Kieferorthopädie 11.12.2025

Einfache und effektive Umsetzung der Karies- und Gingivitisprävention in der KFO

Patienten mit kieferorthopädischen (KFO-)Apparaturen gelten als potenzielle Kariesrisikopatienten, so das aktuelle Konsensuspapier „White Spot Lesions in Orthodontics“.1 Prof. Dr. Anahita Jablonski-­Momeni forscht an der Philipps-­Universität Marburg zur Karies­prävention und Kariesdetektion. Sie begrüßt das Konsensuspapier: Es unterstreiche die hohe Bedeutung der Kariesprophylaxe und stütze den dadurch entstehenden Handlungsbedarf mit klaren Empfehlungen. Diese sollten jedoch laut der Expertin noch weiter ergänzt werden.

Einfache und effektive Umsetzung der Karies- und Gingivitisprävention in der KFO

Foto: Abt. KFO, Zahnklinik Marburg

Im folgenden Interview erläutert Prof. Dr. Anahita Jablonski-Momeni, an welchen Stellen des Konsen­sus­papiers sie zusätzlichen Bedarf an klaren, strukturierten Empfehlungen für eine einfache und effektive Umsetzung der Karies- und Gingivitisprävention sieht, welche konkreten Herausforderungen sich in der Betreuung von KFO-­Patien­ten stellen und wie das Konsen­suspapier in der täglichen Praxis aufgegriffen werden kann.

Frau Professor Jablonski-Momeni, worauf liegt der Fokus, wenn Patientinnen und Patienten mit kieferorthopädischen (KFO-)Apparaturen in die zahnärztliche Praxis kommen?

Neben der Erfassung des Erfolgs der KFO-Behandlung liegt der Fo­kus hierbei auch auf der Zahnhartsubstanz, dem Zahnfleisch und letztlich auch dem Zahnhalte­apparat, denn diese können in Mitleidenschaft gezogen werden.

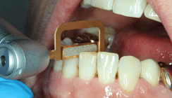
Es ist bekannt, dass, sobald eine festsitzende Apparatur in die Mundhöhle kommt, Schmutz­nischen für den Biofilm entstehen können (Abb. 1/Titelbild). Die Reinigung an diesen Stellen ist erschwert und deshalb müssen sie mit Nachdruck kon­trolliert werden. Ich würde das eine intensive Befundung nennen. Der KFO-Patient kann als Karies-­hochrisikopatient eingestuft werden, und deshalb sollte im Kopf des Behandlers eine Entscheidungskaskade anlaufen. Mit der festsitzenden Apparatur in der Mundhöhle geht eine erschwerte Mundhygiene einher und auch die Ernährung ändert sich. Häufig essen Patienten, die kieferorthopädische Apparaturen haben zu Beginn weiche Kost.

Wie kann erkannt werden, ob eine Demineralisierung des Zahnschmelzes vorliegt?

Das wird mit dem zahnärztlichen Befund erhoben. Wenn man einen Zahn befundet, gibt es Kriterien, die auf eine Demineralisation bzw. eine beginnende initiale Karies hinweisen. Zunächst wird festgestellt, ob sich sehr viel Plaque gebildet hat, was meistens zu erwarten ist. Dann werden die Zähne gereinigt, das ist immer das A und O für eine genaue Befunderhebung. Wenn die Plaque gereinigt ist, werden die Zahnoberflächen untersucht. Ein geschultes Auge sieht tatsächlich die Demineralisationen, da diese als weißliche Flecken erkennbar sind oder die Zahnhartsubstanz keine glatte Struktur mehr hat, sondern unterbrochen ist oder sich Verfärbungen in eine initiale Läsion einlagern.

Sie haben schon gesagt, dass Sie sich auch in der Klinik mit diesem Thema beschäftigen. Insgesamt erhöht sich die Prävalenz, warum?

Mein Eindruck ist, dass die Indikation für eine KFO-Behandlung häufiger gestellt wird und mehr kieferorthopädische Behandlungen durch­geführt werden. Das kann damit zusammenhängen, dass die Eltern das Thema Fehlstellungen heute eher im Bewusstsein haben und die Akzeptanz für KFO-Behandlungen insgesamt höher geworden ist. Das führt zu mehr Behandlungen und in der Konsequenz dazu, dass es mehr Nischen gibt, wo die Plaque zusätzlich eine Retention findet. Dass die Aufmerksamkeit für dieses Thema höher ist als früher, sehen wir auch hier in der Klinik. Manchmal holen mich die Fachzahnärzte oder Fachzahnarztanwärter in der Weiterbildung dazu, wenn sie Zeichen einer initialen kariösen Läsion sehen, oder sie machen ein Foto und zeigen es mir hinterher.

