lager kann vorsichtig positiv betrachtet werden. Die Patientin steht in einem kontrollierten regelmäßigen Recall (Abb. 24–27).

Fazit

Diese drei unterschiedlichen Fallbeispiele für die Rehabilitation totaler und subtotaler Oberkiefer sind immer mehr oder weniger anspruchsvoll. Die wichtigsten Parameter in der Herangehensweise bei derartigen Therapien sind:

  • Die persönliche Ausgangssituation: Wie kam es dazu und wie ist die allgemeine Patientencompliance inkl. des Leidensdrucks einzuschätzen?
  • Wie stellt sich die klinische und radiologische Ausgangssituation sowohl knöchern als auch weichgewebig dar?
  • Welche prothetische Wunschvorstellung besteht beim Patienten und entspricht diese den klinischen und persönlichen Möglichkeiten der ggf. erforderlichen Therapiemaßnahmen?
  • Welche Erfahrungen hat das Team objektiv mit derartigen Therapiemaßnahmen? Können wir im Patientengespräch Sicherheit und Klarheit auch mit Alternativen und Ehrlichkeit erreichen? Dies erweist sich oftmals erst dann als ausgesprochen positiv, wenn während der Behandlung Probleme jedweder Art auftreten.

Autoren: Dr. Thomas Barth, Dr. Andreas Höfner, ZA Christian Barth

Dieser Beitrag ist im IJ implantologie Journal erschienen.

Mehr Fachartikel aus Implantologie

ePaper