Wünschen Patienten eine möglichst unauffällige Korrektur ihrer Zahnfehlstellungen, wird ihnen neben bukkalen Keramikbrackets sowie lingualen Bracketsystemen auch der Einsatz von Alignern angeboten. Gut für kleinere ästhetische bis mittlere Korrekturen einsetzbar, stellen die transparenten Schienen bei der Behandlung schwerer Fehlstellungen oft nicht die erste Wahl dar. Zu unrecht? Das im folgenden dargestellte Fallbeispiel zeigt den Einsatz von Alignern bei klinisch herausfordernder Indikation.
Transparente Zahnschienen werden bereits seit 20 Jahren als seriöse Behandlungsmethode eingesetzt. Die Anzahl an behandelten Fällen weltweit steigt kontinuierlich und der Einsatzbereich (von der frühen Kindheit bis ins Erwachsenenalter) erweitert sich ständig. Und dennoch: Viele Kieferorthopäden und Zahnärzte behaupten, dass Aligner nur begrenzt geeignet sind, um Zähne in einer präzisen und vorhersagbaren Weise zu bewegen. Insbesondere in schwierigen Fällen, in denen Extraktionen erforderlich sind, geneigte Okklusionsebenen korrigiert oder Wurzeln bewegt werden müssen.
Der folgende Patientenfall wird zeigen, dass sich Aligner sehr wohl auch bei schwieriger Indikation als eine effektive sowie zuverlässige Behandlungsapparatur erweisen.
Abb. 1a: Nahaufnahme des Lächelns
der Patientin. Man sieht die Schräge
der oberen Okklusionsebene und die
Asymmetrie der Lachlinie. © Rafi Romano DMD, M.Sc.
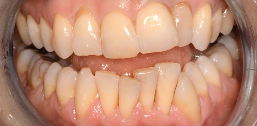
Abb. 1b–c: Frontale Ansicht der Okklusion bei geschlossenem und offenem Mund. Man sieht die ungleiche Inklination und Angulation der Kronen, den ausgeprägten anterioren Engstand im Unterkiefer, die bukkale Rezession (hauptsächlich um Zahn 33) und den Abrieb der Inzisalkanten der oberen und unteren Frontzähne. © Rafi Romano DMD, M.Sc.
Abb. 1b–c: Frontale Ansicht der Okklusion bei geschlossenem und offenem Mund. Man sieht die ungleiche Inklination und Angulation der Kronen, den ausgeprägten anterioren Engstand im Unterkiefer, die bukkale Rezession (hauptsächlich um Zahn 33) und den Abrieb der Inzisalkanten der oberen und unteren Frontzähne. © Rafi Romano DMD, M.Sc.
Abb. 1d–e: Okklusalansicht des oberen und unteren Zahnbogens. Zahn 33 wird verdrängt bei nur minimalem Abstand zwischen Zahn 32 und 34. © Rafi Romano DMD, M.Sc.
Abb. 1d–e: Okklusalansicht des oberen und unteren Zahnbogens. Zahn 33 wird verdrängt bei nur minimalem Abstand zwischen Zahn 32 und 34. © Rafi Romano DMD, M.Sc.
Abb. 1f–g: Panoramaaufnahme und
periapikale Röntgenaufnahmen der Patientin vor der Behandlung. Man sieht
die Wurzelkanalbehandlung an Zahn 22 mit distaler Neigung der Wurzel, die
minimale knöcherne Einbettung der
unteren anterioren Schneidezähne, insbesondere von Zahn 32, die Wurzelkanalbehandlung der oberen ersten Molaren und eine implantatgetragene Kronenrestauration bei Zahn 17. © Rafi Romano DMD, M.Sc.
Abb. 1f–g: Panoramaaufnahme und periapikale Röntgenaufnahmen der Patientin vor der Behandlung. Man sieht die Wurzelkanalbehandlung an Zahn 22 mit distaler Neigung der Wurzel, die
minimale knöcherne Einbettung der
unteren anterioren Schneidezähne, insbesondere von Zahn 32, die Wurzelkanalbehandlung der oberen ersten Molaren und eine implantatgetragene Kronenrestauration bei Zahn 17. © Rafi Romano DMD, M.Sc.