Wenn eine Demineralisation erkannt wurde, gibt es dann eine ideale Anleitung, wie man damit umgeht?

Tatsächlich hat das Konsensuspapier1 sehr viel aufgegriffen, worauf ich schon seit Jahren hier aufmerksam mache. Jede Universität, jede Zahnarztpraxis und jeder Kieferorthopäde haben eigene Konzepte. Wir haben in Deutschland keine publizierte Leitlinie oder sonstige Stellungnahmen, die ausschließlich die Kariesprävention bei kiefer­orthopädischen Patienten aufgreifen. Jeder geht anders damit um. Manchen Empfehlungen folgt man, weil man es schon immer gemacht hat. Manche Produkte verwendet man, weil sie einfach da sind oder weil der Vorgänger sie genutzt hat, bzw. weil sie etabliert sind, wie beispielsweise Fluoridgel oder Fluoridlack. Deshalb ist das Konsensuspapier hier sehr gut für die Systematisierung.

Inwiefern ist das Konsensuspapier gut für eine Systematisierung?

Nach Sichtung der englischen Fassung kann ich hier kurz durchgehen, was von den 21 Empfehlungen aus meiner Sicht auf Deutschland übertragbar ist.  In der Conclusio im Abstract des Papiers heißt es, dass es immer darum geht, das Risiko für die Entstehung von – dort heißt es noch „White Spot Läsion“, aber wir sagen – „initialer Karies oder Demineralisation“ zu verringern. Dabei ist es wichtig, dass man das individuelle Kariesmanagement betrachtet. Also patientenbasiertes Verhalten wie: Was macht der Patient zu Hause? Welche Mittel werden ihm beim Zahnarzt erklärt? Das ist die systematisierte Verknüpfung von zu Hause und Praxis, basierend auf dem Kariesrisiko.

Mit Blick auf die 21 Empfehlungen stellt sich die Frage, wie man an das Thema herangehen kann. Teil A ist Erfassung und Planung. Das Management ist der Großteil. Am Ende steht „Transitional Care“, also die Übertragung auch auf die häuslichen Parameter. Die erste Empfehlung ist laut Konsensuspapier, dass vor einer KFO-Behandlung eine umfassende Erstuntersuchung durchgeführt werden muss, um die orale, aber auch die systemische Gesundheit zu beurteilen. Da stimme ich komplett zu, aber das machen wir sowieso.

Man weiß, dass es Patienten gibt, die basierend auf ihrer allgemeinen Anamnese schon ein erhöhtes Kariesrisiko haben. Karies in der Vergangenheit ist auch ein Zeichen dafür, dass man kariesanfällig ist und so weiter. Es gibt also verschiedene Parameter. Die allgemeine und die spezielle Anamnese, wie wir es nennen, das macht jeder Zahnarzt in der Praxis, wir dokumentieren das ja auch.

Als zweites folgt, dass vor und während der KFO-Behandlung eine Kariesrisikobewertung durchgeführt werden soll. Solche Kariesrisikobewertungen sind international vorhanden und gut etabliert, z.B. CAMBRA [Anm. der Redaktion: caries management by risk assessment], das Cariogram und auch das ICCMS [Anm. der Redaktion: International Caries Classification and Management System], an dessen Entwicklung ich mitbeteiligt war.

Bild von einem Quotenzeichen
„Das Konsensuspapier ist eine gute Grundlage. Ergänzend braucht es klare und struk­turierte Empfehlungen zur ein­fachen und effektiven Umsetzung der Karies- und Gingivitisprävention.“

Wie geht es im Konsensuspapier weiter?

Der dritte Punkt ist: „Die Patienten in der KFO-Behandlung sollen als Patienten mit erhöhtem Kariesrisiko angesehen werden.“ Das ist für mich komplett nachvollziehbar. Ich habe ja schon zu Beginn gesagt, dass wir bei diesen Patienten eine erschwerte Mundhygiene vorfinden und damit das Kariesrisiko erhöht ist. Hinzu kommt noch das Alter der Patienten. Diese sind ja häufig im Teenageralter, das kann auch zu einer begrenzten Motivation zur Zahnpflege oder Mundhygiene führen.

