Parodontologie 21.02.2011

Die rote Ästhetik



Die rote Ästhetik

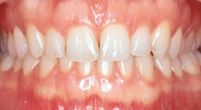
Ein gesundes Gebiss zeichnet sich durch gefällig geformte, helle Zähne und eine harmonisch verlaufende Gingiva aus. Zahnfarbe und -form oder Gingivaverlauf können individuell unterschiedlich sein, ohne dass dabei die Harmonie des oralen Gesundseins gestört wird.


Im gesunden Gebiss umgibt die Gingiva den Zahnhals auf Höhe der Schmelz-Zement-Grenze kragenförmig (Abb.1). Sie ist mittels Saum­epithel mit dem Schmelz bzw. dem Wurzelzement fest verbunden. Dabei entsteht eine seichte Rille, die als Sulkus bekannt ist. Die Zahnwurzel steht über ein kompliziertes Geflecht von Bindegewebsfasern mit dem Zahn und dem alveolären Knochen in Verbindung. Diese sind einerseits im Wurzelzement, andererseits im alveolären Knochen verankert und verknüpfen sich in der Mitte des Desmodontes zu einem Plexus. Zwischen den Fasern befinden sich zelluläre Elemente und reichlich Blutge­fäße, die zusammen mit der Gewebsflüssigkeit dem desmodentalen Gewebe eine beschränkte Elastizität vermitteln. Die Verbindung von Saum­e­pithel und Zahnschmelz und von gingivalem Bindegewebe mit dem Wurzelzement wird als biologische Breite oder Höhe bezeichnet. Sie ist für die Aufrechterhaltung der gingivalen Gesundheit von Bedeutung. Durchschnittlich beträgt sie zwei Millimeter. Weiter apikalwärts ist die keratinisierte Gingiva mit dem alveolären Knochen verbunden. Sie wird als feste Gingiva bezeichnet und wird durch die mukogingivale Linie von der beweglichen Schleimhaut abgegrenzt.

Das Ausmaß der festen Gingiva variiert, besonders im Frontzahnbereich, von 1 bis zu 10 Millimetern (Abb. 2). Die Schmelz-Zement-Grenze wölbt sich proximal nach inzisal bzw. koronal. Die interdentale Gingiva folgt dem Verlauf der Schmelz-Zement-Grenze in Form der Papille. Approximale Zahnform, Lage der Kontaktfläche und deren Abstand vom interdentalen alveolären Knochenrand sind mitbestimmend für Form und Ausmaß der Interdentalpapille. Das Weichgewebe wird im proximalen Bereich durch den alveolären Knochen gestützt, der hier höher liegt als labial/bukkal und lingual. Die Kuppe einer gesunden Papille bei normaler Position beider Nachbarzähne besteht aus zwei Erhebungen. Sie begrenzen labial/bukkal und lingual eine Einsenkung des papillären Gewebes. Diese Einsenkung wird „Col“ genannt.

Reduziertes Parodont

Parodontales Stützgewebe geht ent­weder durch Entzündungsprozesse oder durch Dystrophien verloren.

Entzündungsbedingter Attachmentverlust

Die beiden häufigsten oralen Erkrankungen sind Karies und Parodontitis. Vernachlässigung der Mundhygiene zieht Plaqueakkumulation, ein Biofilm, nach sich. Bleibt Plaque Wochen oder Monate liegen, wird die Zahnhartsubstanz durch Säureeinfluss geschädigt. Plaqueakkumulationen verursachen aber bereits nach wenigen Tagen Entzündung der Gingiva. Die Gingiva schwillt auf, die Harmonie zwischen Zähnen und Gingiva ist gestört. Loë hat mit seinem Team bereits 1965 nach­gewiesen, dass durch Entfernung der Plaque die Entzündung verschwindet, die Gingiva wieder gesund wird, sich wieder die ursprüngliche Form und somit Harmonie zwischen Zähnen und Gin- giva einstellt. Viele Studien unterschiedlicher Dauer – eine davon über 30 Jahre – haben gezeigt, dass durch regelmäßiges, präventives Eingreifen, also durch Plaquebeherrschung, kaum bleibende Schäden an Zähnen und Gingiva auftraten und somit orale Gewebe gesund bleiben.