Abb. 2a, b: Simulation der Zahnbewegung erstellt mit ClinCheck®. Man sieht die unterschiedliche Form und Größe
der Kompositattachments an den Zähnen, um die Präzision der Extrusionsbewegungen, der Aufrichtung und der Rotation sicherzustellen, die erforderlich war, um in diesem Fall eine optimale Okklusion zu erreichen. © Rafi Romano DMD, M.Sc.
Abb. 2a, b: Simulation der Zahnbewegung erstellt mit ClinCheck®. Man sieht die unterschiedliche Form und Größe
der Kompositattachments an den Zähnen, um die Präzision der Extrusionsbewegungen, der Aufrichtung und der Rotation sicherzustellen, die erforderlich war, um in diesem Fall eine optimale Okklusion zu erreichen. © Rafi Romano DMD, M.Sc.
Abb. 3a: Patientin mit dem ersten Aligner.
Beachte die Genauigkeit und die perfekte
Passform der Schienen mit ihren
zahlreichen Attachments an den Zähnen. © Rafi Romano DMD, M.Sc.
Abb. 3b: Frontalansicht der Patientin
nach Extraktion von Zahn 32, eine Woche nach dem ersten Aligner. Es sind
Kompositattachments an den Zähnen
erkennbar, die bei normaler Gesprächsdistanz jedoch kaum sichtbar sind. © Rafi Romano DMD, M.Sc.
Abb. 4a, b: Ein im iTero-Scanner integriertes Progress Assessment Tool® wurde verwendet, um die aktuelle Zahnposition mit dem Behandlungsplan zu vergleichen. Man sieht grün eingefärbte Zähne (außer 33), was bedeutet, dass alle vorgesehenen Bewegungen mit
maximaler Präzision erreicht wurden.
Wie die Wertetabelle zeigt, benötigt
Zahn 33 mehr Rotation, sodass die Patientin angewiesen wurde, den aktuellen Aligner für eine weitere Woche zu tragen, damit die in den Aligner eingebrachte Rotation voll umgesetzt kann. © Rafi Romano DMD, M.Sc.
Abb. 4a, b: Ein im iTero-Scanner integriertes Progress Assessment Tool® wurde verwendet, um die aktuelle Zahnposition mit dem Behandlungsplan zu vergleichen. Man sieht grün eingefärbte Zähne (außer 33), was bedeutet, dass alle vorgesehenen Bewegungen mit
maximaler Präzision erreicht wurden.
Wie die Wertetabelle zeigt, benötigt
Zahn 33 mehr Rotation, sodass die Patientin angewiesen wurde, den aktuellen Aligner für eine weitere Woche zu tragen, damit die in den Aligner eingebrachte Rotation voll umgesetzt kann. © Rafi Romano DMD, M.Sc.
Abb. 5a–d: Aufnahmen des Lächelns und der Zähne nach siebenmonatiger
Behandlung. (32 Aligner). Es ist eine
deutliche Verbesserung des Lächelns und der geneigten Okklusalfläche erkennbar. Zudem sieht man das Schließen der Extraktionslücke sowie die Aufrichtung des linken unteren Schneidezahns. © Rafi Romano DMD, M.Sc.
Abb. 5a–d: Aufnahmen des Lächelns und der Zähne nach siebenmonatiger
Behandlung. (32 Aligner). Es ist eine
deutliche Verbesserung des Lächelns und der geneigten Okklusalfläche erkennbar. Zudem sieht man das Schließen der Extraktionslücke sowie die Aufrichtung des linken unteren Schneidezahns. © Rafi Romano DMD, M.Sc.
Abb. 5a–d: Aufnahmen des Lächelns und der Zähne nach siebenmonatiger
Behandlung. (32 Aligner). Es ist eine
deutliche Verbesserung des Lächelns und der geneigten Okklusalfläche erkennbar. Zudem sieht man das Schließen der Extraktionslücke sowie die Aufrichtung des linken unteren Schneidezahns. © Rafi Romano DMD, M.Sc.
Abb. 5a–d: Aufnahmen des Lächelns und der Zähne nach siebenmonatiger
Behandlung. (32 Aligner). Es ist eine
deutliche Verbesserung des Lächelns und der geneigten Okklusalfläche erkennbar. Zudem sieht man das Schließen der Extraktionslücke sowie die Aufrichtung des linken unteren Schneidezahns. © Rafi Romano DMD, M.Sc.