Zwar ist die Wirksamkeit der Gruppenprophylaxe und der ganzen Schulpräventionsprogramme bis zum Alter von zwölf Jahren sehr hoch, deshalb haben wir in dieser Altersgruppe auch gute Ergebnisse. Dies konnte auch im Rahmen der DMS 6 erneut belegt werden. Für die kieferorthopädischen Patienten brauchen wir jedoch darüber hinaus eine intensivierte Prophylaxe, die bei entsprechender Indikation von den Krankenkassen bzw. Kostenträgern übernommen wird. Diese Patienten kommen ja letztendlich auch alle sechs bis acht Wochen in die Praxis und nicht halbjährlich. Das heißt, wir haben eigentlich Gelegenheit und Zeit, die mit diesen Patienten verbracht wird und die man in der Beratung nicht verschenken sollte.

Doch zurück zum Konsensuspapier. Wenn der Patient ein erhöhtes Kariesrisiko hat, dann folgt eine Liste mit Empfehlungen, die sich unter anderem mit dem Management beschäftigen. Rein praktisch bedeutet das beispielsweise, dass man darauf achtet, die Bereiche rund um Brackets und weitere Attachements sauber zu halten, damit sich keine zusätzlichen Schmutznischen bilden. Das sollten der Kieferorthopäde und der Zahnarzt, aber auch der Patient im Blick haben. Das heißt, häusliche Mundhygiene in Ergänzung zur professionellen Zahnreinigung. Der Behandler sollte nicht müde werden den Patienten zu motivieren. Hier kommen im Grunde die ganzen Säulen der Prävention ins Spiel. Wir wissen ja, dass die Karies präventiv angegangen werden kann: durch eine optimale Mundhygiene, durch zahnfreundliche Ernährung und durch die Anwendung von Fluoriden. Hinzu kommt die Fissurenversiegelung beim Zahnarzt.

Das sind alles Empfehlungen, die ja rein praktisch gegeben sind. Beispielsweise sollte eine wirksame mechanische Plaquekontrolle zu Hause durchgeführt und während der gesamten Behandlung verstärkt werden. Denn regelmäßiges Zähneputzen mit einer regulär fluoridhaltigen Zahnpaste, das ist die einfachste Maßnahme, die es gibt. Wenn das viele tun würden, dann wäre das schon sehr hilfreich. Für Patienten mit erhöhtem Kariesrisiko gibt es verschreibungspflichtige Zahnpasten mit höherer Fluoridkonzentration. Da kommt beispielsweise medelmex Duraphat Fluorid Zahnpasta in Frage. Die können wir allerdings nicht allen verschreiben, da sie erst ab 16 Jahren zugelassen ist. Als kariespräventive Maßnahme für jüngere Patienten, d.h. ab dem sechsten Lebensjahr empfehle ich die wöchentliche Anwendung von höherdosierten fluoridhaltigen Produkten wie Gele.

Eine Herausforderung bleibt die Reinigung der Zahnzwischenräume. Auch hier muss die richtige Auswahl an Mitteln getroffen und die Anwendung mit dem Patienten geübt werden.

Bild von einem Quotenzeichen
„In der Conclusio im Abstract des Papiers heißt es, dass es immer darum geht, das Risiko für die Entstehung von – dort heißt es noch ,White Spot Läsion‘, aber wir sagen – ,initialer Karies oder Deminera­lisation‘ zu verringern. Dabei ist es wichtig, dass man das individuelle Kariesmanagement betrachtet.“

Was ist mit dem Thema Mundspülung? Wäre dann beispielsweise elmex Kariesschutz?

Ja, oder aber auch meridol Mundspüllösung für den Zahnfleischschutz. Es heißt ja, man soll Zähne putzen nach dem Essen. Jetzt stellen Sie sich einen Zehnjährigen vor, der in der Schule ist. Der hat im Normalfall keine Zahnbürste in der Schule. In diesem Fall empfehle ich eine Mundspüllösung zu verwenden, gerade bei kieferorthopädischen Patienten. Das geht schnell und ist eine gute Maßnahme für unterwegs. Oder es gibt auch noch andere Möglichkeiten, den pH-Wert in der Mundhöhle zu erhöhen, wie zuckerfreie Lutschbonbons, die Xylit enthalten, natürlich unter Berücksichtigung der maximalen Tagesdosis von Zuckeraustauschstoffen. Auch hier wäre es hilfreich, systematisierte Empfehlungen auf einen Blick zu haben. Ein Patienten-Flyer mit konkreten Tipps zur Pflege und eine Checkliste für Praxisteams mit Tipps, worauf man bei KFO-Patienten achten sollte: von Plaque entfernen über die Ernährung bis zur Hygiene und regelmäßiger Motivation.