Dauert die Gingivaentzündung an, besteht das Risiko zur parodontalen Destruktion. Der Biofilm verändert seine Zusammenstellung, wobei für das Parodont gefährliche Keime die Oberhand gewinnen. Über komplizierte Prozesse breitet sich die Entzündung in tiefer liegende parodontale Gewebe aus, der al­veoläre Stützknochen wird dadurch in Mitleidenschaft gezogen. Es bilden sich parodontale Taschen, in denen sich jetzt vornehmlich anaerobe Mikroorganismen vermehren. Diese tragen direkt oder indirekt zur weiteren parodontalen Destruktion bei. Die Harmonie zwischen Gingiva und Zähnen ändert sich dramatisch (Abb. 3). Während in der Beginnphase der Parodontitis störende Rötungen und Schwellungen der Gingiva das Bild prägen, stehen in der Spätphase reduzierte Parodontien im Vordergrund. Die Zähne erscheinen länger, die Zahnzwischenräume werden weiter. Bei der nekrotisch-ulzerativen Form der Parodontitis, wo die Entzündungsprozesse sich beschleunigt abspielen, kann sich diese Dysharmonie innerhalb weniger Wochen einstellen.

Nichtentzündungsbedingter Attachmentverlust

Parodontale Rezessionen werden unterteilt in gingivale Rezessionen und Papillen­defekte (Abb. 4). Die gingivalen Rezessionen beschränken sich auf die labialen/bukkalen und lingualen Be­reiche, die Papillendefekte auf die in­terdentale Gingiva. Neben den durch Parodontitis hervor­gerufenen rezessiven Spätfolgen, die vornehmlich bei Erwachsenen über 40 Jahre vorkommen, stellen sich gingi­vale Rezessionen bei Jugendlichen und Erwachsenen im entzündungsfreien Gebiss ein. Das Parodont zieht sich zurück, scheinbar ohne ersichtlichen Grund. Wurzeloberflächen werden bloßgelegt, Farbunterschiede zwischen Wurzel und Schmelz wahrgenommen und das harmonische Bild ist auch hier gestört. Studien zeigen, dass diese rezessiven Prozesse vorrangig mit zu harten Zahnbürsten und mit deren übermäßigem und falschen Gebrauch in Zusammenhang gebracht werden müssen. Auch Fehlbelastungen von Zähnen werden als ursächliche Faktoren, bei dünner Knochenlamelle über der Zahnwurzel, angeführt. Diese Knochenlamelle kann so dünn sein, dass sie beinahe nur noch aus kortikalem Knochen besteht und deshalb kaum mehr den üblichen Umbauprozessen unterliegt.

Gingivarezessionen kommen bukkal, aber auch lingual vor. Weicht das gin­givale Attachment lediglich um einen Millimeter von der Schmelz-Zement-Grenze ab, wird von einer Rezession gesprochen. Nach Miller (1985) werden vier Rezessionsgrade unterschieden (Abb. 5). Liegt die Rezession in der fes­ten Gingiva, kommt dies überein mit Grad I, liegt sie bereits in der beweglichen Schleimhaut, entspricht dies Grad II. Liegen auch marginale Parodontaldefekte vor, wird bei leichten Formen von Grad III, bei schweren von Grad IV geredet. Sullivan und Atkins (1968) hatten zusätzlich noch die Form der Rezession beim Schweregrad mitgewogen.