Abb. 5e: Patientin mit Aligner Nummer 32 im Mund. Beachte das ästhetische Erscheinungsbild aufgrund der perfekten Passung der Aligner sowie die Präzision der geplanten Zahnbewegung in allen drei Dimensionen. © Rafi Romano DMD, M.Sc.
Abb. 6a–f: Gesichts- und Zahnaufnahmen am Ende der kieferorthopädischen Bewegung und vor den ästhetischen Maßnahmen (Ersatz der Restauration und Abdeckung der abgeriebenen Zähne
mittels Keramikveneers). Es ist eine
Verbesserung sämtlicher Parameter erkennbar. Alle Behandlungsziele wurden erreicht, inklusive der erforderlichen schwierigen Bewegungen wie der Extrusion oben links, der Wurzelaufrichtung usw. © Rafi Romano DMD, M.Sc.
Abb. 6a–f: Gesichts- und Zahnaufnahmen am Ende der kieferorthopädischen Bewegung und vor den ästhetischen Maßnahmen (Ersatz der Restauration und Abdeckung der abgeriebenen Zähne
mittels Keramikveneers). Es ist eine
Verbesserung sämtlicher Parameter erkennbar. Alle Behandlungsziele wurden erreicht, inklusive der erforderlichen schwierigen Bewegungen wie der Extrusion oben links, der Wurzelaufrichtung usw. © Rafi Romano DMD, M.Sc.
Abb. 6a–f: Gesichts- und Zahnaufnahmen am Ende der kieferorthopädischen Bewegung und vor den ästhetischen Maßnahmen (Ersatz der Restauration und Abdeckung der abgeriebenen Zähne
mittels Keramikveneers). Es ist eine
Verbesserung sämtlicher Parameter erkennbar. Alle Behandlungsziele wurden erreicht, inklusive der erforderlichen schwierigen Bewegungen wie der Extrusion oben links, der Wurzelaufrichtung usw. © Rafi Romano DMD, M.Sc.
Abb. 6a–f: Gesichts- und Zahnaufnahmen am Ende der kieferorthopädischen Bewegung und vor den ästhetischen Maßnahmen (Ersatz der Restauration und Abdeckung der abgeriebenen Zähne
mittels Keramikveneers). Es ist eine
Verbesserung sämtlicher Parameter erkennbar. Alle Behandlungsziele wurden erreicht, inklusive der erforderlichen schwierigen Bewegungen wie der Extrusion oben links, der Wurzelaufrichtung usw. © Rafi Romano DMD, M.Sc.
Abb. 6a–f: Gesichts- und Zahnaufnahmen am Ende der kieferorthopädischen Bewegung und vor den ästhetischen Maßnahmen (Ersatz der Restauration und Abdeckung der abgeriebenen Zähne
mittels Keramikveneers). Es ist eine
Verbesserung sämtlicher Parameter erkennbar. Alle Behandlungsziele wurden erreicht, inklusive der erforderlichen schwierigen Bewegungen wie der Extrusion oben links, der Wurzelaufrichtung usw. © Rafi Romano DMD, M.Sc.
Abb. 6a–f: Gesichts- und Zahnaufnahmen am Ende der kieferorthopädischen Bewegung und vor den ästhetischen Maßnahmen (Ersatz der Restauration und Abdeckung der abgeriebenen Zähne
mittels Keramikveneers). Es ist eine
Verbesserung sämtlicher Parameter erkennbar. Alle Behandlungsziele wurden erreicht, inklusive der erforderlichen schwierigen Bewegungen wie der Extrusion oben links, der Wurzelaufrichtung usw. © Rafi Romano DMD, M.Sc.
Abb. 6g: Panoramaaufnahme nach Abschluss der kieferorthopädischen Behandlung. Man sieht die Aufrichtung der
Wurzeln von Zahn 22 und 33 sowie die
Parallelität der unteren Schneidezähne
in der Nähe des Extraktionsbereichs. © Rafi Romano DMD, M.Sc.
Abb. 7a–j: Finales Lächeln mit ästhetischen Keramikveneers von 2-2 im
Oberkiefer und an den drei unteren
Schneidezähnen. © Rafi Romano DMD, M.Sc.
Abb. 7a–j: Finales Lächeln mit ästhetischen Keramikveneers von 2-2 im
Oberkiefer und an den drei unteren
Schneidezähnen. © Rafi Romano DMD, M.Sc.