Es ist also gut, dass es das Konsensus­papier gibt und dass es teilweise auch übernommen oder als System integriert werden kann. Ist es auch die gelebte Praxis?

Wenn ich beispielsweise Kollegen erzähle, dass die erste und dennoch wichtige Empfehlung an den Patienten die zweimal tägliche Zahnpflege sein sollte, dann sagen alle, ja, das kennen und wissen wir. Aber ob der Patient das auch umsetzt, ist häufig unklar. Wenn es dann weiterhin darum geht, dass eine hochfluoridierte Zahnpaste bei Kariesrisikopatienten ab einem Alter von 16 Jahren hilft, dann kommen die Fragen: Wie verschreibe ich das? Wo hinterlege ich das? Jeder Zwischenschritt ist eine Schwelle, die man überwinden muss. Wenn etwas neu ist, dann muss es implementiert und etabliert werden, das gilt genauso für den Patienten.

Es gibt ein paar spannende Empfehlungen, die allerdings auch immer das große Thema Datenschutz im Hintergrund haben, das immer ein wenig „bedrohlich“ wirkt. Beispielsweise können digitale elektronische Erinnerungshilfen die Einhaltung der KFO-Behandlung und des Kariesmanagements fördern. Es gibt Untersuchungen, die zeigen, dass Kinder, die sich in sozialen Netzwerken gegenseitig „moni­toren“, beispielsweise mit ihren Bildern, eine bessere Mundhygiene bzw. ein besseres orales Verständnis haben. In der Praxis ist das aus datenschutzrechtlichen Gründen meist nicht umsetzbar. Es gibt auch Verfahren wie das DentalMonitoring, aber bei uns ist die Ferndiagnostik in einigen Bereichen insofern ein Pro-blem, weil man immer Sorge hat, etwas falsch zu sagen oder etwas zu übersehen. Ich finde, man sollte das Thema Digitalisierung in jedem Fall im Fokus ha­ben. Es könnte beispielsweise eine App geben, die die KFO-Behandlung begleitet. Bei der ich etwa je­den Tag mein Mundhygieneverhalten hinterlegen kann. Bei der ich per Klick beantworten muss: Habe ich Zähne geputzt? Ähnlich einer Sprachlern-­App zum Beispiel. Wenn ich bis zu einer bestimmten Uhrzeit mein Tagespensum nicht erfüllt habe, dann wird beispielsweise angezeigt wie viel Zeit ich noch für die Zahnpflege an diesem Tag habe. Vielleicht gibt es so etwas bereits, mir sind aber aktuell keine gängigen Apps für genau diesen Bereich bekannt.

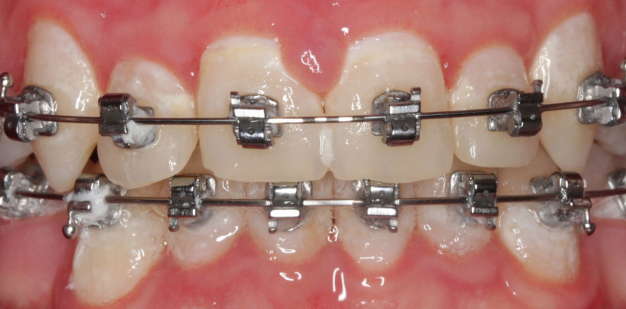
Eine weitere Empfehlung im Konsensuspapier ist: Die Zahnoberflächen sollen während der gesamten Behandlung durch eine visuelle Untersuchung auf das Auftreten und auf den Schweregrad von „white spot lesions“ untersucht werden. Wir sagen in der modernen Kariologie ja, wie oben erwähnt, nicht mehr „white spot lesion“, sondern initiale kariöse Läsion. Also im Grunde nichts anderes, als dass sowohl Zahnarzt als auch Kieferorthopäde beide auf die Hartsubstanz und auf die Gingiva achten. Dann wird weiterhin empfohlen: Die Ergebnisse der visuellen Untersuchungen sollen so detailliert aufgezeichnet werden, dass ein Vergleich im Zeitverlauf möglich ist. Standardisierte Fotografien können diese Vergleiche unterstützen. Das machen die Kieferortho­päden zu bestimmten Zeitpunkten, weil sie ja regelmäßig die Patientenzähne fotografieren. Inwieweit die dentale Fotografie in der Zahnarztpraxis ein Thema ist, steht und fällt mit der Praxisstruktur. Eine einfache Empfehlung ist, wenn Jugendliche – die ja mittlerweile fast alle ein Smartphone haben – in der Behandlung von ihren Zähnen ein „Selfie“ machen. Dann macht der Patient das Foto selbst, und als Behandler hat man kein Datenschutzproblem. Wenn man vorher die Zähne anfärbt, dann sieht der Jugendliche sofort, wovon man spricht (Abb. 2).