Die Ursache von Papillendefekten ist in Auffächerung und Fehlstellungen von Zähnen, inadäquaten Restaurationen, zu aggressiven Parodontalbehandlungen und schließlich auch im zu intensiven Gebrauch ungeeigneter interdentalen Reinigungshilfen zu suchen. Papillendefekte sind in jeder Altersgruppe zu finden. Bei älteren Patienten sind sie häufig Spätfolge einer fortgeschrittenen Parodontitis. Sie stören ebenfalls die gingivo-dentale Harmonie. Normalerweise beträgt der Abstand zwischen Kontaktfläche und interdentalem Alveolarknochenrand bei Frontzähnen 5 bis 6 Millimeter (Tarnow et al.,1992) und zwischen Kontaktfläche und Papillenspitze 3 bis 4 Millimeter, jener zwischen Papillenspitze und interdentalem Alveolärknochen 5 bis 6 Mil­li­meter (Dong-Won Lee et al., 2005). Die Höhe einer gesunden Papille, gemessen von der Basis bis zur Spitze (Abb. 6), beträgt bei normaler Stellung der benachbarten Zähne 4 bis 5 Millimeter. Sie füllt den Interdentalraum komplett aus. Papillendefekte werden in drei Grade gegliedert. Die Lage der Papillenspitze zwischen Kontaktpunkt und proximaler Schmelz-Zement-Grenze wird gemäß Tarnow et al. (1992) als Defekt-Grad I bezeichnet. Liegt sie zwischen proximaler und labialer/bukkaler Schmelz-Zement-Grenze, wird von Grad II und apikalwärts davon von Grad III gesprochen (Abb. 7).

Behandlung parodontaler Rezessionen

Häufig ist bei Gingivarezessionen und Papillendefekten das Ausmaß der festen Gingiva gering, d.h. die feste Gingiva ist weniger als zwei Millimeter breit. In solchen Fällen kann zunächst mithilfe von freien autogenen Schleimhauttransplantaten die feste Gingiva extendiert werden. Dieses ist bei sachgerechter Durchführung eine unproblematische und sichere Methode. Ein Stück Schleimhaut – die ideale Dicke liegt bei einem Millimeter – wird aus dem Gaumen entnommen, in das vorbereitete Wundbett eingebracht und entweder mit Fäden oder Klebstoff fixiert. Es ist darauf zu achten, dass die Schleimhautfarbe und -struktur am Gaumen weitgehend jener der Empfängerstelle entspricht. Zu dicke oder zu dünne freie Transplantate prägen das künftige Bild der Gingiva nachteilig in Form und Farbe. Es versteht sich von selbst, dass vor therapeutischen Maßnahmen zur Be­deckung der Rezessionen die Zahnbürsttechnik korrigiert und ein einma­liger, maximal zweimaliger Gebrauch der Zahnbürste pro Tag – vorzugsweise eine sonisch angetriebene Elektrobürste – empfohlen werden sollte. Okklusale Fehlbelastungen sind zu korrigieren.

Bedeckung von Rezessionen mittels Verschiebelappen

Vor der chirurgischen Bedeckung der Rezession sollten die bloßgelegten Wurzelanteile sorgfältig gereinigt werden. Es hat sich nämlich gezeigt, dass sich im Anschluss daran das Attachment nach zervikal bewegt. Dieses Phänomen wird „creeping attachment“ genannt. Es kann bis zu zwei Millimetern betragen. Geringe Rezessionen lassen sich bereits durch diese Maßnahme therapieren (Abb. 8). Tiefere Rezessionen werden mit den Methoden der plastischen Parodontalchirurgie korrigiert. Spezielle mikrochirurgische Ins­trumente und feinste Fäden werden dafür benötigt, Sehhilfen sind absolut erforderlich. Werden auf Evidenz ba­sierte Methoden eingesetzt, können ästhetisch und funktionell perfekte Resultate erzielt werden. Falsche Indika­tionen und Ausführungen ziehen Miss­erfolge und Rezidive nach sich (Übersichten bei: Bouchard et al., 2001 und Rocuzzo et al., 2002). Bei genügend breiter Gingiva sind es vornehmlich gestielte Gingivatransplantate, die in Form von Verschiebelappen entweder von apikal nach koronal oder von lateral über Rezessionen der Miller-Klassen I und II gelegt werden. Der Gingivalappen wird über der Rezession minimal um zwei Millimeter über der Schmelz-Zement-Grenze fixiert, um die sich einstellende Schrumpfung auszugleichen (Abb. 9).

