Kieferorthopädie 13.06.2018

Miniplatten zur skelettalen Verankerung im Unterkiefer



Miniplatten zur skelettalen Verankerung im Unterkiefer

Foto: Autoren

Verankerung und ihre Kontrolle sind eine der limitierenden Faktoren in der kieferorthopädischen Behandlung, weshalb skelettale Verankerungselemente immer häufiger zum Einsatz kommen und die Grenzen der Orthodontie deutlich erweitert haben.1 Der Hauptvorteil einer skelettal getragenen Verankerung liegt in 
der Vermeidung unerwünschter dentaler Nebenwirkungen, welche sich bei herkömmlichen Verfahren nicht vermeiden lassen. Durch systematische Verbesserung in allen Bereichen aufgrund von Studien, Protokollanpassung, Veränderung der Materialien und der Vielfältigkeit des Angebots für individuelle Situationen konnten die Erfolgsraten deutlich gesteigert werden. Am häufigsten werden Minischrauben eingesetzt, da diese kosteneffizient, einfach und schnell zu setzen und zu ent­fernen sind.2 Einen Nachteil von Minischrauben stellt deren Länge dar, welche bei interradikulärer Positionierung die Zahnbewegung einschränken kann, das ­Risiko einer Wurzelverletzung ­erhöht und eine Platzierung da­mit limitiert ist.3

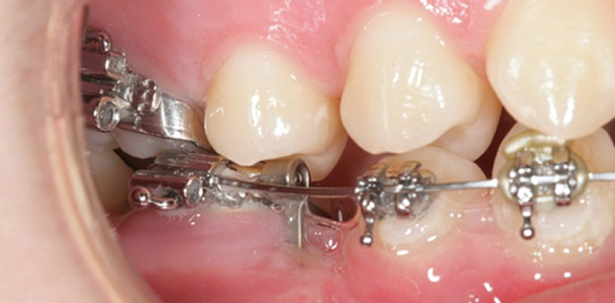
Die Misserfolgsraten von Mini-/Mikroschrauben werden in verschiedenen Literaturstellen unterschiedlich hoch angegeben, einheitlich sind jedoch die deutlich höheren Verluste bei Insertion im Unterkiefer gegenüber einer Insertion im Oberkiefer 
und die geringeren Erfolgsraten im Vergleich zu Miniplatten (Abb. 1).3–7 Zusätzlich erschweren und limitieren die anatomischen Voraussetzungen wie der Nervverlauf des N. aleveolaris ­inferior und N. lingualis, Zungenbewegung und Zungendruck sowie die Kaubelastung eine Insertion im Unterkiefer.8

Den ersten Fallbericht über eine Molarendistalisation mit einer sogenannten „bone plate“ veröffentlichten Jenne und Fitzpatrick 1985.9 Mit diesem Hintergrund kamen wir in unseren Praxen zum Einsatz von skelettalen Miniplatten für spezielle Verankerungsaufgaben im Unterkiefer.

Material und Methoden

Alle Patienten wurden mit einer festen Multibandapparatur und einer im Unterkiefer vestibulär platzierten Miniplatte therapiert. Wir verwenden die C-Tube Plate nach Professor Chung mit zwei vertikalen Bohrlöchern.10 Die Platte verfügt über einen geraden Plattenhals, welcher am Plattenkopf zu einer offenen Öse gebogen ist (Abb. 2 und 3).

Von Januar 2014 bis März 2018 wurden 129 C-Platten bei 81 Patienten im Alter von elf bis 52 Jahren inseriert (Abb. 4). Die Platten wurden hauptsächlich bei uni- oder bilateraler Aplasie der zweiten Prämolaren oder frühzeitigem Verlust der ersten Molaren mit dem Wunsch einer körperlichen Molarenmesialisation ohne Verankerungsverlust des anterioren Segments eingesetzt (Abb. 5).

Alle Eingriffe wurden von einem Oralchirurgen durchgeführt, verliefen komplikationslos und die Wundheilung lief stadiengerecht ab. Die Verankerung fand hauptsächlich indirekt, über eine Verblockung von C-Tube Plate und Zahn statt. Lediglich sechs Platten (4,65 Prozent) wurden direkt belastet. Die durchschnittliche Verweildauer der Verankerungselemente betrug 13,6 Monate.