Abb. 7a–j: Finales Lächeln mit ästhetischen Keramikveneers von 2-2 im
Oberkiefer und an den drei unteren
Schneidezähnen. © Rafi Romano DMD, M.Sc.
Abb. 7a–j: Finales Lächeln mit ästhetischen Keramikveneers von 2-2 im
Oberkiefer und an den drei unteren
Schneidezähnen. © Rafi Romano DMD, M.Sc.
Abb. 7a–j: Finales Lächeln mit ästhetischen Keramikveneers von 2-2 im
Oberkiefer und an den drei unteren
Schneidezähnen. © Rafi Romano DMD, M.Sc.
Abb. 7a–j: Finales Lächeln mit ästhetischen Keramikveneers von 2-2 im
Oberkiefer und an den drei unteren
Schneidezähnen. © Rafi Romano DMD, M.Sc.
Abb. 7a–j: Finales Lächeln mit ästhetischen Keramikveneers von 2-2 im
Oberkiefer und an den drei unteren
Schneidezähnen. © Rafi Romano DMD, M.Sc.
Abb. 7a–j: Finales Lächeln mit ästhetischen Keramikveneers von 2-2 im
Oberkiefer und an den drei unteren
Schneidezähnen. © Rafi Romano DMD, M.Sc.
Abb. 7a–j: Finales Lächeln mit ästhetischen Keramikveneers von 2-2 im
Oberkiefer und an den drei unteren
Schneidezähnen. © Rafi Romano DMD, M.Sc.
Abb. 7a–j: Finales Lächeln mit ästhetischen Keramikveneers von 2-2 im
Oberkiefer und an den drei unteren
Schneidezähnen. © Rafi Romano DMD, M.Sc.
Klinisches Fallbeispiel
Die 47-jährige Patientin stellte sich wegen des von ihr als unästhetisch wahrgenommenen Erscheinungsbildes ihrer Zähne in der Klinik vor. Es lagen ein stark ausgeprägter Engstand in der unteren Front, eine geneigte obere Okklusionsebene, eine asymmetrische Lachlinie, eine mesiale Kippung des unteren linken Eckzahns sowie eine nur noch minimale knöcherne Einbettung von Zahn 32 (linker unterer seitlicher Schneidezahn) mit einer tiefen Parodontaltasche von 7 mm vor (Abb. 1a bis 1g).
Nach einer interdisziplinären Beratung mit dem behandelnden Parodontologen und Prothetiker wurde entschieden, Zahn 32 zu extrahieren, da dieser eine schlechte Prognose hatte und eine tiefe Parodontaltasche aufwies. Eine Augmentation der bukkalen Gingiva zur Korrektur der Rezession sowie der Austausch unästhetischer und schlechter Restaurationen wurden für das Ende der Behandlung vorgesehen. Zudem wurden Bleaching und Veneers besprochen und für die Zeit nach Abschluss der kieferorthopädischen Behandlung ins Auge gefasst.
Wir wählten Aligner als Behandlungsapparatur. Dies geschah aus folgenden Gründen:
- Ästhetisch ansprechendes Aussehen über die gesamte Behandlungsdauer aufgrund der nahezu unsichtbaren transparenten Korrekturschienen.
- Möglichkeit der Integration sogenannter „Pontics“ in den Aligner, eines optischen Ersatzes des gezogenen Zahns, welcher die unästhetische Lücke solange verbergen soll, bis diese durch die Bewegung der benachbarten Zähne geschlossen wird.
- Im Vergleich zu bukkalen oder lingualen Bracketapparaturen bedecken Aligner die Zähne komplett. So werden sie gestützt, wenn Kräfte ausgeübt werden. Zudem dient die Oberfläche aller Zähne als Verankerung für die erfolgende Bewegung.
- Die Zahnhygiene kann mit einfachen Methoden aufrechterhalten werden.
- Es kommt zu weniger Notfällen und SOS-Praxisterminen, zudem ist weniger Stuhlzeit erforderlich.
- Realisierung einer vorhersagbaren sowie präzisen 3D-Planung und Behandlung.
- Es ist eine Möglichkeit, die Behandlung mit digitalen virtuellen Tools nachzuverfolgen, welche dabei helfen, die Behandlungszeit zu verkürzen und ungewollte Zahnbewegungen zu vermeiden.