Bindegewebstransplantationen

Wohl die besten ästhetischen Ergebnisse sind mit den freien autogenen Bindegewebstransplantaten zu erreichen. Sie sind die Methode der Wahl im Oberkiefer-Frontzahnbereich. Das Bindegewebe wird aus dem gut durchbluteten Gaumenbereich in der Prämolaren- und Molarenregion entnommen und als freies Transplantat mit einer Dicke von zwei Millimetern über die Rezession gelegt. Die Transplantatränder werden in den vorher präparierten Spalten (Envelope-Technik) in den die Rezession umge­benden Gingiva- und Mukosa-Anteilen fixiert (Abb. 10).

Aus Übersichtsarbeiten von Bouchard et al. (2001) und Rocuzzo et al. (2002), in denen verschiedene Methoden auf ihre klinische Evidenz hin ausgewertet wurden, geht hervor, dass Rezessionen der Miller-Klassen I und II am zuverlässigs­ten und langfristig auch erfolgreichsten mit freien Bindegewebstran­splantaten in Kombination mit der Envelope-Technik bedeckt werden. Das Konditionieren der Wurzeloberfläche mit Säuren bringt keinen zusätzlichen Gewinn.

Behandlung von Papillendefekten

Die Behandlung von Papillendefekten ist eine der größten Herausforderung der aktuellen Parodontaltherapie. Sie ist sehr schwierig, Langzeitresultate lie­gen kaum vor, auf Evidenz basierte Me­thoden sind bis heute sehr spärlich. Die Weite des Interdentalraumes ist bestimmend für die Form der Papille. Ist der Raum eng, erscheint die Papille hoch und spitz, ist er weit, erscheint sie platt und breit. Die spezifische Form der Frontzahnpapillen passt zur spezifischen Form der Zähne. Sie sollte nicht willkürlich verändert werden. Oft wird im Rahmen restaurativer Maßnahmen versucht, die Idealform der Papille zu imitieren, was häufig zu Quetschungen der interdentalen Gewebe und als Folge zu verminderter Durchblutung führt. Der erwartete Erfolg bleibt aus. Das papilläre Gewebe schwindet.

Je nach Ursache der Papillendefekte stehen verschiedene Methoden zur Diskussion. Ist die knöcherne Unterlage noch intakt und liegt lediglich ein gingivaler Papillendefekt vor, regeneriert die Papille meistens allein durch sorgfältige Vermeidung von Plaqueakkumulationen. Sind die Defekte durch Fehlpositionen der Zähne verursacht, steht eine orthodontische Behandlung im Vordergrund. Ist eine Ent­zündung Ursache des Verlustes von papillären Weichgeweben und von parodonta­lem Knochen und liegen intraaveoläre Knochendefekte vor, kann der Defekt mittels Membrantechniken oder Emdogain® saniert werden. Selbstverständlich sind auch Kombinationen möglich. Das Papillenlifting ist die umstrittenste Methode. Sie wird dann gebraucht, wenn weder orthodontische Behandlung noch Regeneration als Methode angewandt werden können. Es gelingt weder mit regenerativen Methoden noch mit dem Papillenlifting, die frühere Papillenform und Höhe wieder herzustellen und zu stabilisieren.