Als Misserfolg wurden alle Verankerungselemente gewertet, welche frühzeitig, vor Beendigung der Verankerungsaufgabe, explantiert werden mussten. Insgesamt lockerten sich elf C-Tube Plates bei sieben Patienten im Laufe der Behandlung (Abb. 6 und 7): vier durch okklusale Belastungen (Abb. 8), vier durch Entzündungen, ausgelöst durch mangelhafte Mundhygiene (Abb. 9). Zwei Platten lockerten sich im Zuge einer direkten Verankerung und eine Platte ging durch Patientenmanipulation verloren. Von den direkt belasteten Platten gingen somit 30 Prozent frühzeitig verloren.

Klinisches Prozedere

Vor Beginn der Behandlung sollte die zukünftige Zahnbewegung und damit die Positionierung der Platte geplant werden. Wir setzen die Mehrzahl unserer Platten zwischen Eckzahn und erstem Prämolar, da hier das Risiko einer Nervverletzung deutlich geringer ist und bei einer Mesialisation der Molaren die Platten kein Hindernis darstellen. Es hat sich bewährt, wenn die Brackets in der Insertionsregion bereits in situ sind und die anterioren Zahnbogenanteile, wenn möglich, vor der Insertion schon ausgeformt sind. Das Risiko einer Wurzelverletzung ist so noch geringer und bei indirekter Verankerung über die Platten kann direkt mit der Belastung begonnen werden.

Die Insertion der C-Tube Plate erfolgt vorwiegend in Lokalanästhesie. Bei L-förmiger Schnittführung wird ein Mukoperiostlappen gebildet, dessen horizontaler Schenkel in der fixierten Gingiva liegt. Innerhalb der interdentalen Septen wird die Platte vestibulär ohne Vorbohrung mit zwei selbstschneidenden Mikroschrauben (Länge: 5 mm) fixiert (Abb. 10). Abhängig von der Lage kann eine Darstellung des N. mentalis notwendig sein.

Bei der Positionierung sind eine okklusale Belastung zu vermeiden und der Plattenkopf möglichst interdental über Gingivaniveau, in Höhe des Zahnäquators zu platzieren. Zusätzlich sollte der Biss ausreichend entkoppelt werden, da durch Hebelwirkung schon geringe okklusale Kräfte zu einer Plattenlockerung führen können (Abb. 8).

Neben allgemeinen Komplikationen wie Blutung, Nachblutung, Wundinfektion, Schwellung und Schmerzen sind spezielle Operationsrisiken zu beachten: Nervläsion, Zahnschädigung oder parodontale Probleme. Spezifische Komplikationen, die zu einer Lockerung oder dem Verlust der Platte führen können, sind Entzündung, okklusale Belastung, Penetration durch nicht keratinisierte Mukosa oder atypische Belastung, z. B. mittels Manipulation durch den Patienten. Des Weiteren kann bei der Explantation durch eine gute Osseointegration bei langer Liegezeit ein erhöhter Aufwand notwendig sein (Abb. 11).

In der Regel werden die Platten sofort und indirekt durch eine Verblockung des betreffenden Zahnes mit dem Verankerungselement belastet. Bei indirekter Belastung der C-Tube Plate sollte bei jeder Sitzung die Verankerung der Platte überprüft werden, da dann eine Lockerung der Platte erst durch einen Verankerungsverlust des betroffenen Zahnes bemerkbar wird.

Je nach gewünschter Mechanik kann mit einem Vollbogen oder mit einer Teilbogenmechanik gearbeitet werden. Als positiver Nebeneffekt konnte bei allen Patienten mit mesialen Kräften auf den ersten Molaren eine spontane Mesialmigration der zweiten Molaren, wohl durch die transseptalen Fasern verursacht, beobachtet werden sowie ein deutlicher Platzgewinn für die unteren Sapienten.