Abb. 2: Visualisierung der Plaque am Rand von Brackets (Ausschnitt). © Abt. KFO, Zahnklinik Marburg

Zwei weitere Punkte im Konsensuspapier sind für die Zeit nach Abschluss der KFO-Behandlung: Die Zahn- und Parodontalgesundheit sollten neu beurteilt und der Übergang der Versorgung bestimmt werden. Nach der Behandlung ist bei einem Kieferorthopädiepatienten ja selten die Therapie komplett abgeschlossen. Sehr häufig bekommen die Patienten noch einen Retainer zur Stabilisierung der erzielten Zahnstellung. Also ist es nach wie vor notwendig die Zahnzwischenraumhygiene zu kontrollieren, die Schmutznischen ausfindig zu machen und so weiter. Das kann der Hauszahnarzt im Rahmen der regulären Prävention durchführen. Wenn der Patient volljährig ist, dann sollte er in Anspruch nehmen, was die Krankenkasse zahlt, aber in jedem Fall auch die professionelle Zahnreinigung.

Was empfehlen Sie Ihren Kollegen für den Umgang mit den Patienten?

Das Personal muss geschult sein, und man sollte genügend Zeit einplanen. Es genügt nicht, zwischen Tür und Angel zu sagen, dass der Patient seine Zähne putzen soll. Die meisten Praxen haben mindestens eine zahnmedizinische Fachangestellte oder eine Dentalhygienikerin, die sich dem Thema gerne verschrieben hat. Aber die Verschriftlichung hilft in jedem Fall. Es ist doch gut, wenn man den Patienten etwas mitgeben kann, in Form eines Flyers beispielsweise, mit den Empfehlungen zum Ankreuzen. Gäbe es da konkrete Vorgaben, wäre das sehr hilfreich. Wir geben den Patienten zum Beispiel nach der ersten Behandlung eine Zahnpflegetüte mit. Und es braucht immer wieder Erinnerungen und Wiederholungen in der Anleitung.

Die Bundeszahnärztekammer hat einen empfehlenswerten Onlinekurs, der heißt die „Teach-Back-Methode“ [Anm. der Redaktion: www.bzaek-teach-back.de]. Da werden Module zur Kommunikation vorgestellt. Thema ist die Aufklärung der Patienten. Es geht unter anderem darum, welche Sprache ich verwende und aufgrund welcher Aussagen sich der Patient für welche Behandlung entscheidet.

Bild von einem Quotenzeichen
„Ich würde mir eine noch bessere Vernetzung zwischen Zahnarztpraxis und kieferorthopädischer Praxis wünschen.“

Möchten Sie Ihren Kollegen zum Schluss noch etwas mitgeben?

Ich würde mir eine noch bessere Vernetzung zwischen Zahnarztpraxis und kieferorthopädischer Praxis wünschen. Dabei können Themen wie die Durchführung der Individualprophylaxe und weitere präventive Angebote gemeinsam abgestimmt werden – zum Wohle der Patienten und unter Einbeziehung ihrer Erziehungsberechtigten.

Frau Professor Jablonski-Momeni, wir danken für das Gespräch.

KN Kieferorthopädie Nachrichten 12/25

KN Kieferorthopädie Nachrichten


Dieses Fachinterview ist unter dem Originaltitel „Kariesprävention in der KFO“ in den KN Kieferorthopädie Nachrichten erschienen.

Die KN Kieferorthopädie Nachrichten sind das monatliche Fachmedium für Kieferorthopäden. Im Fokus stehen standespolitische Themen, wissenschaftliche Fachinformationen und internationale Fortbildungen. Beiträge von Experten aus aller Welt vermitteln praxisnah aktuelle Trends, Innovationen und gesundheitspolitische Entwicklungen. Nach dem Prinzip „vom Spezialisten für den Spezialisten“ unterstützen die KN den Wissensaustausch, sichern Qualität und tragen maßgeblich zum Erfolg der Branche bei.

Jetzt das ePaper lesen.

Autorin: Dr. Anna Maria Schmidt

[1] Divesh Sardana, Falk Schwendicke, Esra Kosan, Eser Tüfekçi; White spot lesions in orthodontics: consensus statements for prevention and management. Angle Orthod 1 November 2023; 93 (6):621–628. doi: https://doi.org/10.2319/062523-440.1

Mehr Fachartikel aus Kieferorthopädie

ePaper