Orthodontische Methoden

Ist die Harmonie der Frontzähne durch ein Diasthema oder mehrere gestört, was gleichzeitig eine Abflachung der papillären Gingiva zur Folge hat, kann durch orthodontischen Lückenschluss die Höhe der Papille in normale Ausmaße zurückgeführt werden. Nach sorgfältiger Entfernung von supra- und subgingivalen Plaquebelägen und bei konsequenter Mundhygiene zur Vermeidung neuer Plaqueakkumulationen, wird im parodontal entzündungsfreien Bereich eine festsitzende Apparatur zur Schließung der Zahnlücke ein­gegliedert. Der interdentale Alveolarknochen wird umstrukturiert und nimmt an Höhe zu. Gleichzeitig nimmt die über dem interdentalen Knochen liegende papilläre Gingiva ihre normale Struktur an und ihre Dicke erreicht normale Werte. Selbst wenn durch parodontale Schäden Papillen abflachen und Lücken entstehen, funktioniert die Reparation von Papillendefekten mittels Kombi­nationen von parodontalchirurgischen und orthodontischen Eingriffen, dann allerdings auf bescheidenerem Niveau (Cardaropoli et al., 2004).

Regenerative Methoden

Intraalveoläre Knochendefekte als Folge parodontaler Destruktionsprozesse verursachen häufig Papillendefekte. Abhängig von der Form und Tiefe des Defektes sind durch parodontalchirurgische Eingriffe ästhetisch ansprechende Resultate zu erzielen. Bei geringen Defekten können durch überlegte Schnittführung und Kombinationen von Spalt- und Mukoperiostlappen Papillendefekte rekonstruiert werden. Papillen werden am höchsten Punkt labial durchtrennt und mit einem Spaltlappen vom darunterliegenden Bindegewebe separiert. Die Grundstruktur der Papille bleibt bestehen. Es wird ein Mukoperiostlappen gebildet, das Periost durchtrennt und der Lappen in koronaler Position fixiert. Der papilläre Spaltlappen wird über das interdentale Bindegewebe nach koronal gezogen und nach Deepithelisierung des palatinalen Papillenanteils dort fixiert. Bei tiefen Knochendefekten stehen regenerative Methoden mit resorbierbaren und nichtresorbierbaren Membranen als Methode der Wahl zur Verügung. Sie werden häufig in Kombination mit autologen, homologen und hete­ro­logen Knochenimplantaten oder mit Knochenersatz angewendet. Es gelingt allerdings nicht, den interdentalen Knochendefekt über den noch be­stehenden Restknochenrand hinaus aufzubauen. Hier sind deutliche Grenzen gesetzt.

Papillenlifting

Seit einigen Jahren wird versucht, Pa­pillendefekte mittels freien Binde­gewebstransplantaten zu beheben. Die von Azzi (2000) vorgestellte Methode ist die eleganteste und bezüglich Resultat die zuverlässigste. An der Basis der Restpapille wird entlang der Mukogin­givallinie inzidiert und das papilläre Weichgewebe von der knöchernen Unterlage getrennt. Mittels Zahnfleischrandschnitt wird die Papille von der Wurzeloberfläche und dem Knochenbett gelöst und mit Spezialins­trumenten nach koronal angehoben. In die sich bildende Lücke wird ein aus dem Gaumen gewonnenes Bindegewebstransplantat eingebracht (Abb. 11).

Schlussfolgerungen

Die Konsequenz für das praktische Handeln ist einfach: mit dem interdentalen Gewebe muss präventiv und therapeutisch vorsichtig und überlegt umgegangen werden, soll die parodontale Ästhetik keinen Schaden leiden. Der Gebrauch der Zahnbürste ist bei Patienten mit Rezessionen zu minimalisieren. Die systematische tägliche Reinigung ist wichtig, nicht deren Häufigkeit. Mit Bindegewebstransplantaten sind gingivale Rezessionen heutzutage ästhetisch und funktionell perfekt zu sanieren. Bei verloren gegangener Harmonie zwischen roter und weißer Ästhetik tragen sie essenziell zu deren Harmonisierung bei. Zur Rekonstruktion von Papillendefekten stehen zwar einige Methoden der plastischen Parodontalchirurgie, die mehr oder weniger ästhetischen Kriterien genügen können, zur Verfügung. Eine sichere, auf Evidenz basierte Methode zur morphologischen und funktionellen Rekonstruktion von Papillendefekten fehlt jedoch.



Mehr Fachartikel aus Parodontologie

ePaper