Fallbeispiel 1

Der Patient wurde vom Hauszahnarzt mit Bitte um Lückenschluss bei Aplasie 45, Spätanlage 35 und Anlage 38/48 überwiesen. Die Insertion der C-Platte erfolgte im Juni 2014 Regio 33/34 und 43/44. Nach zwölf Monaten war der Lückenschluss im vierten Quadranten abgeschlossen, im dritten Quadranten bestand noch eine Restlücke von 1 mm. Hier hatte sich die C-Tube Plate durch die indirekte Verankerung zunächst unbemerkt gelockert. Nach 18 Monaten in situ wurden deshalb die C-Platten explantiert. Wegen andauernder mangelhafter Mundhygiene musste die Multibandbehandlung kurz darauf beendet werden und der Verankerungsverlust im dritten Quadranten konnte nicht mehr korrigiert werden. Im Abschluss-OPT zeigen sich die körperliche Mesialisation der Molaren und die Notwendigkeit der vertikalen Retention von 17 und 27 bis zum Durchbruch von 38 und 48 (Abb. 12 bis 16).

Fallbeispiel 2

Der kieferorthopädisch vorbehandelte Patient stellte sich im November 2014 erstmals bei uns in der Praxis vor. Zahn 47 zeigte sich im DVT horizontal verlagert und sollte mit einer MB-Teilapparatur eingestellt werden. Nach erfolgreicher Freilegung und Bebänderung von 46–44 wurde der Zahn aufgerichtet. Um eine beginnende Kippung der Kauebene zu vermeiden, wurde nach drei Monaten eine C-Tube Plate Regio 43/44 inseriert. Der Zahn wurde mittels Teilbogenmechanik aufgerichtet, während die C-Tube Plate mittels Ligatur mit dem anterioren Segment Regio 44 fixiert wurde (Abb. 17 bis 21).

Ausblick

Auf Basis der bisherigen klinischen Erfahrungen wurde eine Weiterentwicklung der C-Tube Plate angestrebt, die H-Platte. Deren Kopfdesign stellt ein Bracket mit vertikalem Slot dar, welcher ein direktes Einligieren von Teilbögen ermöglicht. Durch den abgewinkelten, breiteren Hals der Platte sollen Schleimhautirritationen und parodontale Probleme effektiver vermieden werden. Das obere Langloch erleichtert die vertikale Positionierung bei Insertion (Abb. 22). In einer Versuchsreihe unter standardisierten Bedingungen mit 60 H-Platten soll die Stabilität der Platte gegen Ausriss oder Deformation bei Zugkräften in mesiodistaler und bei vestibulooraler Richtung jeweils mit Schraubenlängen von 4, 5 und 6 mm untersucht werden. Klinisch soll die H-Platte das Einsatzspektrum der C-Platte übernehmen und erweitern. Die höhere Stabilität der H-Platte soll die Applikation orthopädischer Kräfte ermöglichen, ohne die Invasivität einer Platteninsertion gegenüber der C-Tube Plate zu erhöhen.

Schlussfolgerung

Im klinischen Alltag hat sich die C-Platte als skelettales Verankerungselement zur Distalisation und Mesialisation von Molaren im Unterkiefer bewährt. Die Erfolgsrate ist abhängig von vielen Aspekten, entscheidend sind jedoch die Mundhygiene, das Vermeiden von okklusalen Interferenzen und die klinische Erfahrung des Operateurs und Behandlers (Abb. 23).

Die C-Platte zeigt konstruktionsbedingte Einschränkungen, z.B. bei der Aufrichtung von gekippten Molaren. Dies hat zur Entwicklung einer neuartigen Verankerungsplatte, der H-Platte, geführt. Grundsätzlich sollte der Einsatz und die Indikation von skelettalen Verankerungen individuell und situationsabhängig entschieden werden. Die Verankerung mit Miniplatten stellt gerade im Unterkiefer eine sichere und verlässliche Alternative zu Mini-/Mikroschrauben dar.

Die vollständige Literaturliste gibt es hier.

Dieser Beitrag ist in den KN Kieferorthopädie Nachrichten 6/18 erschienen.

Mehr Fachartikel aus Kieferorthopädie

ePaper