Bei der Patientin kam das Invisalign® System zum Einsatz. Es wurde ClinCheck® verwendet, um die Zahnbewegungen zu simulieren und die Attachments zu planen, die zur Unterstützung der schwierigen Bewegungen erforderlich waren (Extrusion der oberen linken Frontzähne, Wurzel- und Kronenaufrichtung des linken unteren Eckzahns sowie dem Schließen der Extraktionslücke mit korrekter paralleler Ausrichtung der Wurzeln der benachbarten Zähne), Abb. 2a und 2b.
Für den Fall wurden 50 Aligner geplant, die je eine Woche getragen werden sollten. Bei jedem Kontrollbesuch erhielt die Patientin zehn Schienen. Es wurden mit ihr alle zehn Wochen Termine vereinbart, bei denen außerdem eine professionelle Zahnreinigung erfolgte, intra- und extraorale Aufnahmen gemacht sowie ein intraoraler Scan zur Beurteilung des Behandlungsfortschritts im Vergleich zur Planung durchgeführt wurden.
Zum Behandlungsplan gehörten optimierte Attachments, die basierend auf Erkenntnissen künstlicher Intelligenz und der Erfahrung mit Alignertechnologien entwickelt wurden, und die die Kontrolle der Extrusions-, Rotations- und Wurzelbewegung unterstützen. Die Präzision dieser Attachments sowie das Verständnis der speziellen Biomechanik von Alignern im Vergleich zu Bracketapparaturen sorgen letztlich dafür, dass die Behandlungsziele schnellstmöglich und mit einem Minimum an unerwünschten Nebenwirkungen erreicht werden.
Alle Attachments wurden im ersten Aligner berücksichtigt (Abb. 3a). Die Extraktion von Zahn 32 war mit Einsatz des zweiten Aligners vorgesehen, damit die Patientin sich vorab eine Woche an die Aligner gewöhnen konnte (Abb. 3b).
Zwölf Wochen nach dem Beginn der Behandlung und elf Wochen nach der Extraktion des unteren Schneidezahns wurden klinische Fotos erstellt. Zudem erfolgte ein intraoraler Scan. Um die aktuellen Zahnpositionen mit dem Behandlungsplan abzugleichen, kam hierbei ein im iTero-Scanner integriertes Tool (Progress Assessment Tool®) zur Anwendung. Das Ergebnis wird dabei sowohl farbig hervorgehoben als auch mithilfe von Werten in einer detaillierten Tabelle dargestellt. Aus dieser ist genau ersichtlich, welche der erfolgten Zahnbewegungen 1:1 der Planung entspricht, und welcher Zahn bzw. welche Zähne noch hinter dem Plan zurückbleiben oder sich in eine falsche oder gar entgegengesetzte Richtung bewegen. Sofern erforderlich, wird der Behandlungsplan entsprechend überarbeitet. Es können dann neue Zahnschienen bestellt werden oder manchmal wird der Patient bzw. die Patientin auch angewiesen, seine/ihre Aligner einfach etwas länger als ursprünglich vorgesehen zu tragen, oder die Mitarbeit zu verbessern (Abb. 3a und 3b).
54 Wochen nach Beginn des Falls wurde die Behandlung abgeschlossen. Die Attachments wurden entfernt und die Patientin an ihren Prothetiker überwiesen, um die Verblendung der abgeriebenen und grau verfärbten Zähne mit Keramikveneers zu planen, welche letztlich dann auch das unästhetische schwarze Dreieck zwischen den unteren Schneidezähnen abdecken, das hauptsächlich durch die Extraktion des linken unteren seitlichen Schneidezahns und durch die Auflösung des Engstands verursacht wurde. Beachten Sie die Verbesserung in allen Parametern und das Erreichen aller Behandlungsziele inklusive der erforderlichen schwierigen Zahnbewegungen wie Extrusion oben links, Wurzelaufrichtung und die Korrektur der geneigten Okklusionsebene (Abb. 6a bis 6f; Abb. 7a bis 7j).
Fazit
Zusammenfassend lässt sich sagen, dass Aligner nicht nur in einfachen, sondern auch in schwierigen Fällen eingesetzt werden können und sollten. Und dass sie definitiv die geplanten Ergebnisse liefern, wobei die Behandlungsmodalität der einer festen Zahnspange in vielerlei Hinsicht überlegen ist.
Dieser Beitrag ist in KN Kieferorthopädie Nachrichten erschienen.
Foto: Autor